아카이브 요약
이 페이지의 역할
명동콤비치과의원의 네이버 블로그 원문을 보존한 아카이브 페이지입니다. 치아스토리♡ 카테고리의 앞니충치치료 어떻게 이뤄지나요 글을 통해 병원의 한국어 정보 제공 방식과 진료 관련 안내 톤을 확인할 수 있습니다.
원문 검증
필요하면 원문 블로그와 병원 프로필로 바로 이동해 문맥을 다시 확인할 수 있습니다.
출처 아카이브 열기아카이브된 블로그 글
명동콤비치과의원 · Naver Blog
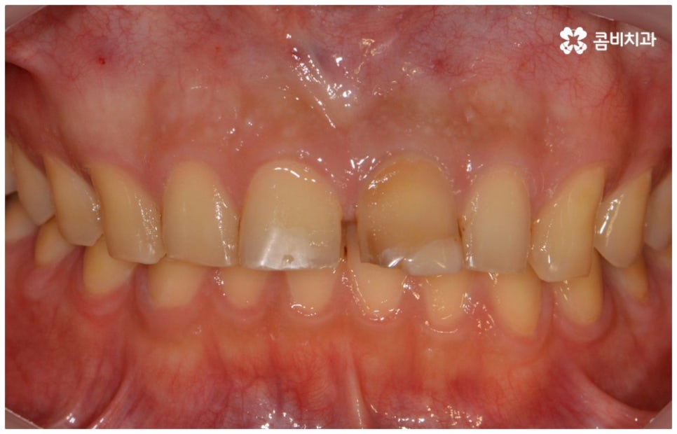
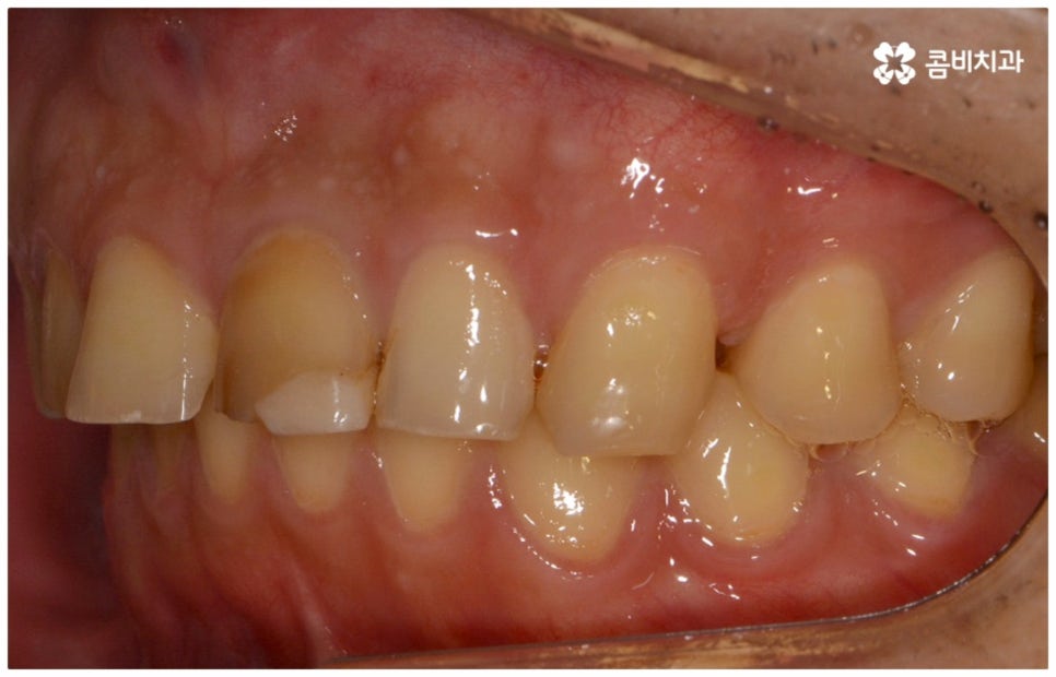
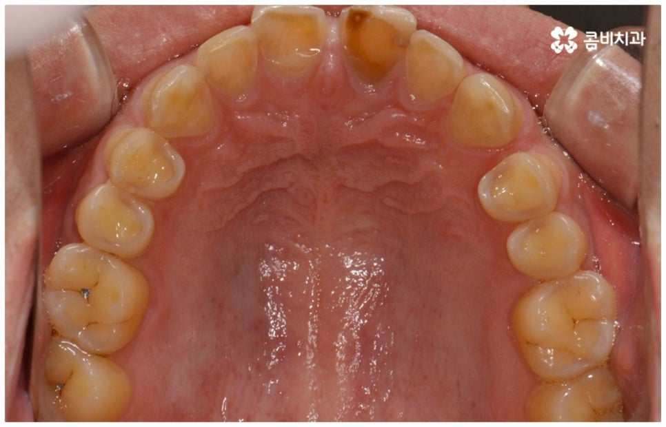
사람의 치아는 크기나 두께, 위치에 따라서 역할이 모두 다른데요, 그중에서 앞니의 경우 입을 벌렸을 때 가장 먼저 노출되는 치아이기 때문에 앞니가 변색되거나 깨지게 되면 신경이 쓰일 수 밖에 없을 거예요. 만약 구강 질환이나 외부 충격으로 인해 앞니에 이와 같은 손상이 생겼을 때 이것을 그대로 방치하게 되면...
게시일
2023년 6월 10일
원문 기준으로 확인된 발행일입니다.
카테고리
치아스토리♡
원문 블로그 카테고리를 정리해 함께 표시합니다.
이미지 수
13
현재 아카이브에 연결된 이미지 수입니다.
아카이브 요약
명동콤비치과의원의 네이버 블로그 원문을 보존한 아카이브 페이지입니다. 치아스토리♡ 카테고리의 앞니충치치료 어떻게 이뤄지나요 글을 통해 병원의 한국어 정보 제공 방식과 진료 관련 안내 톤을 확인할 수 있습니다.
원문 검증
필요하면 원문 블로그와 병원 프로필로 바로 이동해 문맥을 다시 확인할 수 있습니다.
출처 아카이브 열기사람의 치아는 크기나 두께, 위치에 따라서 역할이 모두 다른데요, 그중에서 앞니의 경우 입을 벌렸을 때 가장 먼저 노출되는 치아이기 때문에 앞니가 변색되거나 깨지게 되면 신경이 쓰일 수 밖에 없을 거예요. 만약 구강 질환이나 외부 충격으로 인해 앞니에 이와 같은 손상이 생겼을 때 이것을 그대로 방치하게 되면 통증은 물론 대인 관계에서 자신감을 상실하게 되는 원인이 될 수도 있고 손상 정도에 따라 음식물을 자르는 데도 어려움을 느낄 수 있으며 발음이 새거나 불분명해지는 문제가 생길 수도 있기 때문에 주의하실 필요가 있습니다.
게다가 치아는 한 번 손상되면 자연적으로 나아지지 않고 시간이 지날수록 손상이 심해지는 쪽으로 속도가 빨라지는 구조를 가지고 있어요. 그러므로 적합한 치료를 받지 않은 채 시간이 오래 경과하게 되면 앞니의 손상이 심해질 뿐 아니라 주변 치아까지 번질 수 있어서 구강 건강 전체에 악영향을 미칠 위험이 커지기 때문에 될 수 있는 대로 빠른 대처를 해 주시길 권유드리고 있습니다.




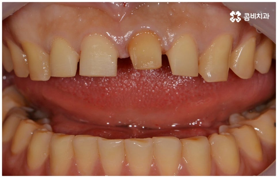
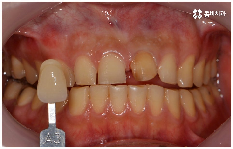
특히 앞니의 경우 가장 앞 쪽에 위치해 있으면서 두께가 얇기 때문에 넘어지거나 부딪혔을 때 금이 가거나 파절되기 쉽고 또한 제일 처음 음식물을 자르는 역할을 하므로 자칫 단단한 음식을 잘못 씹거나 젓가락 등을 세게 물어 깨질 가능성도 높으니 주의하실 필요가 있어요. 이 때 큰 충격이 가해진 것이 아니라서 환자분들의 입장에서는 별다른 문제가 생기지 않은 것처럼 보이는 경우라고 해도 치아 안쪽에 손상이 생겼을 수 있으니 만약 이렇게 앞니에 충격을 받는 일이 있었다면 경중을 따지지 말고 바로 치과로 오셔서 검진을 받아보시는 게 좋을 거예요.
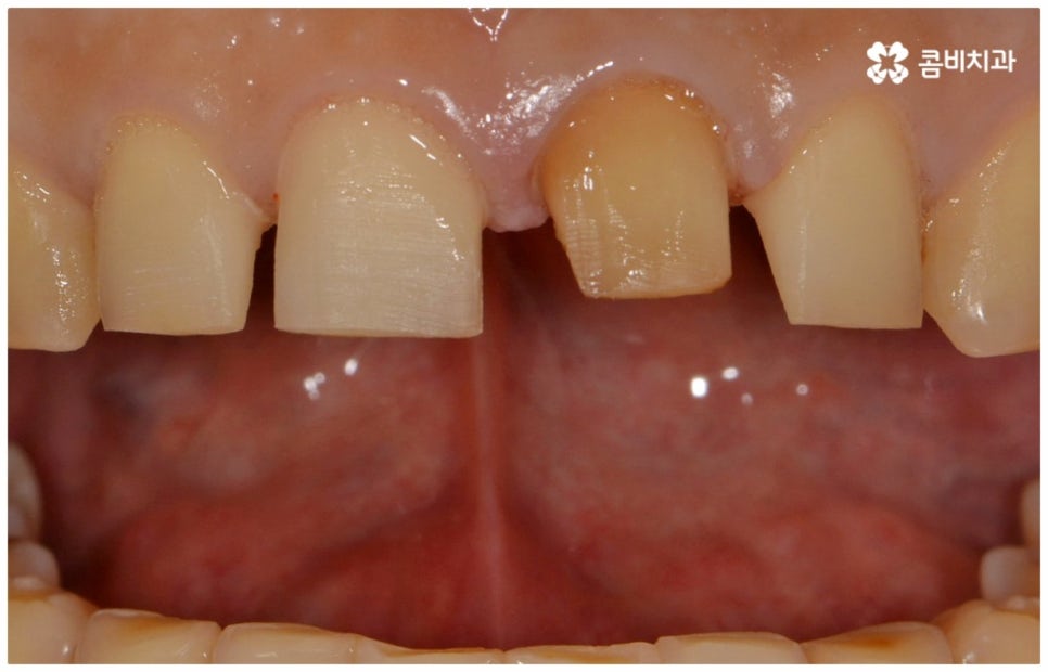
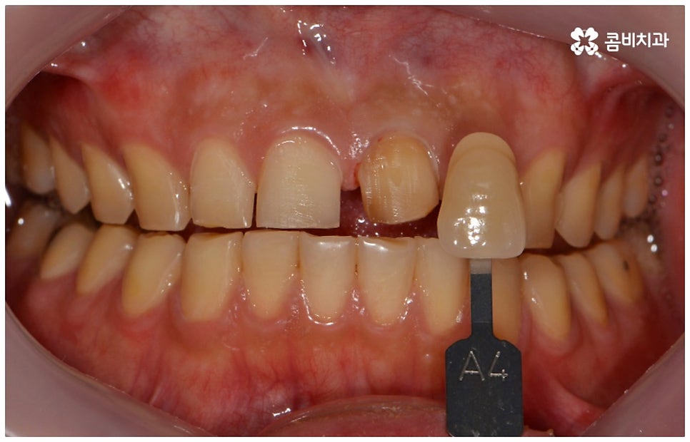
앞니 깨짐의 정도가 심하지 않을 때는 해당 부분 치아 겉면 법랑질만 약간 다듬거나 레진을 이용해 간단히 치료가 가능하지만 만약에 파절 범위가 넓거나 치수 내 신경 손상까지 의심될 때는 더욱 꼼꼼하게 확인해 볼 필요가 있는데요. 특히 앞니는 다른 치아에 비해 두께 자체도 얇고 해당 치아를 받치고 있는 잇몸뼈도 얇기 때문에 부러졌을 때 치아 가장 안쪽에 있는 치수가 드러나고 치근까지 영향을 받는 경우가 많은 편이라고 할 수 있어요. 3D CT와 같은 정밀 진단 장비를 통해 치근에 이상이 생기지는 않았는지 정확하게 검사를 해 본 다음 치아를 살릴 수 있다면 보존 치료를, 살릴 수 없다면 이를 대체해 줄 수 있는 임플란트나 틀니 등의 치료를 상황에 맞게 받으시면 될 거예요.


외부 충격을 받았을 때는 바로 치과로 내원하시는 분들이 종종 있으시지만 충치나 치주 질환 같은 경우 바쁘거나 두렵다는 이유로 내원을 미루시다가 통증을 참을 수 없는 지경에 이르러서야 치과를 찾으시곤 하는 분들이 많이 있어요. 정도가 심하지 않을 때는 대부분 별다른 증상이 없기 때문에 무심하게 넘어가기 쉽지만 만약에 약간 시린 듯한 통증이 느껴지거나 평상시와 다르게 앞니가 조금 변색된 것 같이 보인다면 바로 치과로 내원해 주시길 권유드리고 있습니다. 앞니는 매일 아침 양치질을 할 때 잘 보이는 치아이기 때문에 조금만 신경쓰신다면 모양이나 색이 평상시와 달라졌을 때 환자분들께서 알아차리기 쉬울 거예요. 반면에 어금니와 같은 치아는 구강 내부 가장 안쪽에 위치하고 있기 때문에 외관상 변화를 빠르게 알아차리는 것이 쉽지 않을 수 있으니 평상시 검진을 꾸준히 받아주실 필요가 있어요.
충치가 생겼을 때는 불투명한 흰점처럼 보이던 것이 점차 갈색을 거쳐 검은색으로 보이게 되며 구취가 나고 잇몸도 함께 부어오르는 경우가 많고 물리적 충격으로 치아 속 혈관이 터지거나 신경이 손상되면 치아가 검은색으로 변하게 되며 또한 복용하는 약으로 인해 변색이 일어날 수도 있는데요. 환자분들의 입장에서는 변색 원인이 무엇인지 정확하게 파악하기 어렵기 때문에 치과에 내원하셔서 정확한 검진을 받아보시고 그에 맞는 치료를 진행하시길 권유드리고 있습니다.


초기에는 앞니충치치료 역시 레진 등을 이용하여 보다 간단하고 빠르게 진행 가능하지만 만약 충치가 심해져서 신경까지 손상이 일어나는 경우 신경치료를 통해 이를 제거하고 남아있는 치아에 전체적으로 크라운 보철물을 씌워서 이를 계속 사용할 수 있도록 크라운 치료를 병행할 필요가 있어요. 치아의 겉면인 법랑질은 우리 신체 중에서 가장 단단하지만 치아 내부로 갈수록 무른 상아질 그리고 신경과 혈관이 많이 모여있는 치수가 나오므로 앞니충치치료 를 제 때 해주지 않으면 통증도 갈수록 심해지고 치료를 할 때도 불편함이 커지게 되는 거예요.
신경치료가 하루에 끝나는 과정이 아니다보니 이후 크라운 치료까지 받으려면 시간상 비용상 부담이 늘어나게 되기 때문에 크라운 치료를 꼭 해줘야 하는지 문의를 주시는 분들도 있는데 신경치료를 마친 치아의 경우 외부 충격에 많이 약해질 수 있는 상태이기 때문에 보호의 목적 및 저작 기능 수행의 측면에서 전체를 크라운 보철물로 감싸주는 과정이 필수적이라고 할 수 있습니다. 이때 치과 내 자체 기공소가 있다면 의료진과 보다 긴밀한 협조가 가능하여 치료 기간 단축은 물론 환자분들의 불편함을 덜고 빠르게 적응할 수 있도록 하는데 도움이 많이 될 거예요.


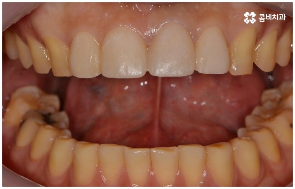
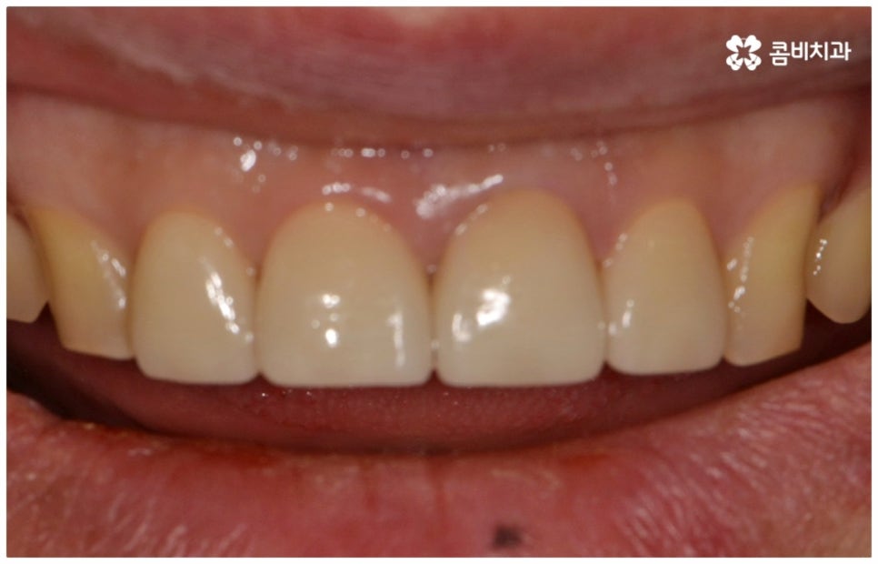
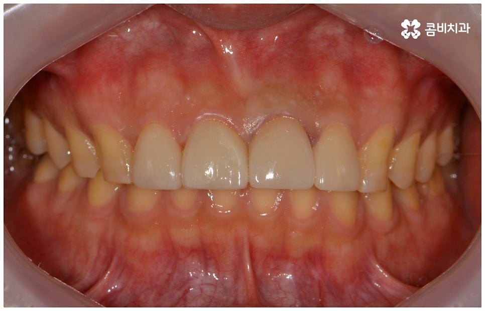
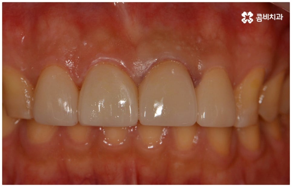
앞니충치치료 중 신경치료 및 크라운치료는 앞니를 살릴 수 있는 거의 마지막 단계의 보존치료라고 할 수 있는데요. 앞니의 경우 심미성이 중요하기 때문에 주변 다른 치아와 자연스럽게 어우러질 수 있는 색상과 투명도를 가지고 있는 재질을 이용하는 올세라믹 치료를 많이 진행하는데, 올세라믹의 경우 내부 금속을 사용하지 않아 잇몸과 만나는 부위에 검은 경계선이 드러날 가능성이 없다는 장점을 가지고 있어서 잇몸뼈가 얇은 앞니에 적합하다고 할 수 있어요.
자신의 원래 자연 치아와 꼼꼼하게 대조하면서 색상을 맞출 때 미백치료를 병행하여 전체적으로 치아 색상을 한단계 환하게 만들어 줄 수도 있으므로 이 부분에 대해서도 의료진과 충분히 상담해 보시면 보다 만족스러운 앞니충치치료 를 진행하실 수 있을 거예요.



올세라믹 치료는 사후 관리도 중요한데요, 치료 후 48시간 이내에는 커피, 와인, 카레 등 착색될 가능성이 많은 음식은 삼가고 흡연이나 음주 역시 절제하시는 것이 좋을 거예요. 신경치료로 주변 치아 조직이 예민해 진 상태이므로 며칠에서 일주일 정도는 너무 뜨겁거나 찬 음식을 먹지 않는 게 도움이 되며 앞으로도 심하게 딱딱하고 질긴 음식을 잘라먹거나 식사 시 젓가락 등을 실수로 물지 않도록 조심하실 필요가 있습니다.
또한 매일 양치질을 꼬박꼬박 잘 하고 검진 및 스케일링 치료를 주기적으로 받는 것을 잊지 않는 등 평상시 관리를 잘 하는 습관을 들이는 것이 구강 건강을 위해 보다 바람직할 거예요.
본 글은 콤비치과의 의료광고 포스팅입니다.
개인에 따라 출혈 및 부작용이 발생할 수 있고,
환자마다 치료 결과 및 기간이 상이할 수 있으므로,
정확한 치료 기간 및 치료 계획은
치과에서 상담을 받아보시길 권장 드립니다.