아카이브 요약
이 페이지의 역할
명동콤비치과의원의 네이버 블로그 원문을 보존한 아카이브 페이지입니다. 치아스토리♡ 카테고리의 명동치과 타고난 이의 수명은 글을 통해 병원의 한국어 정보 제공 방식과 진료 관련 안내 톤을 확인할 수 있습니다.
원문 검증
필요하면 원문 블로그와 병원 프로필로 바로 이동해 문맥을 다시 확인할 수 있습니다.
출처 아카이브 열기아카이브된 블로그 글
명동콤비치과의원 · Naver Blog
구강 건강은 웰에이징에 있어 핵심적인 요소라고 할 수 있습니다. 나이를 먹어감에 따라 자연스럽게 기능이 떨어지는 부분이 생길 수는 있겠지만 자연 치아를 잘 관리하고 잇몸 건강을 철저하게 신경써서 구강 건강을 일정 수준 이상 유지한다면 기능적 심미적 측면을 넘어 활력 넘치는 생활을 할 수 있도록 삶의 질을 업...
게시일
2023년 7월 17일
원문 기준으로 확인된 발행일입니다.
카테고리
치아스토리♡
원문 블로그 카테고리를 정리해 함께 표시합니다.
이미지 수
17
현재 아카이브에 연결된 이미지 수입니다.
아카이브 요약
명동콤비치과의원의 네이버 블로그 원문을 보존한 아카이브 페이지입니다. 치아스토리♡ 카테고리의 명동치과 타고난 이의 수명은 글을 통해 병원의 한국어 정보 제공 방식과 진료 관련 안내 톤을 확인할 수 있습니다.
원문 검증
필요하면 원문 블로그와 병원 프로필로 바로 이동해 문맥을 다시 확인할 수 있습니다.
출처 아카이브 열기구강 건강은 웰에이징에 있어 핵심적인 요소라고 할 수 있습니다. 나이를 먹어감에 따라 자연스럽게 기능이 떨어지는 부분이 생길 수는 있겠지만 자연 치아를 잘 관리하고 잇몸 건강을 철저하게 신경써서 구강 건강을 일정 수준 이상 유지한다면 기능적 심미적 측면을 넘어 활력 넘치는 생활을 할 수 있도록 삶의 질을 업그레이드 시킬 수 있다는 점에서 굉장히 중요한 포인트가 될 수 있는데요. 그 이유는 치아의 기본적인 역할인 저작 기능의 중요성에서 살펴볼 수 있어요.
저작이란 쉽게 말해 씹는 것을 의미하며, 위아래 치아가 맞물려 음식물을 꼭꼭 씹어 잘게 부수고 갈아주는 것이 소화를 돕는 치아의 가장 1차적인 역할인 저작 기능이라고 할 수 있습니다. 이는 우리 몸에 꼭 필요한 영양소를 공급하는 데에도 큰 영향을 미치지만 그 밖에도 전신 건강에 미치는 영향 또한 크기 때문에 이에 대해서도 알아두시면 좋을 거예요.


씹는 행위를 많이 하면 뇌로 가는 혈류량 및 산소 공급이 원활해져서 뇌의 활성화를 도와주기 때문에 성장기 청소년의 정신적, 신체적 발육에 긍정적인 영향을 미칠 뿐 아니라 노년기 어르신들의 치매 예방에도 도움을 줄 수 있어요 (치아 상실과 치매 발생의 상관 관계를 밝힌 연구가 있음). 또한 잘 씹는 것이 당뇨병 환자의 혈당 수치를 떨어뜨릴 수 있다는 연구 결과도 나와 있어서 비만이나 당뇨 예방에도 유의미한 영향을 미친다는 것을 알 수 있습니다.
저작 기능 뿐 아니라 치아는 말을 할 때 분명한 발음을 할 수 있도록 해 주는 조음 기관이며, 턱관절과 함께 얼굴 윤곽, 즉 하관을 잡아주는 역할도 하기 때문에 심미적인 균형 면에서도 중요한 역할을 하고 있어요. 대인 관계에서 자신감이나 태도를 결정하는 데에도 영향을 주고 있기 때문에 심리적인 중요성도 크다고 할 수 있습니다. 그렇다면 이렇게 중요한 치아, 치아를 받쳐주는 잇몸, 위아래 교합과 관련된 턱관절 등 모든 부분을 종합적으로 생각했을 때 구강 건강을 지키는 방법은 무엇일까요?



어떤 질병이든 이미 발병하고 나서 대응하는 것 보다는 평상시에 예방을 위해 힘쓰고 건강할 때 이를 유지하기 위해 노력하는 것이 좋다는 것은 당연한 얘기지만 또한 무심하게 넘길 수 있는 얘기이기 때문에 주의하실 필요가 있어요. 평상시 구강 건강을 지키는 방법 중 무엇보다 중요한 것은 내부 위생 관리에 신경 쓰는 것인데 그 이유는 충치 및 잇몸병 등 많은 구강 질환이 위생 관리가 불량한 데서 시작하기 때문이라고 할 수 있습니다. 위아래로, 즉 치아가 난 방향으로 너무 세지 않게 칫솔질을 해 주는 것과 치실 사용으로 꼼꼼하게 사이 사이 음식물 찌꺼기가 남아있지 않도록 해 주는 것, 그리고 평상시 칫솔질로 제거되지 않는 치석을 없애기 위해 주기적으로 명동치과 에 들러서 스케일링 치료를 받는 것을 추천드리고 있어요.


요즘은 많은 분들이 스케일링 치료 및 정기 검진의 중요성에 대해서 잘 인지하고 계시지만 예전에는 삼시세끼 식사 후 칫솔질을 잘 하는데 평상시에 왜 명동치과 에 정기적으로 방문해야 하는지 문의 주시는 분들도 많이 있었어요. 치태가 음식물 찌꺼기와 엉겨붙어 굳어서 치아 사이사이 또는 치아와 잇몸 사이에 치석으로 딱딱하게 자리잡게 되면 이것은 칫솔질로 떨어지지 않고 시간이 지날수록 점점 더 세균이 증식하는 온상이 되어 구강 질환을 일으킬 가능성이 높아지기 때문에 스케일링 치료로 치석을 물리적으로 떼어내 주실 필요가 있어요.
1년에 한 번 또는 두 번 정도 주기로 스케일링 치료를 받을 때 정기적으로 정밀 검진을 함께 받아주는 것이 좋은 이유는 혹시라도 자신이 자각하지 못하는 구강 질환이 발생하지 않았는지 살펴보고 초기에 대응하는 것이 자연 치아를 살리는 데 보다 바람직하다는 데 있습니다. 즉 예방의 차원도 있지만 구강 질환의 경우 한 번 발병하면 자연적으로 나아지지 않고 점점 더 병증이 심해지는 쪽으로 빠르게 진행되기 때문에 될 수 있는 대로 초기에 발견하여 필요한 치료를 해 주는 것이 더 이상의 진행을 막고 또한 자연 치아를 더 많이 보존할 수 있는 최선의 방법이라고 할 수 있어요.




하지만 아직도 두려움이나 또는 일상이 바쁘다는 이유로 더이상 참을 수 없을 정도로 치통이 심해진 후에야 명동치과 에 내원하시는 분들이 있어요. 심한 경우 자연 치아를 살릴 수 없는 상황이 생길 수도 있기 때문에 될 수 있는 대로 시리거나 쑤시는 등 통증이 시작되었을 때 바로 치과로 오셔서 검진 및 치료를 받아보시길 권유드리고 있습니다. 초기에 발견할수록 통증도 적고 치료를 할 때 시간적인 부담이나 비용적인 부담도 줄어드는 것이 사실이나 충치 초기 법랑질에만 손상이 있을 때는 통증이 없고 잇몸 질환 역시 심해질 때까지는 크게 아프지 않기 때문에 자각 증상에만 기대기에는 한계가 있어서 정기적인 검진이 대단히 중요하다고 말씀을 드린 거예요.
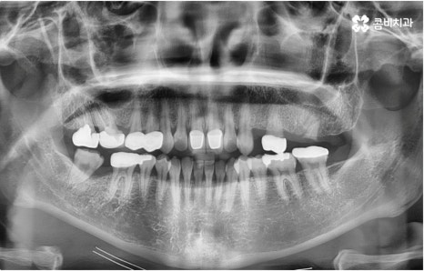
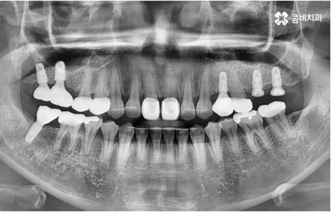
자연 치아를 살리기 위한 거의 마지막 단계의 보존 치료가 바로 신경치료, 재신경치료, 치근단절제술 등이며, 만약 치아재식술을 통해서도 살릴 수 없을 정도로 손상이 깊고 심하다면 해당 치아를 발치하고 임플란트를 통해 인공 치아로 대체해 줄 필요가 있습니다.




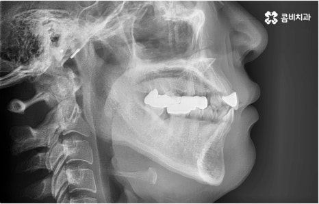
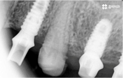
임플란트는 유치, 영구치 이후로 제 3의 치아라고 불리울 만큼 자연 치아의 상실에 대처하는 인공 치아 중에 가장 각광을 받고 있습니다. 저작력 회복이 80%에 가깝고 심미적으로 자신의 치아와 거의 다름없어 보이는 부분에서도 만족도가 높아 많은 분들이 찾고 있지만 식립 성공률과 안정적인 지속률에 크게 영향을 주는 올바른 위치 및 각도로의 식립을 무리하지 않게 진행하기 위해 술자의 높은 숙련도를 요하는 고난도의 수술이기 때문에 임상 경험이 많고 뛰어난 노하우를 갖추고 있는 담당의 선생님과 함께 하시는 것이 중요한 포인트라고 할 수 있어요.
환자분들의 상황에 따라 하루 만에 식립 및 임시 치아 장착까지 끝나서 바로 식사를 할 수 있는 원데이 임플란트 과정, 정밀 검사 후 디지털 장비를 이용하여 모의 수술 후 맞춤 가이드를 따라 무절개 / 최소절개 수술을 진행하는 네비게이션 임플란트 과정 등 관련 기술이 점점 더 섬세하게 발달하고 있어서 보다 편안한 이용이 가능하게 된 것은 사실이지만 본래 자신의 치아보다 좋은 인공 치아는 없을 것이기 때문에 건강할 때 이를 잘 유지 관리하고 구강 질환이 발생했을 때는 되도록 빠르게 이에 대처하실 필요가 있어요.


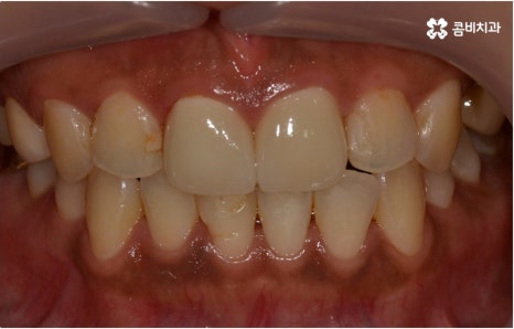
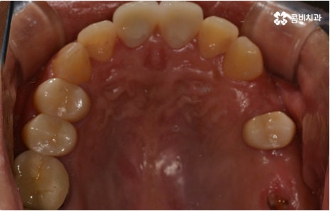
관리의 측면에서 교합이 맞지 않고 치열이 똑바르지 않으면 음식물 찌꺼기가 잘 끼고 잇몸이 붓기 쉽기 때문에 교정 치료가 필요할 수도 있습니다. 씹기가 어렵고 안면비대칭이나 턱관절 통증을 유발하는 등 심각한 부정교합의 경우 기능적으로도 필요하지만 약간 삐뚤어지거나 치아 사이가 벌어진 경우 심미적으로도 한 번쯤 교정 치료를 생각해 보셨을 텐데요, 가격이나 기간, 나이 등 여러 가지 부분이 신경쓰여서 막상 시작하기에 부감을 느끼고 계셨다면 먼저 명동치과 에 내원하셔서 자신에게 필요한 교정 치료가 어떤 것인지 알아보시면 좋을 거예요. 골격적인 원인이 크지 않고 정도가 심하지 않다면 환자분들의 상황에 따라 부분 교정으로 보다 짧고 간편하게 진행하는 경우도 있으니 3D CT 와 같이 정밀 검진 기계를 갖춘 치과에서 숙련된 의료진에게 검진 및 상담부터 받아보시길 권유드리고 있습니다.
임플란트와 교정 치료 역시 사후 관리를 철저하게 해 주는 것이 보다 오랜 기간 동안 건강하게 치아를 사용하기 위한 필수 요소이므로 주기적인 검진 및 스케일링 치료, 그리고 평상시에 명동치과 에서 말씀드리는 주의 사항을 잘 지키는 것에 대해서 늘 염두에 두시길 바라고 있어요.
본 글은 콤비치과의 의료광고 포스팅입니다.
개인에 따라 출혈 및 부작용이 발생할 수 있고,
환자마다 치료 결과 및 기간이 상이할 수 있으므로,
정확한 치료 기간 및 치료 계획은
치과에서 상담을 받아보시길 권장 드립니다.