아카이브 요약
이 페이지의 역할
명동콤비치과의원의 네이버 블로그 원문을 보존한 아카이브 페이지입니다. 치아스토리♡ 카테고리의 충치 신경치료 안하면 후회하는 이유 글을 통해 병원의 한국어 정보 제공 방식과 진료 관련 안내 톤을 확인할 수 있습니다.
원문 검증
필요하면 원문 블로그와 병원 프로필로 바로 이동해 문맥을 다시 확인할 수 있습니다.
출처 아카이브 열기아카이브된 블로그 글
명동콤비치과의원 · Naver Blog
잊을만하면 나오는 과잉 진료에 대한 뉴스 덕분에 이가 시리거나 아파도 선뜻 치과에 가는 것이 내키지 않는 분들도 많이 계실 거예요. 하지만 과잉진료 걱정에 치과 자체를 안가다가 간단하게 치료할 수 있던 문제를 추후에 심각한 문제로 키워서 치과에 방문하는 분들 또한 적지 않기 때문에 치과 치료에 대해 소비자가 잘...
게시일
2023년 11월 5일
원문 기준으로 확인된 발행일입니다.
카테고리
치아스토리♡
원문 블로그 카테고리를 정리해 함께 표시합니다.
이미지 수
11
현재 아카이브에 연결된 이미지 수입니다.
아카이브 요약
명동콤비치과의원의 네이버 블로그 원문을 보존한 아카이브 페이지입니다. 치아스토리♡ 카테고리의 충치 신경치료 안하면 후회하는 이유 글을 통해 병원의 한국어 정보 제공 방식과 진료 관련 안내 톤을 확인할 수 있습니다.
원문 검증
필요하면 원문 블로그와 병원 프로필로 바로 이동해 문맥을 다시 확인할 수 있습니다.
출처 아카이브 열기잊을만하면 나오는 과잉 진료에 대한 뉴스 덕분에 이가 시리거나 아파도 선뜻 치과에 가는 것이 내키지 않는 분들도 많이 계실 거예요. 하지만 과잉진료 걱정에 치과 자체를 안가다가 간단하게 치료할 수 있던 문제를 추후에 심각한 문제로 키워서 치과에 방문하는 분들 또한 적지 않기 때문에 치과 치료에 대해 소비자가 잘 알아두실 필요가 있어요
그래서 오늘은 충치 치료에 대해 제대로 알고 선택하자는 의미에서 충치 신경치료 안하면 어떤 문제가 있고 어떻게 대처하는 것이 좋을지 알아볼 거예요




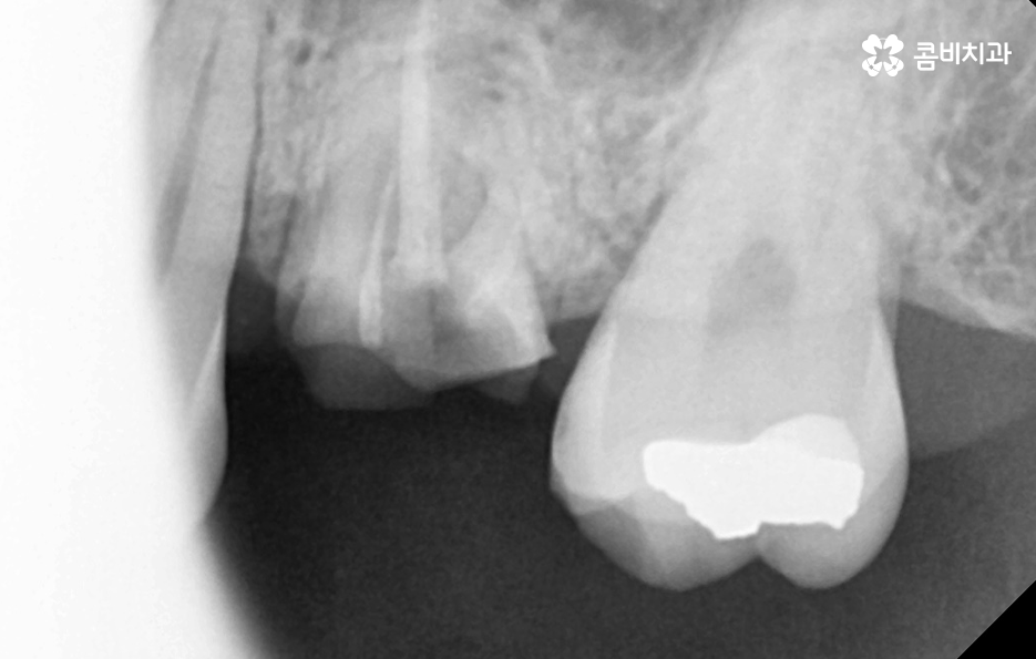
충치는 진행 단계에 따라 법랑질 충치와 상아질 충치, 신경조직의 충치, 뿌리 충치 이렇게 4단계로 구분할 수 있는데요. 쉽게 생각하면 치아의 구조로 볼 때 겉 부분을 이루는 법랑질부터 치아 안쪽으로 충치가 점점 깊어지고 심해지는 단계라고 이해하시면 될 거예요
충치 치료는 이처럼 진행 단계나 충치가 발생한 위치, 깊이 등에 따라 보통 레진, 인레이, 크라운 순서로 치료 방법이 달라지고 있는데요. 그중에서도 충치 신경치료의 경우 통증도 심하고 치료도 여러 진행되며 비용도 비싸다는 인식 때문에 신경치료를 일단 미루고 상태를 지켜보자고 생각하시는 분들도 있어요


충치 신경치료는 언제 하는지 대표적인 사례를 살펴보면 크게 두 가지로 구분할 수 있는데요. 충치가 신경조직에 근접하거나 침범한 경우 진행하는 신경치료가 있고 치아 뿌리 끝에 염증이나 고름 같은 게 생겨서 신경치료를 하는 경우가 있어요
우선 충치가 신경조직까지 진행된 경우를 먼저 살펴보면 신경에 도달한 충치는 보통 극심한 시림과 통증을 느끼게 할 거예요. 충치의 단계로 비교하자면 법랑질에 발생한 충치의 경우 별다른 증상을 못 느끼는 경우가 대부분인 반면에 신경에 충치가 도달하면 시림이나 통증이 매우 크다고 느낄 정도이며 심한 경우 일상생활이 어렵고 잠을 자기 어려울 정도로 불편함도 느낄 거예요. 그리고 간혹 선천적으로 신경이 뾰족한 경우가 있는데, 이 경우 신경이 노출되지 않아도 차가운 물을 먹을 때 시리거나 저작 시 통증이 발생할 수 있는데, 이 경우에도 신경치료 필요하고, 방치할 경우 신경이 변형되거나 죽으면서 뿌리 쪽에 염증이 생기는 경우가 있어요.
이처럼 충치로 인해 신경치료가 필요한 경우에는 참지 마시고 치료를 빠르게 받는 것이 일상생활과 건강을 위해서도 필요하며 자연치아의 보존에 있어서도 권장하고 있어요


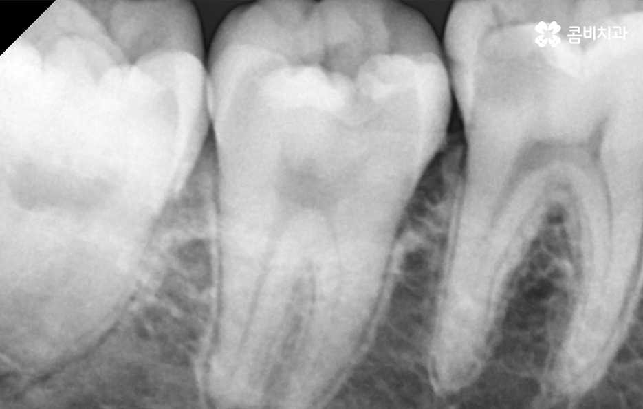
두 번째 경우로는 뿌리 끝에 염증이나 고름이 발생한 경우에 진행하는 신경치료의 케이스인데 이러한 경우에는 충치가 신경에 도달하여 느끼는 통증과는 달리 통증을 크게 못 느끼는 경우도 있는데요.
보통 뿌리 끝에 발생한 염증이나 고름의 경우 엑스레이 등의 검사를 통해 발견된 문제로 신경치료가 필요한 케이스인데 환자분의 입장에서는 당장 불편함을 크게 못 느끼고 신경치료를 하려면 치과에 여러 번 방문해야 하기 때문에 치료를 미루는 경우도 많이 있어요.
뿌리 끝에 발생한 염증의 경우 불편함을 못느끼더라도 빨리 치료하는 것이 좋은 이유는 시간이 지날수록 작았던 염증은 점점 커지게 되고 잇몸 뼈를 녹게 만들어 치아가 결국 흔들리게 될 수 있고, 당장 통증이 없더라도 치료 시기를 놓쳐, 일정 수준 이상으로 진행이 된 경우 급성치수염 증상으로 진통제를 먹어도 통증이 잡히지 않을 정도로 극심한 통증이 동반될 수 있습니다.
잇몸 뼈에 문제가 생겨 치아가 흔들리게 되면 보통 치료의 골든타임을 놓치게 되기 때문에 이때는 신경치료를 시도할 수도 없고, 치근단절제술이나 치아재식술을 시도해 볼 수 있지만, 성공 확률이 높지 않기 때문에 치아를 발치해야 하는 경우가 대부분이라고 할 수 있어요



충치에 대해서는 환자분들께서 대부분 빨리 치료하는 것이 중요하고 그냥 둔다고 해결되지 않는다는 것을 잘 알기 때문에 치과 검진을 통해 발견되면 대부분 치료를 잘 받고 가시지만 불편한 증상이 크지 않은 경우에는 문제의 인지 자체가 늦어져서 치료의 적기를 놓치는 경우가 많이 있는데요
자연치아를 최대한 잘 보존하고 문제가 발생하더라도 초기에 잘 치료하기 위해서는 주기적으로 검진과 스케일링을 잘 받는 것이 가장 기본이자 중요하다고 강조 드리고 있어요
오늘은 신경치료를 하게 되는 대표적인 사례와 증상, 치료를 미루게 될 경우 발생할 수 있는 문제를 다뤄보며 흔히 오해할 수 있는 치과 치료에 대한 궁금증이 조금이나마 풀리셨을 거예요. 과잉진료는 당연히 피해야 하겠지만 꼭 치료해야 하는 상황은 지혜롭게 대처하는 것이 중요하기 때문에 환자의 입장에서도 치과 치료에 대한 오해는 갖지 마시고 잘 알고 문제에 대처하실 것을 권장하고 있어요
본 글은 콤비치과의 의료광고 포스팅입니다.
개인에 따라 출혈 및 부작용이 발생할 수 있고,
환자마다 치료 결과 및 기간이 상이할 수 있으므로,
정확한 치료 기간 및 치료 계획은
치과에서 상담을 받아보시길 권장 드립니다.