아카이브 요약
이 페이지의 역할
명동콤비치과의원의 네이버 블로그 원문을 보존한 아카이브 페이지입니다. 치아스토리♡ 카테고리의 40대임플란트 치과에 이건 알고 가세요 글을 통해 병원의 한국어 정보 제공 방식과 진료 관련 안내 톤을 확인할 수 있습니다.
원문 검증
필요하면 원문 블로그와 병원 프로필로 바로 이동해 문맥을 다시 확인할 수 있습니다.
출처 아카이브 열기아카이브된 블로그 글
명동콤비치과의원 · 콤비덴탈 치과의사 황용인
사고로 인해 치아를 잃게 되는 경우가 아니라면 일반적으로 치아는 노년에 이르러 상실하게 된다는 인식이 있지만 30,40대 뿐아니라 빠른 경우에는 20대에도 임플란트를 하시는 분들도 종종 볼 수 있는데요 치아 건강은 타고난 치아의 튼튼함도 수명에 어느 정도 영향을 주겠지만 나이가 들수록 후천적인 관리의 중요성이...
게시일
2024년 1월 6일
원문 기준으로 확인된 발행일입니다.
카테고리
치아스토리♡
원문 블로그 카테고리를 정리해 함께 표시합니다.
이미지 수
8
현재 아카이브에 연결된 이미지 수입니다.
아카이브 요약
명동콤비치과의원의 네이버 블로그 원문을 보존한 아카이브 페이지입니다. 치아스토리♡ 카테고리의 40대임플란트 치과에 이건 알고 가세요 글을 통해 병원의 한국어 정보 제공 방식과 진료 관련 안내 톤을 확인할 수 있습니다.
원문 검증
필요하면 원문 블로그와 병원 프로필로 바로 이동해 문맥을 다시 확인할 수 있습니다.
출처 아카이브 열기사고로 인해 치아를 잃게 되는 경우가 아니라면 일반적으로 치아는 노년에 이르러 상실하게 된다는 인식이 있지만 30,40대 뿐아니라 빠른 경우에는 20대에도 임플란트를 하시는 분들도 종종 볼 수 있는데요
치아 건강은 타고난 치아의 튼튼함도 수명에 어느 정도 영향을 주겠지만 나이가 들수록 후천적인 관리의 중요성이 더 높다고 할 수 있어요. 40대만 해도 아직 젊은 나이임에도 불구하고 40대 이전에 치아를 잃게 되는 보편적인 사례를 살펴보면 어릴 때 치과에 대한 안 좋은 기억으로 인하여 치과 검진을 잘 받지 않고 참을 만큼 참다가 뒤늦게 치과에 방문하여 치아를 발치까지 하게 되는 사례를 자주 볼 수 있어요


특히 30대 이후에는 충치 외에도 치주염이 점점 심해져서 치아를 발치하게 되는 사례가 많기 때문에 임플란트 치료 과정에서 뼈이식을 함께 고려해야 하는 경우도 있는데요. 오늘은 40대임플란트 이제 알아보시는 분들을 위해 40대 이기 때문에 좀더 고민해야 하는 점들과 치료 과정, 주의사항에 대해 알아볼 거예요
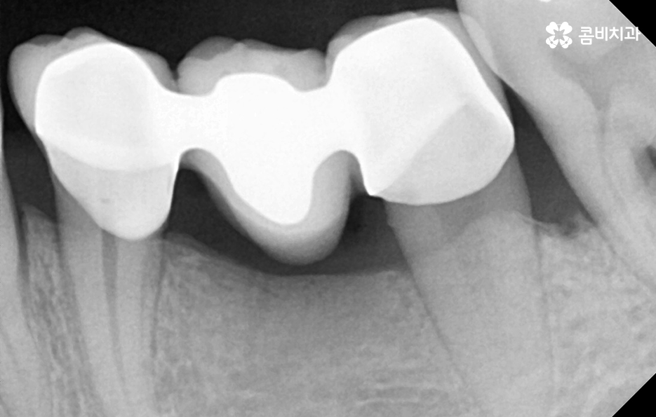
40대임플란트 치료에 대해 알아보신다면 우선 치아를 상실한 원인에 따라서 치료 방법이 다소 차이가 날 수 있는데요. 대표적으로 충치가 심해져서 발치를 하게 된 사례와 치주염으로 인해 잇몸이 약해져서 발치하게 된 사례로 구분해 본다면 충치 만으로 치아를 발치한 경우 잇몸 상태가 양호할 때 원데이임플란트로도 치료가 진행되거나 무난하게는 일반적인 임플란트 치료 과정으로 진행될 수 있어요
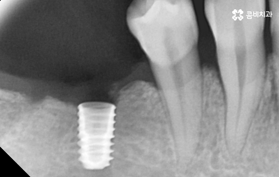
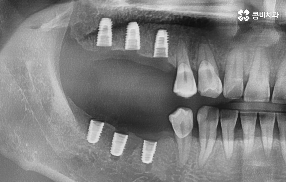
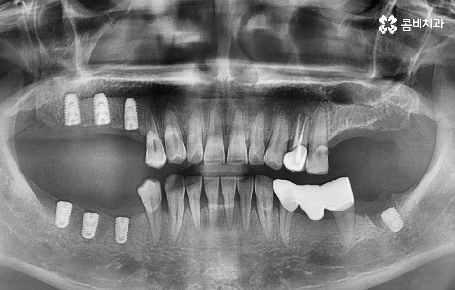
반면에 치주염이 심해져서 치조골이 녹아내리고 이미 치아의 뿌리가 보일 정도로 잇몸이 약해진 상태에는 치아 발치 후 잇몸이 충분히 회복한 뒤 임플란트를 식립할 수 있는 잇몸 뼈가 충분한지 확인 후 경우에 따라서는 뼈이식이 추가될 수 있는데요.


임플란트는 잇몸 뼈에 식립하기 때문에 치주염으로 인해 잇몸 뼈가 부족하거나 치아를 발치 후 오랜 시간이 지난 다음에 임플란트를 하게 될 경우 임플란트를 식립할 충분한 잇몸 뼈의 확보를 위해 뼈이식을 받아야 할 수 있어요
쉽게 생각하면 임플란트는 인공치근으로도 불리고 있는데 치아의 뿌리를 대신하여 임플란트가 잇몸 뼈에 식립되고 골유착 과정을 통해 단단하게 고정되어 저작력을 얻고 있는데요
40대임플란트 치료에 있어도 잇몸 뼈가 중요하고 치료 후에도 잇몸 상태를 얼마나 건강하게 관리하냐에 따라서 치료도 원활하게 진행되고 치료 후에도 건강하게 수명을 유지할 수 있다고 볼 수 있는데요
생각보다 많은 40대 환자분들이 충치 외에도 치주염으로 인해 풍치 진단을 받고 치아를 발치하게 되는 사례가 많기 때문에 40대임플란트 치료 과정 중에 잇몸 뼈의 중요성에 대해 설명드려야만 왜 나는 치료 방법이 달라지고 뼈이식을 받아야 하는지 등과 같은 궁금증을 해소할 수 있을 거예요


물론 앞니가 사고로 부러지거나 어금니에 충치가 생겨서 발치하게 된 사례와 같은 경우에는 비교적 잇몸 상태는 양호한 경우도 많기 때문에 임플란트를 알아보시면 흔히 접하게 되는 원데이임플란트와 같은 치료 방법이 가능한 분들도 있을 거예요
하지만 앞서 설명드린 것처럼 30대 이후에는 치주질환을 앓게 되는 분들이 급격히 늘어나며 치주질환 관리가 잘 안되신 분들의 경우 40대에도 치주염으로 인해 치아를 상당수 잃게 되는 사례도 적지 않게 확인되고 있어요
40대임플란트 대상자분들의 경우 아직 젊은 나이이기 때문에 치료 자체는 큰 무리 없이 진행되는 경우가 많지만 임플란트의 수명을 고려한다면 향후 유지관리에 대한 부분을 잘 생각하고 치과 선택에 신중하실 필요가 있는데요


임플란트는 치료를 잘 받아도 아무런 관리 없이 수명이 유지되는 것이 아니라 평소 칫솔질뿐 아니라 치간칫솔, 치실 사용도 꼼꼼히 해야 하며 주기적으로 검진과 스케일링을 잘 받아야만 하며 자연치아 이상으로 청결 관리를 해야 하기 때문에 관리와 생활 습관에 따라 수명은 개인차가 클 수 있어요
종합하면 오늘 임플란트 과정에서 잇몸 뼈의 중요성에 대해 강조 드린 것처럼 치료 전은 물론이고 치료 후에도 잇몸 관리를 평소에도 잘하고 주기적으로 치과 내원을 통해 검진해야 하기 때문에 40대임플란트 치료 후 오랫동안 믿고 찾을 치과와 함께 하는 것이 당장의 치료뿐 아니라 장기적인 관리에 대해서 잘 따져보시고 현명한 판단하시길 바라고 있어요
본 글은 콤비치과의 의료광고 포스팅입니다.
개인에 따라 출혈 및 부작용이 발생할 수 있고,
환자마다 치료 결과 및 기간이 상이할 수 있으므로,
정확한 치료 기간 및 치료 계획은
치과에서 상담을 받아보시길 권장 드립니다.