명동콤비치과의원 (명동)
치아 벌어짐 교정으로 앞니 돌출까지 해결하기
치아 사이에 틈이 있고 벌어져서 고민하는 분들이 많을 거예요. 치아 사이에 틈이 있는 경우에는 심미적으로도 좋지 않지만 음식물을 끼거나 충치가 발생하기도 쉽기 때문에 치아 건강을 위해서도 적절한 치료를 받는 것이 필요할 수 있는데요 많은 분들이 치아 벌어짐을 해결하기 위해 라미네이트나 교정 등 다양한 치료법에...
아카이브 요약
이 페이지의 역할
명동콤비치과의원 (명동)의 네이버 블로그 원문을 보존한 아카이브 페이지입니다. 치아스토리♡ 카테고리의 치아 벌어짐 교정으로 앞니 돌출까지 해결하기 글을 통해 병원의 한국어 정보 제공 방식과 진료 관련 안내 톤을 확인할 수 있습니다.
치아 사이에 틈이 있고 벌어져서 고민하는 분들이 많을 거예요. 치아 사이에 틈이 있는 경우에는 심미적으로도 좋지 않지만 음식물을 끼거나 충치가 발생하기도 쉽기 때문에 치아 건강을 위해서도 적절한 치료를 받는 것이 필요할 수 있는데요
많은 분들이 치아 벌어짐을 해결하기 위해 라미네이트나 교정 등 다양한 치료법에 대해 비교해보고 고민하고 있는데요. 오늘은 치아 사이 벌어짐을 교정을 통해 해결하고 앞니의 돌출도 개선한 사례를 알아볼 거예요



치아 사이가 벌어지는 이유는 다양하지만 습관적인 이유부터 골격적인 이유, 치아 자체가 유독 작은 경우도 있는데요. 특히 왜소치인 경우에는 교정 만으로는 한계가 있는 경우도 있기 때문에 교정 후 라미네이트를 활용하는 경우도 있어요
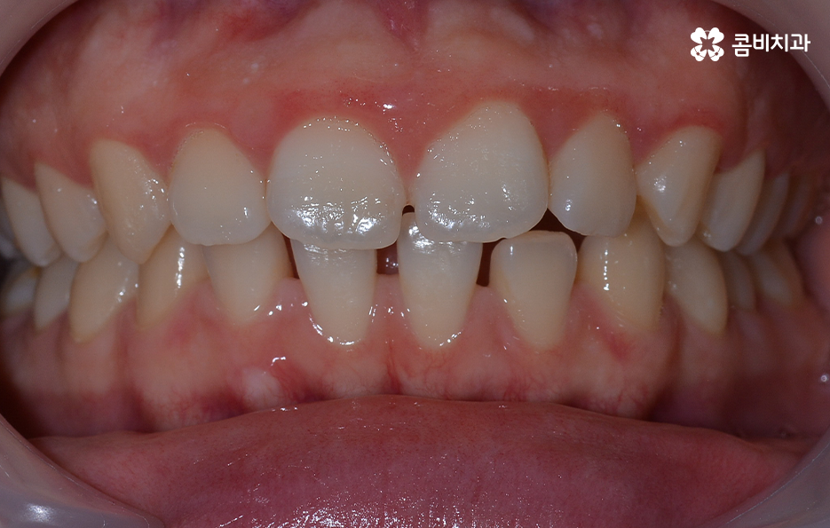
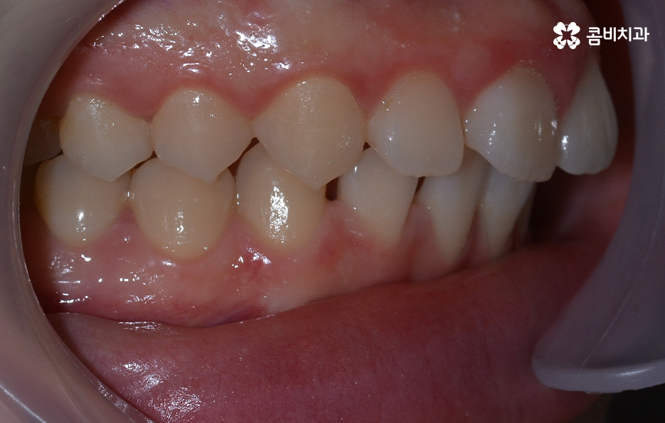
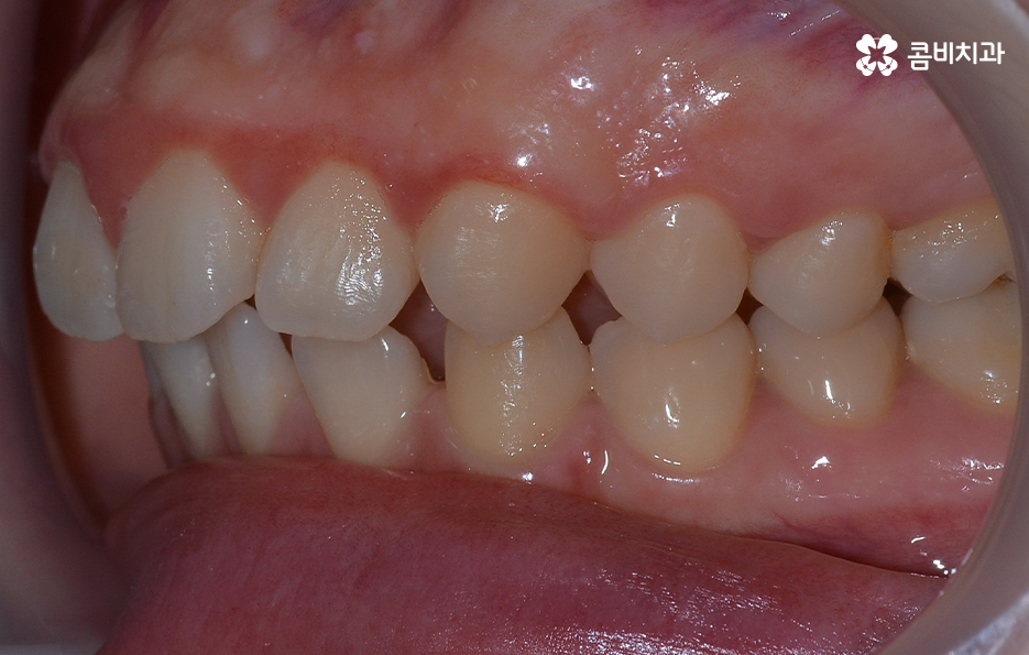
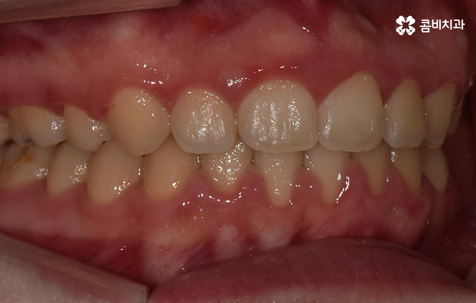
오늘 소개드릴 케이스의 경우 아랫니가 비교적 작기 때문에 교정을 통해 모아주고 윗니의 경우 측면으로 볼 때 더 잘 느껴지겠지만 다소 돌출된 상태이기 때문에 윗니는 발치를 통해 치아 이동 공간을 확보하여 돌출된 앞니를 안쪽으로 모아준 사례로 볼 수 있는데요
아랫니의 경우 치아 사이가 벌어져 있기 때문에 치아를 이동시킬 수 있는 공간이 이미 확보된 상태이고 윗니는 다소 돌출된 앞니를 안쪽으로 들어오게 하면서 심미선을 얼굴형에 조화롭게 맞출 수 있으며 그와 동시에 윗니와 아랫니의 교합도 고려한 치료 계획을 세운 것으로 간단하게 말씀드릴 수 있어요


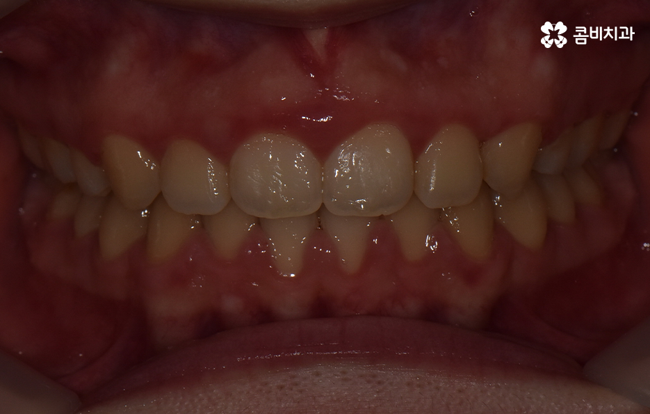
사진으로 보더라도 아랫니 사이가 눈에 띄게 벌어져 있는 것을 확인할 수 있어요. 보통 웃을 때는 윗니 위주로 보이긴 하지만 아랫니가 이정도로 벌어져 있는 경우에는 콤플렉스로 여겨질 수 있어요
장기적인 관점으로 보더라도 레진이나 라미네이트와 같은 치료 방법은 보철물의 교체 주기와 깨짐, 수명이 다하여 재치료를 받다보면 비용도 더 많이 들고 자연치아의 건강도 고려해야 하기 때문에 시간적으로 가능하다면 평생 결과를 유지할 수 있는 교정을 권하고 있어요


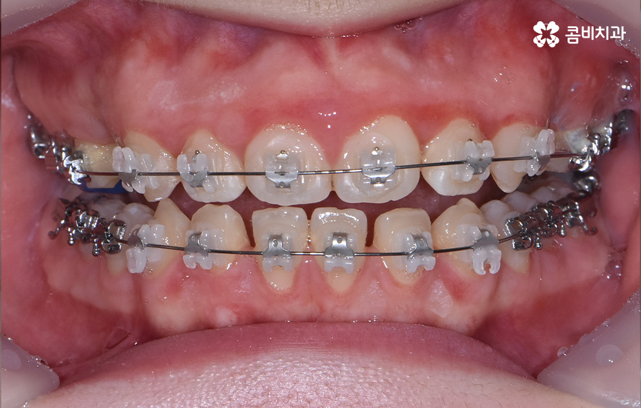
다음으로 교정 장치를 부착한 상태를 보시면 윗니는 양쪽의 치아 하나씩을 발치하였고 아랫니는 치아가 벌어져 있는 공간이 있기 때문에 발치 없이 교정을 진행했어요
앞니가 일반적인 경우보다 다소 돌출되어 있던 상태이기 때문에 앞니의 발치 교정을 통해 가지런한 치열 뿐 아니라 얼굴형이 변화하여 외모적인 개선도 기대할 수 있었어요. 치아교정의 목적에 있어서 치열 뿐 아니라 얼굴변화를 주된 목적으로 치과에 방문하는 경우도 많이 있는데요.
기본적으로 치아교정은 보다 가지런한 치열로 인해 자신감 있게 웃는 얼굴 만으로도 밝은 인상을 주는 효과가 있지만 치아의 이동이 많을수록 얼굴의 실질적 변화가 더 크기 때문에 치아교정에 대한 니즈가 치열 뿐 아니라 얼굴형에 더 초점을 두는 경우에는 발치 여부를 고려하는 경우도 종종 있어요
다만 치료 계획 상의 발치 여부나 구체적인 치료 방법 등은 3D CT 등을 활용하여 치아와 골격, 얼굴형을 종합적으로 판단하여 1:1 맞춤형으로 진행되고 있다는 점을 먼저 알아두시길 바라며 각 개인에 따라 적합한 치료 계획도 달라지고 있다는 점에서 교정 치료의 케이스는 참고 정도로만 하시고 자신에게 맞는 방법은 정밀검진과 교정 전문의와의 충분한 상담을 통해 판단하실 필요가 있어요



아 벌어짐은 대표적으로 라미네이트가 좋을지 교정이 좋을지 고민하는 분들이 많이 있는데요. 사실 모든 치료는 1:1 맞춤형 치료가 되어야 하긴 하지만 원론적인 이야기로 말씀드리자면 치아 벌어짐은 교정을 통해 치료하는 것이 좋으며 교정을 통해서도 한계점이 있는 부분은 라미네이트를 적절히 활용하는 것이 자연치아를 되도록 보존하면서 원하는 심미적 개선도 가능한 방법으로 권하고 있어요
그리고 치열 뿐 아니라 얼굴형과의 조화도 고려해야 하기 때문에 단지 가지런한 치열이 아니라 자신의 얼굴과 자연스럽게 어울리면서 건강한 치아를 목표로 치료 계획을 세우시길 바라고 있는데요.
살다보면 치아가 깨지거나 충치로 인해 치아가 벌어지는 경우도 있고 왜소치로 인해 치아가 벌어진 경우도 있기 때문에 무조건 교정이 답이라고 말씀드리긴 어렵지만 치아는 평생 관리해야 한다는 점에서 자연치아를 되도록 보존하고 살리면서 아름다움을 추구하는 것을 기본으로 권하고 있다는 것을 다시 한번 강조드리며 치료 계획의 정확성을 위해 치과에서 자신이 원하는 치료 목표를 치과의사와 먼저 잘 상의해보시고 결정하시길 바라고 있어요
본 글은 콤비치과의 의료광고 포스팅입니다.
개인에 따라 출혈 및 부작용이 발생할 수 있고,
환자마다 치료 결과 및 기간이 상이할 수 있으므로,
정확한 치료 기간 및 치료 계획은
치과에서 상담을 받아보시길 권장 드립니다.
더 보기
이 병원의 공개 콘텐츠를 계속 살펴보세요
출처 아카이브로 돌아가 더 많은 글을 보거나, 병원 프로필로 이동해 다른 공개 채널도 함께 비교해보세요.