아카이브 요약
이 페이지의 역할
명동콤비치과의원의 네이버 블로그 원문을 보존한 아카이브 페이지입니다. 치아스토리♡ 카테고리의 어금니 임플란트 기간 얼마나 예상해야 하나요 글을 통해 병원의 한국어 정보 제공 방식과 진료 관련 안내 톤을 확인할 수 있습니다.
원문 검증
필요하면 원문 블로그와 병원 프로필로 바로 이동해 문맥을 다시 확인할 수 있습니다.
출처 아카이브 열기아카이브된 블로그 글
명동콤비치과의원 · Naver Blog
요즘은 치아를 상실하게 된 상태라면 대부분 임플란트 부터 알아보실 거예요. 그만큼 자연치아를 대체하는 치료로 대중적으로 알려졌고 자리 잡았지만 여전히 임플란트를 알아보시면 어렵게만 느끼게 될 수 있는데요 임플란트를 처음 알아보신다면 아무래도 통증이나 비용도 궁금하겠지만 기간이 얼마나 걸리고 치과 내원 횟수...
게시일
2024년 1월 31일
원문 기준으로 확인된 발행일입니다.
카테고리
치아스토리♡
원문 블로그 카테고리를 정리해 함께 표시합니다.
이미지 수
8
현재 아카이브에 연결된 이미지 수입니다.
아카이브 요약
명동콤비치과의원의 네이버 블로그 원문을 보존한 아카이브 페이지입니다. 치아스토리♡ 카테고리의 어금니 임플란트 기간 얼마나 예상해야 하나요 글을 통해 병원의 한국어 정보 제공 방식과 진료 관련 안내 톤을 확인할 수 있습니다.
원문 검증
필요하면 원문 블로그와 병원 프로필로 바로 이동해 문맥을 다시 확인할 수 있습니다.
출처 아카이브 열기요즘은 치아를 상실하게 된 상태라면 대부분 임플란트 부터 알아보실 거예요. 그만큼 자연치아를 대체하는 치료로 대중적으로 알려졌고 자리 잡았지만 여전히 임플란트를 알아보시면 어렵게만 느끼게 될 수 있는데요
임플란트를 처음 알아보신다면 아무래도 통증이나 비용도 궁금하겠지만 기간이 얼마나 걸리고 치과 내원 횟수 등에 대해서도 궁금하실 수 있어요
그래서 오늘은 많은 분들이 어금니 상실로 인해 어금니 임플란트를 알아보시기 때문에 어금니 임플란트 기간에 대해 알아보면서 치료 과정도 함께 알아보겠고 임플란트 종류 차이가 발생하는 이유에 대해서도 알아볼 거예요


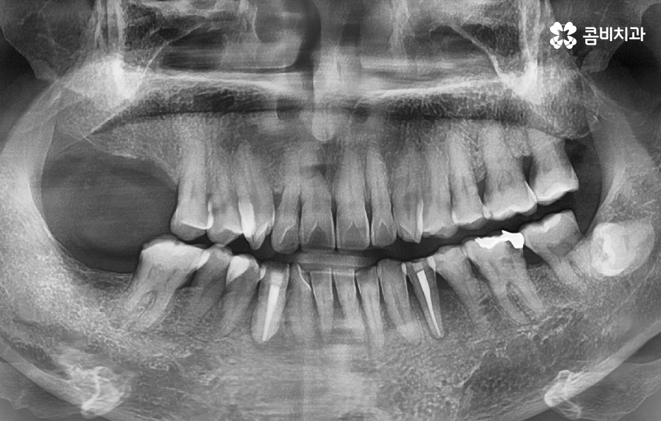
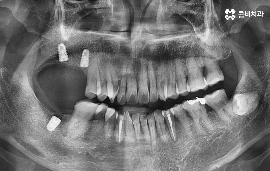
일반적인 임플란트의 치료 과정은 충치나 치주염 등으로 치아를 발치하게 되었을 때 치아 발치 후 잇몸이 아물고 회복되기를 기다리고 있는데요. 잇몸이 충분히 회복된 후에 임플란트를 잇몸 뼈에 식립하는 것을 시작으로 치과 내원과 어금니 임플란트 기간에 대해 대략적으로 알아보면 내원 횟수는 약 45회 정도로 예상되며 평균적으로 34개월 정도면 치료가 마무리 되고 있어요
여기서는 일반적인 치료 과정이라는 점을 전제로 하고 있는데요. 잇몸 뼈 상태가 양호하고 건강한 상태인 경우에 임플란트를 위한 치과 내원 횟수와 기간이 약 45회, 34개월 정도로 예상되는 것이며 잇몸 뼈의 상태가 좋지 않아서 뼈이식이 필요하거나 잇몸 이식술이 필요한 경우에는 치과 내원 횟수와 치료 기간이 더 늘어날 수 있는데요


특히 노인분들의 경우에는 치아를 잃게 되는 주된 원인이 치주염이 심해져서 치아가 흔들리고 발치하게 되는 경우가 많으며 당뇨나 고혈압과 같은 전신질환이 있는 경우도 고려해야 하기 때문에 임플란트의 기본적인 치료 원리는 비슷하지만 각 개인에 따라서 치료기간과 치료 방법이 다소 차이가 날 수 있어요
임플란트의 원리 자체는 어떤 치료에도 비슷하게 적용되지만 치료 계획을 세우다보면 치아를 상실한 원인도 다르고 현재 잇몸 상태부터 전신 건강의 차이가 있기 때문에 세부적인 치료 계획이 달라지면서 임플란트의 치료 방법은 다양하게 적용되고 있는데요
예를 들어 20대에 충치로 치아 하나를 발치하게 된 사례와 60대 이후 노인분이 풍치로 인해 대부분의 치아를 잃고 전체임플란트를 해야 한다면 임플란트의 치료 원리 자체는 비슷해도 치료 계획은 전혀 달라지는 것과 비슷한 이치라고 볼 거예요
일례로 요즘은 임플란트 하면 원데이임플란트가 빠른 치료 방법이 장점으로 부각되어 많이 알려져 있는데요. 원데이임플란트는 특히 앞니 치료에 적용하면 잇몸 라인의 보존과 임시치아를 빠르게 부착하여 심미적 부담감을 해소하고 치료 기간을 단축시킨다는 장점이 있지만 노인 분들의 경우 여러 치아를 잃은 상태에서 임플란트를 하는 경우가 많고 잇몸이 약하거나 전신건강이 좋지 않아서 회복력이 약하고 전신질환이 이미 있는 경우도 많기 때문에 오히려 안정성과 건강한 결과에 더 초점을 두실 필요가 있어요


따라서 어금니 임플란트 기간 단축만을 위해서 원데이임플란트를 적용하기 보다는 자신에게 적합한 치료 방법을 정밀검진을 통해 우선적으로 파악하는 것을 권하고 있어요
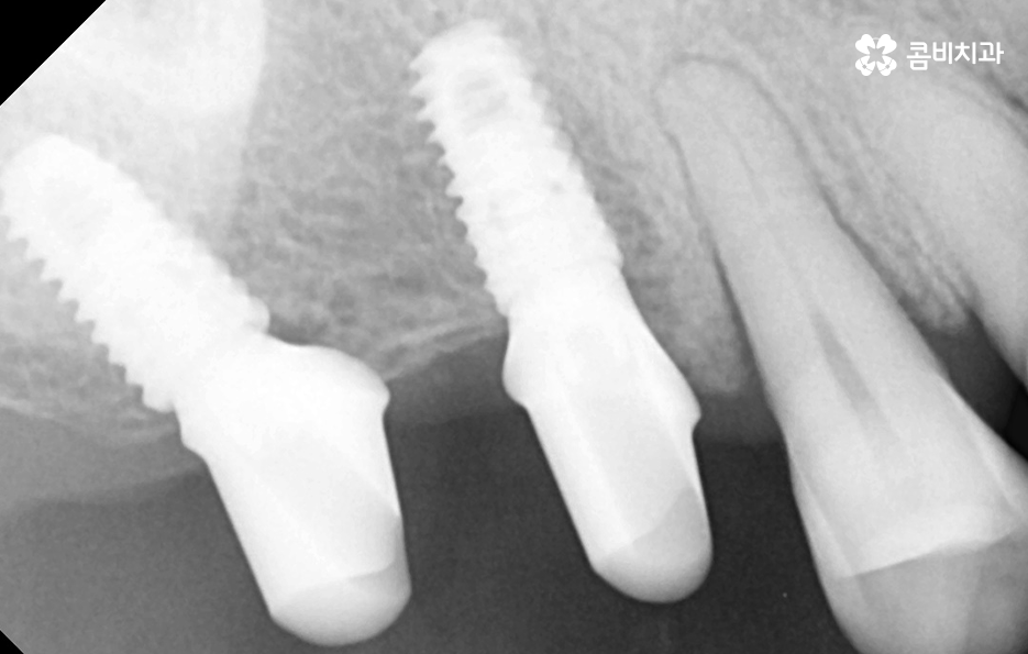
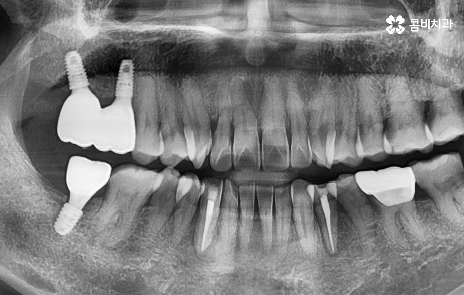
임플란트 치료의 성공 여부는 임플란트가 잇몸 뼈에 안정적으로 골유착이 진행되고 튼튼하게 고정되어 있어야 하기 때문에 치료 전에도 잇몸 건강이 중요하지만 치료 후에도 잇몸 건강이 관건이라 할 수 있는데요


어금니 임플란트 치료를 잘 받았다면 그 이후에는 얼마나 수명 유지를 잘하는지에 따라서 10년이상 건강하게 사용할 수도 있고 반대로 제대로 관리하지 않는다면 임플란트의 수명도 줄어들고 임플란트 주위염 등으로 고생하는 사례도 많이 있어요
임플란트는 한 번 치료 받으면 끝이 아니라 잘 관리하면 반영구적인 수명 유지도 가능하다는 사실을 기억하시고 오래 믿고 찾을 치과의 선택도 신중해야 하며 특히 노인 분들이나 전신질환이 있고 잇몸이 약한 분들이라면 임플란트 치료에 있어서 풍부한 임상 경험을 가진 치과의사와 충분히 상의하시고 1:1 맞춤 치료 계획을 잘 세우시길 권하고 있어요
본 글은 콤비치과의 의료광고 포스팅입니다.
개인에 따라 출혈 및 부작용이 발생할 수 있고,
환자마다 치료 결과 및 기간이 상이할 수 있으므로,
정확한 치료 기간 및 치료 계획은
치과에서 상담을 받아보시길 권장 드립니다.