명동콤비치과의원 (명동)
전체임플란트 어떤 방식으로 해야하나요
일반적으로 치아는 윗니가 14개, 아랫니가 14개로 이뤄져 있고 나이가 들면서 치아를 하나둘씩 잃다 보면 결국 모든 치아를 잃게 된 상태를 무치악이라고 하며 서너 개씩 없는 경우를 부분 무치악이라고 하고 있어요 보통 젊은 20,30대의 경우 치아를 잃게 되면 그 즉시 임플란트를 하는 경우가 대부분이지만 노년층의...
아카이브 요약
이 페이지의 역할
명동콤비치과의원 (명동)의 네이버 블로그 원문을 보존한 아카이브 페이지입니다. 치아스토리♡ 카테고리의 전체임플란트 어떤 방식으로 해야하나요 글을 통해 병원의 한국어 정보 제공 방식과 진료 관련 안내 톤을 확인할 수 있습니다.
일반적으로 치아는 윗니가 14개, 아랫니가 14개로 이뤄져 있고 나이가 들면서 치아를 하나둘씩 잃다 보면 결국 모든 치아를 잃게 된 상태를 무치악이라고 하며 서너 개씩 없는 경우를 부분 무치악이라고 하고 있어요
보통 젊은 20,30대의 경우 치아를 잃게 되면 그 즉시 임플란트를 하는 경우가 대부분이지만 노년층의 경우 치아를 잃고 방치하다가 틀니를 하는 경우도 있고 치주염으로 치아를 한꺼번에 잃다 보면 임플란트를 하더라도 모든 치아를 수복하는 것이 비용적으로나 잇몸 상태가 좋지 않아서 어려운 경우도 있는데요
오늘은 전체임플란트 해야 하는 상황에서 보편적으로 진행되는 임플란트 치료 방법과 주의사항에 대해 알아볼 거예요.



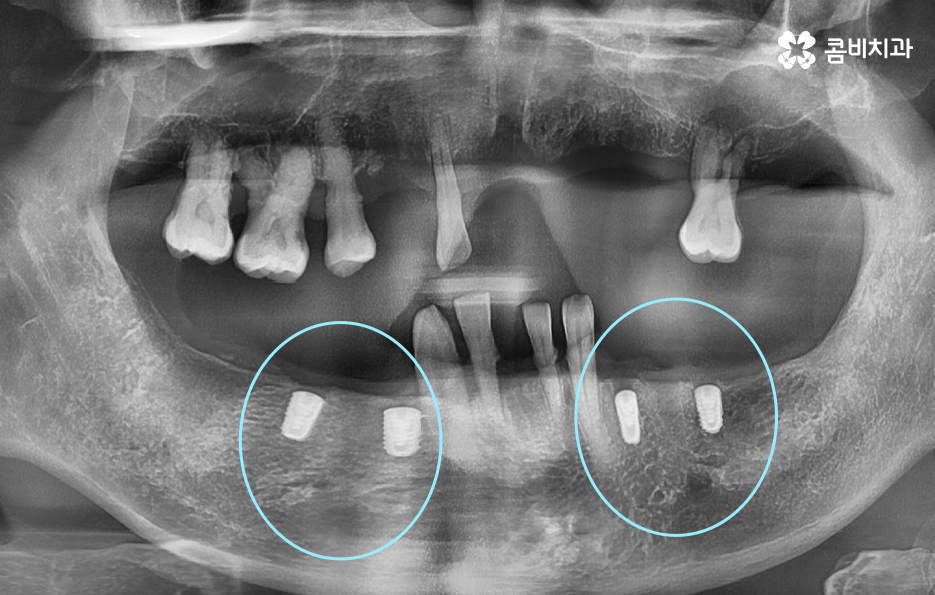
만약 5개의 치아를 잃었다고 가정한다면 임플란트는 5개를 식립하는 것이 일반적으로 치과에서 권장하는 치료 방법이라고 할 수 있어요. 쉽게 말해 치아를 잃은 개수만큼 임플란트를 식립하는 것이 치아의 저작력에 있어서도 골고루 씹는 힘을 분산시킬 수 있는데요.
치아를 잃고 반대쪽으로 음식을 씹는다고 가정할 때 씹는 힘이 반대쪽에만 작용하게 되어 시간이 지날수록 치아와 턱에 무리를 주게 되는 것처럼 치아를 잃게 되었을 때 잃은 치아의 숫자만큼 임플란트를 수복하는 것이 치아의 저작력을 임플란트로 대체하는 방법이 되는 거예요
하지만 노년층의 환자분들의 경우 경제적인 부분이 부담스럽거나 치아를 잃은 개수만큼 임플란트를 식립하고 싶어도 잇몸 상태가 너무 좋지 않은 경우에는 임플란트 식립을 해야 하는 개수를 줄이고 치아의 머리부분을 연결하는 브릿지 형태로 임플란트 시술을 진행하는 경우가 있는데요


전체임플란트 해야 하는 상황에서 가장 권장하는 방법은 치아를 잃은 개수만큼 임플란트를 식립하는 방법이 되겠지만 그다음으로 잇몸 상태나 경제적 상황 등을 고려할 때 선택할 수 있는 방법 중 하나는 임플란트 브릿지를 활용한 치료 방법이라 할 수 있어요
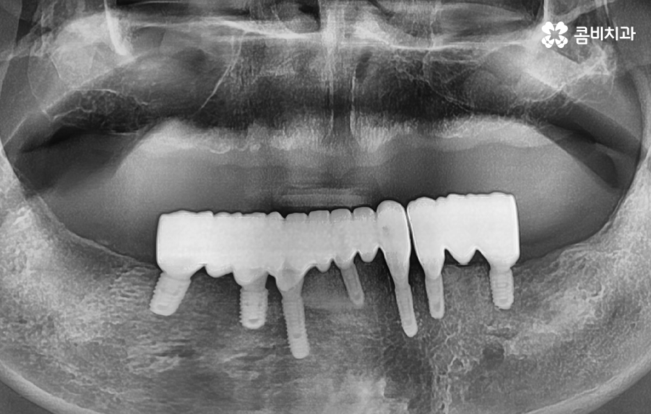
임플란트 브릿지를 활용하여 전체임플란트를 하는 경우 보통 임플란트를 6~8개 정도 식립을 한 후에 임플란트의 머리부분을 연결하여 힘을 분산시키는 방법으로 저작력을 유지시키고 있어요
치아는 각 치아마다의 고유의 기능을 갖고 있고 전체적으로 본다면 앞니는 보통 음식물을 자르고 어금니는 주로 음식을 씹는 역할을 하는 것처럼 부위마다의 역할도 갖고 있는데요.
임플란트 브릿지를 활용하여 전체임플란트 하는 경우에는 환자분의 잇몸 상태에 따라서 다르게 치료 방법이 진행되긴 하겠으나 통상적으로는 치아 역할의 파트 별로 구분하여 보철물을 연결하고 있어요


정리하자면 우선 전체임플란트의 치료 방법은 환자 개개인의 상태를 1:1 맞춤형으로 치료하는 것을 전제로 하되 원칙적으로는 치아를 잃은 만큼 임플란트를 식립하는 것을 권장하고 있어요.
잇몸 상태가 너무 안 좋은 경우에도 치아를 상실한 상태로 그대로 두면 심미적으로나 치아의 기능적으로나 안 좋기 때문에 잇몸 뼈의 상태가 좋은 부분 위주로 골라서 임플란트를 식립하고 브릿지의 형태를 차선책으로 볼 수 있어요
환자분들의 상태는 천차만별이기 때문에 모든 케이스를 다루기는 어렵지만 전체임플란트 고려하실 때 우선적으로 생각해 볼 수 있는 것들에 대해 알아 보았으며 자세한 치료 방법은 치과에 방문해보시고 정확한 검진을 먼저 받아보셔야 할 거예요
본 글은 콤비치과의 의료광고 포스팅입니다.
개인에 따라 출혈 및 부작용이 발생할 수 있고,
환자마다 치료 결과 및 기간이 상이할 수 있으므로,
정확한 치료 기간 및 치료 계획은
치과에서 상담을 받아보시길 권장 드립니다.
더 보기
이 병원의 공개 콘텐츠를 계속 살펴보세요
출처 아카이브로 돌아가 더 많은 글을 보거나, 병원 프로필로 이동해 다른 공개 채널도 함께 비교해보세요.