명동콤비치과의원 (명동)
누워있는 사랑니 꼭 뽑아야 하는 경우는 언제일까
사랑니 발치에 대한 걱정과 고민은 예전이나 지금이나 언제나 있었어요. 하지만 과거에는 보통 사랑니가 썩어서 충치로 인해 발치를 해야 했던 경우가 많았다면 현대인들의 경우 턱뼈가 점점 좁아지고 있는 분들이 많아지다 보니 매복사랑니, 누워있는 사랑니에 대해 당장 발치해야 할지 아니면 통증이 심해질때 치과에 갈지 고...
아카이브 요약
이 페이지의 역할
명동콤비치과의원 (명동)의 네이버 블로그 원문을 보존한 아카이브 페이지입니다. 치아스토리♡ 카테고리의 누워있는 사랑니 꼭 뽑아야 하는 경우는 언제일까 글을 통해 병원의 한국어 정보 제공 방식과 진료 관련 안내 톤을 확인할 수 있습니다.
사랑니 발치에 대한 걱정과 고민은 예전이나 지금이나 언제나 있었어요. 하지만 과거에는 보통 사랑니가 썩어서 충치로 인해 발치를 해야 했던 경우가 많았다면 현대인들의 경우 턱뼈가 점점 좁아지고 있는 분들이 많아지다 보니 매복사랑니, 누워있는 사랑니에 대해 당장 발치해야 할지 아니면 통증이 심해질때 치과에 갈지 고민하게 되는 사랑니의 자라는 형태로 인한 고민이 늘고 있는데요
사랑니 발치하면 다들 비슷한 고민을 할 거 같지만 좀더 자세히 들여다 보면 사랑니의 형태가 정말 다양하고 누워있는 사랑니 마저도 그 위치나 자라는 방향, 각도 등이 환자분들마다 천차만별이라는 점도 알게 되실 거예요


사랑니라고 해서 모든 사랑니를 당장 발치해야 할 필요는 없지만 꼭 발치해야 하는 사례에 대해서 잘 알고 계신다면 치료를 미뤄서 후회하는 일은 피할 수 있는데요.
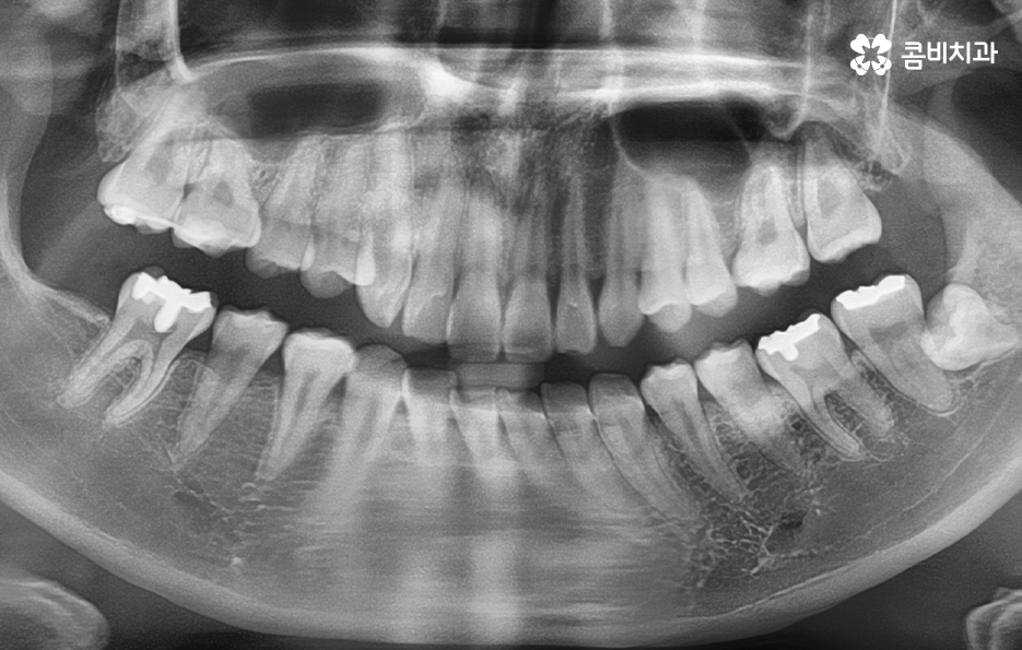
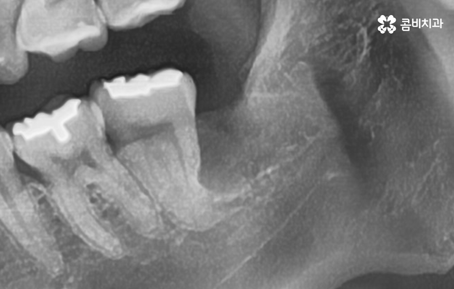
정상적으로 맹출된 사랑니가 아닌 사진에서 보시는 사랑니의 케이스처럼 어금니 부분으로 완전히 누워있는 사랑니의 경우에는 늦지 않게 발치 계획을 세우시길 권하고 있습니다
사랑니 발치에 대해 시점이 중요한 이유 중에 하나는 어금니와 인접하기 때문에 정상적인 위치와 방향으로 맹출된 사랑니라도 청결관리 문제로 인해 어금니에도 악영향을 주는 사례가 많기 때문인데 누워있는 사랑니의 경우에는 청결관리와 무관하게 어금니 손상을 일으키는 경우가 많기 때문에 미리 예방적으로 발치를 권하는 경우가 많이 있어요


누운 사랑니 발치를 미리 예방적으로 하면 좋은 이유는 어금니 방향으로 누워서 자라는 사랑니는 아무리 청결관리를 잘해도 보통 3,40대 이후에는 어금니를 썩게 만들고 어금니 충치가 심해져서 심한 경우 어금니 마저 발치하게 되는 경우가 많이 있는데요
사랑니로 인한 영구치 상실에 대한 우려도 크지만 주변 잇몸에 염증이 발생되는 경우도 많기 때문에 언젠가 큰 문제가 발생할 수 있는 대표적 케이스가 될 수 있어요
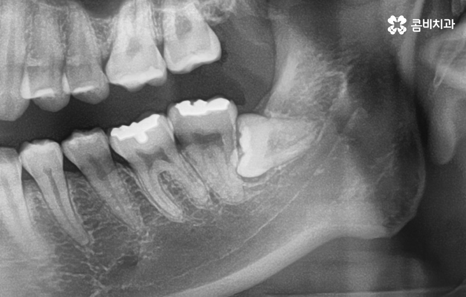
사랑니 하면 어떤 사랑니든지 언젠가는 문제가 될 수 있겠지만 그중에서도 위 사진에서 보여지는 누운 사랑니의 정도라면 그 시점이 3,40대 전후에도 문제가 커질 수 있다는 점에서 최소한 경각심을 갖고 문제가 커질 수 있음을 먼저 인지하시고 대학병원 혹은 사랑니를 전문적으로 발치할 수 있는 치과에서 치료 계획을 세우시길 권하고 있어요

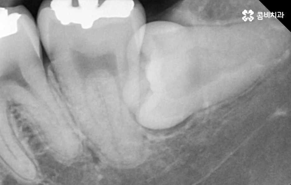
누운 사랑니로 인해 인접한 어금니에 충치가 발생하기 더 쉬운 이유는 위 사진처럼 발치 후 사진을 보더라도 치아의 구조상 치아의 하단 부분은 단단한 법랑질이 아닌 상아질로 이뤄져 있기 때문에 누운 사랑니로 인해 세균이 좀더 침투하기 쉬운 상태라는 점도 누워있는 사랑니를 발치해야 할 이유 중 하나라고 할 거예요
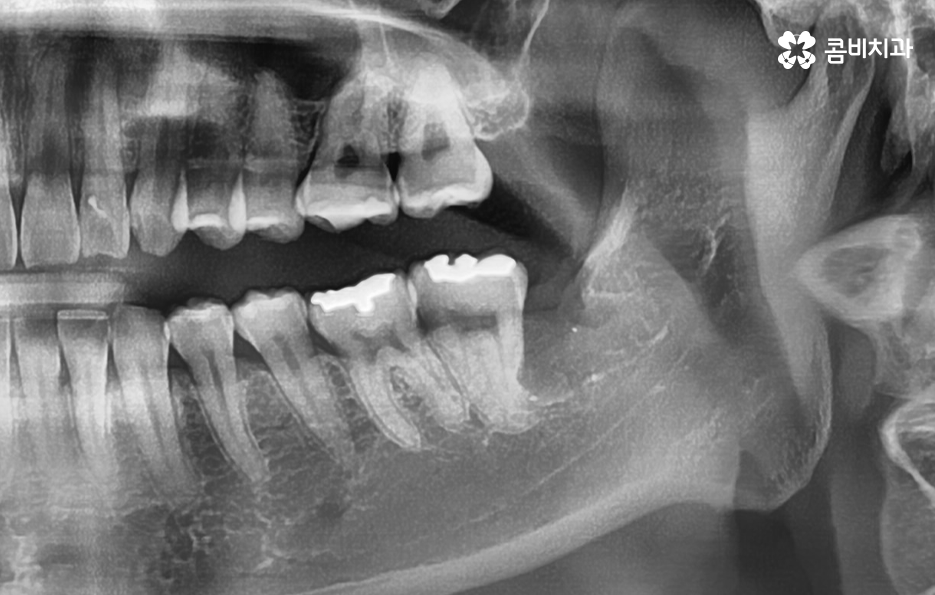
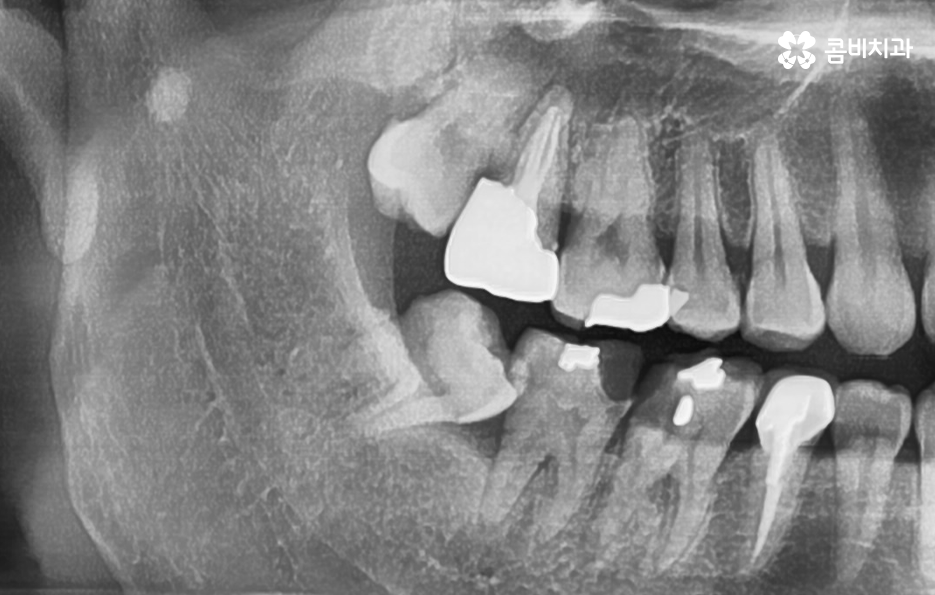
위 사례 이미지의 경우 그래도 다행인 점은 사랑니 발치 시점이 늦지 않아서 완전 누운 사랑니 임에도 큰 고생은 안했던 사례라고 본다면 아래 환자분의 사례는 이미 사랑니 뿐 아니라 어금니 까지 충치가 심해진 사례라고 할 수 있는데요



위 사례 이미지의 경우 사랑니가 누워 있는 정도는 덜하지만 사랑니 발치 시점이 늦어져서 사랑니와 인접 치아 모두 충치가 심해진 사례라고 할 수 있어요
사랑니 발치로 고생했던 분들의 사례를 살펴보면 발치 자체를 미루다가 사랑니 발치도 어려워지고 어금니도 함께 치료해야 하면서 치료비 뿐 아니라 자연치아의 손상이 커지는 경우가 대표적이며 사랑니로 인한 문제는 충치 뿐 아니라 사랑니와 어금니 사이 치조골이 녹아 내리면서 치주염이 심각해지는 경우도 많기 때문에 잇몸 건강에 대한 부분도 고려하실 필요가 있어요
사랑니 발치에 대한 두려움으로 발치를 미루시게 되면 단순히 사랑니 발치 만의 문제가 아니라 충치와 치주질환은 미룬 만큼 계속적으로 주변 치아와 잇몸에도 악영향을 주기 때문에 그로 인해 고생하는 경우가 더 많이 있는데요
이처럼 파생되는 문제에 대해 미리 알고 경각심을 제대로 갖는다면 최소한 무작정 발치를 미루다가 발생되는 문제는 피할 수 있으며 사랑니 주변에 불편함을 느낀다면 즉시 검진을 하여 적절한 발치 계획을 세우시길 권하고 있어요
마지막으로 누워있는 사랑니를 잘 발치하기 위해서는 경험많고 실력 있는 치과의사와 함께 하는 것도 중요하지만 치료 시점과 함께 치료 후 회복까지 고려하여 발치 계획을 세우는 것이 현명한 방법이며 주기적으로 매년 최소 1회는 검진하여 사랑니 상태 체크와 스케일링을 통한 치석 제거까지 함께 하신다면 발치 시점이 너무 늦어져서 고생하는 일은 줄일 수 있을 거예요
본 글은 콤비치과의 의료광고 포스팅입니다.
개인에 따라 출혈 및 부작용이 발생할 수 있고,
환자마다 치료 결과 및 기간이 상이할 수 있으므로,
정확한 치료 기간 및 치료 계획은
치과에서 상담을 받아보시길 권장 드립니다.
더 보기
이 병원의 공개 콘텐츠를 계속 살펴보세요
출처 아카이브로 돌아가 더 많은 글을 보거나, 병원 프로필로 이동해 다른 공개 채널도 함께 비교해보세요.