명동콤비치과의원 (명동)
임플란트 나이 얼마나 영향을 줄까
자연치아의 보유율은 50대에서 60대로 넘어가면서 감소폭이 급격히 커지는 통계를 보이고 있는데요. 자연치아 보유율이 60대에는 약 67%이며 70대이상의 경우 약 40%으로 노인분들의 치아 상실 원인은 충치와 치주질환, 오래된 보철물이 주된 원인으로 파악되고 있어요 60대 이후에 치아 상실은 치주질환이...
아카이브 요약
이 페이지의 역할
명동콤비치과의원 (명동)의 네이버 블로그 원문을 보존한 아카이브 페이지입니다. 치아스토리♡ 카테고리의 임플란트 나이 얼마나 영향을 줄까 글을 통해 병원의 한국어 정보 제공 방식과 진료 관련 안내 톤을 확인할 수 있습니다.
자연치아의 보유율은 50대에서 60대로 넘어가면서 감소폭이 급격히 커지는 통계를 보이고 있는데요. 자연치아 보유율이 60대에는 약 67%이며 70대이상의 경우 약 40%으로 노인분들의 치아 상실 원인은 충치와 치주질환, 오래된 보철물이 주된 원인으로 파악되고 있어요
60대 이후에 치아 상실은 치주질환이 심해지면서 여러 치아를 잃게 되는 경우가 많고 당뇨나 고혈압, 심장병과 같은 전신질환으로 인해 잇몸 건강이 더 빠르게 악화되어 치아 상실의 위험성이 더욱 높아지는 것으로 파악되고 있어요

치아를 급격히 잃게 되는 나이는 통계적으로 60대 이후로 파악되고 있지만 20대에도 사고나 충치로 인해 치아를 잃고 임플란트를 해야하는 분들도 많기 때문에 임플란트 나이에 따라서 어떤 치료 방법이 적용될지 궁금해 하시는 분들이 많이 있는데요
또한 경우에 따라서는 10대에도 치아를 잃는 경우도 있기 때문에 임플란트 나이 언제부터 가능한지 궁금해 하시는 분들을 위해 오늘은 나이에 따라 보편적으로 적용될 수 있는 치료 방법과 임플란트 원리, 주의사항에 대해 알아볼 거예요
임플란트는 턱뼈에 인공 치아를 심는 치료이기 때문에 턱뼈의 성장이 모두 끝난 시점인 일반적으로 20세 이후에 시술하는 것이 좋으며 노인분들의 경우 임플란트 나이 제한에 대해 궁금해 하실텐데 수치적으로 몇살까지 나이에 제한이 있다기 보다는 임플란트 시술이 어려운 전신질환을 갖다면 치료계획을 세우기 전에 치과의사에게 병력을 전달하고 잘 상의하실 필요가 있어요


좀더 정확한 치료 계획을 세우기 위해서는 임플란트 나이에 대한 중요성 보다는 치아 상실 원인과 현재 잇몸 및 전신 건강 상태 들을 1:1 맞춤형으로 진단하고 치과의사와 상의하는 것을 기본으로 하지만 이해를 돕기 위해 다소 보편적인 이야기를 해본다면 보통 20,30대의 경우 치아 상실의 주된 원인이 사고나 충치로 인해 발생하는 경우가 많을 거예요
반면에 5,60대 이후에는 치주질환으로 인해 치아를 잃게 되는 경우가 많고 잇몸이 약해진 상태이거나 전신질환 등을 함께 고려해야 하는 복합적인 치료 계획을 세워야 하는 경우가 좀더 많이 있는데요
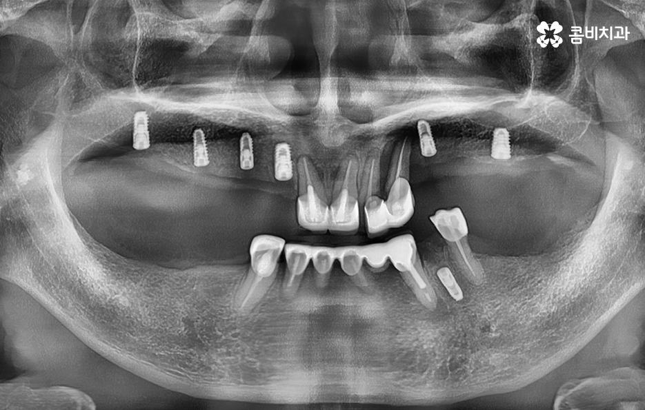
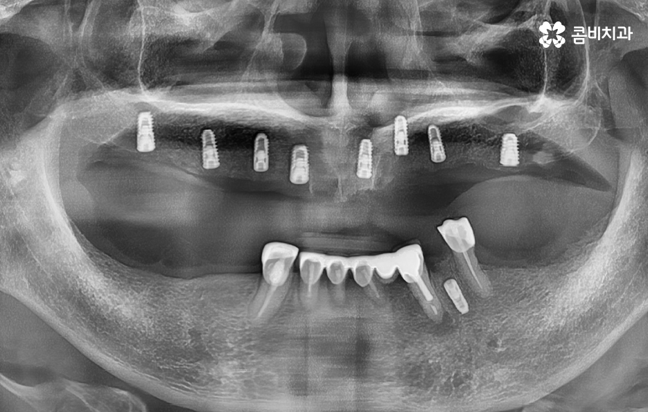
실제 치료 사례를 살펴보더라도 젊은 환자분들의 경우 원데이임플란트로도 치료가 가능한 사례가 많다면 노인분들의 경우 잇몸이 약해진 상태에서 치주염으로 치아를 잃게 된 경우가 많다보니 뼈이식을 추가적으로 받아야 하는 경우가 많이 있어요


임플란트의 치료 과정에서 중요한 부분은 잇몸 뼈에 임플란트 인공치근을 식립하여 골유착 과정을 안전하게 거쳐야 하기 때문에 잇몸 뼈의 중요성이 그만큼 크다고 할 수 있는데요
5,60대 이후 환자 분들의 경우에는 잇몸 상태가 이미 좋지 않은 분들이 많고 전신질환이 있는 분들도 많기 때문에 임플란트 나이에 있어서는 보다 섬세한 치료가 필요한 경우가 좀더 많다고 볼 수 있어요
특히 만65세 이상 건강보험 임플란트 혜택을 적용받을 수 있는 환자분들이라면 건강보험을 통해 임플란트 비용에 대해 본인부담률 30%로 비용 부담을 줄일 수 있다는 이점도 있지만 앞서 말씀드린 통계에서도 알 수 있듯이 60대 이후에는 임플란트 치료 계획에 있어서 섬세한 치료 계획이 중요하기 때문에 비용을 줄이는 것도 중요하겠지만 건강하고 안전한 치료와 향후 수명 관리를 고려하여 치과 선택이 중요하다고 할 수 있어요




정리하면 임플란트 나이 단순히 나이만으로 치료 계획에 대해 쉽게 판단하기는 어렵겠지만 통계적으로 볼 때 치아의 주된 상실 원인과 임플란트의 원리에서 잇몸 뼈의 중요성을 따져볼 때는 젊은 환자분들에 비해 60대 이후 환자분들이라면 뼈이식을 추가로 받아야 한다거나 회복력과 전신질환에 대해서도 충분히 좀더 감안하여 치료 계획을 디테일하게 세울 필요가 있다는 것을 알 수 있는데요
따라서 다 같은 임플란트 치료로 생각하기 보다는 특히 고령의 환자분 일수록 노인 임플란트에 대한 경험과 실력을 갖춘 치과의사와 함께 하는 것이 중요하며 오래 믿고 유지관리 받을 수 있는 치과인지 잘 따져보시고 판단하실 필요가 있어요
본 글은 콤비치과의 의료광고 포스팅입니다.
개인에 따라 출혈 및 부작용이 발생할 수 있고,
환자마다 치료 결과 및 기간이 상이할 수 있으므로,
정확한 치료 기간 및 치료 계획은
치과에서 상담을 받아보시길 권장 드립니다.
더 보기
이 병원의 공개 콘텐츠를 계속 살펴보세요
출처 아카이브로 돌아가 더 많은 글을 보거나, 병원 프로필로 이동해 다른 공개 채널도 함께 비교해보세요.