아카이브 요약
이 페이지의 역할
명동콤비치과의원의 네이버 블로그 원문을 보존한 아카이브 페이지입니다. 치아스토리♡ 카테고리의 돌출입발치교정 기대해봐도 될까요 글을 통해 병원의 한국어 정보 제공 방식과 진료 관련 안내 톤을 확인할 수 있습니다.
원문 검증
필요하면 원문 블로그와 병원 프로필로 바로 이동해 문맥을 다시 확인할 수 있습니다.
출처 아카이브 열기아카이브된 블로그 글
명동콤비치과의원 · Naver Blog
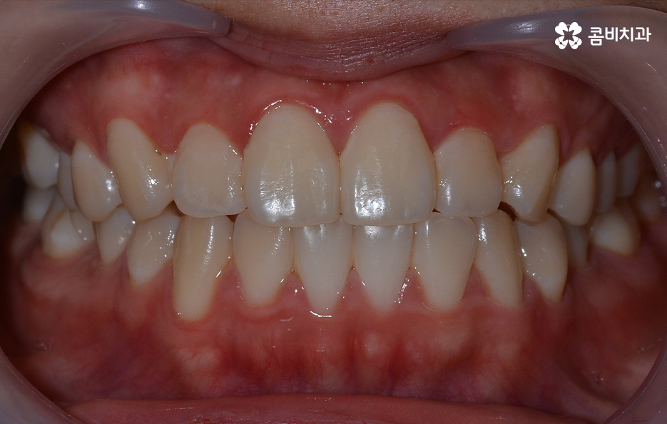
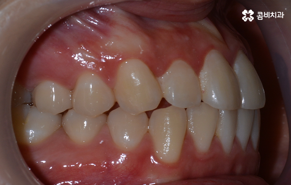
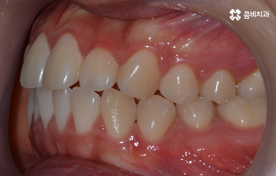
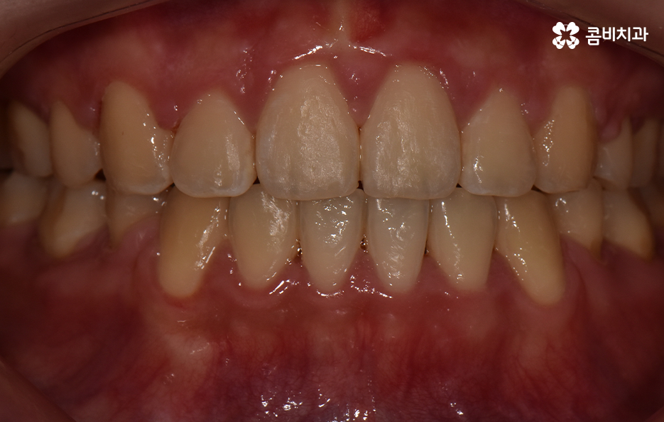
치아교정의 목적은 다양하지만 돌출입을 개선하고자 하는 목적성을 갖는 경우 발치가 필요한 경우가 대부분이라고 할 수 있는데요. 그 이유는 입이 나와 있는 돌출입을 개선하기 위해서는 앞니 부분이 뒤 쪽으로 들어가야 돌출입이 개선되기 때문인데 치아를 안쪽으로 이동시키기 위한 공간 확보를 위해 발치가 필요한 경우가 많...
게시일
2023년 10월 31일
원문 기준으로 확인된 발행일입니다.
카테고리
치아스토리♡
원문 블로그 카테고리를 정리해 함께 표시합니다.
이미지 수
15
현재 아카이브에 연결된 이미지 수입니다.
아카이브 요약
명동콤비치과의원의 네이버 블로그 원문을 보존한 아카이브 페이지입니다. 치아스토리♡ 카테고리의 돌출입발치교정 기대해봐도 될까요 글을 통해 병원의 한국어 정보 제공 방식과 진료 관련 안내 톤을 확인할 수 있습니다.
원문 검증
필요하면 원문 블로그와 병원 프로필로 바로 이동해 문맥을 다시 확인할 수 있습니다.
출처 아카이브 열기치아교정의 목적은 다양하지만 돌출입을 개선하고자 하는 목적성을 갖는 경우 발치가 필요한 경우가 대부분이라고 할 수 있는데요. 그 이유는 입이 나와 있는 돌출입을 개선하기 위해서는 앞니 부분이 뒤 쪽으로 들어가야 돌출입이 개선되기 때문인데 치아를 안쪽으로 이동시키기 위한 공간 확보를 위해 발치가 필요한 경우가 많은 거예요.
돌출입을 개선하기 위한 교정 치료의 사례에도 돌출입발치교정 사례가 많은 이유도 치아의 발치를 통해 앞니를 후방 이동시키는 치아 교정의 원리가 있기 때문이라고 설명할 수 있어요
이처럼 치열의 변화는 얼굴형 변화에도 많은 영향을 줄 수 있기 때문에 치아교정의 만족도는 치열뿐 아니라 환자 개개인의 골격과 얼굴형을 고려하여 잘 어울리는 조화적인 측면과 치아의 건강 등 고려해야 할 점이 많다는 것을 알 수 있는데요





오늘은 돌출입발치교정 통해서 치열도 가지런하게 교정하고 얼굴형의 변화뿐 아니라 교합까지 잘 맞물려서 건강하게 치아교정을 하는 방법에 대해 알아볼 거예요
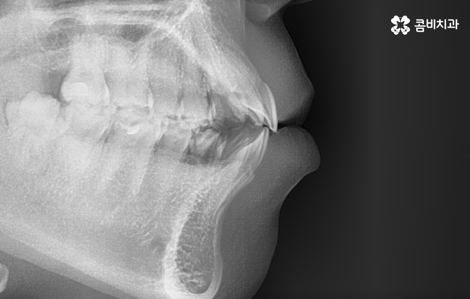
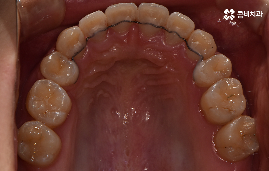
돌출입에 대한 고민으로 치아교정을 고민하신다면 치아교정 후 결과에 있어서 얼굴 변화에 대한 부분이 더 중요하게 느껴질 수 있어요. 치아교정을 통해서 얼굴은 변화할 수 있기 때문에 교정 전에도 3D CT나 모르페우스 등과 같은 장비로 3D 예측을 활용하고 있는데요
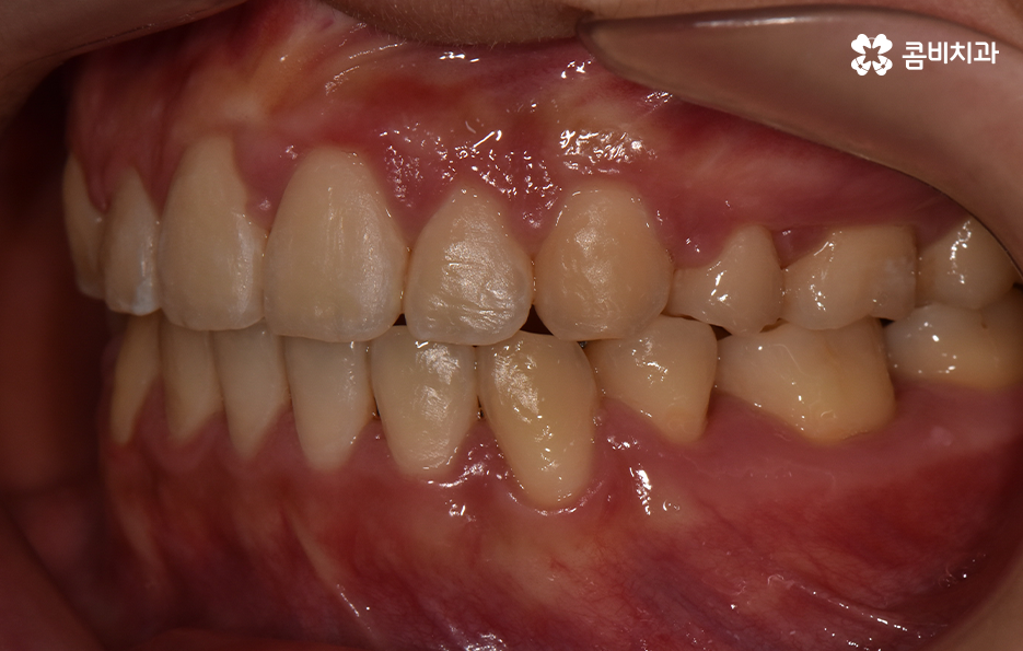
보통 치아교정을 통해 눈에 띄게 얼굴 변화를 느끼게 되는 경우는 쉽게 말해 발치를 통한 교정으로 볼 수 있어요. 그 이유는 치아를 발치하게 되면 발치한 만큼의 공간이 악궁에서 축소가 되기 때문에 그로 인해 얼굴라인이 갸름하게 변하게 되거나 돌출입발치교정 같이 돌출입의 개선이 되는 거예요



치아를 발치하고 이동하면서 얼굴 변화의 대표적 사례는 돌출입 개선이나 얼굴 라인의 변화뿐 아니라 얼굴 비대칭의 개선이나 팔자주름이 옅어지는 등의 변화를 꼽을 수 있어요
영구치를 발치하는 것에 대한 두려움이나 거부감을 갖고 있는 분들의 경우 발치보다는 비발치로 치아교정을 원하시는 분들도 많이 계실 거예요. 하지만 발치가 아닌 비발치로 교정을 진행할 경우 치아가 움직일 수 있는 양의 한계가 있기 때문에 얼굴 변화는 크지 않다고 볼 수 있어요
물론 큰 틀에서 치아교정의 원리에 대해 설명한 것이기 때문에 정확한 치료 계획은 1:1 맞춤형으로 치료 계획을 세워야 하며 충분히 치과의사와 상담을 통해서 결정하실 것을 권장 드리고 있어요


환자 개개인의 치아 상태 및 골격, 얼굴형 등의 상태가 모두 다르기 때문에 돌출입의 경우 무조건 돌출입발치교정 만이 효과가 좋다고 말씀드리긴 어렵고 돌출입이 심하지 않은 경우에는 어금니를 후방 이동시키는 것으로 치료가 가능한 경우도 있어요
물론 어금니 후방 이동의 경우에는 사랑니를 발치해야 할 수 있고, 치료 기간이 길어질 수 있음을 말씀드리며, 치아교정의 원리로 볼 때 치아의 이동 공간이 있어야 치열을 가지런하게 펴는 등의 치료가 가능하다는 점이 포인트라 할 거예요





보편적으로 돌출입발치교정 통해 치료가 진행되면 돌출입이 개선되는 경우가 대부분이지만 앞니의 각도나 턱뼈와의 상관관계 등을 고려할 때 치아교정 만으로는 치료의 만족도가 높지 않은 경우도 있는데요. 이 경우 외과 수술이 동반되어야 할 수 있습니다.
치아교정을 잘하기 위해서는 자신의 구강 구조 및 얼굴형 등을 종합적으로 정밀 검진하여 경험 많은 교정 전문의와 충분한 상담의 필요하며 수많은 돌출입발치교정 사례가 존재하기에 나에게 맞는 치료 방법을 잘 아는 것이 중요하다는 것을 강조드리고 있어요
본 글은 콤비치과의 의료광고 포스팅입니다.
개인에 따라 출혈 및 부작용이 발생할 수 있고,
환자마다 치료 결과 및 기간이 상이할 수 있으므로,
정확한 치료 기간 및 치료 계획은
치과에서 상담을 받아보시길 권장 드립니다.