명동콤비치과의원 (명동)
덧니 발치 교정 이런 경우에는 필요합니다
덧니로 인해 치아교정을 알아보시는 분들이라도 덧니의 정도나 형태, 덧니로 인한 부정교합이 있는 경우와 각 개인의 골격, 얼굴형 등이 다르기 때문에 같은 덧니에 대한 고민이라도 치아교정이 진행되는 방법은 천차만별이라 할 수 있는데요 그 중에서도 덧니 교정으로 고민하는 분들의 가장 큰 고민 중에 하나는 덧니 교정을...
아카이브 요약
이 페이지의 역할
명동콤비치과의원 (명동)의 네이버 블로그 원문을 보존한 아카이브 페이지입니다. 치아스토리♡ 카테고리의 덧니 발치 교정 이런 경우에는 필요합니다 글을 통해 병원의 한국어 정보 제공 방식과 진료 관련 안내 톤을 확인할 수 있습니다.
덧니로 인해 치아교정을 알아보시는 분들이라도 덧니의 정도나 형태, 덧니로 인한 부정교합이 있는 경우와 각 개인의 골격, 얼굴형 등이 다르기 때문에 같은 덧니에 대한 고민이라도 치아교정이 진행되는 방법은 천차만별이라 할 수 있는데요
그 중에서도 덧니 교정으로 고민하는 분들의 가장 큰 고민 중에 하나는 덧니 교정을 위해 발치를 꼭 해야하는지 비발치로도 가능하진 않은지에 대한 고민이라 볼 수 있어요


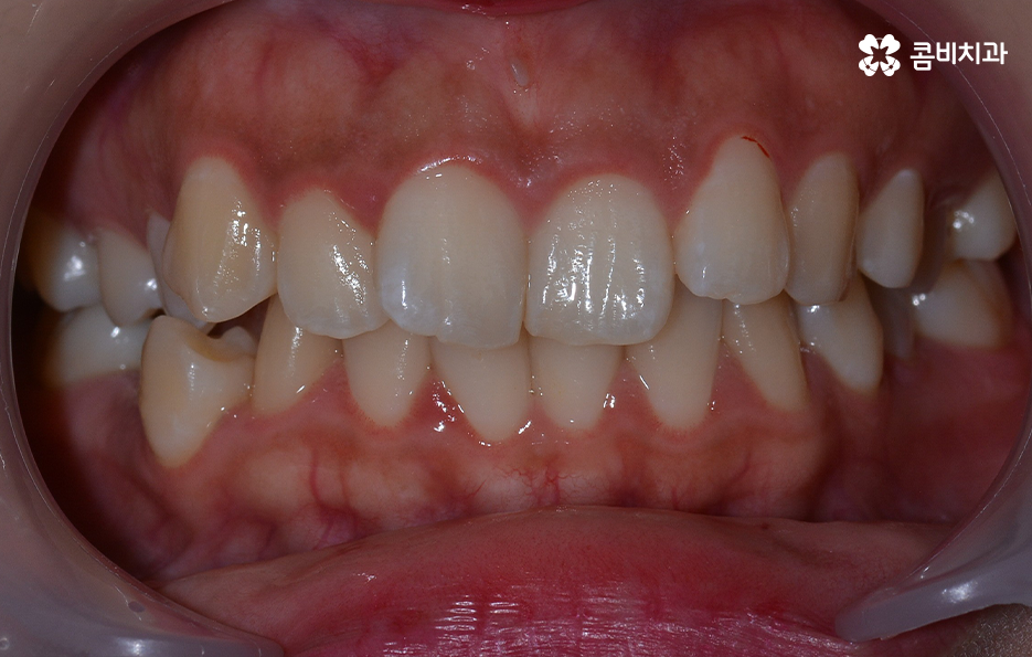
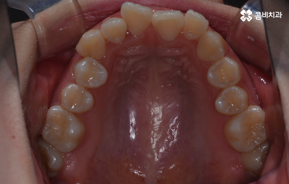
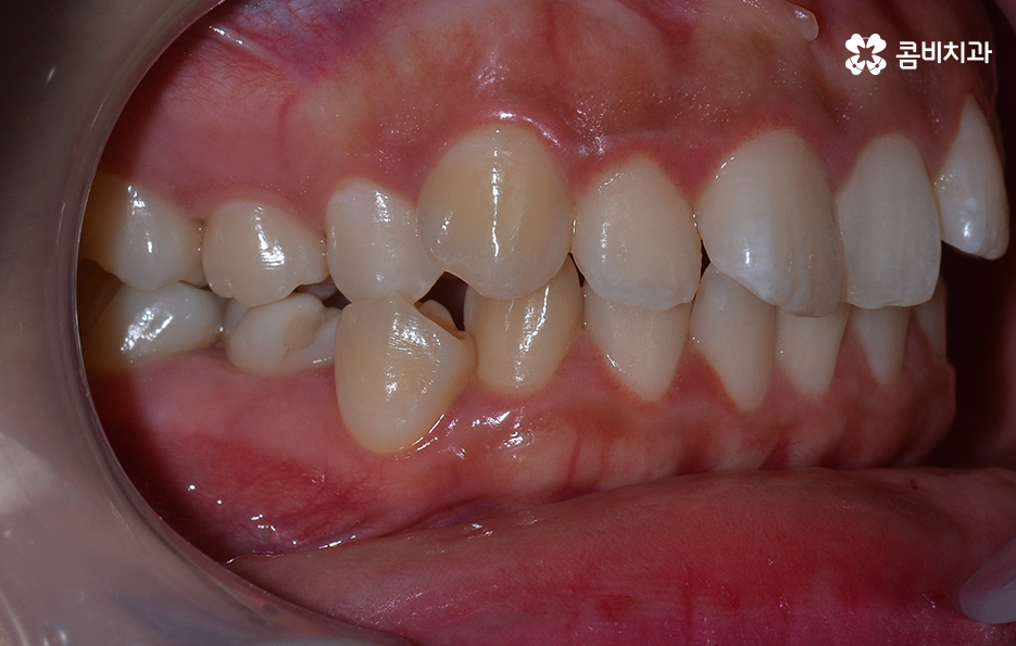
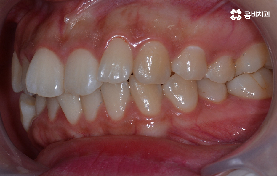
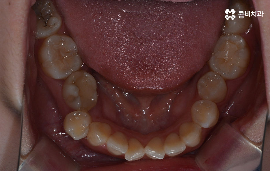
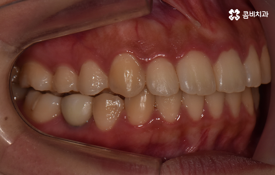
덧니라고 함은 치아의 정상적인 배열에서 많이 벗어난 치아를 의미하고 있는데요. 덧니가 발생하는 원인은 유전적인 원인부터 안좋은 습관 등 다양하겠지만 일반적으로 영구치가 나올 무렵에 치아가 정상적으로 나올 공간이 부족한 상태에서 치아가 맹출되다 보니 덧니가 발생하는 경우가 대표적이라 할 수 있어요
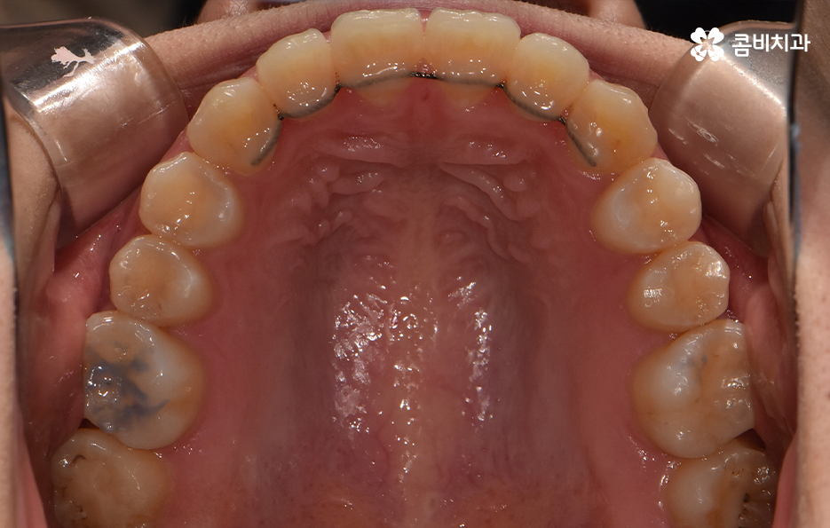
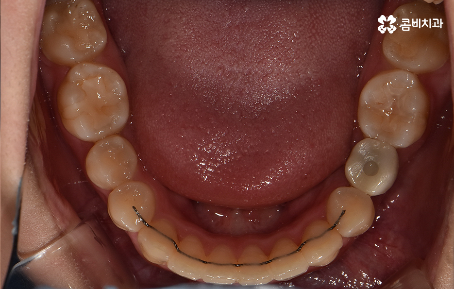
덧니는 윗니와 아랫니에 모두 있거나 앞니에 살짝 있는 수준의 덧니도 있으며 덧니가 심한 경우에는 개방교합으로 인해 입이 잘 다물어지지 않는 경우도 있기 때문에 덧니가 심한 정도에 따라서 치아교정의 계획은 세부적으로 달라질 수 있어요
치아교정을 구체적으로 알아보면 생각지도 못했던 발치를 해야 하는 분들도 계실 거예요. 특히 덧니 교정의 경우 발치를 하는 경우도 많다보니 발치에 대한 두려움과 걱정으로 인해 치아교정을 망설이는 분들도 많고 발치하면 무조건 안좋은건 아닌지 우려하는 경우도 있는데요


덧니가 심하지 않은 경우에는 비발치로도 충분히 교정을 하는 경우도 있겠지만 덧니가 심한 경우에는 덧니 발치 교정을 통해서 치료가 진행되는 경우가 많이 있는데요. 그 이유는 치아교정의 원리를 생각하더라도 치아를 재배치하기 위해서는 기존의 치아가 움직일 공간이 필요한데 덧니는 치열이 이미 완성되고 있는 상태에서 치아가 나올 공간이 부족하여 덧니가 되는 경우가 많다는 점에서도 치아의 이동 공간을 확보하기 위한 발치가 필요할 수 있는 거예요
물론 치아의 이동 공간을 조금만 확보하면 되는 경우에는 악궁 확장이나 치간 삭제와 같은 방법으로도 치아의 이동 공간을 확보하여 비발치로 치아교정이 가능한 사례도 있지만 덧니 교정을 통해서 부정교합과 함께 얼굴형의 변화까지 치료 목적으로 하는 경우에는 발치가 필요한 경우가 많다고 볼 수 있어요


물론 덧니 발치 교정을 하는 사례가 보편적으로 많은 편이긴 하지만 무조건 발치 교정이 좋은 것은 아니고 꼭 해야 하는 것은 아니라고 할 수 있는데요. 앞서 설명드린 것처럼 치아 공간 확보가 충분히 되는 경우도 있고 얼굴형과 입술 라인을 고려할 때 발치를 하는 것이 얼굴과의 조화 부분에서 더 이로울 것으로 예상되는 경우와 발치 후 합죽이와 같이 보이는 안좋은 결과가 예상된다면 무리한 발치는 안하는 것이 좋다고 볼 거예요
치아교정 계획을 세울 때 이처럼 치아의 이동공간 뿐 아니라 교합과의 상관관계, 골격, 얼굴형을 종합적으로 고려하여 치료 계획을 세우기 때문에 발치 여부 하나만 보더라도 발치 자체가 무조건 좋고 나쁘다는 개념은 옳지 않으며 자신의 치아와 얼굴형 등을 종합적으로 판단할 때 정밀 검진 결과를 토대로 세부적인 계획이 하나씩 세워지고 있어요


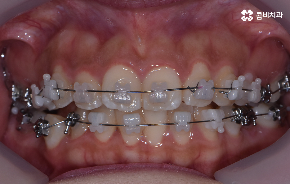
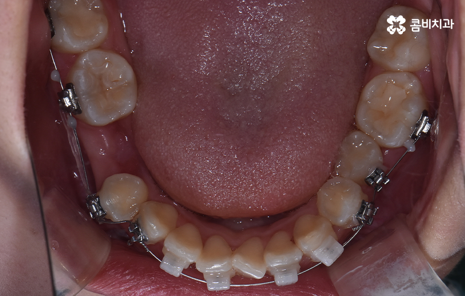
교정을 위해 치과에 가보시면 3D CT 등을 활용하여 3차원 정밀 분석을 통한 치료 후 시뮬레이션 결과까지 직접 보면서 확인할 수 있는데요. 발치 교정을 하면 비발치 교정에 비해서 얼굴 변화가 보다 크기 때문에 치료 후 결과에 대한 예측은 매우 중요한 과정으로 볼 수 있어요
치아교정은 한 번 시작하면 중간에 쉽게 바꿀 수도 없고 어렵게 결심하는 만큼 장기적인 관점에서 치료 계획을 꼼꼼하게 세워야 할 필요가 있는데요. 덧니 발치 교정에 있어서도 단지 치열만이 아니라 치아교정 결과에 있어서 입술 라인과 얼굴형과의 조화까지 생각하고 당연히 교합도 잘 고려하여 발치 여부를 판단한다고 보시면 좋을 거예요



성장기의 경우에는 영구치가 나오는 시기에 치아가 정상적으로 맹출될 수 있도록 보조장치를 통해 치아가 바르게 맹출되도록 유도하는 등의 방식으로 치료가 가능하지만 이미 성인의 경우 덧니가 있다면 나이가 들수록 치아 관리에도 안좋을 수 있고 특히 덧니로 인해 입술라인 및 돌출이 있다면 덧니 발치 교정을 통해서 치료 계획을 세워보는 것도 좋을 거예요





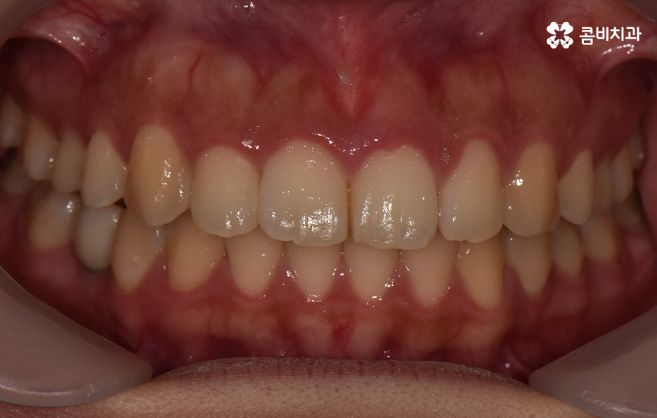
정리하면 덧니 발치 교정의 필요성은 각 개인에 따라 치료 계획은 천차만별이기 때문에 치과에서 정밀 검진과 함께 교정 전문의와의 충분한 상담을 통해서 판단해야 하며 보편적으로는 입술 라인을 고려하거나 돌출 등이 있어서 치열 뿐 아니라 입이 안쪽으로 들어가야 할 필요가 있다면 발치를 하는 것도 좋은 방법이 될 수 있어요
반대로 발치를 하는 것이 치료 결과에 좋지 않거나 덧니가 심하지 않은 경우에는 되도록 비발치로 교정을 진행하는 경우도 있다는 점도 알아두시면 좋을 거예요. 치아교정은 치열만 고려하여 치료 계획을 세우지 않고 결과에 대해 고려하여 계획하는 만큼 치료 뿐 아니라 유지관리까지 오랫동안 믿고 찾을 치과를 선택해야 하며 무엇보다 자신에게 적합한 치료 계획을 잘 세워보시길 바라고 있어요
본 글은 콤비치과의 의료광고 포스팅입니다.
개인에 따라 출혈 및 부작용이 발생할 수 있고,
환자마다 치료 결과 및 기간이 상이할 수 있으므로,
정확한 치료 기간 및 치료 계획은
치과에서 상담을 받아보시길 권장 드립니다.
더 보기
이 병원의 공개 콘텐츠를 계속 살펴보세요
출처 아카이브로 돌아가 더 많은 글을 보거나, 병원 프로필로 이동해 다른 공개 채널도 함께 비교해보세요.