명동콤비치과의원 (명동)
치아교정장치 어떻게 고르나요
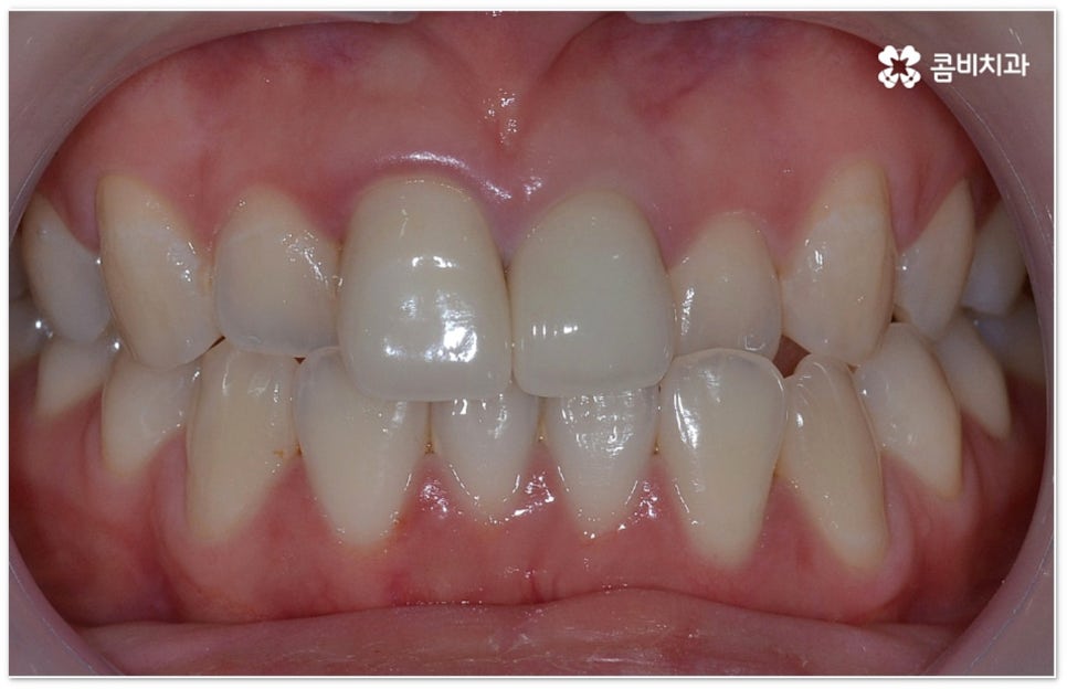
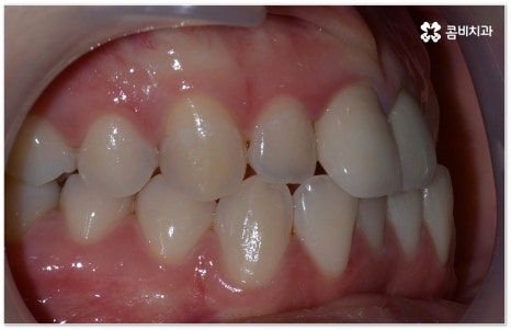
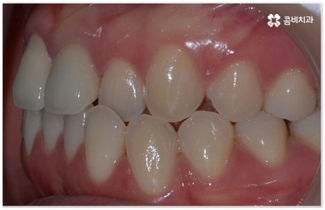
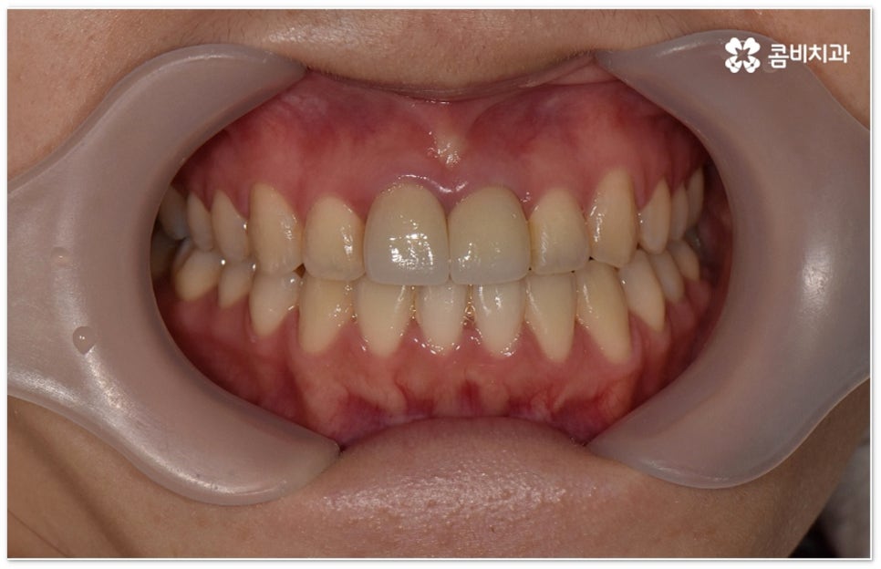
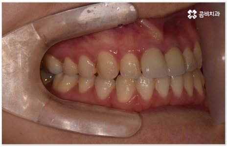
희고 가지런한 치아를 드러내며 환하게 웃는 사람을 보면 자기도 모르게 호감이 가곤하죠, 이처럼 대인 관계에서 치아는 좋은 인상을 만드는 데 심미적으로 큰 역할을 할 뿐 아니라 식사시 음식물을 저작하고 발음을 제대로 하는 데도 많은 도움을 주기 때문에 만약 타고난 치아가 삐뚤어졌거나 위아래 교합이 제대로 맞지...
아카이브 요약
이 페이지의 역할
명동콤비치과의원 (명동)의 네이버 블로그 원문을 보존한 아카이브 페이지입니다. 치아스토리♡ 카테고리의 치아교정장치 어떻게 고르나요 글을 통해 병원의 한국어 정보 제공 방식과 진료 관련 안내 톤을 확인할 수 있습니다.
희고 가지런한 치아를 드러내며 환하게 웃는 사람을 보면 자기도 모르게 호감이 가곤하죠, 이처럼 대인 관계에서 치아는 좋은 인상을 만드는 데 심미적으로 큰 역할을 할 뿐 아니라 식사시 음식물을 저작하고 발음을 제대로 하는 데도 많은 도움을 주기 때문에 만약 타고난 치아가 삐뚤어졌거나 위아래 교합이 제대로 맞지 않는다면 이를 기능적 심미적으로 바로잡아 주기 위해서 치아 교정 치료를 고려해 볼 수 있습니다.
이때 성장기 청소년이 아니면 교정 치료를 받을 수 없는지, 교정 치료에 적기가 따로 정해져 있는지 궁금해 하시는 분들이 있는데 관련 기술의 발달로 나이에 크게 구애받지 않고 각자의 상황에 맞게 치료를 진행할 수 있으니 먼저 꼼꼼한 진단 및 상담을 받아보시길 바라고 있어요.


특히 업무적으로나 생활적으로 대인 관계가 활발하신 중장년 성인분들의 경우 치료 기간이 너무 오래 걸리지 않는지, 치아교정장치 가 너무 눈에 띄지는 않는지 궁금해 하시는 경우가 많이 있는데요. 말씀드렸던 것처럼 기술이 발달하면서 다양한 치아교정장치 가 나와있고 치아교정장치 자체는 결과에 크게 영향을 주지 않으므로 몇몇 케이스를 제외하면 환자분들께서 중요하게 생각하는 바 (심미성, 합리성 등) 를 반영할 수 있는 여지가 많이 있기 때문에 숙련된 의료진과 충분히 상담하셔서 각각의 장단점을 잘 살펴보시고 자신에게 꼭 맞는 장치를 고르시면 되니 크게 걱정하실 필요는 없을 거예요.



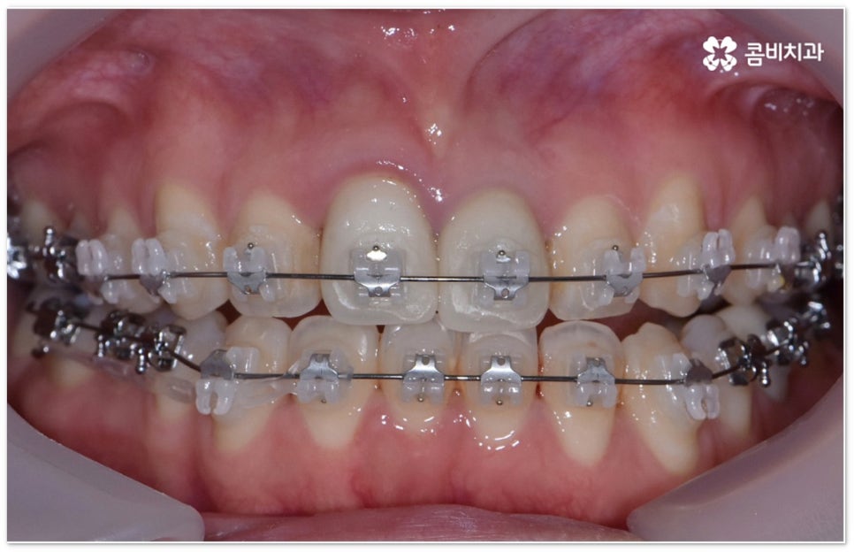
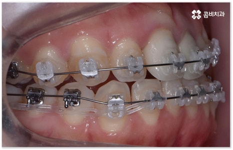
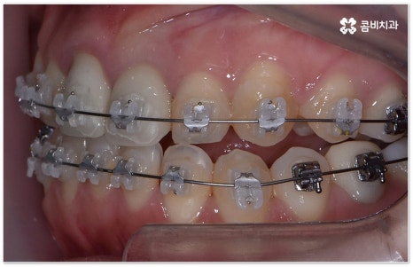
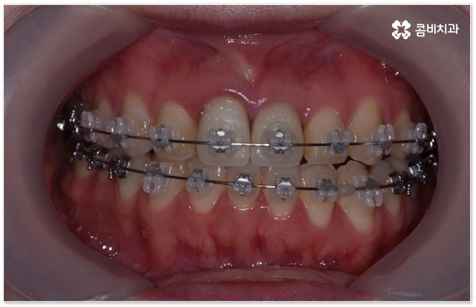
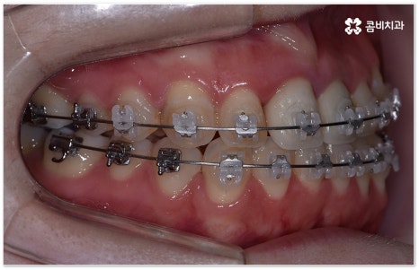
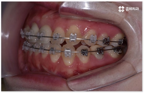
요즘 가장 많이 쓰이는 치아교정장치 인 클리피씨는 치아 색상의 세라믹 브라켓을 이용하기 때문에 심미성도 뛰어나고 자가결찰방식을 이용하여 보다 적은 힘으로 지속적이고 부드러운 치아 이동을 할 수 있도록 고안된 장치이므로 통증을 줄여줄 뿐 아니라 보통 2년 남짓 걸렸던 전체 교정 기간 역시 6개월 정도 감소시켜 줄 수 있습니다. 환자분들의 상황에 따라 내원 횟수 역시 줄일 수 있기 때문에 업무가 많이 바쁜 직장인분들의 경우에도 이용할 수 있다는 장점을 가지고 있어요.
이때 환자분들의 상황에 따라서 구조적인 원인이 크지 않고 교합이 심하게 어긋나지 않은 상태에서 치아의 각도만 살짝 앞으로 튀어나와 있거나 사이가 조금 벌어져 있는 등 부분 교정으로 치열을 가지런하게 바로잡을 수 있는 케이스도 있는데 이런 경우 6~8개월 정도의 보다 짧은 기간에 간편하게 치료를 끝낼 수 있으니 먼저 꼼꼼한 검진을 통해 자신이 부분 교정이 가능한지 여부를 알아보시면 좋을 거예요.



부정교합을 개선할 때 교합이 어긋난 정도가 심하고 구조적인 원인이 커서 부분 교정이 아닌 전체 교정이 필요한 케이스인 경우라고 해도 말씀드렸던 클리피씨 교정 장치 또는 보다 심미성을 강조한 치아교정장치 들의 도움을 통해 다른 사람과 얘기를 하거나 음식을 먹을 때 브라켓이 두드러지게 드러나는 부담을 줄일 수 있으니 설측교정, 콤비교정, 투명교정, 인비절라인 등에 대해서 한 번 알아보시고 각자에게 맞는 방법으로 교정 치료를 시작해 보시길 권유드리고 있어요.



특히 투명교정의 경우 겉에서 봤을 때 교정하는 티가 거의 나지 않는 특수 플라스틱을 이용한 장치이기 때문에 심미적으로 보다 만족스러울 수 있는데요. 브라켓이나 와이어가 없으므로 이물감이 적고 이로 인해 입 안 쪽에 상처가 발생하지도 않게 되며, 발음도 명확하게 구사할 수 있다는 장점 또한 가지고 있어요. 식사할 때 빼놨다가 양치 후 닦아서 다시 끼면 되기 때문에 관리할 때도 용이하지만 이러한 탈착식 장치는 착용하는 시간을 어느 정도 확보해야 보다 효과적인 치료 결과가 나올 수 있다는 점을 명심하고 환자분들 스스로 정해진 시간 이상 잘 착용해 주실 필요가 있습니다. 치아가 얼마나 이동했는가를 보고 환자분들의 상황에 맞게 그때 그때 본을 떠서 치아교정장치 를 제작하기 때문에 섬세한 진행이 가능하다는 장점이 있으나 빠르고 정확하게 대응을 하기 위해서 다양한 케이스를 다뤄보신 노하우가 있는 선생님과 함께 하시는 것이 무엇보다 중요하다는 점 또한 잘 알아두시면 좋을 거예요.



적지 않은 치아교정 비용 역시 치료 시작을 망설이시는 이유가 될 수 있는데요. 그렇다고 해서 치과를 선택할 때 가격적인 메리트만 생각하시기 보다는 교정 치료의 목적이 앞으로 남은 평생 동안 건강하게 사용해야 할 치아의 기능적 심미적인 개선에 있는 만큼 해당 임상 분야의 경험이 풍부하고 뛰어난 노하우를 가지고 있는 의료진과 함께 하는데 초점을 맞추시길 당부드리고 있어요. 또한 처음부터 끝까지 책임 진료하고 사후 관리 역시 철저하게 케어되는 곳인지, 3D CT와 같은 정밀 검진 장비를 갖추고 있는 곳인지 여부도 중요하기 때문에 이런 부분도 함께 살펴보시면 좋을 거예요. 환자 개개인에 맞춤 치료 계획을 세워 무리하지 않은 치아 이동을 통해 전체 구강 건강을 증진시키는 방향으로 교정 치료를 하기 위해서는 이와 같이 의료진의 숙련도 외에도 케어 시스템이나 장비 같은 부분을 꼼꼼하게 체크해 보시는 것이 치과를 선택하는 데 도움이 될 수 있습니다.




치아 교정 치료에 적기가 정해져 있는 것은 아니지만 아래 앞니가 윗 앞니보다 앞으로 물리는 반대교합이나 심각한 주걱턱과 같은 부정교합 등 몇몇 케이스에 있어서는 잇몸뼈가 아직 다 굳어지지 않은 성장기에 치료를 시작하는 것이 상하악의 균형을 잡아주고 교합을 맞추는데 좀 더 효율적일 수 있기 때문에 아이의 치열이 삐뚤어진다면 영구치가 나오기 시작할 때부터 치과에 내원하셔서 검진과 상담을 받아보실 필요가 있어요. 치과에 주기적으로 방문하여 검진 및 스케일링 등을 받으면서 혹시 교정 치료가 필요하지 않은지 여부를 확인하고 언제 시작하는 것이 좋을지 지속적인 관찰을 통해 맞는 시기를 조율해 봐도 좋을 거예요.
본 글은 콤비치과의 의료광고 포스팅입니다.
개인에 따라 출혈 및 부작용이 발생할 수 있고,
환자마다 치료 결과 및 기간이 상이할 수 있으므로,
정확한 치료 기간 및 치료 계획은
치과에서 상담을 받아보시길 권장 드립니다.
더 보기
이 병원의 공개 콘텐츠를 계속 살펴보세요
출처 아카이브로 돌아가 더 많은 글을 보거나, 병원 프로필로 이동해 다른 공개 채널도 함께 비교해보세요.