아카이브 요약
이 페이지의 역할
명동콤비치과의원의 네이버 블로그 원문을 보존한 아카이브 페이지입니다. 치아스토리♡ 카테고리의 어금니 충치치료 깔끔하게 해결하려면 글을 통해 병원의 한국어 정보 제공 방식과 진료 관련 안내 톤을 확인할 수 있습니다.
원문 검증
필요하면 원문 블로그와 병원 프로필로 바로 이동해 문맥을 다시 확인할 수 있습니다.
출처 아카이브 열기아카이브된 블로그 글
명동콤비치과의원 · Naver Blog
흔히 이가 썩었다고 표현하는 충치는 흔히 3단계로 구분하고 있는데요. 치아의 구조를 법랑질, 상아질, 치수로 구분할 때 치아의 겉부분인 법랑질의 충치를 1단계로 보고 법랑질 안의 상아질까지 충치가 진행된 경우 2단계로 보고 있어요 보통 충치로 인해 치아에 자극을 느끼고 시림을 느끼는 단계가 충치 2단계인 상...
게시일
2024년 4월 6일
원문 기준으로 확인된 발행일입니다.
카테고리
치아스토리♡
원문 블로그 카테고리를 정리해 함께 표시합니다.
이미지 수
10
현재 아카이브에 연결된 이미지 수입니다.
아카이브 요약
명동콤비치과의원의 네이버 블로그 원문을 보존한 아카이브 페이지입니다. 치아스토리♡ 카테고리의 어금니 충치치료 깔끔하게 해결하려면 글을 통해 병원의 한국어 정보 제공 방식과 진료 관련 안내 톤을 확인할 수 있습니다.
원문 검증
필요하면 원문 블로그와 병원 프로필로 바로 이동해 문맥을 다시 확인할 수 있습니다.
출처 아카이브 열기흔히 이가 썩었다고 표현하는 충치는 흔히 3단계로 구분하고 있는데요. 치아의 구조를 법랑질, 상아질, 치수로 구분할 때 치아의 겉부분인 법랑질의 충치를 1단계로 보고 법랑질 안의 상아질까지 충치가 진행된 경우 2단계로 보고 있어요
보통 충치로 인해 치아에 자극을 느끼고 시림을 느끼는 단계가 충치 2단계인 상아질 충치에 해당되고 있으며 치아의 구조로 볼 때 법랑질에 비해 상아질이 좀더 약하기 때문에 상아질까지 충치가 진행되면 상아질에 느껴지는 자극이 치수에 빠르게 전달되어 시림 증상을 쉽게 느끼는 경우가 많을 거예요
어금니는 사랑니와도 가깝고 나이가 들수록 충치 뿐 아니라 치아의 마모와 균열로 인해 다양한 이유로 손상될 수 있기 때문에 어금니 충치치료 뿐 아니라 파절로 인한 치료를 여러 번 받다보면 결국 인레이 치료를 받거나 신경치료 후 크라운을 씌워야 하는 경우가 많이 있는데요

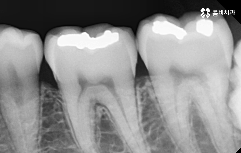
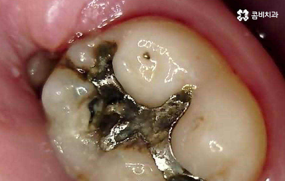
위 사례에서 보시는 것처럼 어금니 씹는 면에 이미 과거에 보철이나 아말감으로 치료 했던 흔적이 많이 남아 있어요. 어금니는 저작 기능에서 주된 역할을 하기 때문에 치아의 씹는 면에서 충치가 발생하기도 하고 나이가 들수록 치아의 마모로 인한 깨짐이나 균열로 인해 고생하는 분들도 많을 거예요
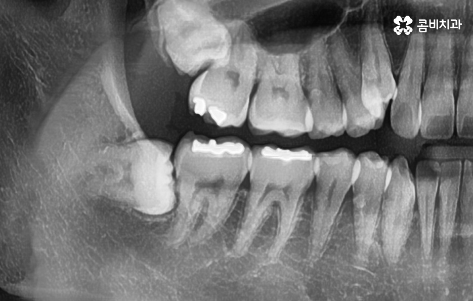
저작 기능에서 주된 역할도 하지만 위 사진을 다시 보시면 사랑니가 부분 매복되어 있는 상태로 누워서 자라고 있기 때문에 사랑니와 어금니 인접면에서 청결 관리가 잘 안되는 문제로 충치나 치주질환을 앓고 계신 분들도 많기 때문에 사랑니로 인해 어금니 문제가 발생하는 경우도 많이 있어요


사진에서 보시는 것처럼 이미 과거에 어금니 충치치료 했던 부위에서 보철물 주변이 검게 변색이 되어 있고 보철물에 금이 간 모습도 확인할 수 있는데요
어금니 충치치료 후에도 꾸준히 보철물 상태를 확인하면서 2차 충치의 우려가 없는지 주기적으로 검진해야만 필요한 경우 보철물의 교체와 재치료를 통해 자연치아의 수명을 보존할 수 있어요
많은 분들이 오래된 보철물로 인해서 2차 충치의 문제가 발생되고 있으며 보철물 안에서 발생한 2차 충치의 경우 눈으로 확인이 어렵다는 점에서 아플 때까지 참다가 치료 시점을 놓치는 경우도 많을 거예요


다시 위 어금니 사진을 살펴보면 사랑니가 매복되어 있긴 하지만 위쪽 부분이 살짝 잇몸 밖으로 드러나 있는 것을 볼 수 있는데요. 평소 칫솔질을 잘하더라도 사랑니로 인해 청결관리에 미흡한 점이 생기면 주변 치아에도 충치가 전염되는 등의 안좋은 영향을 주는 경우가 많으며 부분 매복 사랑니의 경우 충치가 아니더라도 잇몸 염증의 주된 원인이 되고 있기 때문에 발치하는 것을 각종 구강질환을 예방하기 위해 권하고 있어요



오늘 소개드린 환자분의 케이스는 사랑니 만의 문제라고 보긴 어렵고 오래된 보철물로 인한 2차 충치로 볼 수 있으며 새로운 보철물로 어금니 충치치료 다시 해야하는 케이스로 볼 수 있는데요
중년 이후에는 단지 칫솔질이나 식습관이 좋지 않아서 충치가 발생되는 사례보다는 오래된 보철물과 사랑니 문제, 치아 사이의 미흡한 치석 관리 등이 복합적으로 치아 문제를 일으키는 경우가 더 많을 거예요
이번 케이스는 나이가 들수록 겪기 쉬운 복합적인 치아 문제의 예시를 좀더 이해하기 쉽게 알려드릴 수 있을 것으로 보여서 케이스 사진을 준비 했으며 이러한 복합적인 치아 문제를 예방하고 조기 치료하기 위해서는 주기적인 검진이 정답이라고 말씀드리고 있어요


오늘 케이스 사진의 경우 사실상 사랑니 하나만 보더라도 주변 치아에 충치 및 치주질환을 일으키기 쉬운 사례이며 누운 사랑니로 인해서 어금니의 씹는면 만이 아니라 인접면 충치나 손상으로 이어지기 사례로도 볼 수 있는데요
어금니 주변이 아파온다면 단지 충치라고만 생각하기 보다는 정확한 원인 파악을 통해서 원인을 잘 개선해야만 재치료에 대한 부담 및 재발을 피할 수 있기 때문에 꼭 치과 검진을 주기적으로 받아주시길 권하고 있어요
본 글은 콤비치과의 의료광고 포스팅입니다.
개인에 따라 출혈 및 부작용이 발생할 수 있고,
환자마다 치료 결과 및 기간이 상이할 수 있으므로,
정확한 치료 기간 및 치료 계획은
치과에서 상담을 받아보시길 권장 드립니다.