명동콤비치과의원 (명동)
앞니임플란트 이런 조건들을 따져보세요
요즘은 치아를 잃게 되면 임플란트 치료를 받는다는 인식이 보편화되어 있지만 바쁜 일로 인해 치료를 미루거나 당장 비용이 부담스러워 치료를 미루는 분들도 계실 거예요. 오늘 포스팅의 사례의 경우 앞니를 이미 잃은 상태였지만 주변 치아를 활용하여 브릿지로 연결해놓은 상태에서 기존의 치아가 버티지 못하여 앞니임플란트...
아카이브 요약
이 페이지의 역할
명동콤비치과의원 (명동)의 네이버 블로그 원문을 보존한 아카이브 페이지입니다. 치아스토리♡ 카테고리의 앞니임플란트 이런 조건들을 따져보세요 글을 통해 병원의 한국어 정보 제공 방식과 진료 관련 안내 톤을 확인할 수 있습니다.
요즘은 치아를 잃게 되면 임플란트 치료를 받는다는 인식이 보편화되어 있지만 바쁜 일로 인해 치료를 미루거나 당장 비용이 부담스러워 치료를 미루는 분들도 계실 거예요.
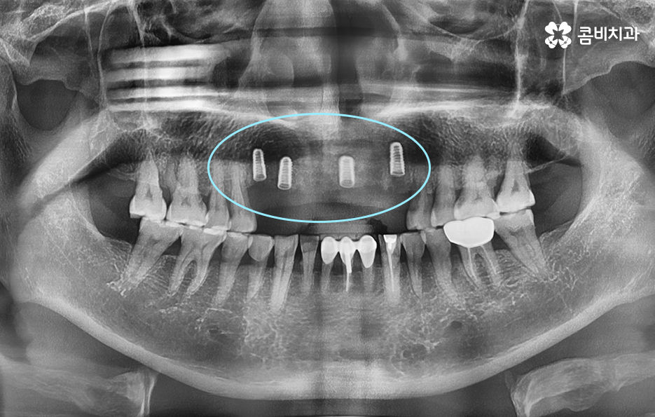
오늘 포스팅의 사례의 경우 앞니를 이미 잃은 상태였지만 주변 치아를 활용하여 브릿지로 연결해놓은 상태에서 기존의 치아가 버티지 못하여 앞니임플란트 하게 된 경우라고 볼 수 있는데요.



일반적으로 앞니임플란트의 경우 원데이임플란트라고 불리는 치아를 발치 후 즉시 임플란트를 식립하는 방법으로 치료하는 경우가 많은데 그 이유는 앞니의 특성상 심미적으로 중요하기 때문에 빠른 치료를 통해 임시치아를 부착하여 심미적 부담감을 줄일 수 있고 잇몸 라인을 살리는데 원데이 임플란트 방식이 유리한 부분도 있어요
그렇기 때문에 보통은 앞니를 잃게 되면 곧 바로 치료를 하는 경우가 대부분이지만 상황적인 이유로 뒤늦게 임플란트를 하는 경우도 있을 거예요.

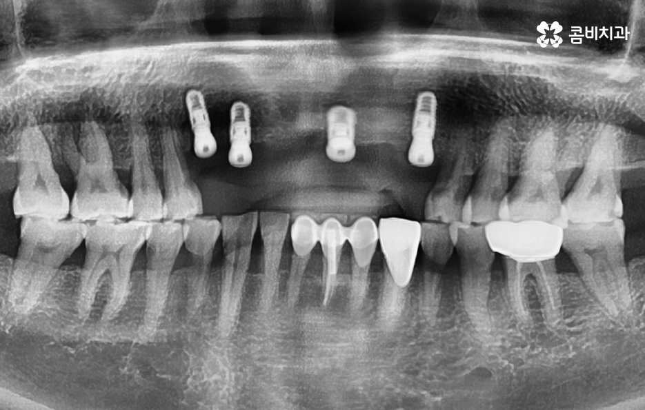
임플란트 치료는 되도록 치아를 상실한 개수와 1:1로 비례하여 식립하는 것을 권장하고 있는데 그 이유는 치아의 저작력에 있어서 우리의 모든 치아를 각각의 역할과 기능이 있고 압력에 대한 분산 효과도 있는데요
치아를 잃은 개수보다 적게 임플란트를 식립하게 될 경우 그만큼 저작력도 약해지고 임플란트에 가중되는 압력과 부담이 더 커질 수 밖에 없을 거예요. 자연치아와 임플란트의 가장 큰 차이점은 치주인대의 유무인데 치주인대 또한 음식을 씹을 때 얻는 압력을 분산하고 완화시키는 역할을 하고 있어요


임플란트는 치주인대가 없기 때문에 아무리 단단하게 잇몸 뼈에 고정되어 있어도 자연치아에 비해 저작기능에 의한 부담을 더 크게 받을 수 밖에 없는 거예요.
따라서 앞니임플란트를 해야하는 경우에는 치아를 잃게 될 경우 곧 바로 치료를 하는 것이 중요하며 임플란트의 수명과 심미성을 위해서도 치아를 잃은 개수만큼 치료하는 것을 권장하고 있는데요.
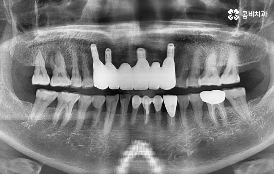
자연치아의 경우 치주조직이 치아를 감싸고 있는 구조라면 임플란트 치료 후에는 시간이 지날수록 어느정도 잇몸이 퇴축되는 것을 감안해야 하기 때문에 앞니임플란트 치료 후 심미성에 있어서도 잇몸라인의 보존을 위한 빠른 치료는 앞니에 특히 중요하다고 볼 수 있어요

아무래도 잇몸이 내려앉게 될 경우 임플란트의 보철물이 길어 보이게 될 수 있고 잇몸은 한번 내려 앉으면 회복이 어렵기 때문에 초기에 잇몸을 최대한 보존하면서 치료하는 것이 중요한 거예요.
종합하면 앞니 치료에 있어서는 앞니의 기능적인 특성상 음식을 끊는 역할도 하고 웃을 때 앞니가 위주로 보이기 때문에 심미적인 면을 함께 고려하여 치료 계획을 세울 필요가 있는데요

일반적으로 앞니의 주된 상실 요인은 젊은 분들의 경우 사고나 충치로 인한 경우가 많지만 중년 이후에는 치주질환으로 인해 잇몸이 약해져서 치아를 상실하는 풍치로 인한 경우가 많을 거예요.
잇몸 상태와 전신 건강이 양호한 경우에는 원데이임플란트를 통해 앞니임플란트 치료를 많이 진행하지만 오늘 케이스처럼 이미 치아를 발치한 후 시간이 지난 경우나 치주염으로 인해 잇몸 뼈가 녹고 염증이 심한 경우에는 빠른 치료보다는 잇몸을 충분히 회복하여 건강하고 안전한 결과에 더 초점을 두고 있는데요.
각 개인에 따라 치료 계획은 1:1 맞춤형으로 진행되고 있으며 임플란트는 치료를 잘 받는 것과 함께 사후 관리를 잘하여 오랫동안 문제없이 수명을 잘 유지하는 것에 더욱 초점을 둬야하기 때문에 치료 시점 뿐 아니라 치과 선택에 있어서도 잘 따져보실 필요가 있어요
임플란트의 기본 원리가 잇몸 뼈에 임플란트를 식립하여 골유착을 통해 저작력을 얻게 되는데 임플란트의 수명 관리에는 주기적인 검진과 스케일링을 통한 임플란트와 잇몸 관리의 중요성이 큰 만큼 정품 재료의 선택 및 오랫동안 믿고 찾을 치과를 선택하시길 바라고 있어요
본 글은 콤비치과의 의료광고 포스팅입니다.
개인에 따라 출혈 및 부작용이 발생할 수 있고,
환자마다 치료 결과 및 기간이 상이할 수 있으므로,
정확한 치료 기간 및 치료 계획은
치과에서 상담을 받아보시길 권장 드립니다.
더 보기
이 병원의 공개 콘텐츠를 계속 살펴보세요
출처 아카이브로 돌아가 더 많은 글을 보거나, 병원 프로필로 이동해 다른 공개 채널도 함께 비교해보세요.