명동콤비치과의원 (명동)
중년치아교정 이제라도 해도 될까요
이미지가 중요한 연예인들이 가장 많이 하는 치과 시술 중에 하나는 라미네이트라고 할 수 있으며 가지런하고 하얀 치열은 사람의 인상을 밝고 젊게 보이게 하기 때문에 가지런한 치열 만으로도 성형 못지 않은 외모 개선이 가능한 경우를 많이 볼 수 있는데요. 라미네이트의 경우 빠른 결과를 얻는 장점이 있는 대신에 장기...
아카이브 요약
이 페이지의 역할
명동콤비치과의원 (명동)의 네이버 블로그 원문을 보존한 아카이브 페이지입니다. 치아스토리♡ 카테고리의 중년치아교정 이제라도 해도 될까요 글을 통해 병원의 한국어 정보 제공 방식과 진료 관련 안내 톤을 확인할 수 있습니다.
이미지가 중요한 연예인들이 가장 많이 하는 치과 시술 중에 하나는 라미네이트라고 할 수 있으며 가지런하고 하얀 치열은 사람의 인상을 밝고 젊게 보이게 하기 때문에 가지런한 치열 만으로도 성형 못지 않은 외모 개선이 가능한 경우를 많이 볼 수 있는데요. 라미네이트의 경우 빠른 결과를 얻는 장점이 있는 대신에 장기적으로 보면 재치료에 대한 부담이 크기 때문에 일반적으로는 치아교정 만으로도 자연스럽게 심미적인 개선이 가능하며 자연치아를 대상으로 한다는 점에서도 치아의 기능과 건강적인 부분을 살릴 수 있다는 장점이 있어요



치아교정에 관심은 있지만 나이가 걱정되는데 괜찮을까요?
치열 하나 만으로도 사람의 인상이 크게 달라보일 수 있기 때문에 불규칙한 치열이나 치아 벌어짐, 틀어짐 등으로 고민하는 분들이라면 나이가 들어서도 교정에 대한 미련이 남아 있는 경우가 많이 있어요. 요즘은 100세 시대라는 말이 흔하게 적용되면서 중년 이후에도 외모 관리에 대한 관심이 높기 때문에 중년치아교정을 시작하는 사례가 크게 늘고 있는데요
실질적으로 치아교정이 가능한 나이에 대해 몇 세까지 가능하다고 제한하기는 어려우며 중년치아교정 역시도 교정의 목적성과 잇몸 상태 등을 고려하여 치아교정 계획이 세워지기 때문에 나이로 인해 망설이기 보다는 치과에서 정밀 검진을 정확히 받아보시고 교정을 원하는 목적에 대해 교정 전문의와 충분히 상의하시리 권하고 있어요



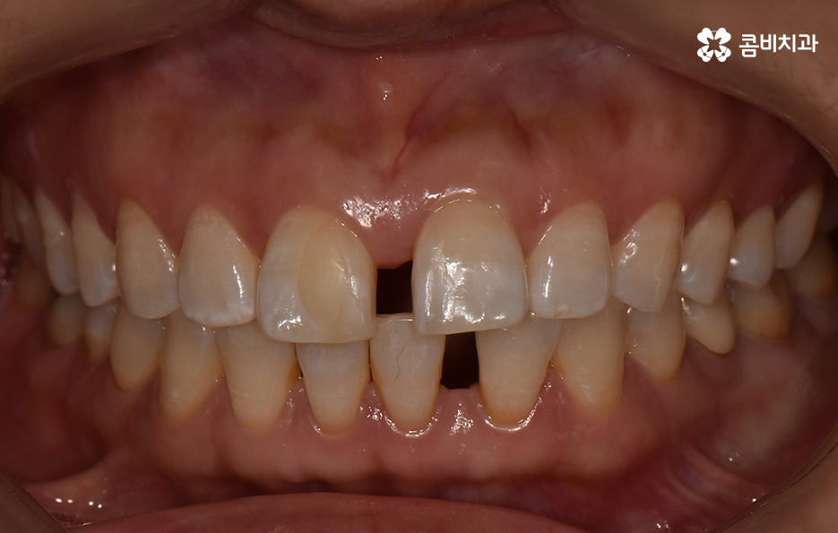
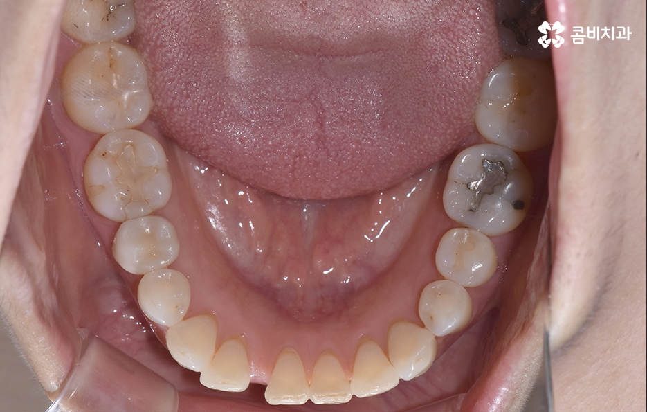
점점 더 벌어지고 틀어지는 치아로 인해 고민인데 치아교정이 좋을까요?
예전에는 괜찮았는데 점점 치열이 틀어지거나 벌어져서 중년치아교정을 시작하는 분들도 있고 치아 상실로 인해 교정 치료를 계획하는 경우처럼 다양한 이유로 뒤늦게 치아교정을 알아 보시는 분들도 계실 거예요. 치열은 나이가 들수록 조금씩 변할 수 있고 특히 잇몸이 약해지면서 치아 사이가 벌어지는 분들도 있기 때문에 중년치아교정은 치아의 기능적 개선과 치아 건강을 위한 목적으로 진행되는 사례도 있어요
만약 치아 사이의 벌어짐에 대한 고민이 이미 깨지거나 충치, 변색 등이 발생된 치아로 인한 고민이라면 보철 치료가 더 적합한 사례도 있으나 치아의 별다른 문제가 없고 치열 위주로 개선이 필요한 경우에는 치아교정을 통해 치아의 심미적, 기능적, 건강에 대한 부분을 종합적으로 개선할 수 있어요




중년에 교정하면 안된다는 말이 있던데 괜찮을까요?
요즘은 생물학적 나이 보다는 신체 건강 나이를 따로 체크하는 경우도 많듯이 중년이라는 기준 마저도 보편적인 나이와 신체 건강, 특히 잇몸 뼈의 건강에 대한 부분이 치아교정의 가능 여부를 좌우할 수 있을 거예요. 치아교정에는 치조골 건강의 중요성이 높다보니 중년이후에 주의해야 할 점은 아무래도 당뇨가 있거나 잇몸이 약한 분들의 경우가 젊은 분들에 비해 통계적으로 더 많다보니 이러한 점들은 중년치아교정에 좀더 주의해야 할 점이 될 수 있어요
그렇다고 해서 잇몸이나 치아가 모두 건강한 분들이 중년이라고 해서 더 걱정해야 한다는 뜻은 아니며 20,30대에도 잇몸이 약하거나 당뇨가 있다면 치아교정이 어려울 수 있기 때문에 통계적으로 중년이후에 건강면에서 이러한 부분들이 좀더 주의해야 할 수 있다는 점을 참고하시면 좋을 거예요





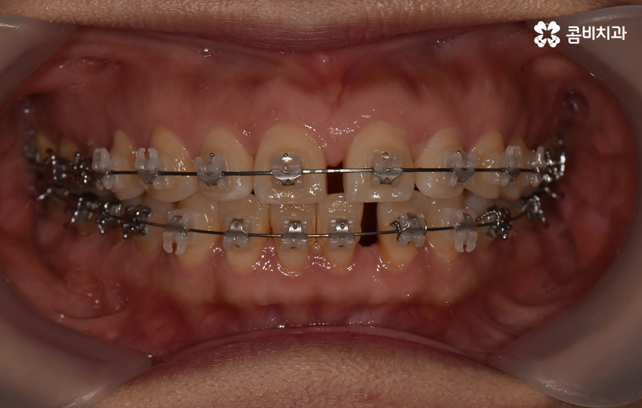
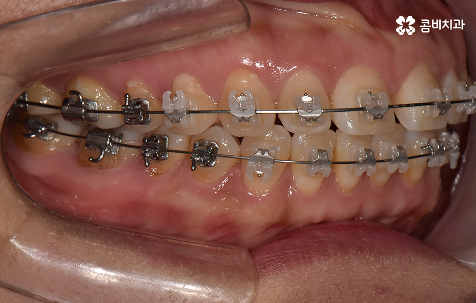
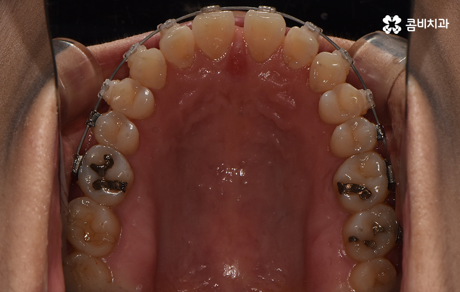
중년이후에 교정하면 더 느릴까요?
흔히 치아교정을 소아, 성장기와 청소년기를 적기로 말하는 이유는 이 시기에 치아의 이동과 회복이 더 빠르고 치아교정 후 효과도 더 좋기 때문인데 반대로 중년이후에는 치아교정 기간이 다소 더 느릴 수 있어요. 또한 중년이라는 점을 감안하여 치아의 이동 속도를 더 천천히 안전하게 치료 계획을 세우는 경우도 많기 때문에 잇몸 상태와 회복력 등을 종합적으로 감안하여 1:1 맞춤형 치료로 진행되며 잇몸 뿐 아니라 치열 상태 등을 판단하여 자세한 치료 계획은 개인차가 있다고 생각하시면 좋을 거예요
본 글은 콤비치과의 의료광고 포스팅입니다.
개인에 따라 출혈 및 부작용이 발생할 수 있고,
환자마다 치료 결과 및 기간이 상이할 수 있으므로,
정확한 치료 기간 및 치료 계획은
치과에서 상담을 받아보시길 권장 드립니다.
더 보기
이 병원의 공개 콘텐츠를 계속 살펴보세요
출처 아카이브로 돌아가 더 많은 글을 보거나, 병원 프로필로 이동해 다른 공개 채널도 함께 비교해보세요.