명동콤비치과의원 (명동)
임플란트 종류 어떤게 맞을까요?
사람의 치아는 유치에서 영구치로 바뀌고 나면 다시 새롭게 나지 않기 때문에 만약 충치 등 구강 질환이나 노환, 외부 사고로 인해 치아를 잃게 되면 이를 대체해 줄 필요가 있습니다. 저작 기능을 담당하고 있기 때문에 치아가 없으면 매일 식사를 할 때 불편함이 크고 발음이 부정확해 질 수도 있으며 양치질을 할...
아카이브 요약
이 페이지의 역할
명동콤비치과의원 (명동)의 네이버 블로그 원문을 보존한 아카이브 페이지입니다. 치아스토리♡ 카테고리의 임플란트 종류 어떤게 맞을까요? 글을 통해 병원의 한국어 정보 제공 방식과 진료 관련 안내 톤을 확인할 수 있습니다.
사람의 치아는 유치에서 영구치로 바뀌고 나면 다시 새롭게 나지 않기 때문에 만약 충치 등 구강 질환이나 노환, 외부 사고로 인해 치아를 잃게 되면 이를 대체해 줄 필요가 있습니다. 저작 기능을 담당하고 있기 때문에 치아가 없으면 매일 식사를 할 때 불편함이 크고 발음이 부정확해 질 수도 있으며 양치질을 할 때도 음식물 찌꺼기가 잘 끼는 등 위생 문제가 생길 가능성도 있어요. 또한 앞니 같이 잘 보이는 위치에 있는 치아를 상실하였을 경우 심미적으로도 자신감이 떨어질 수 있는데다 치아 상실 후 시간이 오래 지나도록 그대로 방치하게 되면 주변 치아들이 해당 부위 쪽으로 기울어지게 되고 잇몸뼈 역시 흡수가 일어나기 시작하기 때문에 옆 치아도 내려가면서 치열이 불규칙하게 바뀔 수 있습니다. 결국 심한 경우 상악과 하악의 불균형 및 안면비대칭까지 유발할 수 있기 때문에 치아가 빠졌을 때는 인공 치아를 통해 기능적 심미적인 대체를 해 줄 필요가 있는데요.



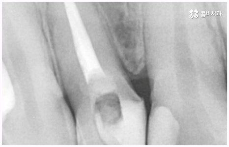
이러한 치아 상실에 대해 예전에는 틀니와 브릿지 시술을 많이 받았지만 요즘 대세는 임플란트 식립이라고 할 수 있어요. 틀니처럼 탈락의 위험이 잦거나 음식을 먹을 때 제약이 크게 따르지 않으며 브릿지처럼 양 옆 치아를 제거하지 않아도 되는 임플란트는 치아가 빠진 잇몸에 직접 티타늄 인공 치근(픽스처)을 심은 다음 지대주(연결 부위)를 이어주고 크라운(치아 머리 보철물)을 씌워 수복을 하는 것이기 때문에 저작 능력의 회복이 탁월하고 겉에서 봤을 때 거의 자신의 치아와 다름없이 자연스럽게 보인다는 장점으로 인해 많은 분들이 선호하시는 거예요.


임플란트 종류 는 환자분들의 상황에 따라 달라지기 때문에 먼저 꼼꼼하게 정밀 검진을 받아보고 숙련된 의료진과 충분히 상담을 해 볼 필요가 있습니다. 환자분들의 치아 및 잇몸과 뼈의 상태, 전신 건강 등을 종합적으로 살펴보고 만약 필요하다면 선행 치료부터 받게 될 거예요. 선행 치료는 보통 임플란트 식립을 하게 된 치아 상실의 원인, 그리고 치아가 상실된지 얼마나 오랜 시간이 흘렀는지 여부에 따라 달라지는데 예를 들어 비교적 어린 나이에 큰 사고를 당해서 치아를 잃게 되었을 때 지체없이 바로 치과로 내원한 경우, 잇몸뼈가 건강하고 나이 등 회복력에 대한 기대치도 높은 편이며 다른 전신 질환, 상용약 등 잇몸에 지속적인 영향을 줄 만한 요소가 없다고 한다면 별다른 선행치료 없이 임플란트 종류 중 당일 심고 바로 임시 치아로 식사를 할 수 있는 원데이 임플란트를 통해 보다 빠르고 간편한 수복을 할 수 있어요.


보통은 인공 치근을 식립한 후에 얼마 동안 시간을 두어 골유착이 잘 일어나게 한 후에 지대주(연결 부위)를 연결하고 크라운 보철물을 제작, 장착해 주는데 여기서 개개인의 상황이 모두 다르기 때문에 회복 기간이 얼마나 걸릴지 정확하게 알 수는 없지만 대부분 3~6개월 정도라고 보면 될 거예요. 그동안은 불편한 상태로 사용을 할 수 밖에 없는데 만약 검진 및 발치, 식립, 임시 치아 제작 및 장착까지 모두 하루 만에 이루어진다면 임플란트 치료 기간을 줄일 수 있을 뿐 아니라 내원 횟수 및 통증과 불편감 또한 감소시킬 수 있을 것이기 때문에 시간적인 여유가 많지 않은 직장인분들, 학생들, 유학생분들이나 지방에 거주하시는 분들과 같은 경우에 임플란트 종류 중 원데이 임플란트 식립에 대해서 관심을 많이 보이고 있습니다. 그러나 말씀드린 것처럼 누구나 받을 수 있는 것은 아니기 때문에 먼저 잇몸뼈의 상태를 꼼꼼하게 체크하여 가능성 여부를 알아볼 필요가 있으니 검진 및 상담부터 진행해 보시길 권유드리고 있어요.


비용이나 시간적인 부담이 만만치 않기 때문에 임플란트를 보다 오랜 기간 동안 건강하게 사용하려면 어떻게 해야 하는지 궁금해 하시는 분들이 많이 있으실 거예요. 임플란트 식립 성공률 및 지속률에 가장 크게 영향을 주는 것은 환자분들의 잇몸뼈 건강 상태 및 술자의 숙련도라고 할 수 있는데요. 예를 들어 구강 질환을 원인으로 한 병증이 심각하거나 치아를 상실한지 오랜 시간이 지나 잇몸뼈의 흡수가 많이 일어났기 때문에 높이와 밀도 등이 식립을 진행하기에 충분하지 않다면 뼈이식을 선행하여 기반부터 튼튼하게 보충해 줄 필요가 있어요. 또한 노화로 인해 상악동이 내려왔다면 상악동 거상술을 통해 공간을 확보해 주어야 하는데 이렇게 고난도 수술의 경우 다양한 임상 경험을 통해 풍부한 노하우와 뛰어난 기술력을 가지고 있는 의료진과 함께 하는 것이 무엇보다 중요하다고 할 수 있습니다.


이때 심장 질환이나 당뇨, 고혈압 등 전신 질환을 앓고 계신 분들 중에 감염에 취약하고 약물에 의한 혹시 모를 합병증이 걱정되어 임플란트 식립을 망설이시는 분들이 있을 수 있는데, 검진 및 상담을 철저하게 진행한 후에 주치의와 협진하여 상용약 의 복용 스케줄을 미리 조절해 주고 섬세한 치료 계획과 시술 과정을 통해 환자분들의 상황에 딱 맞는 임플란트 종류 를 무리하지 않게 식립하게 되면 잇몸 조직 손상을 최소화하여 환자분들의 부담을 줄일 수 있을 것이니 막연한 두려움으로 인해 치아 상실 후 시간을 지체하시기 보다는 될 수 있는대로 빨리 내원하셔서 필요한 치료를 받으시는 것이 좋을 거예요.
또한 임플란트 종류 중에 네비게이션임플란트라고 해서 3D-CT, 3D 컴퓨터 분석을 통하여 최적의 위치와 각도를 계산하여 정확하고 정밀하게 임플란트를 식립하는 방법이 있는데, 이와 같이 3D 모의 수술을 통해 제작된 가이드로 수술을 진행하게 되면 일반적인 경우 무절개, 필요한 경우 최소 절개를 하므로 통증이 적고 비교적 시술 시간이 짧아지며 상대적으로 출혈, 감염 등의 위험성을 줄일 수 있으니 전신 질환자 및 고령 환자분들의 경우 이 방법에 대해서도 고려해 보시고 상담을 통해 가능 여부를 알아보시길 권유드리고 있어요. 환자분들의 상황에 따라 개방 후 수술을 진행하는 것이 식립 성공률과 지속적인 안정성을 높이는데 유리하다는 판단이 들면 네비게이션 방법이 아닌 일반 임플란트 수술을 진행할 필요가 있기 때문에, 첨단 장비를 보유하고 풍부한 노하우를 통해 각 환자분들께 딱 맞는 치료 계획을 세울 수 있는 의료진과 충분하게 상담해 보시는 게 좋을 거예요.




임플란트는 관리를 철저하게 해 준다면 거의 반영구적으로 쓸 수 있다고 알려져 있을 만큼 잘 유지 관리하는 것이 굉장히 중요한데, 그 첫 단계가 정확한 위치와 각도로 식립하는 과정이라고 할 수 있어요. 임플란트가 잘못된 위치에 식립되거나 너무 깊게 또는 얕게 식립되면 교합이 잘 맞지 않고 저작 활동을 할 때 무리가 가 잇몸병을 유발함으로써 임플란트의 수명을 줄일 수 있기 때문인데, 이때 임플란트 제작시 커스텀 지대주를 사용하면 환자분들의 구강 구조에 정확하게 맞는 각도로 보철물을 식립할 수 있어서 더욱 편안한 사용을 할 수 있을 거예요. 식립 후 너무 많이 딱딱하거나 끈끈한 음식은 조심하시는 편이 좋으며, 이후 꾸준하고 지속적인 검진 및 스케일링 치료를 통해 위생을 청결하게 해 주면 임플란트 수명을 연장하는데 도움이 될 수 있습니다.
본 글은 콤비치과의 의료광고 포스팅입니다.
개인에 따라 출혈 및 부작용이 발생할 수 있고,
환자마다 치료 결과 및 기간이 상이할 수 있으므로,
정확한 치료 기간 및 치료 계획은
치과에서 상담을 받아보시길 권장 드립니다.
더 보기
이 병원의 공개 콘텐츠를 계속 살펴보세요
출처 아카이브로 돌아가 더 많은 글을 보거나, 병원 프로필로 이동해 다른 공개 채널도 함께 비교해보세요.