아카이브 요약
이 페이지의 역할
명동콤비치과의원의 네이버 블로그 원문을 보존한 아카이브 페이지입니다. 치아스토리♡ 카테고리의 임플란트 해야 하는데 치아교정이 하고 싶다면 글을 통해 병원의 한국어 정보 제공 방식과 진료 관련 안내 톤을 확인할 수 있습니다.
원문 검증
필요하면 원문 블로그와 병원 프로필로 바로 이동해 문맥을 다시 확인할 수 있습니다.
출처 아카이브 열기아카이브된 블로그 글
명동콤비치과의원 · 콤비덴탈 치과의사 황용인
과거와는 달리 요즘은 20,30대 이후에 치아교정을 시작하는 분들이 크게 늘고 있는데요. 40,50대 이후 중장년층의 치아교정 사례도 크게 늘고 있는 것을 보면 가지런한 치열에 대한 니즈는 치아 건강과 기능적인 부분이 아니더라도 심미적인 이유와 자신감, 자기만족에 있어서 중요하다는 것을 알 수 있어요 성인이후에...
게시일
2024년 1월 27일
원문 기준으로 확인된 발행일입니다.
카테고리
치아스토리♡
원문 블로그 카테고리를 정리해 함께 표시합니다.
이미지 수
12
현재 아카이브에 연결된 이미지 수입니다.
아카이브 요약
명동콤비치과의원의 네이버 블로그 원문을 보존한 아카이브 페이지입니다. 치아스토리♡ 카테고리의 임플란트 해야 하는데 치아교정이 하고 싶다면 글을 통해 병원의 한국어 정보 제공 방식과 진료 관련 안내 톤을 확인할 수 있습니다.
원문 검증
필요하면 원문 블로그와 병원 프로필로 바로 이동해 문맥을 다시 확인할 수 있습니다.
출처 아카이브 열기과거와는 달리 요즘은 20,30대 이후에 치아교정을 시작하는 분들이 크게 늘고 있는데요. 40,50대 이후 중장년층의 치아교정 사례도 크게 늘고 있는 것을 보면 가지런한 치열에 대한 니즈는 치아 건강과 기능적인 부분이 아니더라도 심미적인 이유와 자신감, 자기만족에 있어서 중요하다는 것을 알 수 있어요
성인이후에 치아교정을 시작하는 분들이 많다보니 임플란트를 이미 했거나 계획 중인 분들도 교정이 가능한지 궁금해 하시는 분들이 많을 거예요
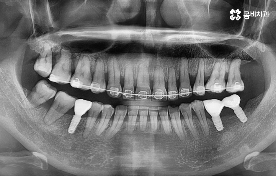
임플란트의 치료 원리는 잇몸 뼈에 임플란트를 식립하여 골유착 과정을 거치면서 단단하게 잇몸 뼈에 고정이 되기 때문에 임플란트가 쉽지 않을 거라는 생각이 들게 되지만 임플란트를 하더라도 치아교정이 가능한 경우도 많기 때문에 자신에게 적합한 치료 계획을 잘 세워보시면 좋을 거예요


치아교정을 계획 중이라면 임플란트 치료가 끝난 상태보다는 임플란트 치료 전에 교정을 미리 완료하거나 임플란트와 함께 교정 계획이 있다는 사실을 교정 전문의와 충분히 상담하시고 치료 계획을 세우시길 권하고 있어요
치아교정은 치열 뿐 아니라 골격과 입술라인, 얼굴형을 종합적으로 고려하여 치료 계획이 세워지기 때문에 임플란트의 시술 계획에 따라서 치열 뿐 아니라 예를 들어 돌출 치아인 경우에는 얼마나 치아를 안쪽으로 이동시켜서 얼굴과의 조화 뿐 아니라 입술 라인도 잘 어울리는 결과를 얻을지 미리 계획할 수 있는데요
특히 치아가 벌어지거나 삐뚤한 경우에는 임플란트 시술만 한다고 가정할 때 기존의 치열에서 교합 관계 위주로 임플란트의 식립 각도와 위치, 보철물의 크기 등을 결정하게 되지만 치아교정을 통해 가지런한 치열로 개선한 후에 임플란트를 식립하는 경우에는 가지런한 치열을 갖춘 상태에 적합한 임플란트 치료 계획을 세운다는 점에서 이점이 있어요




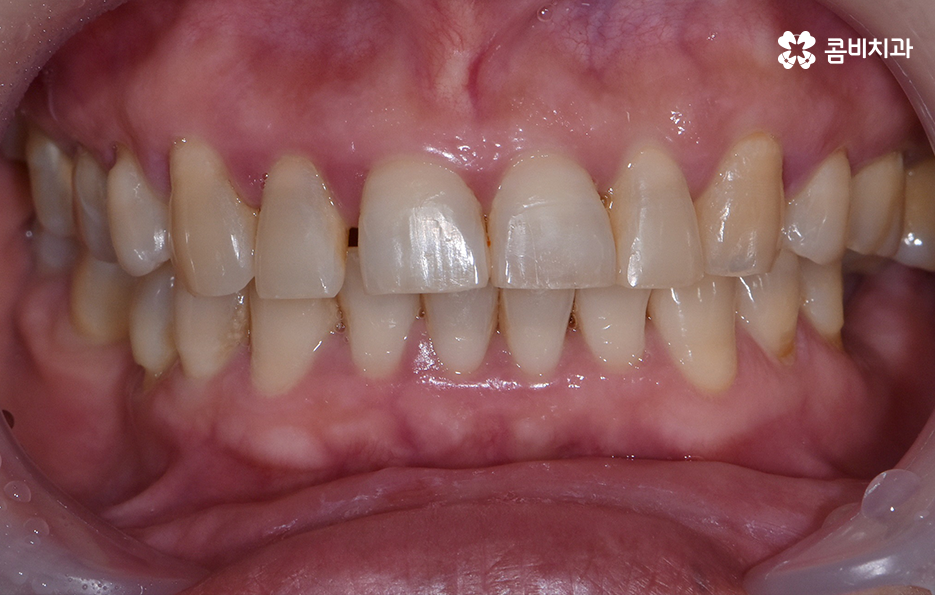
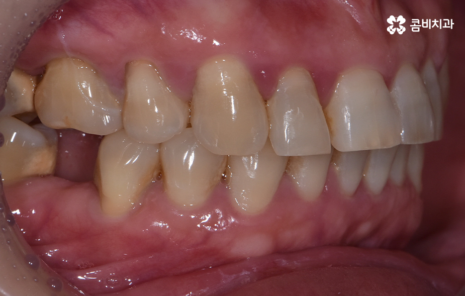
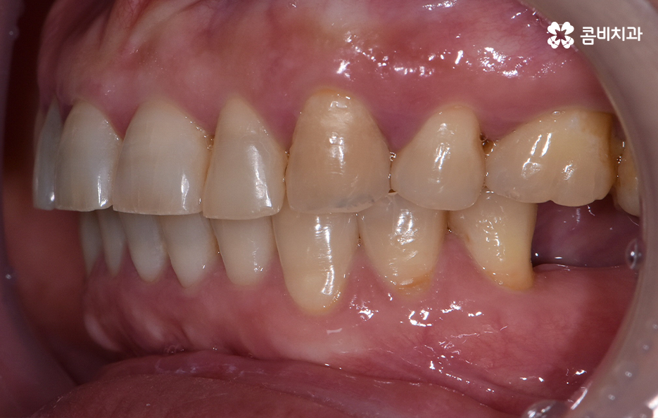
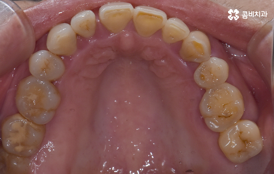
오늘 보시는 포스팅에서의 치료 과정도 어금니에 임플란트가 필요한 상태에서 윗니를 보시면 윗니가 다소 벌어진 것을 확인할 수 있는데요. 교정 하면 보통 전체교정을 떠올리게 되긴 하지만 경우에 따라서는 치열이 전체적으로 가지런한 편인데 앞니가 살짝 벌어진 경우나 어금니만 다소 벌어진 경우도 있을 거예요
이러한 경우에는 부분교정을 통해서 다소 개선이 필요한 치열을 가지런하게 만들고 가지런해진 치열과 교합 상태에 적합한 임플란트 치료 계획을 세워서 치아의 심미성과 기능적인 부분, 얼굴과의 조화를 종합적으로 고려하여 좋은 결과를 얻을 수 있어요


오늘 포스팅에서 소개드린 케이스의 경우 임플란트 치료 전에 치아교정을 통해 치료 계획을 세운 경우라면 이미 임플란트를 한 상태에서 교정에 대한 고민을 하는 분들도 있을 거예요
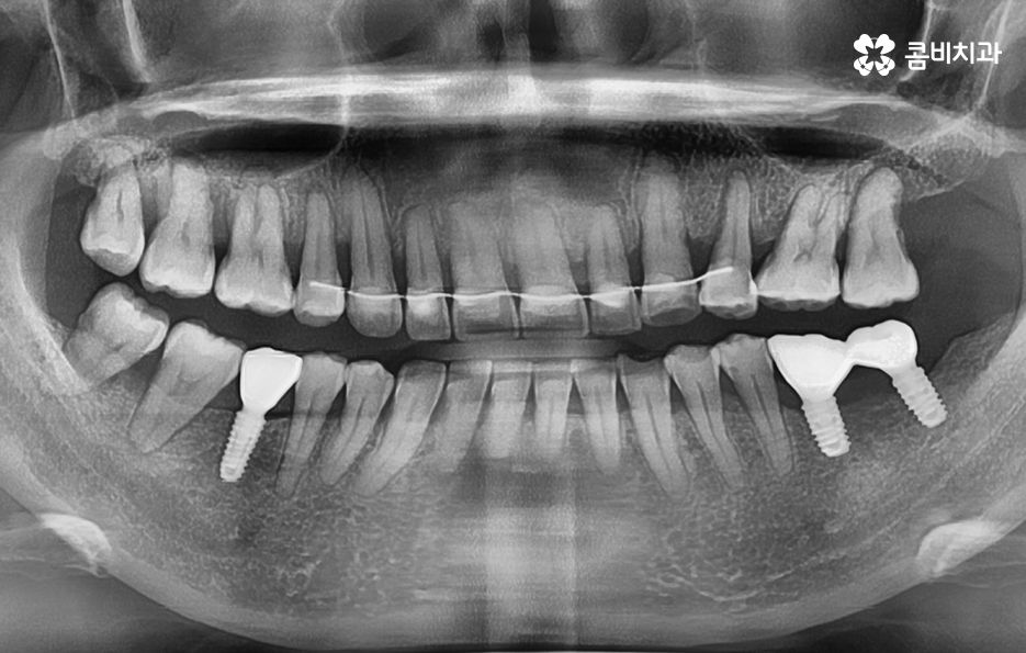
임플란트를 이미 한 상태에서 교정을 계획하는 경우에 대해 설명드리면 일반적으로 치열 위주로만 가지런하게 만들기 위한 치아교정은 임플란트가 크게 방해되지 않는 경우가 대부분이며 이미 치열이 삐뚠 상태에서 임플란트를 하셨던 경우에도 큰 문제가 아닌 경우가 더 많이 있는데요
임플란트를 제외한 자연치아를 우선적으로 치아교정을 하고 임플란트를 한 부위의 보철물은 새롭게 제작하거나 약간의 보철물 조정을 통해서 치료가 가능할 수 있어요




임플란트는 잇몸 뼈에 고정이 되어 있기 때문에 돌출입 교정과 같이 치아의 이동이 많은 경우에는 어렵지 않을까 생각하시는 분들도 많을 거예요. 임플란트를 한 상태에서 돌출입 교정과 같은 치료를 한다고 가정할 때 어금니에 임플란트를 한 경우에는 임플란트를 오히려 고정원으로 써서 앞니를 안으로 당기는데 활용할 수 있어요
앞니에 임플란트를 한 경우에는 자연치아를 모두 안쪽으로 움직이게 한 후에 앞니 임플란트 보철물만 새롭게 제작하여 치아교정을 마무리하는 방법도 있어요
이처럼 임플란트를 할 계획이거나 이미 했어도 치아교정이 가능한 사례가 많다는 점에서 너무 걱정하기 보다는 정밀 검진과 교정 전문의와 충분히 상담 후에 판단해보시길 바라며 가지런한 치열은 심미적인 부분이 아니더라도 치아의 저작 기능과 청결 관리에서도 중요한 부분이니 임플란트와 치아교정을 동시에 진행도 가능하다는 점 알아두시면 좋을 거예요
본 글은 콤비치과의 의료광고 포스팅입니다.
개인에 따라 출혈 및 부작용이 발생할 수 있고,
환자마다 치료 결과 및 기간이 상이할 수 있으므로,
정확한 치료 기간 및 치료 계획은
치과에서 상담을 받아보시길 권장 드립니다.