명동콤비치과의원 (명동)
건강보험 임플란트 적용 받기 전에 알아두세요
우리가 어릴 때 주로 치아 건강에 대해 교육받는 것은 충치 예방과 칫솔질, 식습관에 대한 부분이지만 나이가 들수록 다양한 이유로 치아가 깨지고 부러지며 2차 충치와 치주염 등 구강 문제가 거듭되다 보면 결국 임플란트를 하게 될 수 있는데요 치아를 잃고 방치하면 치아 기능상의 불편함은 물론이며 전신 건강에도...
아카이브 요약
이 페이지의 역할
명동콤비치과의원 (명동)의 네이버 블로그 원문을 보존한 아카이브 페이지입니다. 치아스토리♡ 카테고리의 건강보험 임플란트 적용 받기 전에 알아두세요 글을 통해 병원의 한국어 정보 제공 방식과 진료 관련 안내 톤을 확인할 수 있습니다.
우리가 어릴 때 주로 치아 건강에 대해 교육받는 것은 충치 예방과 칫솔질, 식습관에 대한 부분이지만 나이가 들수록 다양한 이유로 치아가 깨지고 부러지며 2차 충치와 치주염 등 구강 문제가 거듭되다 보면 결국 임플란트를 하게 될 수 있는데요
치아를 잃고 방치하면 치아 기능상의 불편함은 물론이며 전신 건강에도 악영향을 주기 때문에 제때 적절한 조치가 필요할 수 있어요. 자연치아를 상실하게 되면 요즘은 누구나 임플란트부터 떠올리게 되는데 임플란트가 그만큼 자연치아의 기능을 대부분 대체하고 있으며 건강보험 적용과 같은 혜택과 의학 발전 등이 임플란트 대중화에 빠르게 기여했다고 볼 수 있어요


임플란트는 제2의 영구치로도 불릴 정도이며 잘 관리한다면 반영구적인 수명을 유지할 수도 있는 만큼 치과 선택부터 치료 계획까지 하나씩 꼼꼼하게 따져볼 필요가 있는데요. 그래서 오늘은 건강보험 임플란트 혜택에 대해 관심 있는 분들에게 비용뿐 아니라 어떤 점들을 고려해야 할지 알아볼 거예요.
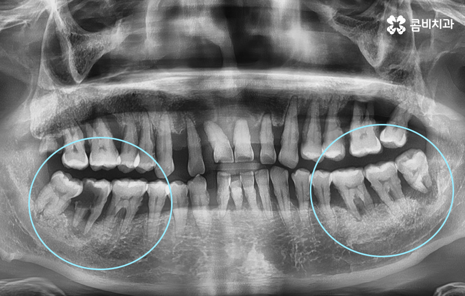
이제는 누구나 치아를 잃게 되면 임플란트라는 단어가 떠오릴 정도로 대중화된 치과 치료 분야이기 때문에 보다 저렴함을 앞세운 광고를 쉽게 찾아볼 수 있는데요. 건강보험 임플란트 찾는 분들의 경우 기본적으로 만 65세 이상부터 건강보험이 적용되기 때문에 노년층의 환자분들이라는 점에서 치료 과정 중에 뼈이식의 필요 여부나 노년층이기 때문에 고려해야 하는 전신 건강 등을 보다 세심하게 따져볼 필요가 있어요
그 이유는 노년층의 치아 상실 원인은 충치 보다 치주염으로 인한 경우가 많고 고혈압이나 당뇨와 같은 전신질환을 앓고 계신 분들도 많으며 이미 임플란트 치료 후 재수술을 고려하는 경우도 있는데요



치주염으로 인해 치아를 잃게 되신 분들은 잘 아시겠지만 잇몸이 퇴축되어 있고 잇몸 뼈가 부족하여 임플란트 치료 과정 상에 뼈이식이 필요한 경우가 많고 치아를 한꺼번에 여러 치아를 잃게 되어 임플란트를 여러 개 심어야 하는 경우도 많을 거예요
또한 전신 건강을 고려하여 임플란트 치료가 진행되어야 하기 때문에 보다 세심한 진료과정이 필요하며 치료의 성공률 뿐 아니라 향후 수명 유지에 있어서도 풍부한 경험을 갖춘 의사와 함께하고 정품 재료의 사용 및 향후 꾸준히 믿고 찾을 치과의 선택이 꼭 필요할 수 있어요


다음으로 건강보험 임플란트 혜택에 대해 알아보면 무치악 환자는 보험 적용이 해당되지 않으며 평생 치아 2개에 한하여 본인 부담금 30%만 비용을 부담하면 치료를 받을 수 있는데요. 65세 이상 임플란트에 대한 건강보험 급여 기준에 명시되어 있는 보철 재료는 PFM 크라운이며 다른 크라운 재료나 뼈이식, 상악동 거상술과 같은 부가적인 수술에 대해서는 비급여로 분류가 되어 별도의 비용을 지불할 수 있어요
같은 임플란트 치료를 더 저렴하게 받을 수 있다면 장점이 되겠으나 한편으로는 비용만을 저렴하게 앞세우고 별도의 비용이 청구되는 사례도 있다는 점은 주의하실 필요가 있는데요.
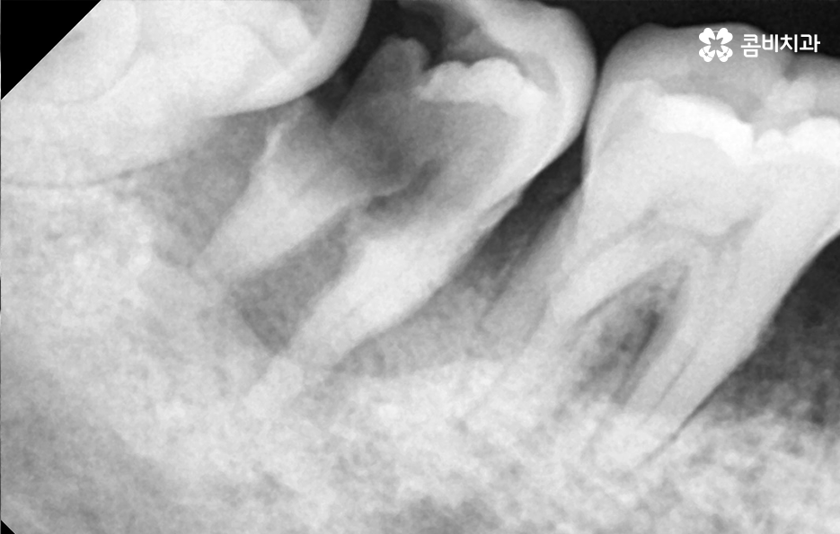
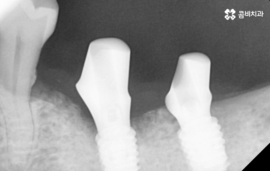
임플란트의 치료 원리를 살펴보면 임플란트는 잇몸 뼈에 심고 골 유착 과정을 통해서 저작력을 얻기 때문에 치료 전과 치료 후 모두 잇몸 상태가 매우 중요한 치료라는 것을 알 수 있어요


잇몸 뼈가 부족한 경우 뼈이식을 통해 임플란트를 식립하기 좋은 잇몸 상태를 만드는 것이 치료 결과에도 중요하며 임플란트의 식립 위치부터 각도, 깊이 등은 치과의 첨단 장비뿐 아니라 치과의사의 경험과 실력이 중요한 부분이기 때문에 임플란트의 전체 과정을 고려하여 비용도 중요하지만 건강한 치료 결과를 위해 종합적으로 따져보고 치과를 선택하시길 권하고 있어요
건강보험 임플란트는 국가적 차원에서 보험 혜택을 적용하기 때문에 비용적인 부분에서 잘 활용하는 것도 중요하지만 임플란트의 치료 특성을 잘 고려한다면 치료뿐 아니라 수명 유지에 대한 부분이 얼마나 중요하며 그에 따라 오랫동안 믿고 찾을 치과가 중요하다는 것을 알 수 있어요
본 글은 콤비치과의 의료광고 포스팅입니다.
개인에 따라 출혈 및 부작용이 발생할 수 있고,
환자마다 치료 결과 및 기간이 상이할 수 있으므로,
정확한 치료 기간 및 치료 계획은
치과에서 상담을 받아보시길 권장 드립니다.
더 보기
이 병원의 공개 콘텐츠를 계속 살펴보세요
출처 아카이브로 돌아가 더 많은 글을 보거나, 병원 프로필로 이동해 다른 공개 채널도 함께 비교해보세요.