아카이브 요약
이 페이지의 역할
명동콤비치과의원의 네이버 블로그 원문을 보존한 아카이브 페이지입니다. 치아스토리♡ 카테고리의 명동치과 놓치기 쉬운 2차충치에 주의하려면 글을 통해 병원의 한국어 정보 제공 방식과 진료 관련 안내 톤을 확인할 수 있습니다.
원문 검증
필요하면 원문 블로그와 병원 프로필로 바로 이동해 문맥을 다시 확인할 수 있습니다.
출처 아카이브 열기아카이브된 블로그 글
명동콤비치과의원 · Naver Blog
현재 한국인들의 평균 기대수명은 남성의 경우 약 86세, 여성은 약 90세 정도로 기대수명 100세 시대는 의학기술의 발달 속도로 볼 때 그리 멀지 않은 것을 느낄 수 있는데요. 이러한 평균 기대수명은 말그대로 평균적인 수치이기 때문에 각 개인의 건강 관리 방법에 따라서 실제 수명은 차이가 나타날 것으로 보...
게시일
2024년 2월 28일
원문 기준으로 확인된 발행일입니다.
카테고리
치아스토리♡
원문 블로그 카테고리를 정리해 함께 표시합니다.
이미지 수
9
현재 아카이브에 연결된 이미지 수입니다.
아카이브 요약
명동콤비치과의원의 네이버 블로그 원문을 보존한 아카이브 페이지입니다. 치아스토리♡ 카테고리의 명동치과 놓치기 쉬운 2차충치에 주의하려면 글을 통해 병원의 한국어 정보 제공 방식과 진료 관련 안내 톤을 확인할 수 있습니다.
원문 검증
필요하면 원문 블로그와 병원 프로필로 바로 이동해 문맥을 다시 확인할 수 있습니다.
출처 아카이브 열기현재 한국인들의 평균 기대수명은 남성의 경우 약 86세, 여성은 약 90세 정도로 기대수명 100세 시대는 의학기술의 발달 속도로 볼 때 그리 멀지 않은 것을 느낄 수 있는데요. 이러한 평균 기대수명은 말그대로 평균적인 수치이기 때문에 각 개인의 건강 관리 방법에 따라서 실제 수명은 차이가 나타날 것으로 보여지고 있어요
요즘은 연예인이 아니더라도 일반인들 중에서도 중년이지만 마치 청년 같은 외모를 유지하는 분들이 많은 것을 보면 단지 오래 사는 것이 아니라 얼마나 건강하고 젊게 사는 것이 중요한지 느끼고 계실 거예요
삶의 질에 있어서 항상 빠지지 않는 요소는 치아의 건강이며 식사를 하는 것은 우리 몸에 영양소도 공급하지만 그 자체도 즐거운 일이기 때문에 오늘은 자연치아를 어떻게 건강하게 유지할지 명동치과 찾는 성인 분들 중에서 많은 분들이 놓치는 2차충치에 대한 이야기를 해볼 거예요


여전히 많은 분들이 치과는 이가 아파야만 찾는 곳이라고 정의 내리기도 하지만 통증의 유무로 치아의 건강을 체크하다보면 특히 30,40대 이후에 치아로 인해 큰 고생을 하는 사례가 한번쯤 발생할 수 있는데요
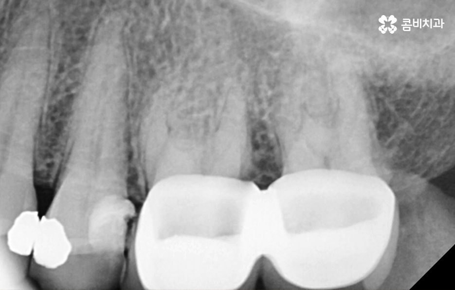
누구나 살다보면 치아에 충치부터 작은 깨짐 등으로 인해 요즘은 대부분 레진이지만 과거에는 아말감과 같은 치료를 해본 분들이 많을텐데 이러한 치과 보철치료를 받았던 분들이 시간이 지나면서 보철물 안으로 2차충치가 발생해서 고생하는 사례가 많이 있어요
과거에 충치로 인해 고생했던 분들 중에서 보통은 명동치과 치료 후에 수개월 혹은 수년간 치아에 별다른 불편함을 못느낀다면 치아가 건강하다고 믿는 분들이 많지만 보철물 속에 2차충치가 발생하는 사례처럼 우리 눈에 보이지 않는 곳에서는 치아 문제가 발생할 수 있다는 거예요


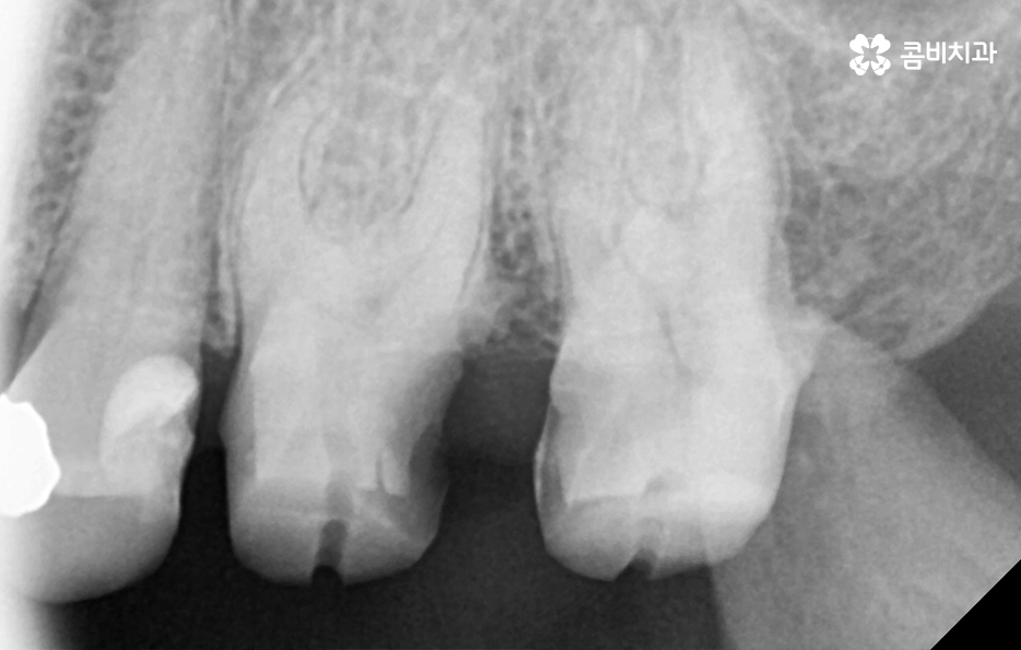
치아가 안아파도 명동치과 매년 주기적으로 검진하고 스케일링을 하시라고 권장하는 이유도 이러한 2차충치에 대한 우려 혹은 보철물의 교체 주기 및 수명을 체크하는 이유도 있겠고 사랑니 상태나 치아의 인접면에 발생하는 충치와 같이 평소 눈으로는 살펴보기 어려운 치아 문제를 치과에서 정확하게 파악하려는 목적이 크다고 할 수 있어요
많은 환자분들께서 이미 충치 치료를 했던 부위인데 왜 또 충치가 생길 수 있는지 의아해 하시는 분들도 계실 거예요. 충치 치료를 했던 부위를 살펴보면 보철 재료와 치아 사이에 경계면이 있다는 것을 알 수 있는데요.
충치 치료 후에는 보철물과 치아 사이의 경계선 부분에서 보철물의 접착제가 녹는 경우도 있고 보철물 자체의 손상이 발생되는 경우도 있으며 보철물은 멀쩡하더라도 자연치아가 마모되고 깨지는 등의 문제가 발생될 수 있는데 이때 보철물과 치아 사이에 틈이 발생되면 치아 내부로 세균이 침투하여 2차충치가 발생되는 원리라고 할 수 있어요



이처럼 2차충치가 치아 내부로 진행된 경우에는 치아 구조의 특성상 치아의 겉면에 비해 내부가 좀더 약하기 때문에 충치는 비교적 쉽게 내부로 깊어질 우려가 있으며 신경조직에 손상이 발생한 경우에는 신경치료를 해야 하기 때문에 자연치아의 손상이 그만큼 커질 수 있어요
이러한 문제는 치아 내부에서 발생하기 때문에 눈으로 살펴볼 때는 상태 확인이 어렵고 명동치과 주기적으로 검진을 하지 않는다면 통증을 통해 뒤늦게 문제를 인지하기 때문에 치료 시점도 초기치료는 놓친 경우가 대부분이라 할 거예요


오늘 소개드린 2차충치 만큼이나 예방이 중요한 치아 문제는 치아의 인접면 즉 치아 사이에 발생한 충치라고 할 수 있는데요. 사실 2차충치나 인접면 충치 모두 기본적으로 평소 칫솔질도 잘하고 특히 치실 사용을 잘하는 것이 구강 내 세균 관리에서 평소 실천할 수 있는 구강관리 방법이며 명동치과 매년 최소 1회는 검진과 스케일링을 꼭 필수적으로 실천하는 것도 강조드리고 있어요
또 하나 이번 기회에 알아두시면 좋은 것은 보철물의 수명과 교체 주기에 대한 인식을 해본다면 좋을텐데 치과 치료는 영구적인 치료가 아니라 보철물의 수명은 평균적으로 10년 정도를 기대하고 있는데요
각 개인의 식습관, 청결관리 방법 등에 따라서 보철물의 수명은 줄어 들기도 하고 늘어날 수도 있지만 자신의 보철물이 약 10년 정도 사용했다고 생각된다면 명동치과 검진을 해보시고 필요하다면 재치료를 받는 것도 보철물로 인한 치아 수명이 줄어드는 문제를 예방하고 줄일 수 있는 방법이라 할 수 있어요
본 글은 콤비치과의 의료광고 포스팅입니다.
개인에 따라 출혈 및 부작용이 발생할 수 있고,
환자마다 치료 결과 및 기간이 상이할 수 있으므로,
정확한 치료 기간 및 치료 계획은
치과에서 상담을 받아보시길 권장 드립니다.