명동콤비치과의원 (명동)
치과치아미백 어떻게 다른지 설명해드려요
사람의 피부 색이 다르듯이 타고난 치아의 색도 개인차가 있는데요. 치아는 다양한 물질로 구성되어 있기 때문에 이렇게 선천적인 색 차이도 있지만 보편적으로는 나이가 들면서 여러 착색 요인들로 인해 치아가 누렇게 변하는 경우가 발생하고 있어요 치아의 색이 점점 변색되는 원인으로는 커피나 카레, 와인과 같이...
아카이브 요약
이 페이지의 역할
명동콤비치과의원 (명동)의 네이버 블로그 원문을 보존한 아카이브 페이지입니다. 치아스토리♡ 카테고리의 치과치아미백 어떻게 다른지 설명해드려요 글을 통해 병원의 한국어 정보 제공 방식과 진료 관련 안내 톤을 확인할 수 있습니다.
사람의 피부 색이 다르듯이 타고난 치아의 색도 개인차가 있는데요. 치아는 다양한 물질로 구성되어 있기 때문에 이렇게 선천적인 색 차이도 있지만 보편적으로는 나이가 들면서 여러 착색 요인들로 인해 치아가 누렇게 변하는 경우가 발생하고 있어요
치아의 색이 점점 변색되는 원인으로는 커피나 카레, 와인과 같이 변색을 유발할 수 있는 식습관으로 인해 서서히 진행되기도 하며 평소 흡연을 한다거나 칫솔질 관리나 스케일링과 같은 생활 습관에 의해서도 치아 변색이 될 수 있어요
이처럼 나이가 들면서 여러 요인들로 인해 치아가 변색된 경우에는 누런 치아로 인해 자가 관리로는 한계가 있기 때문에 치과치아미백에 대해 관심을 갖는 분들이 늘고 있는데요. 셀프로 치아미백을 하다 보면 치아 손상에 대한 우려부터 미백 시술 후 결과에서도 치아가 얼룩덜룩한 느낌이 날 수 있어요


오늘은 누런 치아로 고민하시는 분들을 위해 치과치아미백에 알아보겠고 치아미백 시술로는 치료의 한계가 있는 경우도 알아볼 거예요
치아가 누렇게 변색되는 것은 나이가 들면서 자연스러운 현상 중에 하나라고 볼 수도 있지만 치아가 검게 변하는 경우는 다른 문제로 구분할 수 있는데요. 보통 치아가 검게 변색되는 이유 중 대표적인 사례는 치아 안의 신경조직이 죽어서 치아가 검게 보이는 경우라고 할 수 있어요
이처럼 치아의 겉면에 발생한 변색이 아닌 치아 내부, 신경조직이 죽어서 치아가 검게 변한 경우에는 아무리 미백 시술을 겉면에 받는다고 해도 해결되지 않기 때문에 신경치료를 하는 것이 치아 뿌리 손상으로 인한 발치를 막을 수 있어요
신경조직의 손상으로 인한 변색은 일반적인 치과치아미백 시술이 아닌 실활치 미백을 통해 개선될 수 있기 때문에 치아가 검게 변하여 미백 시술을 고민하시는 분들이라면 치아 변색의 원인 파악이 먼저라고 할 거예요

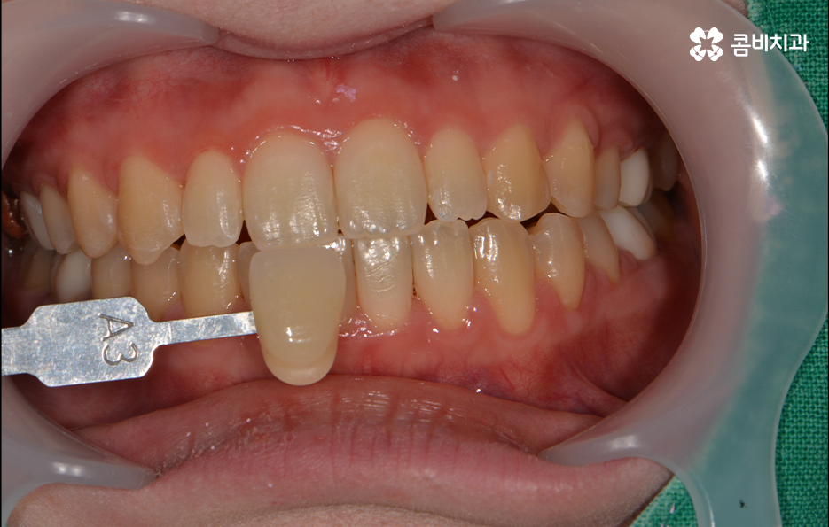
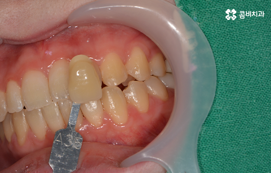
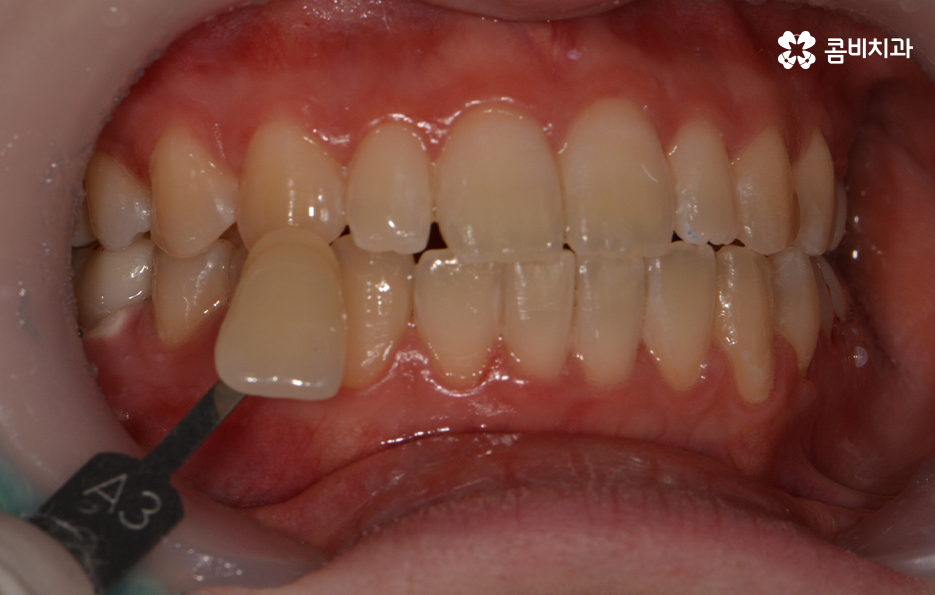
다음으로는 보편적으로 치과치아미백을 고민하시는 분들의 사례인데 우선 넓게 보자면 요즘은 셀프로 집에서 치아 미백을 할 수 있는 제품들이 많이 나오고 있고 실제로도 셀프 치아미백을 하는 분들이 많이 있어요
문제는 앞서 설명드린 것처럼 치아 변색 원인을 개인이 명확하게 알기 어렵고 치아 표면에 부착되어 있는 플라그나 치석을 스케일링을 통해 말끔하게 제거하고 정리한 후에 치아 미백을 하는 것이 좋은데 개인이 집에서 셀프로 치아미백을 할 경우에는 스케일링 과정이 진행되지 않기 때문에 치아에 얼룩이 생긴 것처럼 불만족스러운 결과를 얻을 수 있는데요
개인이 셀프로 치아미백을 하는 것과 치과치아미백의 대표적인 차이라면 이처럼 치과 장비를 이용하여 스케일링을 해야 하는 과정상의 전문성 차이와 그 밖에도 치아미백 제품의 의료적인 안정성 여부, 치아뿐 아니라 잇몸 건강에 대한 부분 등과 같이 구강 관리의 전체적인 이해도 차이가 크다고 볼 수 있어요


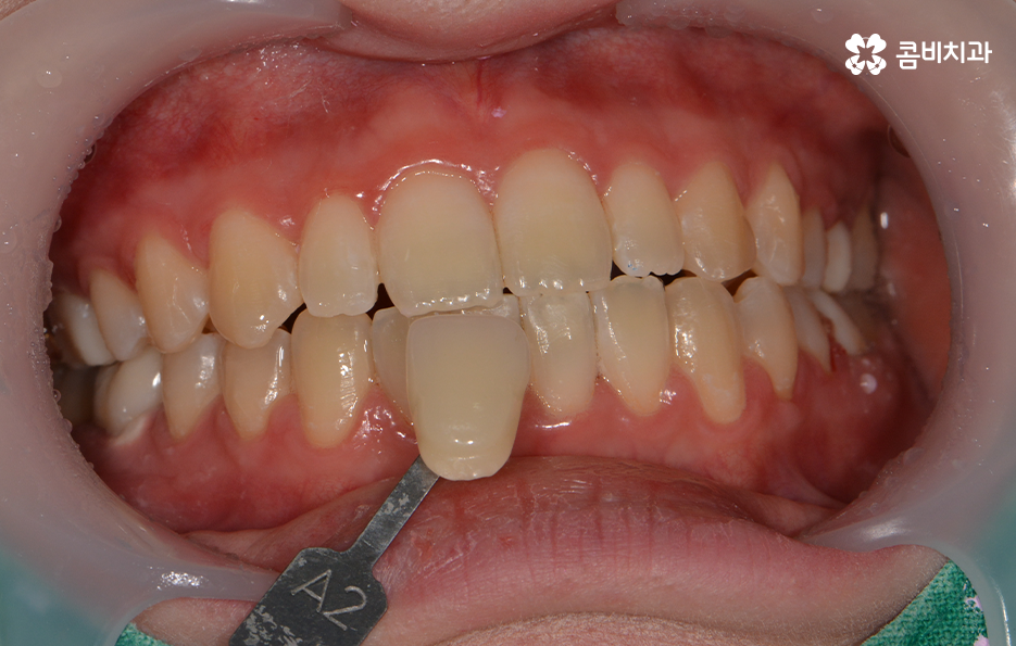
또한 치아는 개인에 따라 치아의 형태도 다르고 현재 치아 건강 상태도 다르기 때문에 몇몇 후기를 참고하여 자신에게도 적용하는 것은 적절하지 않기 때문에 자신의 치아 상태에 적합한 치과치아미백을 1:1 맞춤형으로 받는 것이 치아 건강을 위해서도 안전하고 좋은 결과를 얻을 수 있는 방법이라 할 수 있어요




건강한 치아는 사람의 인상에서 큰 영향을 주는 만큼 미백에 대한 관심은 나날이 높아지고 있는데요. 치아미백을 집에서도 셀프로 할 수 있는 방법은 미백 치약부터 미백제 등 다양하게 알려지고 있지만 잘못된 셀프 미백은 치아의 손상뿐 아니라 잇몸에 화상을 입는 등 다양한 부작용이 보고되고 있으므로 주의하실 필요가 있어요
치과치아미백은 구강에 대한 전문적인 이해를 바탕으로 진행되는 진료 분야라는 점을 강조 드리고 싶고 미백 시술의 좋은 결과에는 보기 좋은 결과뿐 아니라 치아와 잇몸의 건강을 생각하고 사후관리까지 종합적으로 이뤄져야 한다는 점을 잘 이해하시길 바라고 있어요
본 글은 콤비치과의 의료광고 포스팅입니다.
개인에 따라 출혈 및 부작용이 발생할 수 있고,
환자마다 치료 결과 및 기간이 상이할 수 있으므로,
정확한 치료 기간 및 치료 계획은
치과에서 상담을 받아보시길 권장 드립니다.
더 보기
이 병원의 공개 콘텐츠를 계속 살펴보세요
출처 아카이브로 돌아가 더 많은 글을 보거나, 병원 프로필로 이동해 다른 공개 채널도 함께 비교해보세요.