아카이브 요약
이 페이지의 역할
명동콤비치과의원의 네이버 블로그 원문을 보존한 아카이브 페이지입니다. 치아스토리♡ 카테고리의 돌출입 콤비교정으로 얼굴까지 개선하는 방법은 글을 통해 병원의 한국어 정보 제공 방식과 진료 관련 안내 톤을 확인할 수 있습니다.
원문 검증
필요하면 원문 블로그와 병원 프로필로 바로 이동해 문맥을 다시 확인할 수 있습니다.
출처 아카이브 열기아카이브된 블로그 글
명동콤비치과의원 · Naver Blog
치아교정 진행 과정을 살펴보면 치열 뿐 아니라 옆모습과 입술라인, 얼굴과의 조화 등 다양한 측면에서 바라보고 변화하는 경과를 지켜보고 있는데요. 교정을 이제 처음 알아보시는 분들의 경우에는 단순히 앞니 만이라도 가지런 해지면 좋겠다고 생각하고 교정을 결심하는 분들도 많지만 실제 교정 치료를 계획하고 진행하는 자...
게시일
2024년 2월 21일
원문 기준으로 확인된 발행일입니다.
카테고리
치아스토리♡
원문 블로그 카테고리를 정리해 함께 표시합니다.
이미지 수
11
현재 아카이브에 연결된 이미지 수입니다.
아카이브 요약
명동콤비치과의원의 네이버 블로그 원문을 보존한 아카이브 페이지입니다. 치아스토리♡ 카테고리의 돌출입 콤비교정으로 얼굴까지 개선하는 방법은 글을 통해 병원의 한국어 정보 제공 방식과 진료 관련 안내 톤을 확인할 수 있습니다.
원문 검증
필요하면 원문 블로그와 병원 프로필로 바로 이동해 문맥을 다시 확인할 수 있습니다.
출처 아카이브 열기치아교정 진행 과정을 살펴보면 치열 뿐 아니라 옆모습과 입술라인, 얼굴과의 조화 등 다양한 측면에서 바라보고 변화하는 경과를 지켜보고 있는데요. 교정을 이제 처음 알아보시는 분들의 경우에는 단순히 앞니 만이라도 가지런 해지면 좋겠다고 생각하고 교정을 결심하는 분들도 많지만 실제 교정 치료를 계획하고 진행하는 자세한 과정을 살펴보면 세부적으로 복합적인 조건들을 따진다는 것을 알 수 있어요
쉽게 말해 치아교정을 통해 좋은 결과를 얻기 위해서는 치열만 가지런하게 재배열 하는 것이 아니라 자신의 얼굴과 잘 어울려야 하며 입술라인을 고려해야 하고 치아의 건강이나 교합과 같은 기능적인 부분과 골격 등을 종합적으로 고려하여 치료 계획을 세우는 것이 좋은 치료 결과를 얻는데 있어서 가장 기본적이고 중요한 체크 포인트라 할 수 있는데요



그러한 점에서 오늘 포스팅에서 보실 콤비교정의 케이스는 이제 교정 치료를 처음 알아보시는 분들에게 치아교정 과정에 대한 이해도를 높이는데 좀더 도움이 되실 거예요
콤비교정이나 설측교정을 알아보시는 분들 중에서는 교정 기간 동안 느낄 수 있는 심미적 부담감을 줄이고 싶고 되도록 외부에 교정 사실을 알리고 싶어하지 않는 분들이 이러한 심미성이 높은 교정 방법을 선호하는 분들이 많이 있는데요


치아교정 기간을 고려할 때 전체교정을 하고 발치 교정까지 진행이 된다면 치아교정 기간이 약 2~3년 정도 예상되는 경우가 일반적이라는 점에서 교정기 종류의 선택 역시도 일상생활을 하는데 있어서 중요한 조건이 될 수 있어요
하지만 궁극적으로는 치아교정을 통해 얻게 되는 결과가 중요하기 때문에 치료 과정보다는 평생 결과를 유지하는 관점에서 만족스러운 결과를 얻는 것에 먼저 초점을 맞추고 치료계획을 세우는 것이 우선이라 할 거예요

그러한 관점에서 볼 때 교정을 망설이는 분들의 가장 큰 고민들은 교정기로 인한 심미적인 부담감이나 꼭 발치를 해야하는지 발치의 필요 여부, 치료 기간을 단축시킬 수 없는지 교정 기간에 대한 부담과 같은 고민이 대표적이라 할 수 있는데요
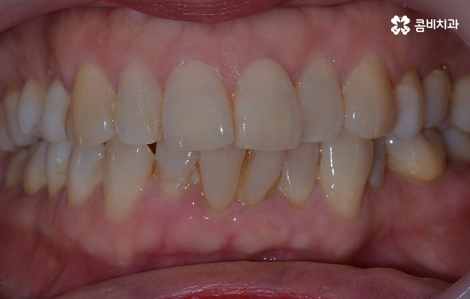
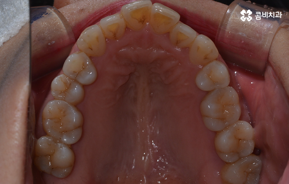
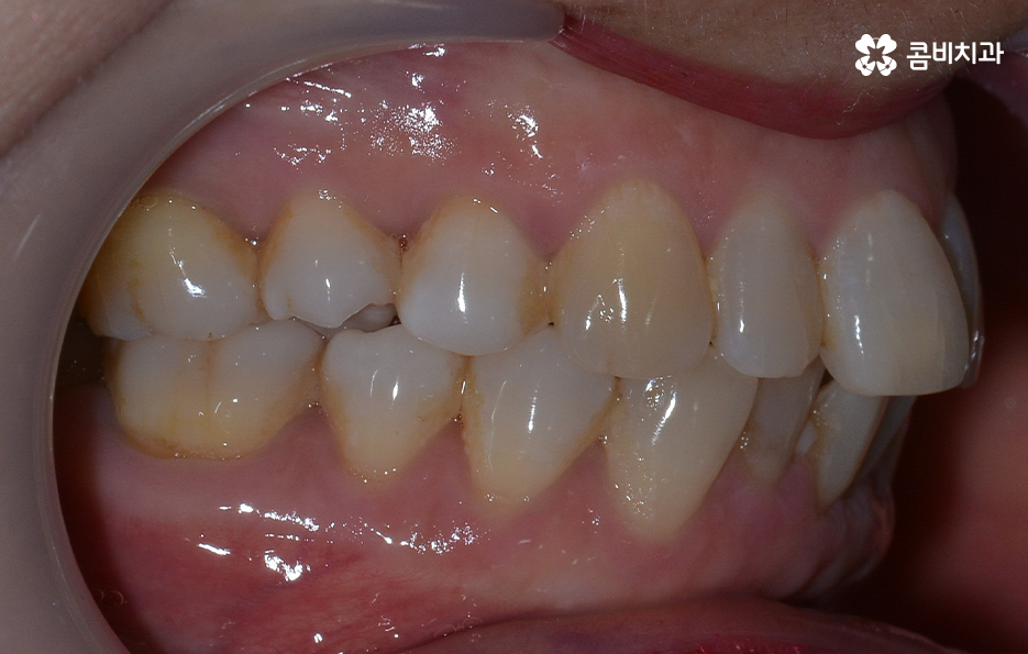
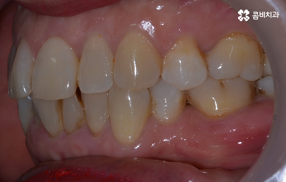
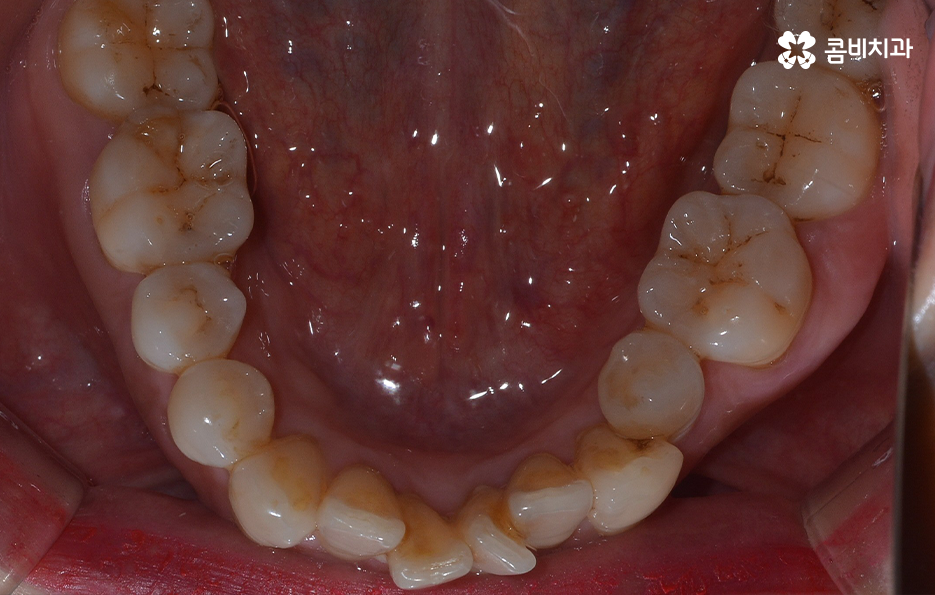
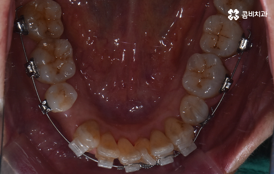
오늘 보시는 교정 사례의 경우를 보시면 아랫니의 틀어짐도 크지만 측면 사진으로 보시면 치열로 인해 돌출입에 영향을 준다는 사실도 알 수 있어요. 즉 치열과 함께 돌출입도 함께 고치고 싶어하기 때문에 치열도 재배열 하지만 치아 안쪽으로 넣어서 입술라인과 얼굴형으로 볼 때도 돌출입도 치료하는 치료 계획을 세웠기 때문에 작은 어금니 발치를 통한 치아의 이동 공간을 확보한 사례로 볼 수 있어요

치아교정의 원리를 생각하면 치아를 안쪽으로 넣어야 하는 치료 계획을 세울 때 치아가 이동할 수 있는 공간을 확보해야 하고 특히 얼굴형까지 고려하여 치아를 크게 이동시켜야 할 때는 발치 교정이 꼭 필요할 수 있는데요
발치의 필요 여부만 놓고 보자면 비발치 치아교정이 가능한 사례도 많고 치료 계획만 놓고 보자면 발치를 하면 안되는 경우부터 발치 없이 교정이 가능하지만 환자의 선택에 의해 진행하는 경우도 있어요


발치가 필요 없는 경우는 치아의 이동량이 크지 않다거나 발치를 하면 오히려 불리한 사례도 있기 때문에 교정을 한다고 해서 누구나 발치가 필요한 것은 아니라는 점은 먼저 이해하시면 좋겠고 꼭 발치가 필요한 경우와 환자분의 선택에 의해 진행되는 경우는 보편적으로 정밀검진을 통해 치아와 골격, 얼굴형을 고려하여 각 개인에게 적합한 치료 계획을 세우고 있어요
아무래도 한번 교정을 시작하기로 결심하는 것도 어려운 일이고 이왕 시작한 교정인 만큼 더 만족스러운 결과를 얻기 위해 발치가 필수는 아니지만 선택적으로 진행하는 경우도 있다고 보시면 될 거예요

마지막으로 오늘 사례와 같이 돌출입도 고치면서 치아교정을 해야 할 때 발치를 통한 교정을 한다면 교정 장치의 심미성을 따질 때 전체교정을 해야 한다는 관점에서는 설측교정이 가장 심미적이면서 치료 계획 상에서 선택 가능한 장치로 볼 수 있는데요
하지만 설측교정은 아래 치아까지 설측으로 진행할 경우 혀가 있는 위치이기 때문에 이물감도 좀더 크게 느껴지고 발음상의 불리함도 있기 때문에 장기간의 치료를 고려한다면 불편함이 좀더 클 수 있어요
물론 직업적인 이유나 교정 사실을 외부에 알리고 싶지 않다면 이러한 불편함도 감수하는 경우도 있긴 하지만 교정기의 불편함과 심미성 사이에서 고민한다면 콤비교정이 대안이 될 거예요
콤비교정은 윗니는 설측으로 진행하고 아랫니는 순측으로 교정기를 착용하기 때문에 웃을 때 주로 보이는 앞니는 교정기 착용이 티가 안난다는 점에서 크게 웃지 않는다면 교정기 착용이 거의 티가 안나는 수준으로 교정을 진행할 수 있어요

오늘 교정 사례를 종합하면 많은 분들이 교정기에 대한 고민과 발치 여부 등에 대해 고민하다보면 교정을 시작도 하기 전에 포기하는 경우도 적지 않을 거예요. 이러한 세부적인 사항을 결정하고 조율하는 과정은 분명 중요하지만 그에 앞서서 정확한 정밀검진을 통해 자신의 상태를 객관적으로 살펴보고 교정 전문의와 충분히 상의 하신다면 자신에게 적합한 치료 계획을 1:1 맞춤형으로 세울 수 있는데요
자신에게 적합한 치료 계획을 정확히 알고 고민하는 것과 전혀 모르고 고민하다 포기하는 것은 전혀 다르기 때문에 교정을 망설인다면 꼭 정밀검진을 받아보시고 자신에게 적합한 치료계획 안에서 하나씩 따져보시는 것을 권하며 교정은 장기적인 치료 뿐 아니라 유지관리까지 중요하다는 점에서 오래 믿고 찾을 치과를 잘 선택하시길 바라고 있어요
본 글은 콤비치과의 의료광고 포스팅입니다.
개인에 따라 출혈 및 부작용이 발생할 수 있고,
환자마다 치료 결과 및 기간이 상이할 수 있으므로,
정확한 치료 기간 및 치료 계획은
치과에서 상담을 받아보시길 권장 드립니다.