아카이브 요약
이 페이지의 역할
명동콤비치과의원의 네이버 블로그 원문을 보존한 아카이브 페이지입니다. 치아스토리♡ 카테고리의 성인 부정교합 교정 더는 미루고 싶지 않다면 글을 통해 병원의 한국어 정보 제공 방식과 진료 관련 안내 톤을 확인할 수 있습니다.
원문 검증
필요하면 원문 블로그와 병원 프로필로 바로 이동해 문맥을 다시 확인할 수 있습니다.
출처 아카이브 열기아카이브된 블로그 글
명동콤비치과의원 · Naver Blog
치아의 기능에서 심미성 이상으로 중요한 기능이 바로 저작 기능이라 할 수 있는데요. 정상적인 저작기능을 수행함에 있어서 다시 중요한게 바로 교합이라 할 수 있어요 교합은 입을 다물었을 때 턱의 위, 아래의 치아가 접촉하는 상태를 의미하는데 많은 분들이 생각보다 부정교합에 해당되는 경우가 많으며 부정교합은 종...
게시일
2024년 3월 23일
원문 기준으로 확인된 발행일입니다.
카테고리
치아스토리♡
원문 블로그 카테고리를 정리해 함께 표시합니다.
이미지 수
9
현재 아카이브에 연결된 이미지 수입니다.
아카이브 요약
명동콤비치과의원의 네이버 블로그 원문을 보존한 아카이브 페이지입니다. 치아스토리♡ 카테고리의 성인 부정교합 교정 더는 미루고 싶지 않다면 글을 통해 병원의 한국어 정보 제공 방식과 진료 관련 안내 톤을 확인할 수 있습니다.
원문 검증
필요하면 원문 블로그와 병원 프로필로 바로 이동해 문맥을 다시 확인할 수 있습니다.
출처 아카이브 열기치아의 기능에서 심미성 이상으로 중요한 기능이 바로 저작 기능이라 할 수 있는데요. 정상적인 저작기능을 수행함에 있어서 다시 중요한게 바로 교합이라 할 수 있어요
교합은 입을 다물었을 때 턱의 위, 아래의 치아가 접촉하는 상태를 의미하는데 많은 분들이 생각보다 부정교합에 해당되는 경우가 많으며 부정교합은 종류도 무척이나 다양하고 꼭 치료가 필요한 부정교합과 치료가 급하지 않은 부정교합으로도 구분될 수 있는데요


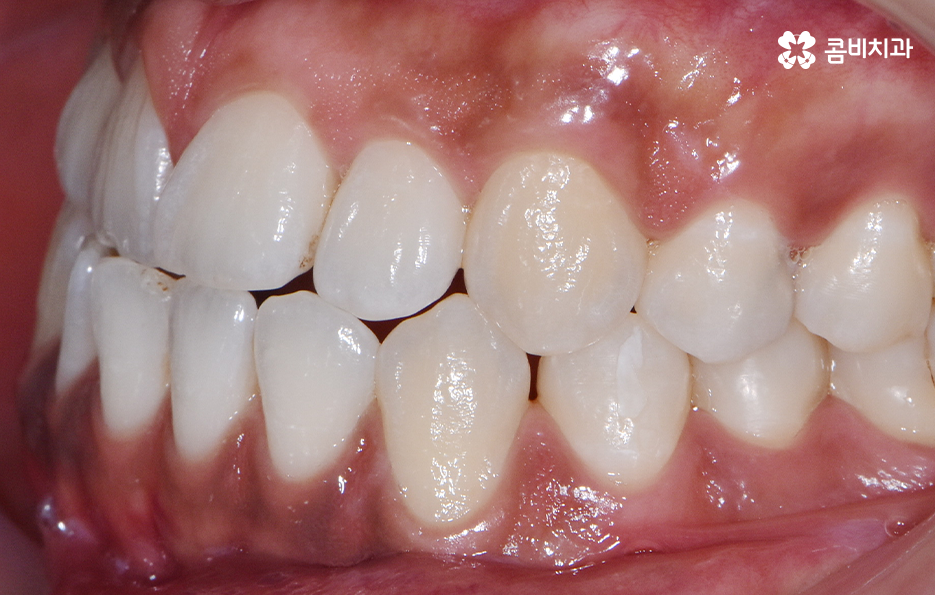
위 사진의 케이스로 보시는 성인 부정교합 교정 사례로는 보통 윗니가 아랫니를 살짝 덮어주면서 교합이 맞물리고 있지만 아랫니가 윗니만큼 앞으로 나와 있어서 앞니로 라면과 같은 음식물을 제대로 끊어 먹기 힘들고, 치아가 잘못 물리면서 과도한 교합력으로 깨지거나 계속해서 치아가 더 벌어지는 교정이 필요한 부정교합 사례로 볼 수 있어요
부정교합의 종류는 다양하게 구분되지만 크게 대분류로 나눠보면 치아로 인한 부정교합과 위, 아래 턱의 골격 문제로 인한 부정교합으로 구분할 수 있는데요
이를 치성 부정교합과 골격성 부정교합으로 나눈다고도 설명할 수 있으며 성인 부정교합 교정의 경우 부정교합의 원인에 따라서도 발치 정도만 진행하여 치아교정이 가능한 사례와 수술까지 병행해야 하는 사례로도 치료 계획이 달라질 수 있어요. 물론 자세한 치료계획은 이러한 구분만이 아니라 약 11가지 정도의 치아 및 골격, 얼굴형에 대한 정밀 검진 후에 교정 전문의와 충분히 상의 후에 결정되지만 이해를 돕기 위한 분류라는 점을 이해하시면 좋을 거예요.


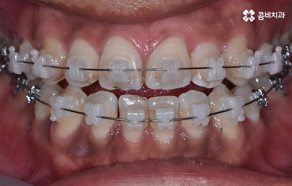
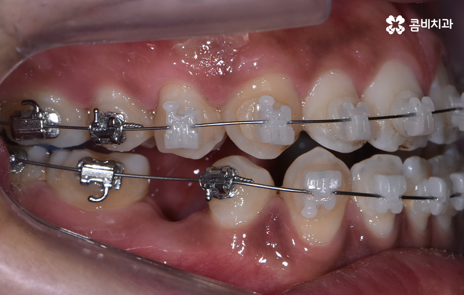
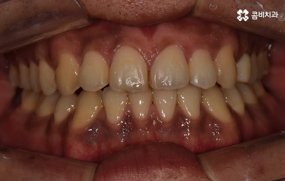
위 사진 상의 성인 부정교합 교정의 사례로는 아랫니 부분을 안으로 넣어주어야만 부정교합을 치료할 수 있으며 얼굴형으로 볼 때는 주걱턱의 개선도 가능하기 때문에 아랫니 부분의 작은 어금니만 양쪽에서 발치하여 교정이 가능했던 사례였어요
부정교합은 어금니 정상 교합을 기준으로 1,2,3급으로도 분류하고 있는데 어금니 관계를 기준으로 아랫니가 앞으로 좀더 나와 있으면 3급 부정교합으로 부르고 있는데 흔히 말하는 주걱턱이 3급 부정교합에 해당하며 위 환자분의 사례는 3급 부정교합에 해당되고 있는데요


성인 부정교합 교정을 치아의 기능적인 부분과 심미성, 얼굴형으로 전체적으로 살펴볼 때 3급에 해당되는 경우는 치아의 기능으로 인한 불편함과 삶의 질의 저하, 치아 관리의 어려움 등이 좀더 높다고 볼 수 있어요
부정교합에 해당되는 분들이라도 비교적 삶에 큰 지장을 못느끼지만 치열 개선을 위해 교정을 고민하는 분들도 있는데요. 일반적으로 어금니 교합은 정상이지만 치열이 삐뚤한 경우를 부정교합 1급으로 분류하며 1급의 경우에는 부정교합 치료를 치아의 기능적 측면으로 볼 때는 급하게 하지 않아도 사는데는 큰 지장을 못느끼는 분들이 많을 거예요


보통 부정교합 교정은 소아, 성장기에 시작하는 것이 좋다고 알려져 있는데 그 이유는 성장기에는 치아교정 시 교정 효과가 더 좋고 교정 기간도 빠른 편이며 잇몸 회복력 등도 좋으며 턱 성장의 조절이나 영구치가 나올 무렵에 치아가 바르게 나올 수 있도록 유도하는 등의 성장조절이 가능하다는 이점이 있어요
이러한 이유로 성장기 치아교정을 1차적으로 하면 성인 부정교합 교정 시에 발치나 수술을 병행해야 할 수 있는 부분을 예방적으로 치료 할 수 있다는 이점도 있는데요
성인 부정교합 교정에 대해 망설이는 분들의 경우 치아교정 자체 만으로도 고민을 하게 되는데 발치나 수술을 해야 할 수도 있다고 생각되면 무서워서 되도록 비발치, 비수술적인 치료 방법을 더 선호하게 되는 분들도 많을 거예요

치료 계획을 세부적으로 세우다 보면 치아교정을 이제 알아보는 초기에는 비발치, 비수술적인 방법이 무조건 좋다고 생각하시는 분들도 많지만 치아교정의 목적과 치료 결과를 평생 유지한다는 관점으로 살펴보면 한번 어렵게 결심하는 치아교정 치료인 만큼 좋은 결과를 얻을 수 있는 방법에 좀더 집중하는 것이 교정 결과를 평생 유지한다는 관점에서는 중요할 거예요
당장의 치료를 편리하게 받는 것 보다는 자신의 얼굴에 잘 어울리는 치열과 치아의 기능, 건강과 교합, 입술라인 등에 종합적으로 고려하여 교정 전문의와 잘 상의하시길 바라고 있는데요
성인 부정교합 교정에 대해 이제라도 시작해볼까 하는 분들이라면 이미 늦은건 아닐지 나이에 대한 걱정부터 발치나 수술에 대한 두려움을 가진 분들도 많을텐데요. 어렵게 결심하는 교정인 만큼 좋은 결과를 얻기 위한 종합적인 정밀 검사와 경험 많은 교정 전문의와 충분히 상의하시고 교정이 끝난 후에도 사후관리까지 고려하여 치과 선택을 해야 한다는 점에서 보다 장기적 안목으로 치과를 잘 선택하시길 바라고 있어요
본 글은 콤비치과의 의료광고 포스팅입니다.
개인에 따라 출혈 및 부작용이 발생할 수 있고,
환자마다 치료 결과 및 기간이 상이할 수 있으므로,
정확한 치료 기간 및 치료 계획은
치과에서 상담을 받아보시길 권장 드립니다.