명동콤비치과의원 (명동)
노인임플란트 참고사항 알아봐요
기대 수명이 늘어나면서 삶의 질에 대한 관심 또한 높아지고 있습니다. 이른바 웰에이징이라고 하는 과정, 즉 점점 더 길어지는 인생의 후반기를 어떻게 하면 더욱 활기차고 건강하게 보낼 수 있을지에 대해 고민하는 분들이 늘어나고 있는데요. 요즘과 같은 100세 시대에 특히 중요한 부분은 바로 구강 건강이라고 할...
아카이브 요약
이 페이지의 역할
명동콤비치과의원 (명동)의 네이버 블로그 원문을 보존한 아카이브 페이지입니다. 치아스토리♡ 카테고리의 노인임플란트 참고사항 알아봐요 글을 통해 병원의 한국어 정보 제공 방식과 진료 관련 안내 톤을 확인할 수 있습니다.
기대 수명이 늘어나면서 삶의 질에 대한 관심 또한 높아지고 있습니다. 이른바 웰에이징이라고 하는 과정, 즉 점점 더 길어지는 인생의 후반기를 어떻게 하면 더욱 활기차고 건강하게 보낼 수 있을지에 대해 고민하는 분들이 늘어나고 있는데요. 요즘과 같은 100세 시대에 특히 중요한 부분은 바로 구강 건강이라고 할 수 있을 거예요. 이는 직접적인 영양 섭취와 관련이 있을 뿐 아니라 말을 하거나 웃는 등 사회적인 활동을 하는 데도 크게 영향을 미치기 때문에 기능적이로나 심미적으로나 굉장히 중요한 문제이므로 신경써서 케어할 필요가 있어요.
구강 건강을 위해서는 평상시에 정기 검진 및 스케일링 치료를 통해 꾸준히 관리해 주는 것이 가장 좋지만 여러 가지 상황상 이것이 어렵다면 자각 증상이 있을 때 바로 대처 하시기만 해도 좋을 거예요. 치료 시기를 놓치지 않는 것이 중요한 이유는 치아와 잇몸이 다양한 이유로 손상을 입었을 때 이것이 자연적으로 회복되지 않고 시간이 지날수록 빠르게 악화일로를 걷는다는 데 있어요. 그렇기 때문에 치아에 시린 통증이 느껴지거나 잇몸이 부어오르고 피가 나는 등의 증상이 있을 때는 될 수 있는대로 빨리 치과로 내원하셔서 꼼꼼한 검진 및 적합한 치료를 진행해 보시길 권유드리고 있습니다.


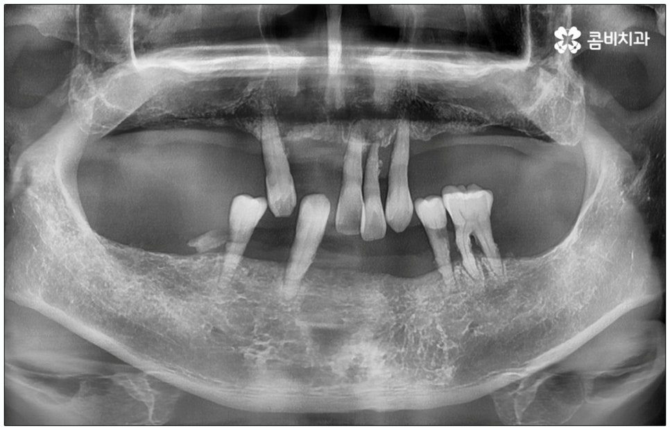
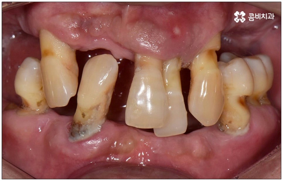
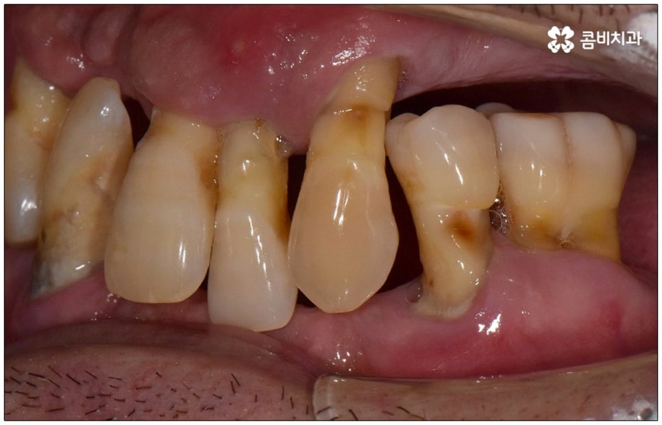
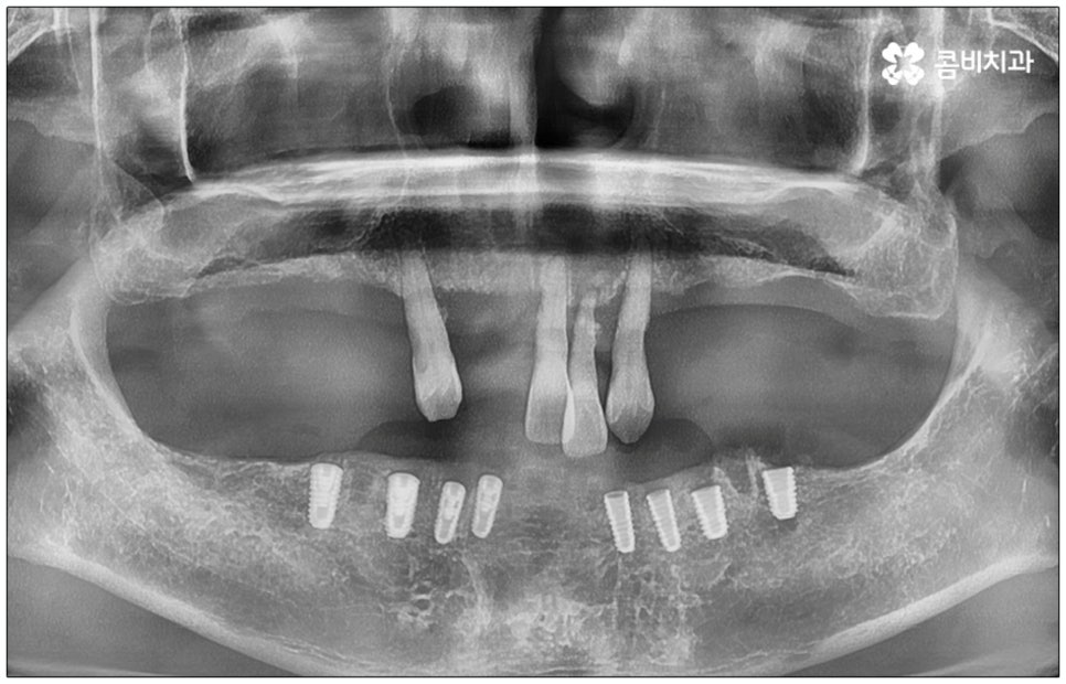
사람의 치아는 영구치에서 유치로 바뀌고 나서는 평생 다시 새롭게 나지 않기 때문에 사고나 구강 질환으로 자연 치아를 상실하게 되면 이를 인공 치아로 대체할 필요가 있어요. 치아 상실에 대해 예전에는 틀니를 많이 이용했지만 관리가 어렵고 탈착식이다보니 음식을 먹을 때 저작 기능이 떨어지며 자칫 탈락하는 경우가 잦아 불편함이 커서 요즘은 임플란트 수술을 통해 인공 치아를 직접 식립하는 쪽을 더 선호하고 있습니다. 임플란트는 잇몸뼈에 인공 치근을 심어 골유착을 유도하는 것이기 때문에 환자분의 잇몸뼈 상황이 식립 성공률과 지속성, 안정성 등에 굉장히 크게 영향을 미치므로 결국 잇몸을 평상시에 얼마나 잘 관리해 주었는지 여부가 중요하다고 할 수 있어요.



성인 이후 치아 상실의 주된 원인은 바로 풍치인데요, 풍치 즉 치주 질환은 잇몸(치은)을 포함한 치아 주위 조직에 급성 또는 만성으로 염증이 생겨서 손상이 일어난 것을 의미하고 있습니다. 이러한 풍치의 주된 원인은 치태와 치석으로, 음식물 찌꺼기와 치아 표면의 세균막(치태=플라그)이 엉겨붙어 굳어진 치석은 평상시의 칫솔질로는 제거되지 않기 때문에 스케일링 치료를 통해 주기적으로 제거해 줄 필요가 있어요. 치석이 점점 쌓이면 세균이 급증하는 온상이 되어 주변 조직에 염증이 발생하기 쉽고 병증이 심해질수록 치주인대와 치조골까지 손상이 깊어져 결국 치아가 빠지게 되는 거예요. 풍치로 치아를 잃게 되면 임플란트를 심는데도 어려움이 있기 때문에 이렇게 상황이 나빠지기 전에 제 때 적합한 치료를 받을 필요가 있어요. 하지만 잇몸의 경우 병증이 많이 깊어질 때까지 잘 알아차리기 힘든 경우가 많으므로 정기 검진 및 스케일링과 같은 평상시의 관리가 중요하다는 말씀을 드린 거예요.


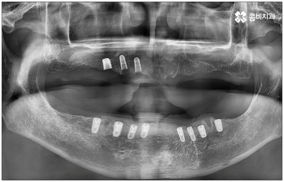
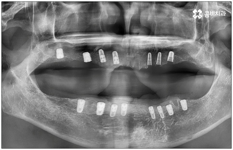
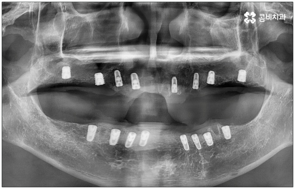
임플란트 수술을 할 때는 환자의 치아 특징, 상실 원인 및 시기, 턱과 치아의 구조 및 주변 관계 등을 꼼꼼하게 파악한 뒤 식립을 진행하는데, 이와 같이 노인임플란트 수술의 경우에는 특히 현재 건강 상태를 세세하게 체크할 필요가 있으며 이때 환자분께서 고혈압이나 당뇨 등 전신 질환을 앓고 있다면 더욱 주의해야 할 거예요. 또한 평상시 환자분께서 장기 상용하는 약이 있다면 종류에 따라 지혈을 어렵게 하거나 감염의 위험성을 높일 가능성이 있는 약도 있기 때문에 필요하다면 관련 부서와 협진하여 수술 스케줄 앞뒤로 약의 복용에 대해 조정하는 등 이에 대해 정확하게 알아두는 것이 중요하므로 반드시 사전 상담을 통해 의료진에게 고지해 주시길 바라고 있습니다.


전신 질환을 앓고 있는 분들이나 고령의 환자분들, 다수의 임플란트가 필요한 분들의 경우 컴퓨터 분석을 활용한 임플란트 방식을 통해 도움받아 볼 수 있는데요. 네비게이션 임플란트라고 불리는 이 방식은 첨단 장비를 통해 육안으로 확인하기 어려운 구강 내부의 골조직, 신경 등의 해부학적 구조를 살펴본 다음 3D 모의 수술을 통해 최적의 수술 경로를 찾아내어 가이드를 제작하고 이를 장착하여 그대로 진행하기 때문에 보다 정확하고 안전하게 노인임플란트 수술을 진행할 수 있습니다.
이러한 네비게이션 임플란트 방식은 디지털 기술로 위험 요소를 사전 분석하여 식립 위치와 각도를 보다 정교하게 예측하기 때문에 임플란트 부작용의 발생률을 낮추고 식립 안정성을 높일 수 있는데요. 무절개 또는 최소절개 수술이기 때문에 시술 시간이 짧고 통증이 적으며 회복 기간이 빠르다는 장점을 가지고 있으나 정밀 검진 후 상황상 골유착 과정의 안정성이 떨어질 수 있는 케이스의 경우에는 절개 및 개방 후 수술을 진행하는 것이 좀 더 유리하기 때문에 꼼꼼한 검진, 정확한 판단, 의료진의 높은 숙련도가 굉장히 중요하다고 할 수 있어요.
특히 다수의 치아를 상실했을 때 전체적인 교합, 골조직 및 잇몸 상태, 얼굴형과의 조화 등 모든 부분을 종합적으로 고려하여야 하며 노인임플란트 수술의 경우 다양한 변수가 발생할 수 있기 때문에 이러한 고난도 임플란트 케이스에 노련하게 대처할 수 있도록 풍부한 임상 경험과 노하우를 갖춘 의료진인지, 정밀 검진 기계를 보유하고 있는지, 처음부터 끝까지 철저한 케어 시스템을 갖추고 사후 관리까지 꼼꼼하게 진행하는지 등을 잘 살펴보시고 임플란트 수술을 진행할 치과를 신중하게 선택하시길 권유드리고 있습니다.


2025년이 되면 한국의 고령 인구 비중이 20.6% 로 초고령 사회에 진입할 것으로 보여진다고 하는데요, 자연 치아를 보다 오랜 기간 동안 건강하게 사용할 수 있기 위해서 젊었을 때부터 관리를 꾸준하게 해 주는 것도 중요하지만 혹시라도 치아의 일부 또는 전체를 상실하게 되었을 때 이를 수복하기 위한 방법에 대해서도 잘 알아두고 시기를 놓치지 말고 바로 임플란트 수술 등을 진행하는 것 또한 중요한 부분일 거예요.
특히 만 65세이상 부분 무치악 환자의 경우에는 노인임플란트 수술을 받을 때 건강 보험 혜택을 통해 평생 2개까지 자기 부담금 30%로 보다 저렴하게 이용해 볼 수 있으니 이에 대해서도 잘 알아보시고 도움받아 보시길 바라고 있어요. 만약 구강 질환이 너무 많이 진행되어 잇몸뼈가 이미 상당 부분 녹아서 뼈이식이 추가로 이루어져야 하거나 상악동 거상술과 같이 노인임플란트 수술의 안전성과 지속성을 높이기 위한 사전 처치가 필요한 경우 등에 있어서는 보험 혜택 대상에서 제외되는 부분이 있을 수 있으니 자세한 사항들은 의료진과 꼼꼼하게 상담해 보시고 진행해 보시면 좋을 거예요.
본 글은 콤비치과의 의료광고 포스팅입니다.
개인에 따라 출혈 및 부작용이 발생할 수 있고,
환자마다 치료 결과 및 기간이 상이할 수 있으므로,
정확한 치료 기간 및 치료 계획은
치과에서 상담을 받아보시길 권장 드립니다.
더 보기
이 병원의 공개 콘텐츠를 계속 살펴보세요
출처 아카이브로 돌아가 더 많은 글을 보거나, 병원 프로필로 이동해 다른 공개 채널도 함께 비교해보세요.