명동콤비치과의원 (명동)
매복사랑니 냄새 방치하면 이런 문제도 생겨요
사랑니가 전혀 안나는 분들도 간혹 있긴 하지만 보통은 20살 전후에 사랑니가 나기 때문에 사랑니에 대한 오해나 걱정은 누구나 한번 쯤을 해보셨을 거예요. 현대인들의 경우 사랑니가 4개 모두 나기 보다는 1~3개 씩 나는 경우도 많고 요즘 젊은 분들은 턱 뼈가 좁은 편인 분들이 많다보니 사랑니가 나올 공간이 부족...
아카이브 요약
이 페이지의 역할
명동콤비치과의원 (명동)의 네이버 블로그 원문을 보존한 아카이브 페이지입니다. 치아스토리♡ 카테고리의 매복사랑니 냄새 방치하면 이런 문제도 생겨요 글을 통해 병원의 한국어 정보 제공 방식과 진료 관련 안내 톤을 확인할 수 있습니다.
사랑니가 전혀 안나는 분들도 간혹 있긴 하지만 보통은 20살 전후에 사랑니가 나기 때문에 사랑니에 대한 오해나 걱정은 누구나 한번 쯤을 해보셨을 거예요.
현대인들의 경우 사랑니가 4개 모두 나기 보다는 1~3개 씩 나는 경우도 많고 요즘 젊은 분들은 턱 뼈가 좁은 편인 분들이 많다보니 사랑니가 나올 공간이 부족하여 매복사랑니를 갖고 계신 경우도 많이 있어요
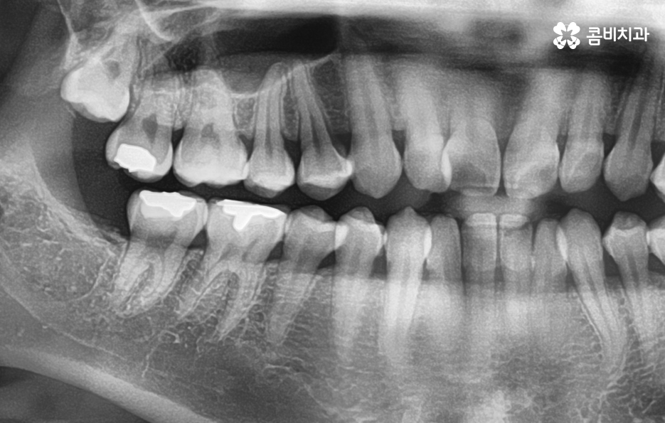
그리고 보편적으로는 윗니의 경우 중력에 의해 사랑니가 똑바로 나오는 경우가 좀더 많다면 아랫니의 경우 누워서 자라는 경우가 좀 더 많이 있는데요. 사랑니는 이처럼 나오는 위치나 방향의 개인차도 크고 정상적으로 똑바로 나온 경우에도 칫솔질이 잘 닿지 않거나 치석이 쌓이기 쉬운 위치이다 보니 결국 발치로 이어지는 경우가 많을 거예요


그렇기 때문에 사랑니는 언제 발치해야 할지 고민하는 분들이 많이 있는데요. 이미 사랑니에서 통증을 느낀다거나 매복사랑니 냄새 느껴지는 등 불편한 증상을 느낀다면 발치 여부를 논하기에 앞서서 정확한 검진을 받아보시길 권하고 있어요
사랑니의 문제는 육안으로 상태 파악이 어려운 경우가 많기 때문에 주기적인 검진을 하지 않고 통증이나 매복사랑니 냄새와 같은 자각증상을 통해 치과에 방문하시면 치료가 복잡해지는 경우를 종종 볼 수 있는데요
보통은 약간 불편한 증상을 느낄 때 치과에 오기 보다는 이미 통증이 심하거나 일상에 지장을 느낄 정도의 불편함을 느낄 때 내원하는 경우가 많기 때문에 이러한 경우에는 치료가 복합적인 문제로 진행되는 경우가 많이 있어요


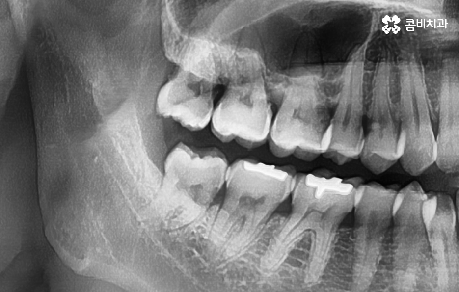
예를 들어 사랑니의 충치가 어금니의 인접면까지 같이 발생한 경우에는 사랑니 발치 만으로 끝나는 것이 아니라 어금니 치료까지 함께 진행되어야 하는 경우도 있고 사랑니로 인한 염증이 심해진 경우에도 잇몸 치료가 발치와 함께 진행되어야 하는 경우도 있을 거예요
사랑니를 쉽게 뽑기 위해서는 이러한 문제가 발생되기 전에 미리 인지하고 초기에 대처하는 것이 중요한데 사랑니의 발치 자체는 숙련된 치과 의사에 의해 진행되겠지만 사랑니는 발치 뿐 아니라 건강하게 잇몸이 회복되는 것까지 고려해야 하기 때문에 치료 시점이 중요할 수 있어요
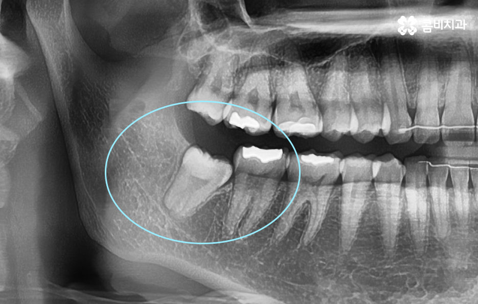
정상 맹출된 사랑니의 경우에도 청결관리가 쉽지 않지만 부분적으로 맹출된 매복사랑니의 경우 더욱 관리가 쉽지 않고 주변 잇몸이 쉽게 붓거나 염증이 발생하는 경우를 발견할 수 있는데요

매복사랑니 냄새의 경우 이처럼 청결관리가 잘 안되고 주변 잇몸에 염증이 발생하면서 증상이 심해지는 경우가 많기 때문에 예방적인 차원에서 발치를 고려해볼 필요가 있어요
매복사랑니의 경우 당장 발치가 필요하지 않은 경우에도 주기적으로 치과 검진을 통해 사랑니의 상태를 체크할 필요가 있으며 특히 어금니 뿌리 쪽에 안좋은 영향을 주고 있거나 우려가 있다면 발치 계획을 세워야 할 거예요

과거에는 매복사랑니 발치를 위해 대학병원에 가야했던 경우도 많았지만 요즘은 대학병원에서 근무했던 경험이 있는 치과의사가 직접 치과를 개원한 경우도 많기 때문에 숙련된 치과의사를 잘 찾는다면 매복사랑니도 어렵지 않게 발치할 수 있는데요
일반적으로 상악보다는 하악이 하치조 신경과 턱뼈가 근접하기 때문에 좀더 세심한 발치를 해야하며 정상 맹출된 사랑니 보다는 완전 매복되어 있는 사랑니 발치가 고난도의 발치로 분류되고 있어요
사랑니는 앞서 언급한 것처럼 발치 뿐 아니라 회복까지 생각해야 하기 때문에 증상이 악화된 상태에서는 치과에 방문하지 마시고 성인 이후에는 매년 최소 1회의 검진과 스케일링을 통해 사랑니 상태를 잘 파악하시길 바라며 현재 사랑니 주변에서 통증 및 냄새 등 불편함이 느껴진다면 치과부터 꼭 방문하시길 권하고 있어요
본 글은 콤비치과의 의료광고 포스팅입니다.
개인에 따라 출혈 및 부작용이 발생할 수 있고,
환자마다 치료 결과 및 기간이 상이할 수 있으므로,
정확한 치료 기간 및 치료 계획은
치과에서 상담을 받아보시길 권장 드립니다.
더 보기
이 병원의 공개 콘텐츠를 계속 살펴보세요
출처 아카이브로 돌아가 더 많은 글을 보거나, 병원 프로필로 이동해 다른 공개 채널도 함께 비교해보세요.