명동콤비치과의원 (명동)
신경치료통증 무섭다고 미루면
남녀노소 불문하고 충치는 가장 흔하게 앓는 구강 질환 중 하나일 거예요. 건강보험심사평가원에 따르면 충치 환자 수가 2017년 약 578만명에서 2021년 약 636만명으로 5년 만에 거의 60만명 가까이 늘어난 것을 알 수 있는데요. 이는 바쁘게 살아가는 현대인들이 식사를 제 때 챙기지 못하고 대신 당이...
아카이브 요약
이 페이지의 역할
명동콤비치과의원 (명동)의 네이버 블로그 원문을 보존한 아카이브 페이지입니다. 치아스토리♡ 카테고리의 신경치료통증 무섭다고 미루면 글을 통해 병원의 한국어 정보 제공 방식과 진료 관련 안내 톤을 확인할 수 있습니다.
남녀노소 불문하고 충치는 가장 흔하게 앓는 구강 질환 중 하나일 거예요. 건강보험심사평가원에 따르면 충치 환자 수가 2017년 약 578만명에서 2021년 약 636만명으로 5년 만에 거의 60만명 가까이 늘어난 것을 알 수 있는데요. 이는 바쁘게 살아가는 현대인들이 식사를 제 때 챙기지 못하고 대신 당이 다량 함유된 빵이나 간식으로 때우는 일이 잦거나 커피, 콜라 등의 음료를 계속 마시면서도 그때 그때 입속을 헹구는 등 신경쓰는 경우가 많지 않아 충치균이 늘어나는 구내 환경이 만들어지기 때문이라고 보고 있어요.
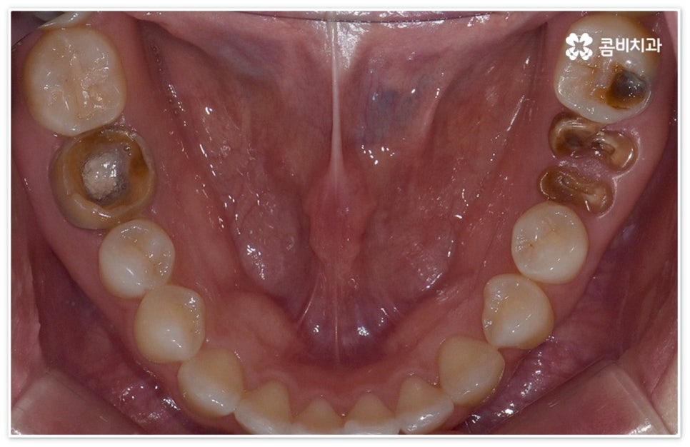
당분을 먹이로 삼아 증식하면서 산성 물질을 만들어내는 박테리아 때문에 치아에 손상을 입게 되는 구강 질환이 충치인데, 겉부분인 법랑질에 막 발생하기 시작했을 때는 해당 부위에 신경이 존재하지 않기 때문에 환자분들의 입장에서 별다른 통증도 느껴지지 않고 겉으로 봤을 때 색이나 모양 등 차이점이 크게 두드러지지 않지만 시간이 지날수록 욱신거리는 통증도 심해지고 색깔도 불투명한 흰색을 지나 점차 갈색, 까만색으로 벌레가 먹은 듯이 보이게 되므로 자각 증상이 있거나 눈에 띄는 변화가 있을 때는 지체하지 말고 치과로 내원하셔서 검진과 치료를 받아보시길 권유드리고 있습니다.


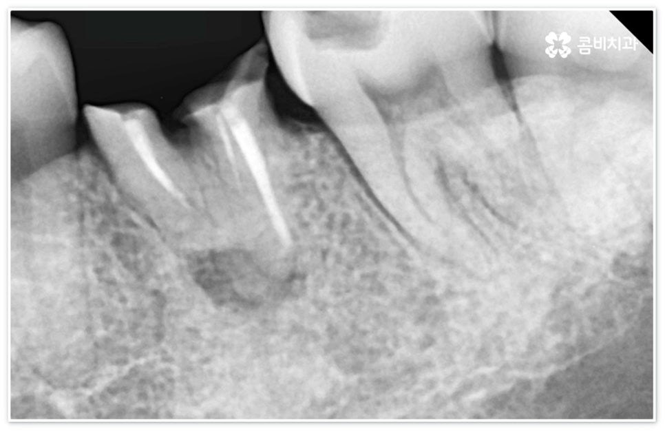
법랑질 안 쪽에는 상아세관이 모여있는데 손상이 이 상아질에 이르게 되면 온도 변화에 민감해지며 음식물을 씹을 때 시큰거리거나 찌릿한 통증을 느낄 수 있어요. 더욱 안쪽으로 세균이 침투하여 신경과 혈관이 모여있는 치수까지 닿게 되면 음식물을 씹지 않고 가만히 있을 때도 통증이 느껴지고 심한 경우 아파서 밤에 잠을 이룰 수 없게 되기도 하는데, 만약 이 시기도 지나치게 되면 치수가 괴사되고 치아 뿌리 끝까지 병소가 침범하여 결국 자연 치아를 살리지 못하고 발치 후 임플란트 시술을 받아야 할 수도 있습니다.
어떤 질병도 마찬가지이겠지만 특히 충치는 더욱 더 조기에 발견해 치료할 필요가 있는데요. 그 이유는 충치 같은 경우 피부나 뼈가 재생되듯이 자연적으로 나아지지 않고 구조적으로 점점 더 병증이 악화되는 쪽으로 속도가 빨라지기 때문인데, 제 때 상황에 맞는 적절한 치료를 받지 않으면 치통이 심해질 뿐 아니라 추후 치료를 진행하려고 할 때 들어가는 비용과 시간 역시 더 커질 수 있으니 될 수 있는 대로 초기에 충치 치료를 해 주는 것이 여러모로 환자분들의 부담을 덜 수 있는 방법일 거예요.
만약 법랑질 또는 상아질 일부에만 충치가 생긴 초기에 이를 발견하고 바로 대처하면 손상이 적기 때문에 우식 부위를 깨끗하게 제거하고 레진 등으로 직접 치료하거나 인레이, 온레이 같은 방식을 통해 간접적으로 보철물을 끼워넣을 때도 좀 더 빠르고 간편한 수복이 가능할 수 있어요. 그러나 바빠서 시간을 낼 수 없거나 또는 약간의 두려움 내지 무심함으로 치과 내원을 미룬 경우 우식 부위가 점차 넓어져 해줘야 할 치료도 더욱 고난도로 복잡해지게 되며 치수 조직까지 되돌릴 수 없는 손상을 입었다면 신경치료가 불가피 할 거예요.


많은 분들이 신경치료통증 에 대해서 문의를 주시는데, 물론 신경치료를 받을 정도로 치아가 손상이 되었다는 것은 이미 치통이 참을 수 없을 정도에 이르렀다는 반증이 될 것이기 때문에 ‘치료를 받을 때도 많이 아프지 않을까’ 하는 두려운 마음이 들 수 있겠으나 마취를 하고 진행하기 때문에 치료시 통증을 크게 걱정하실 필요는 없을 거예요. 특히 마취 주사 자체에 대한 막연한 공포심을 가지고 있는 분들도 있을 텐데 본원에서는 디지털무통마취기 아이젝을 이용하여 주사 바늘을 주입할 때 느끼는 통증을 80% 경감시키고 정량 및 정압 주입으로 주사 바늘 제거시 마취액이 누수될 가능성을 최소화하여 환자분들의 불편함을 줄이고 있으니 이런 부분에 대해서도 잘 알아보시고 도움 받아 보시길 권유드리고 있어요.



신경치료는 일견 간단해 보일 수 있으나 사람의 신경이 매우 얇고 또한 환자분들마다 신경관의 개수와 모양이 다 다르기 때문에 오염된 부위를 끝까지 깨끗하게 제거하기 위해서는 매우 섬세하고 뛰어난 기술력을 요하므로 다양한 임상 경험을 통해 풍부한 노하우를 가지고 있는 의료진과 함께 하실 필요가 있습니다.
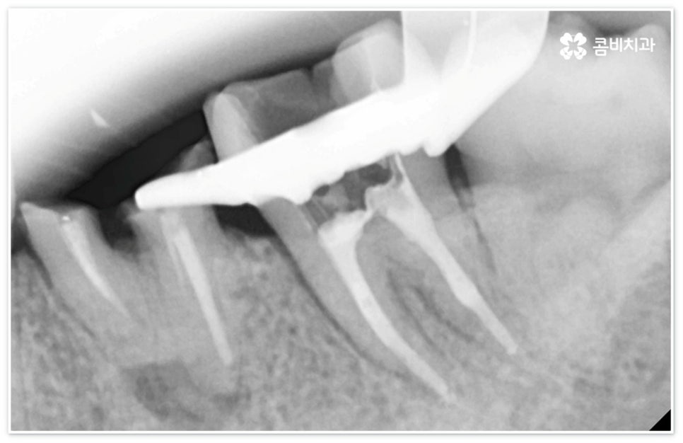
신경치료는 오염된 치수 조직을 제거하여 감염이 더이상 진행되지 않도록 하고 치과용 충전재로 내부를 빈틈없이 채운 후 크라운 보철물을 씌워 남아있는 자연 치아를 쓸 수 있도록 하는 치료이기 때문에 그 과정에서 치아 깊숙한 곳까지 기구로 파고들어 가므로 주변 치아 조직이 예민해지면서 치료 후 며칠에서 길게는 몇 주까지 신경치료통증 을 느끼실 수 있는데요.
이때 마취가 풀리면서 본격적으로 통증을 느끼게 되므로 시간을 맞추어 미리 진통제를 복용하는 것도 좋을 거예요. 진통제를 복용할 때는 꼭 의료진의 지시에 따라야 하며 혹시 상용하고 있는 다른 약이 있다면 진통 성분이 오남용되지 않도록 충분한 상담을 한 후 복용 스케쥴 등을 잘 조율하시길 권유드리고 있습니다. 며칠에 걸쳐서 치료가 진행되는 만큼 식사시 불편할 수 있으나 그렇다고 아무것도 먹지 않은 채로 진통제만 복용하면 속이 쓰리고 효과가 떨어질 수 있으니 이 부분도 주의하실 필요가 있어요.


혹여 미세한 부근관의 염증을 놓치거나 사후 외부 원인으로 2차 감염이 일어나는 경우 신경치료통증 이 오래 지속될 수 있으니 며칠이 지났음에도 욱신거림이 줄어들기는 커녕 점차 심해진다는 느낌이 있다면 다시 한 번 치과로 내원하셔서 꼼꼼하게 검진 후 필요한 치료를 받으시는 게 좋을 거예요. 상황에 따라 재신경치료를 진행해야 할 수도 있고 좀 더 지켜보면서 발치가 불가피하지는 않은지 신중하게 판단해야 할 수도 있는데요. 예를 들어 만약 신경치료통증 의 원인이 치료 전부터 치아 뿌리에 생겼던 미세한 균열 때문이라면 치료 받은 치아로 씹을 때 통증이 지속적으로 나타날 수 있고 재신경치료 등으로 이를 살릴 수 없으므로 이 통증이 일상생활에 큰 영향을 주지 않을 경우 최대한 사용하는 데까지 사용을 하다가 임플란트 치료를 권장 드리고 있으나 증상이 심할 경우 바로 발치를 해야 하며, 매우 낮은 확률이긴 하지만 신경관 내부 뿐 아니라 외부에도 세균 군집이 생겨 치아 뿌리 끝 염증이 나아지다가 다시 악화된 상황이라면 역시 약 처방 등으로 신경치료통증 을 잡을 수 없고 발치 후 임플란트 식립을 통해 치료해야 할 거예요.


신경치료는 자연 치아를 보존할 수 있는 거의 마지막 단계의 치료라고 할 수 있으므로 만약 이 시기도 놓쳐서 신경치료를 할 수 없을 정도로 치아에 손상이 심각하다면 발치 후 임플란트 식립을 진행해야 할 거예요. 현대에 임플란트 관련 기술이 많이 발달하여 보다 편안한 사용이 가능해졌다고 하지만 자신이 타고난 치아를 따라갈 수는 없을 것이기 때문에 될 수 있는대로 자연 치아의 수명을 늘리는 방향으로 보존 치료를 해 줄 필요가 있는데요. 그러나 구강 질환이나 사고 등을 이유로 신경치료 등으로도 살릴 수 없이 이미 수명을 다한 치아의 경우 기능적으로나 심미적으로나 빠르게 대체해 주어야 할 거예요.
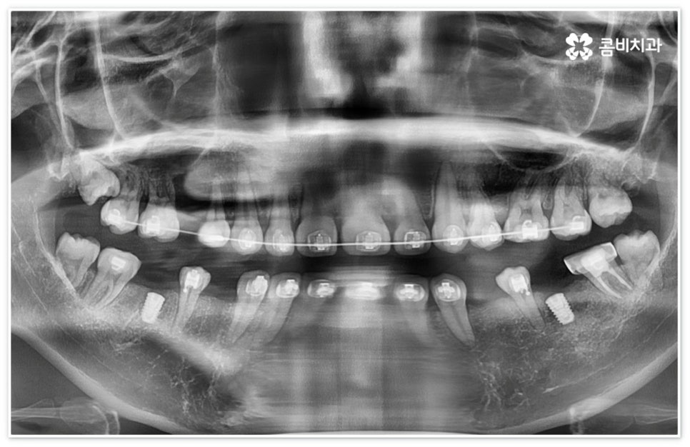
이때 환자분들마다 상황이 다를 수 있는데 예를 들어 교정 치료 중 충치 치료 (신경 치료) 및 발치와 임플란트 식립과 같은 고난도의 치료들을 함께 진행해야 하는 복잡한 케이스의 경우에는 더욱 시술자의 숙련도가 중요하다고 할 수 있어요. 의료진의 자격증, 경력 사항, 분과별 협진 여부 등을 잘 알아 보시고 필요한 치료들을 모두 통합적으로 진행할 수 있는지, 또한 환자분들의 상황을 꼼꼼하게 살필 수 있는 3D CT 와 같은 정밀 검진 기계를 갖추고 있는지 등을 체크해 보신 후에 처음부터 끝까지 책임 진료하는 의료진과 철저한 케어 시스템을 갖추고 있는 치과를 선택하셔서 제 때 필요한 치료를 받으시길 권유드리고 있습니다.
본 글은 콤비치과의 의료광고 포스팅입니다.
개인에 따라 출혈 및 부작용이 발생할 수 있고,
환자마다 치료 결과 및 기간이 상이할 수 있으므로,
정확한 치료 기간 및 치료 계획은
치과에서 상담을 받아보시길 권장 드립니다.
더 보기
이 병원의 공개 콘텐츠를 계속 살펴보세요
출처 아카이브로 돌아가 더 많은 글을 보거나, 병원 프로필로 이동해 다른 공개 채널도 함께 비교해보세요.