명동콤비치과의원 (명동)
누런치아 하얗게 바꾸고 싶다면
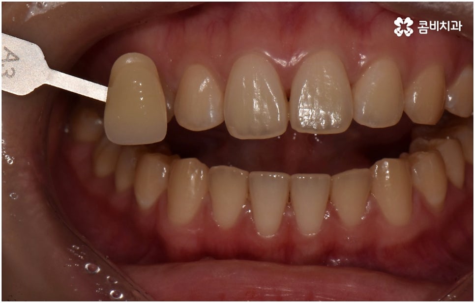
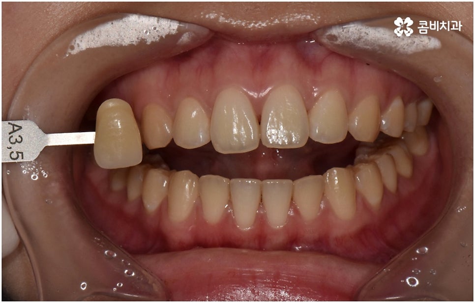
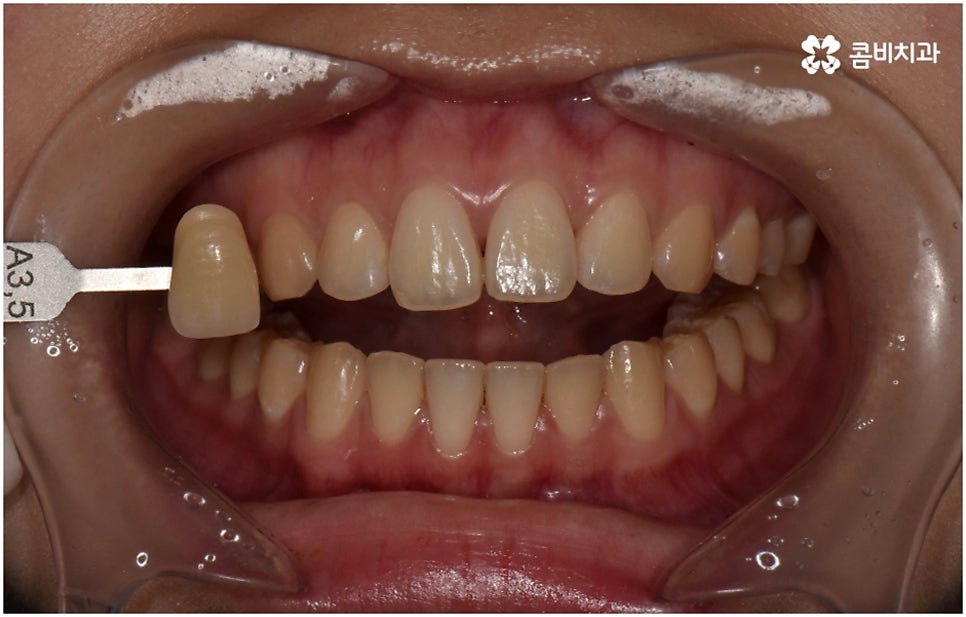
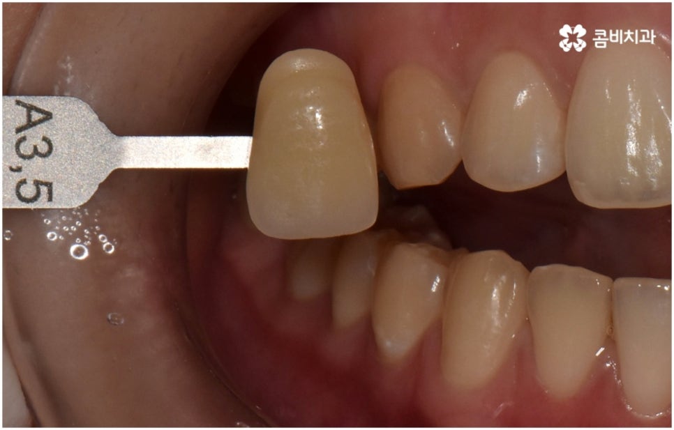
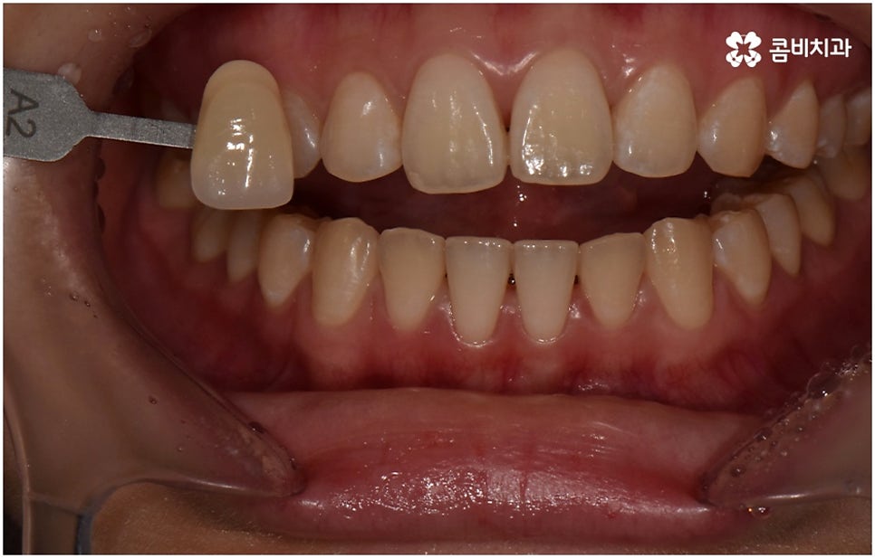
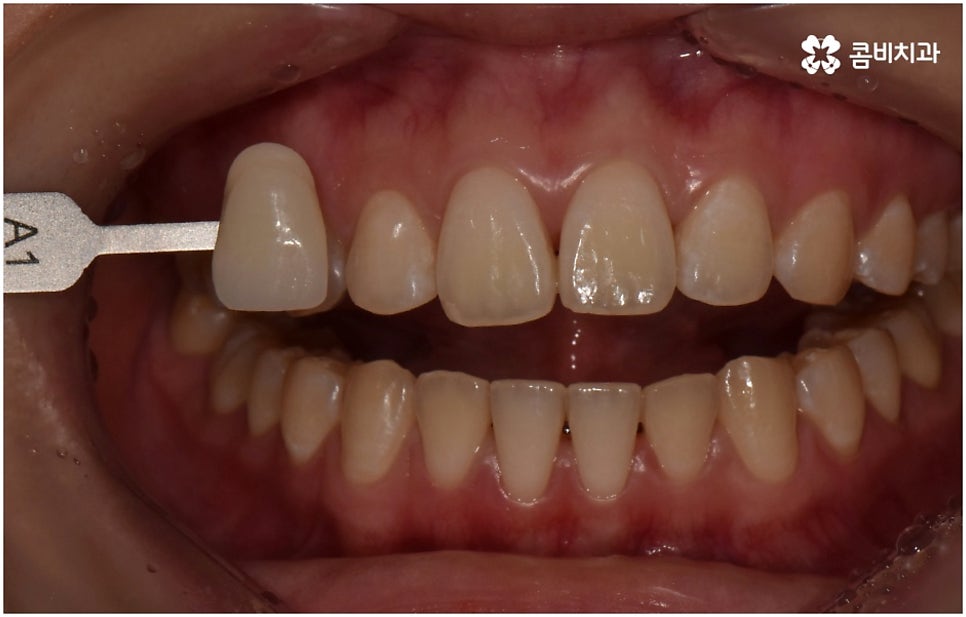
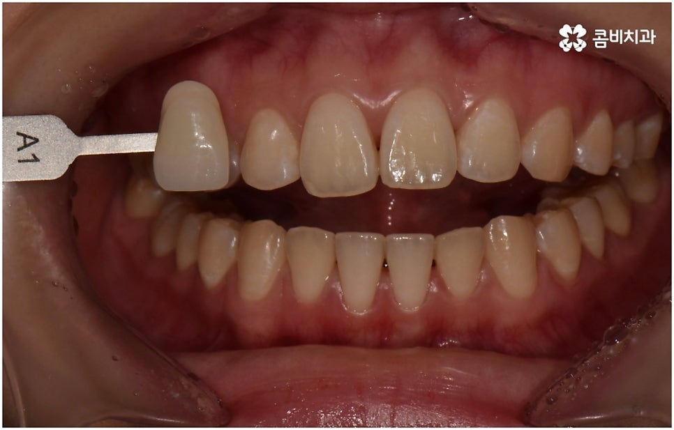
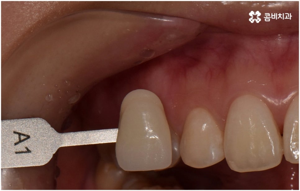
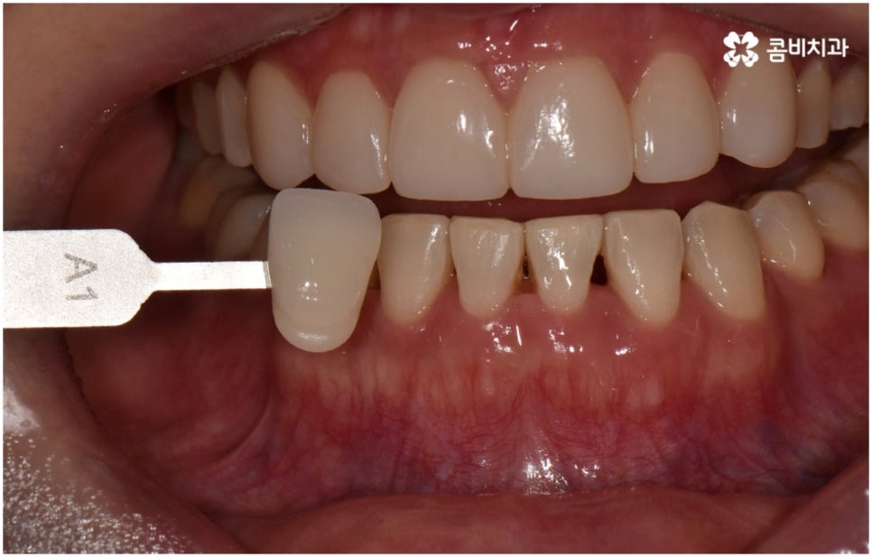
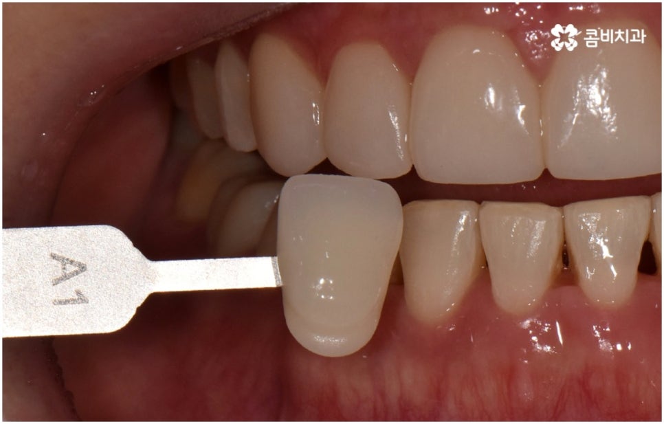
6월 1일부로 코로나 예방을 위한 마스크 착용 의무가 병원급 의료기관 등 일부를 제외하고 해제됨에 따라 그동안 신경을 덜 썼던 구취 제거 및 치아 미백에 대한 니즈가 늘어나 치과로 문의를 주시는 분들이 많아지고 있습니다. 요즘은 집에서 셀프로 하는 치아 미백 제품도 많이 나와 있지만 사실 환자분들마다 누런치...
아카이브 요약
이 페이지의 역할
명동콤비치과의원 (명동)의 네이버 블로그 원문을 보존한 아카이브 페이지입니다. 치아스토리♡ 카테고리의 누런치아 하얗게 바꾸고 싶다면 글을 통해 병원의 한국어 정보 제공 방식과 진료 관련 안내 톤을 확인할 수 있습니다.
6월 1일부로 코로나 예방을 위한 마스크 착용 의무가 병원급 의료기관 등 일부를 제외하고 해제됨에 따라 그동안 신경을 덜 썼던 구취 제거 및 치아 미백에 대한 니즈가 늘어나 치과로 문의를 주시는 분들이 많아지고 있습니다. 요즘은 집에서 셀프로 하는 치아 미백 제품도 많이 나와 있지만 사실 환자분들마다 누런치아 의 원인이나 변색 정도가 모두 다르기 때문에 각 상황에 맞는 섬세한 미백 케어를 혼자서 하기는 쉽지 않다고 할 수 있는데요.
예를 들어 누런치아 정도가 많이 심각하지 않고 단순한 색소 침착 문제일 경우 꾸준히 사용한다면 간단한 자가 미백 제품으로도 어느 정도 효과를 볼 수 있을 것이나 혹여 도포량과 시간을 제대로 지키지 않아 부작용이 있을 수도 있고 원인이 구강 질환 또는 다른 신체 질환에 있는 경우 그것부터 해결해 주지 않으면 만족할 만한 결과가 나오지 않을 수도 있어요. 그렇기 때문에 미백 치료는 일견 간단하게 보일 수 있지만 안정성이 검증된 정품 재료를 사용하여 환자분들의 상태에 맞게 횟수 등을 조절하는 것이 관건이라고 할 수 있는 과정이기 때문에 치과에 들러서 꼼꼼한 검진부터 받아보시고 숙련된 의료진과 충분히 상담해 보신 후 맞춤 치료를 진행하시길 권유드리고 있습니다.


누런치아 를 가지고 있으면 웃을 때나 말을 할 때 지저분한 인상을 줄 수 있기 때문에 스트레스가 될 수 있어요. 식사 후 하는 양치질, 정기 검진 및 스케일링 치료 등 일상 생활 속에서 구강 위생 관리를 철저하게 해 주는데도 치아가 누렇게 되었다면 더욱 변색 이유가 궁금하거나 속상하실 수 있는데요.
참고로 말씀드리면 스케일링 치료의 경우는 물리적으로 치아와 치아 사이, 치아와 잇몸 사이에 낀 이물질을 빼내주는 것이기 때문에 엄밀히 말해서 누런치아 의 색상을 원래대로 돌려놓는 미백 치료는 아니지만 치석이 물들었다가 치석 자체가 떨어져 나가고, 니코틴이나 치태가 제거되면서 지저분해 보였던 부분이 깨끗해질 수는 있기 때문에 스케일링 치료를 받은 후에 치아가 환하게 느껴진다는 느낌을 받으실 수는 있을 거예요. 시간이 얼마 지나지 않은 초기 착색의 경우라면 양치질이나 스케일링 치료로 도움을 받을 수도 있을 것이나 법랑질 구멍 깊숙히 침착된 오래된 색소를 빼내기 위해서는 화학적 미백 치료가 꼭 필요하다고 할 수 있습니다.


누런치아 의 원인은 무엇일까요? 먼저 유전적 원인을 생각해 볼 수 있습니다. 타고나길 치아 색상이 탁하거나 변색이 쉽게 일어날 수 있는 거예요. 또한 치아는 희고 투명한 바깥쪽 법랑질과 연노랑 색을 띄는 안쪽 상아질, 그리고 더 안쪽의 치수로 나뉘어져 있는데요. 사람마다 각각의 두께가 다른데 법랑질이 두꺼우면 치아가 희고 말갛게 보이고, 법랑질이 얇으면 안쪽 상아질의 노란색이 더 많이 비쳐 보이기 때문에 어릴 때부터 이가 누렇게 보일 수 있어요. 태어났을 때부터 법랑질이 얇은 것이 아니라고 해도 나이를 먹으면서 점점 법랑질이 닳게 되면 치아 색상이 조금씩 누렇게 보일 거예요.
음식이나 기호 식품 속의 색상이 법랑질의 유기 구멍 속으로 들어가 침착이 됨으로써 치아 색상이 누렇게 변색되는 경우도 있습니다. 강한 색상을 가지고 있는 음식으로는 카레, 커피, 초콜릿, 와인 등이 대표적이며 담배의 니코틴 성분도 치아 변색에 큰 영향을 미친다고 알려져 있어요.
구강 질환을 앓고 있으면 충치로 인해 치아의 일정 부분이 갈색, 검은색으로 보일 수 있고 치아에 강한 외부 충격이 가해진 경우 내부 신경이 손상되어 치아가 푸른색, 검은색으로 보일 수 있습니다. 다른 신체 질환을 치료하기 위해 특정 항생제 (테트라사이클린 혹은 미노사이클린) 를 오랜 기간 복용했을 때 치아가 갈색으로 변하거나 검은 줄이 생길 수 있는데 이렇게 변색된 치아는 치과 치료로도 되돌리기 어려우니 이런 점들에 대해서 의료진과 미리 충분히 상담을 해 보시고 자신에게 맞는 치료를 진행하시길 권유드리고 있어요.


특히 치아 변색이 신경쓰이는 부위는 앞니라고 할 수 있는데요. 만약 치아 변색과 함께 앞니 사이가 살짝 벌어져 있거나 치열이 약간 삐뚤어져 있는 경우 치아 성형의 일종인 라미네이트 시술을 통해 이를 함께 개선해 줄 수 있어요. 라미네이트란 치아 겉표면을 살짝 긁어낸 후 얇은 도자기판을 붙이는 시술로 인조손톱을 붙여주는 과정을 떠올려보면 좀 더 이해가 쉬울 거예요. 이때 꼭 필요한 양만 삭제하는 것이 중요하기 때문에 경험이 풍부한 숙련된 의료진에게 시술을 맡기는 것이 필요하며 또한 원내 자체 기공소를 가지고 있는 치과라면 훨씬 섬세하고 빠르게 보철물 제작 및 맞춤 보완이 이루어질 것이므로 이런 점들도 한 번 체크해 보시길 권유드리고 있습니다.


만약 사고로 앞니를 부딪혔는데 겉에서 보기에 크게 치아가 부러지거나 금이 가지는 않았지만 시간이 지날수록 통증이 심하거나 안쪽에서 검푸르게 변색이 일어나는 것이 보인다면 내부 신경에 손상을 입었을 가능성이 높다고 할 수 있어요. 이런 경우 지체하지 말고 치과로 내원하셔서 꼼꼼하게 검진을 받고 신경치료 및 실활치 미백 치료, 신경치료를 통해 앞니를 수복할 필요가 있습니다. 실활치 미백 치료란 치수 신경이 제거된 상태에서 미백 약제를 투입하고 밀폐시키는 것으로, 갑작스러운 사고 상황 외에도 재신경치료가 필요한 상황 등에서 쓰이며 추후 환자분들의 상황을 보고 개선된 정도에 따라 라미네이트나 올세라믹 등의 보철 치료가 더 필요할 수 있으니 참고해 주시면 좋을 거예요.


치아 미백 시술의 효과는 영구적인 것이 아니기 때문에 치료 후 항상 일상 생활 속에서 신경써서 관리를 해 줄 필요가 있습니다. 보통 2~3년 정도의 주기로 미백 치료를 받으면서 집에서 미백 치약 등으로 관리하면 하얗고 깨끗한 치아를 보다 오랜 기간 동안 건강하게 유지하면서 사용할 수 있는데요.
먼저 색소가 강한 음식은 최대한 자제하는 것이 좋은데 현실적으로 담배 등을 바로 끊는 것이 어렵다면 미백 시술 직후 1~2주 정도 삼가하고 이후 조금씩 줄여볼 것을 권장하고 있습니다. 음식을 먹은 후에는 양치질을 꼬박꼬박 해 주는 게 좋지만 만약 외부에 있어서 양치하는 것이 쉽지 않은 상황이라면 입 안을 가볍게 물로 헹궈내어 착색을 완화시키는 것도 도움이 될 거예요. 언급했던 것처럼 치태가 쌓이고 딱딱하게 굳어 생긴 치석은 구강 질환을 일으키는 세균의 온상이 되기도 하고 색소가 침착되기도 용이한데 양치질로 제거가 되지 않기 때문에 정기적으로 스케일링 치료를 받는 습관을 들이는 것도 구강 건강과 치아 변색 방지를 위해 중요한 포인트라고 할 수 있습니다.
본 글은 콤비치과의 의료광고 포스팅입니다.
개인에 따라 출혈 및 부작용이 발생할 수 있고,
환자마다 치료 결과 및 기간이 상이할 수 있으므로,
정확한 치료 기간 및 치료 계획은
치과에서 상담을 받아보시길 권장 드립니다.
더 보기
이 병원의 공개 콘텐츠를 계속 살펴보세요
출처 아카이브로 돌아가 더 많은 글을 보거나, 병원 프로필로 이동해 다른 공개 채널도 함께 비교해보세요.