아카이브 요약
이 페이지의 역할
명동콤비치과의원의 네이버 블로그 원문을 보존한 아카이브 페이지입니다. 치아스토리♡ 카테고리의 비발치치아교정 고민되는데 발치하면 안좋나요 글을 통해 병원의 한국어 정보 제공 방식과 진료 관련 안내 톤을 확인할 수 있습니다.
원문 검증
필요하면 원문 블로그와 병원 프로필로 바로 이동해 문맥을 다시 확인할 수 있습니다.
출처 아카이브 열기아카이브된 블로그 글
명동콤비치과의원 · Naver Blog
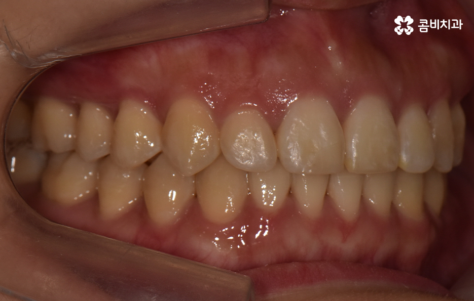
과거에는 주걱턱, 돌출입과 같은 부정교합이거나 덧니가 심한 경우에 치아교정을 하는 분들이 많았다면 요즘은 비교적 치열의 불규칙함이 심하지 않거나 치아가 약간 벌어진 경우에도 보다 가지런한 치열과 외모적 개선을 위해 치아교정을 알아보는 분들이 늘고 있는데요 특히 30,40대 이후에 교정하는 분들이 늘고 있는 추세...
게시일
2023년 11월 27일
원문 기준으로 확인된 발행일입니다.
카테고리
치아스토리♡
원문 블로그 카테고리를 정리해 함께 표시합니다.
이미지 수
14
현재 아카이브에 연결된 이미지 수입니다.
아카이브 요약
명동콤비치과의원의 네이버 블로그 원문을 보존한 아카이브 페이지입니다. 치아스토리♡ 카테고리의 비발치치아교정 고민되는데 발치하면 안좋나요 글을 통해 병원의 한국어 정보 제공 방식과 진료 관련 안내 톤을 확인할 수 있습니다.
원문 검증
필요하면 원문 블로그와 병원 프로필로 바로 이동해 문맥을 다시 확인할 수 있습니다.
출처 아카이브 열기과거에는 주걱턱, 돌출입과 같은 부정교합이거나 덧니가 심한 경우에 치아교정을 하는 분들이 많았다면 요즘은 비교적 치열의 불규칙함이 심하지 않거나 치아가 약간 벌어진 경우에도 보다 가지런한 치열과 외모적 개선을 위해 치아교정을 알아보는 분들이 늘고 있는데요
특히 30,40대 이후에 교정하는 분들이 늘고 있는 추세인데 치아가 삐뚤빼뚤하거나 치아 사이가 벌어져서 발생할 수 있는 구강질환을 예방하는 목적과 치아가 돌출되거나 삐뚤하여 교정을 통해 외모적인 개선을 목적으로 하는 경우와 같이 다양한 목적으로 치료를 알아보실 거예요.


교정에 대해 알아보시면 단순히 치열을 가지런하게 재배열 혹은 펴는 개념만이 아니라 치아교정을 통해 부정교합을 치료하여 치아의 기능적인 부분을 개선하거나 얼굴 변화에 대한 부분, 치아의 건강 등 종합적으로 알아봐야 할 점들이 많다는 것을 알 수 있는데요.
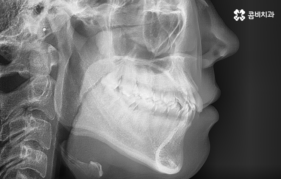
이 중에서는 발치 여부에 대해서도 많은 고민이 되는 부분 중에 하나일 거예요. 교정 치료에서 발치를 하는 경우에는 보통 작은 어금니를 발치하여 치아의 이동 공간을 확보하는 경우가 많은데 아무래도 생니를 발치한다는 생각에 발치는 무조건 안좋다고 느끼거나 거부감을 느끼시는 분들도 많이 있어요.




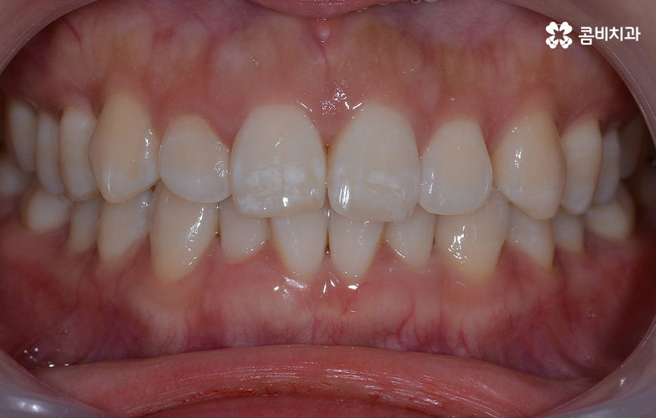
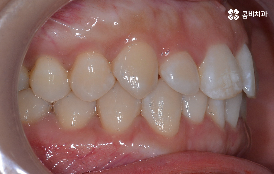
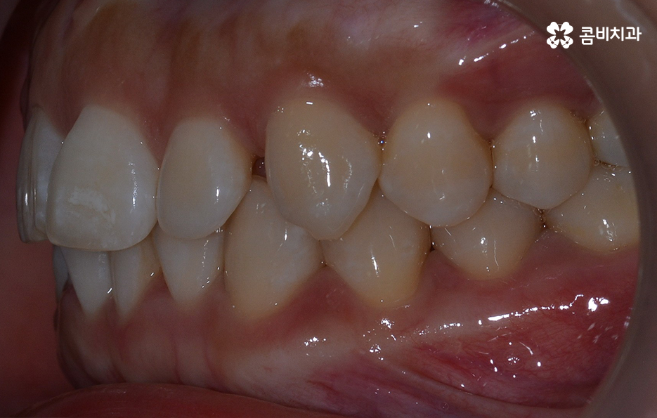
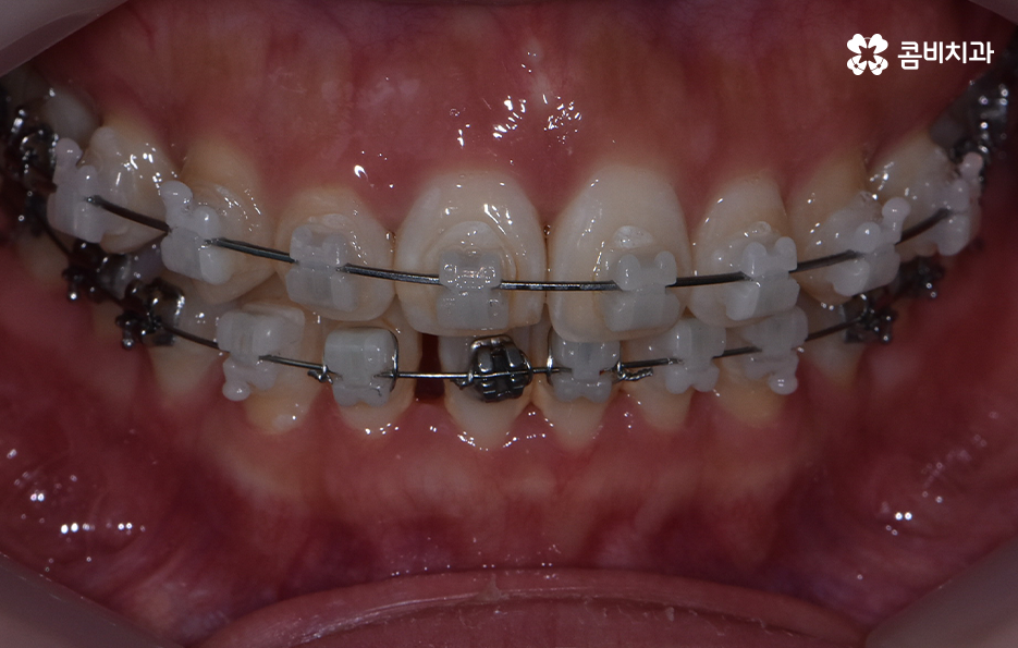
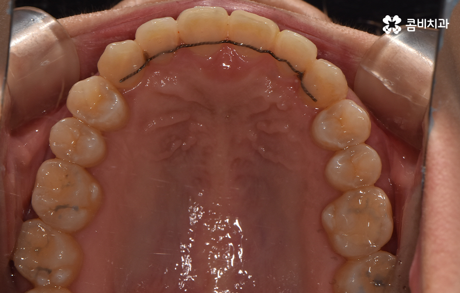
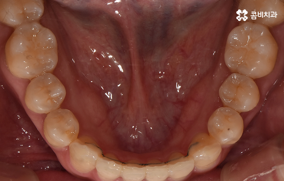
교정 치료는 크게 발치와 비발치치아교정으로 나뉠 수 있는데 비발치치아교정의 경우에는 아무래도 치아가 움직이는 양도 적고 그에 따라 교정 기간도 짧은 편에 해당되고 있어요.
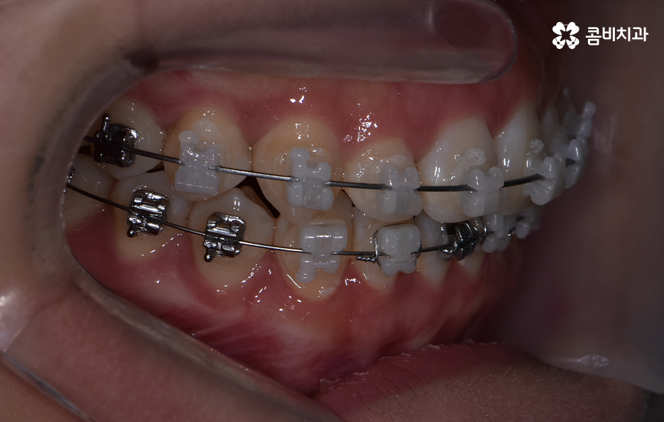
교정을 하게 되면 아무래도 치아와 잇몸이 함께 움직이기 때문에 어느정도는 잇몸이 약해질 가능성이 있는데 비발치치아교정의 경우에는 치아의 이동이 큰 편은 아니기 때문에 발치교정에 비해서는 잇몸이 약해지는 정도 및 확률이 줄어들 수 있어요
반면에 발치교정의 경우에는 최소 1년 6개월 ~ 2년 이상의 교정 기간이 소요되며 치아가 빠진 공간에 나머지 치아들이 메우면서 치아의 이동이 비발치치아교정에 비해 많기 때문에 그에 따라 치아는 물론 치조골의 이동도 감안해야 하므로 치료 기간도 더 오래 걸리고 잇몸도 좀더 약해질 수 있는 확률이 발치교정에 비해서는 높은 편으로 볼 수 있는데요.


이러한 비교는 기본적으로 치아 이동의 정도 차이로 인해 치아 뿐 아니라 치조골의 이동이 큰 만큼 확률적으로 잇몸이 약해질 가능성이 상대적으로 크다는 의미로 볼 수 있어요.
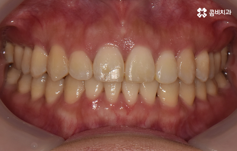
그렇기 때문에 비발치치아교정이 좋다고 생각하기 보다는 개인에 따라서는 치아의 이동 공간 확보를 충분히 하기 위해 발치가 필요한 경우도 있고 얼굴 변화나 부정교합의 개선을 위해 발치가 필수적인 경우도 있을 거예요


반면에 비발치치아교정으로도 충분히 좋은 결과를 얻을 수 있는 경우도 있을텐데 이러한 치료 과정 상의 특징과 장단점을 고려하여 자신의 치료 계획을 경험 많고 숙련된 교정 전문의와 잘 상의하실 필요가 있어요
아무래도 중년에 비해 성장기 혹은 20대 전후에 전신건강의 상태나 잇몸 상태가 더 좋은 경우가 많다면 중년 이후에는 잇몸이 약해질 확률이 더 높기 때문에 치료를 더 여유있는 기간을 두고 진행하고 숙련된 교정 전문의와 함께한다면 잇몸이 약해질 확률을 크게 줄일 수 있을 거예요.




치과 치료에서 어떤 치료든지 그 치료만의 특징과 장단점이 존재하기 때문에 자신에게 잘 맞는 치료를 1:1 맞춤형으로 진행하는 것이 중요하며 특히 치아교정의 경우 장기적인 치료를 통해 치료 후 결과를 평생 유지하는 관점으로도 생각해야 하기 때문에 더 종합적인 판단이 필요할 수 있는데요
단순히 비발치치아교정이 발치를 안해도 되니 무조건 좋다고 판단하기 보다는 각 개인의 치료 목적과 구강 및 골격, 얼굴형의 상태를 종합적으로 정밀 검진하여 자신에게 적합한 치료 계획을 잘 세우는 것이 중요하다고 강조드리고 있어요
본 글은 콤비치과의 의료광고 포스팅입니다.
개인에 따라 출혈 및 부작용이 발생할 수 있고,
환자마다 치료 결과 및 기간이 상이할 수 있으므로,
정확한 치료 기간 및 치료 계획은
치과에서 상담을 받아보시길 권장 드립니다.