명동콤비치과의원 (명동)
발치후 임플란트 기간 현실적으로 알아보면
현대인들에게 임플란트는 이제 치아를 잃게 되었을 때 가장 먼저 떠오르게 되는 치과 치료로 자리매김하고 있는데요. 일반적인 임플란트 치료 기간을 말해보자면 치아 발치 후 잇몸이 아물 때까지 약 2~3개월, 잇몸 뼈에 임플란트를 식립 후 골유착 과정과 보철물을 연결하기 까지 약 2~3개월 정도가 걸리고 있어요 그래...
아카이브 요약
이 페이지의 역할
명동콤비치과의원 (명동)의 네이버 블로그 원문을 보존한 아카이브 페이지입니다. 치아스토리♡ 카테고리의 발치후 임플란트 기간 현실적으로 알아보면 글을 통해 병원의 한국어 정보 제공 방식과 진료 관련 안내 톤을 확인할 수 있습니다.
현대인들에게 임플란트는 이제 치아를 잃게 되었을 때 가장 먼저 떠오르게 되는 치과 치료로 자리매김하고 있는데요. 일반적인 임플란트 치료 기간을 말해보자면 치아 발치 후 잇몸이 아물 때까지 약 23개월, 잇몸 뼈에 임플란트를 식립 후 골유착 과정과 보철물을 연결하기 까지 약 23개월 정도가 걸리고 있어요
그래서 이 기간을 모두 합치면 약 5~6개월 정도가 임플란트의 총 기간으로 예상되는 것이고 이 기간 동안 치과 내원은 대략적으로 약 5번 정도 방문한다고 보시면 될 거예요
요즘은 원데이임플란트로 알려진 발치 후 즉시 임플란트를 식립하는 치료 방법을 적용한다면 치료 기간이 반으로 줄어들기 때문에 임플란트 하면 원데이임플란트를 먼저 떠올리는 분들도 많지만 이번 포스팅에서는 좀더 실질적으로 임플란트를 필요로 하는 분들에 해당하는 60대 이후의 발치후 임플란트 기간에 대해서도 좀더 자세히 알아볼 거예요

치아는 사고나 충치로 인해서도 잃게 될 수 있으므로 10대, 20대에도 치아를 잃고 임플란트를 하는 경우도 있겠지만 실질적인 수요층은 60대 이후라고 할 수 있는데요
60대 이후에는 치주염으로 인해 치아를 상실하는 분들이 급증하기 때문에 한꺼번에 여러 치아를 잃는 분들도 많고 치주염으로 인한 잇몸이 안좋아지는 문제는 고혈압이나 당뇨, 심장병과 같이 전신질환이 있는 분들에게 좀더 빠르게 진행이 되고 있어요
따라서 60대 이후 임플란트 치료를 해야하는 환자분들의 경우 이미 여러 치아를 잃고 임플란트를 하고 계신 분들도 많고 잇몸 뿐 아니라 전신질환으로 인해 임플란트를 보다 세심하게 치료해야 하는 경우가 많을 거예요

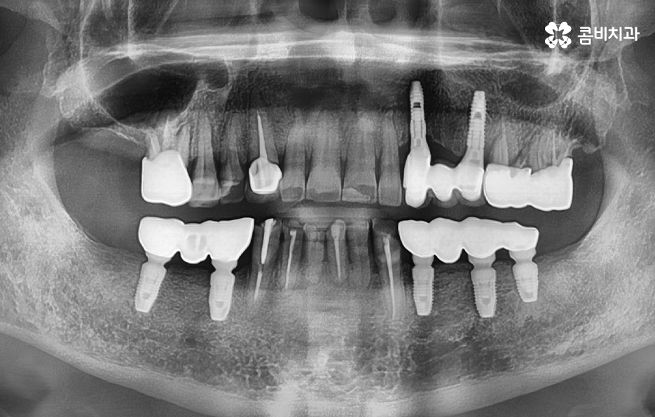
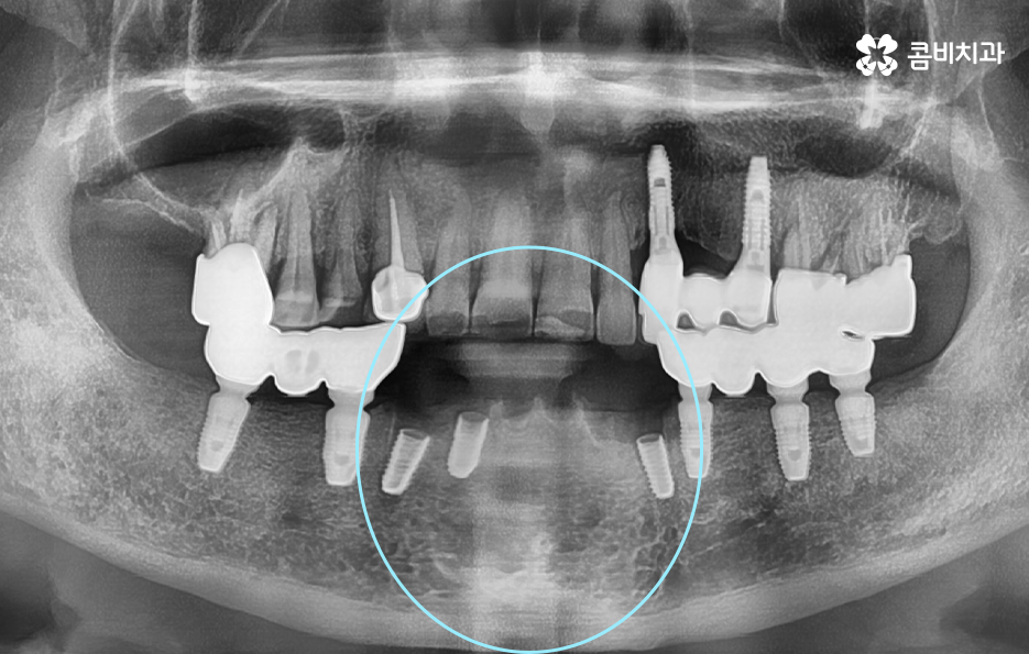
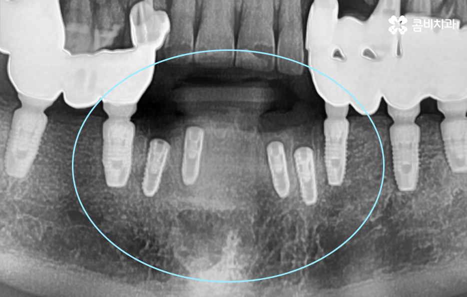
위 사진에서 보시는 것처럼 이미 치주염으로 인해 뿌리가 흔들리는 치아는 한꺼번에 여러 치아를 잃게 되었으며 기존의 임플란트 역시도 약해진 잇몸 뼈와 치료 비용 등을 감안하여 브릿지의 형태로 임플란트가 식립되어 있는 것을 확인할 수 있어요
실제 60대 이후 환자 분들의 경우 치주염으로 인해 잇몸 뼈가 녹아서 치아의 윗니, 아랫니 모두를 잃고 임플란트를 알아보시는 경우도 많으며 빠르면 50대에도 이러한 케이스의 환자분들을 볼 수 있는데요
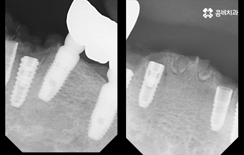
발치후 임플란트 기간에 있어서 뼈이식이 추가 되는 경우에는 뼈이식 기간만 약3~ 6개월을 예상하는 것이 보편적이며 뼈이식을 받은 환자 분들의 경우 골유착 기간 또한 일반적인 임플란트 기간 보다는 좀더 여유있게 회복기간을 지켜보고 있어요. 다만 상태에 따라서 발치 후 뼈이식을 바로 진행하는 경우도 있고, 발치 후 뼈이식과 동시에 픽스처를 식립하여 수술을 진행하는 경우도 있어 정확한 수술 계획은 환자분의 상태에 따라 수술 계획이 달라질 수 있어요.

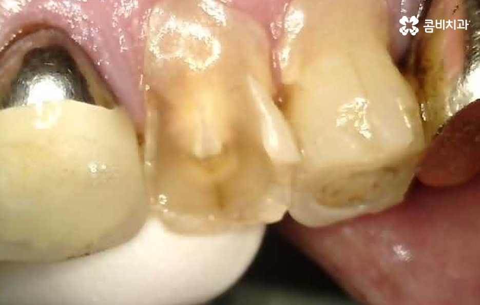
또한 60대 이후 노인 분들의 경우 치아 자체도 수명이 줄어든 상태지만 잇몸이 이미 많이 내려 앉아서 치아의 뿌리 쪽이 외부에 드러나면서 이가 시리고 흔들려서 고생하는 경우가 많을 거예요
기본적으로 자연치아나 잇몸 자체의 문제도 복합적인 문제의 양상을 띄는 경우가 대부분이며 임플란트 치료 계획을 세우더라도 잇몸 뼈의 부족으로 인해 뼈이식을 받아야 하는 경우가 많고 임플란트 식립 개수 역시도 여러개를 식립하는 경우가 많다보니 발치후 임플란트 기간에 있어서 넉넉잡아 1년 정도를 치료 기간으로 보고 치료하는 경우도 많이 있어요


이미 잇몸 문제로 많은 고생을 하신 경우에는 임플란트 치료만 잘 받았으면 하는 마음으로 임플란트 치료 기간 보다는 성공적인 치료에 더 초점을 두시는 분들도 많을 거예요
또한 이미 치료 후 부작용으로 인해 재수술을 받는 분들도 있기 때문에 재수술 과정에서의 부담은 첫 치료보다 더 크다는 점에서 임플란트의 수명 유지에 대해서도 관심을 많이 갖고 있는데요


일반적으로 50대 이전에 치아를 잃게 되는 주된 원인이 충치와 같은 치아 문제인 경우가 많다면 50대에서 60대 이후에는 치주염 뿐 아니라 충치, 치아 균열 및 오래된 보철물 등으로 인해 치아 문제가 복합적이며 전신질환이 있는 분들도 많다보니 빠른 치료 보다는 안정적이고 건강한 치료에 보다 초점을 두고 있는데요
부모님의 임플란트를 대신 알아보시거나 이제 임플란트를 처음 알아보시는 분들이라면 연령 대에 맞는 치료 계획을 잘 세워야 하겠고 발치후 임플란트 기간을 단지 빠르게 단축시키는 것이 주된 목적이 아니라 건강하게 임플란트 시술을 잘 받고 장기적인 안목으로 임플란트 수명을 잘 유지한다는 관점으로 치과를 잘 선택하시길 바라고 있어요
본 글은 콤비치과의 의료광고 포스팅입니다.
개인에 따라 출혈 및 부작용이 발생할 수 있고,
환자마다 치료 결과 및 기간이 상이할 수 있으므로,
정확한 치료 기간 및 치료 계획은
치과에서 상담을 받아보시길 권장 드립니다.
더 보기
이 병원의 공개 콘텐츠를 계속 살펴보세요
출처 아카이브로 돌아가 더 많은 글을 보거나, 병원 프로필로 이동해 다른 공개 채널도 함께 비교해보세요.