아카이브 요약
이 페이지의 역할
명동콤비치과의원의 네이버 블로그 원문을 보존한 아카이브 페이지입니다. 치아스토리♡ 카테고리의 성인 치아교정 기간 걱정이 앞서나요 글을 통해 병원의 한국어 정보 제공 방식과 진료 관련 안내 톤을 확인할 수 있습니다.
원문 검증
필요하면 원문 블로그와 병원 프로필로 바로 이동해 문맥을 다시 확인할 수 있습니다.
출처 아카이브 열기아카이브된 블로그 글
명동콤비치과의원 · 콤비덴탈 치과의사 황용인
치열이 삐뚤어져서 불편함을 느끼고 교정 치료를 받고 싶어도 혹여 많이 비싸거나 기간이 너무 오래 걸리는 등 부담이 크지 않을까 염려가 되실 수 있습니다. 또한 중장년 성인분들의 경우 지금 나이에 교정 치료를 시작해도 되는지, 성인 치아교정 기간 은 얼마나 걸리는지 등도 많이 궁금해 하시고 있는데요. 결론...
게시일
2023년 7월 10일
원문 기준으로 확인된 발행일입니다.
카테고리
치아스토리♡
원문 블로그 카테고리를 정리해 함께 표시합니다.
이미지 수
16
현재 아카이브에 연결된 이미지 수입니다.
아카이브 요약
명동콤비치과의원의 네이버 블로그 원문을 보존한 아카이브 페이지입니다. 치아스토리♡ 카테고리의 성인 치아교정 기간 걱정이 앞서나요 글을 통해 병원의 한국어 정보 제공 방식과 진료 관련 안내 톤을 확인할 수 있습니다.
원문 검증
필요하면 원문 블로그와 병원 프로필로 바로 이동해 문맥을 다시 확인할 수 있습니다.
출처 아카이브 열기치열이 삐뚤어져서 불편함을 느끼고 교정 치료를 받고 싶어도 혹여 많이 비싸거나 기간이 너무 오래 걸리는 등 부담이 크지 않을까 염려가 되실 수 있습니다. 또한 중장년 성인분들의 경우 지금 나이에 교정 치료를 시작해도 되는지, 성인 치아교정 기간 은 얼마나 걸리는지 등도 많이 궁금해 하시고 있는데요.
결론부터 말씀드리자면 교정 치료에 적기가 따로 정해져 있는 것은 아니며 성인 치아교정 기간 의 경우 환자분들의 상황에 따라 달라지기 때문에 먼저 정밀 검진을 받아보신 후 숙련된 의료진과 상담을 하시면서 자세히 알아보시는 것을 권유드리고 있어요.
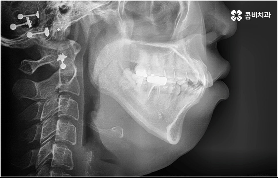
3D CT 등 정밀 검진 기계를 통해 꼼꼼하게 검진을 한 후 환자분들의 부정교합의 종류 및 정도 등에 따라 각자에게 맞는 교정 치료 계획을 수립하게 되는데, 내부 공간이 얼마나 있는지에 따라 발치가 필요한지 아닌지 여부도 달라지고 또 같은 부정교합이라고 해도 사람마다 잇몸 건강이나 치근 상태 등에 따라 잇몸뼈가 벌어지면서 치아가 이동하는 속도, 치아가 자리잡는 양상 등도 모두 달라지기 때문에 성인 치아교정 기간 총 소요 시간은 모두 달라질 수 밖에 없을 거예요.


물론 일반적으로 성장기보다는 잇몸뼈가 굳어진 이후 성인 치아교정 기간 이 길어질 수 밖에 없으나 이 역시 케이스별로 달라질 수 있어요. 예를 들어 만약 임플란트를 심으려고 할 때 공간이 없거나 주변 치열이 삐뚤어져서 어려움이 있기 때문에 하는 교정이거나 앞니 일부가 조금 벌어지고 살짝 각도가 앞으로 나와 있는 등 별다른 골격적 문제 없이 기능성 및 심미성을 보다 개선해 주기 위해서 하는 교정의 경우는 부분 교정으로 진행하기 때문에 보통 발치 과정도 포함되지 않고 성인 치아교정 기간 도 6~8개월 정도로 보다 빠르게 끝날 수 있습니다.
하지만 부정교합의 정도가 심하거나 골격적 문제를 바로잡아 주어야 하는 경우는 전체 교정을 진행해야 하기 때문에 (환자분들마다 다르지만) 평균적으로 18~36개월 정도의 성인 치아교정 기간 이 소요되며, 중장년 성인분들 중에 잇몸 질환 등으로 구강 건강이 약해져 있는 분들의 경우에는 더욱 환자분들의 상황에 맞게 필요한 치료를 병행하면서 무리하지 않은 진행을 해야 하기 때문에 전체 기간이 좀 더 늘어날 수 있어요.




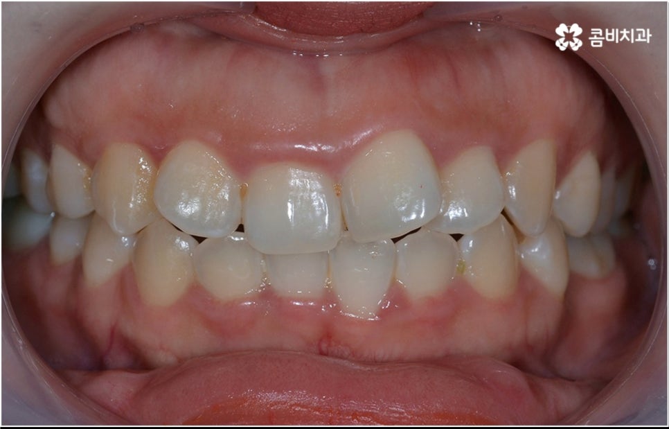
치열이 삐뚤어져 있으면 기능적 심미적으로도 불편하지만 구강 건강과 관련하여 음식물 찌꺼기가 자주 끼고 충치 및 잇몸병과 같은 구강 질환에 노출될 가능성이 높아지는 등 관리가 어렵다는 문제도 커지기 때문에, 점점 길어지는 노년기에 건강하고 활기찬 생활을 하기 위해서 구강 건강이 굉장히 중요한 역할을 한다는 점을 상기해 봤을 때 중장년 성인 교정 치료에 대해서 괜한 두려움으로 미루기 보다는 더 늦기 전에 검진을 받아보고 필요한 도움을 받을 수 있는지 적극적으로 알아보는 것이 보다 바람직한 태도라고 할 수 있을 거예요.


물론 아직 잇몸뼈가 다 굳어지지 않고 성장이 한참 진행 중인 청소년기에 교정 치료를 하게 되면 보다 빠르고 효과적으로 치아 이동을 시킬 수 있기 때문에 치료 시기에 대해서 신중하게 생각해 볼 필요는 있어요. 치열에 영향을 미치는 것 중에 유전적인 원인 역시 무시하지 못하기 때문에 만약 부모님께서 부정교합으로 인해 여러 가지 불편함을 겪으셨다면 아이의 치열에도 관심을 가지고 잘 관찰하시다가 필요하다는 생각이 든다면 치과에 함께 내원하셔서 검진 및 상담을 진행해 보시길 권유드리고 있습니다.
특히 부정교합의 종류 중에 청소년기보다 더 어릴 때 1차적으로 골격적인 부분을 조절하면서 보다 균형잡힌 성장을 유도하는 것이 필요한 케이스도 있으니 46세 정도의 유치열기 또는 78세 정도의 혼합치열기 초반 무렵부터 치과에 주기적으로 방문하여 검진 및 스케일링 등 치아 상태에 대해 전반적인 점검도 받으면서 혹시 교정 치료가 필요하지 않은지 여부도 확인해 보면 좋을 거예요.




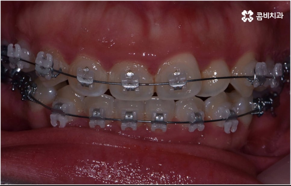
성인 치아교정 기간 이 길어지면 생활상 또는 업무상 활발한 대인 관계를 맺고 있으신 분들의 경우 교정 장치가 눈에 띄는 문제 때문에 불편함을 느끼실 수 있어요. 하지만 최근 관련 기술의 발달로 장치들 역시 심미성이 뛰어난 것들이 많이 개발되었으며 선택의 폭이 넓어졌기 때문에 치료 과정 중에도 이러한 부담감을 줄이고 보다 만족도를 높일 수 있습니다.
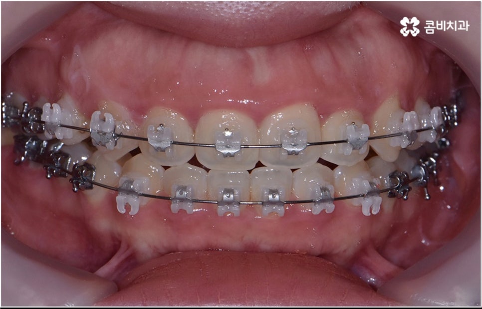
치아 색상의 세라믹 브라켓을 이용하는 장치들은 예전 메탈 장치 보다 심미성이 훨씬 보완되었으며, 치아 뒤쪽에 장치를 부착하여 아예 눈에 띄지 않는 설측교정장치나 언뜻 보면 티가 잘 나지 않는 얇고 투명한 특수 강화 플라스틱을 이용하는 투명교정장치를 이용하면 교정을 하고 있다고 본인이 말을 하지 않으면 잘 모를 정도로 심미성이 뛰어나기 때문에 각 장치들의 소재와 특성, 장단점에 대해서 잘 알아보고 신중한 선택을 하는 것이 중요하다고 할 수 있어요.
다만 투명교정은 교정 장치를 탈부착할 수 있기 때문에 환자 스스로 이를 정해진 시간만큼 착용해야 치아 이동이 원활하게 이루어지므로 치료에 성실하게 임하는 자세가 중요함을 잘 인지하실 필요가 있어요. 가장 대표적인 투명교정장치인 인비절라인의 경우 3D 시뮬레이션을 통해 교정 결과를 예측하고 1:1로 환자에게 맞는 교정 장치를 한 번에 모두 제작하여 치료를 진행하게 되므로 술자의 노하우와 숙련도가 무엇보다 중요한데, 자격 역시 인비절라인 인증의 자격을 취득한 의료진 만이 다룰 수 있게 엄격하게 통제되고 있으니 이 점에 대해서도 잘 체크해 보시고 이용하시는 게 좋을 거예요. 다만 한 번에 장치를 모두 제작한다는 단점이 있어 인비절라인과 비슷한 원리인 투명교정을 추천하는 경우도 종종 있습니다. 투명교정의 경우 치아의 이동량에 따라 본을 떠서 장치를 제작하기 때문에 중간중간 예기치 못한 변수에도 대응이 가능한데요. 이 부분은 상담을 통해서 담당 원장님과 현재 상황에 맞는 교정 장치를 선택하여 진행을 해주시는 게 좋습니다.




장치 자체는 교정 결과에 미치는 영향이 크지 않은 만큼 선택시 환자분들이 중요하게 생각하시는 부분을 반영할 수 있는 여지가 있으니 의료진과 충분한 상담을 통해 각자에게 맞는 장치를 고르시면 좋을 거예요. 또한 동일한 장치를 사용한다고 하더라도 환자분들마다 상황이 다르기 때문에 섬세한 맞춤 진료가 가능하기 위해서는 3D CT 와 같은 정밀 검진 기계가 있고 풍부한 임상 경험을 통해 뛰어난 기술력을 갖추고 있는 의료진이 처음부터 끝까지 책임 진료하는 치과에서 교정 치료를 진행하실 필요가 있으며, 이와 더불어 사후 관리까지 철저하게 이루어지는 케어 시스템이 있는지, 전공과목별 협진 시스템이 잘 운영되고 있는지 등도 꼼꼼하게 체크해 보시길 권유드리고 있어요.
본 글은 콤비치과의 의료광고 포스팅입니다.
개인에 따라 출혈 및 부작용이 발생할 수 있고,
환자마다 치료 결과 및 기간이 상이할 수 있으므로,
정확한 치료 기간 및 치료 계획은
치과에서 상담을 받아보시길 권장 드립니다.