명동콤비치과의원 (명동)
사랑니 어금니 통증 동시에 아프다면
일반적으로 사랑니의 맹출 시기는 20살 전후이며 사랑니가 나오는 시점부터 치아 문제가 발병하는 경우는 많지 않지만 30,40,50대 이후에 관리 안된 사랑니로 인해 결국 충치나 잇몸 염증 등으로 큰 고생을 하는 사례가 많이 있는데요. 더 큰 문제는 사랑니로 인해 어금니 충치까지 심해지는 경우가 많고 결국 사랑니 문...
아카이브 요약
이 페이지의 역할
명동콤비치과의원 (명동)의 네이버 블로그 원문을 보존한 아카이브 페이지입니다. 치아스토리♡ 카테고리의 사랑니 어금니 통증 동시에 아프다면 글을 통해 병원의 한국어 정보 제공 방식과 진료 관련 안내 톤을 확인할 수 있습니다.
일반적으로 사랑니의 맹출 시기는 20살 전후이며 사랑니가 나오는 시점부터 치아 문제가 발병하는 경우는 많지 않지만 30,40,50대 이후에 관리 안된 사랑니로 인해 결국 충치나 잇몸 염증 등으로 큰 고생을 하는 사례가 많이 있는데요. 더 큰 문제는 사랑니로 인해 어금니 충치까지 심해지는 경우가 많고 결국 사랑니 문제가 어금니 발치까지 이어지는 사례도 많기 때문에 사랑니가 어떤 문제를 일으킬 수 있는지 미리 아는 것이 중요하며 사랑니 어금니 통증을 느낀다면 참지 마시고 늦기전에 적절한 치료를 받아야 할 거예요


사랑니와 어금니에 통증이 느껴지는데 왜 그럴까요?
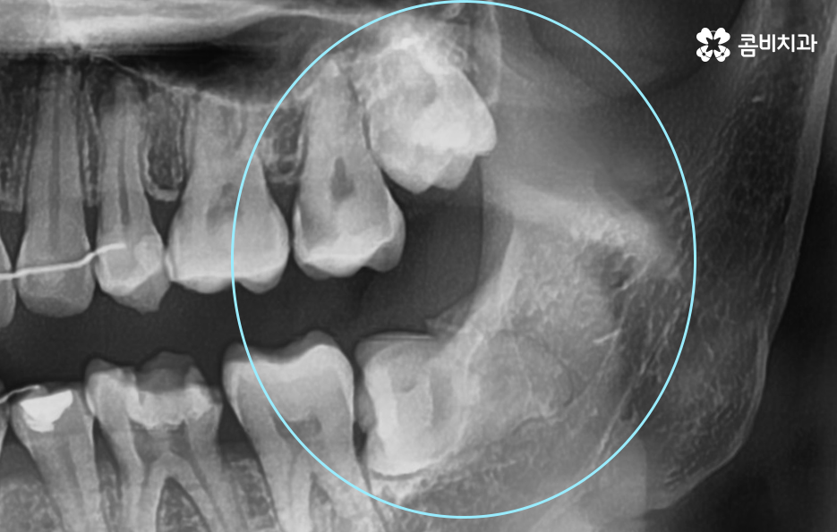
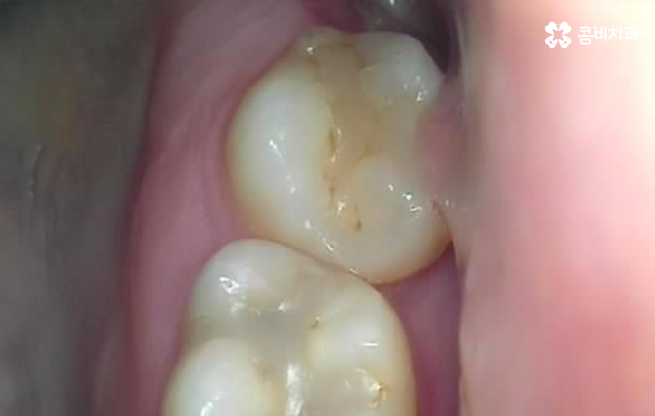
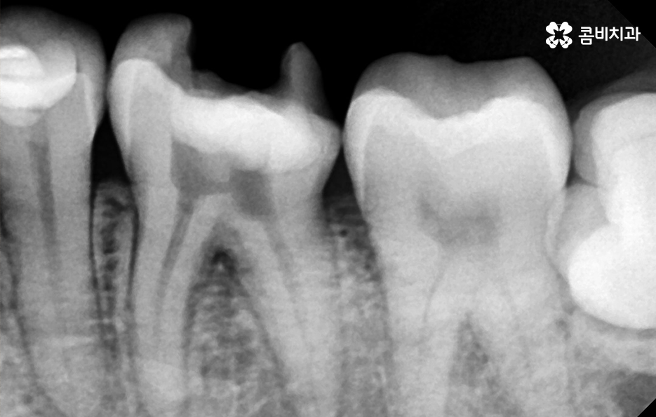
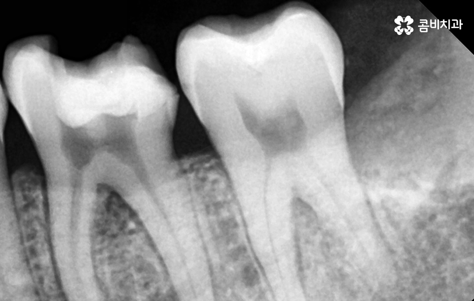
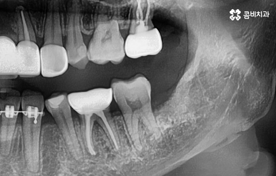
사랑니는 치아 중에서도 가장 마지막에 맹출이 되며 현대인들은 턱뼈가 좁아지는 추세이기 때문에 마지막에 자라는 사랑니는 위 케이스처럼 윗니의 경우 어금니의 높이 보다 다소 낮게 자라는 경우가 많고 아랫니의 경우 매복되어 있거나 누워서 자라는 사랑니의 형태로 자라는 경우가 많이 있는데요. 이러한 사랑니의 형태로 인해 어금니와 사랑니 사이에 이물질이 끼기 쉽고 칫솔질이 잘 닿지 않기 때문에 충치 뿐 아니라 잇몸 염증이 발생되는 경우가 많으며 사랑니 어금니 통증의 원인이 주변의 세균 증가로 인해 충치로 이가 썩은 경우부터 잇몸이 자주 붓고 염증이 심해지면서 통증을 느끼는 경우가 40,50대 이후에 흔하게 발생되는 사랑니와 인접한 어금니의 문제로 볼 수 있어요



유독 사랑니 주변에서 문제가 발생하는 이유가 있나요?
일반적으로 30대 이후에는 치주질환이 급증하게 되는데 40,50대 이후에는 잇몸이 점점 내려 앉게 되고 부분적으로 맹출된 사랑니 주변 잇몸 역시도 조금씩 내려앉는 경우가 많이 있는데요. 사랑니 사진을 보시면 아시겠지만 일반적인 치아의 높낮이와는 달리 사랑니가 어금니의 뿌리 부분 정도 높이에 자리하고 있는 것을 볼 수 있어요.
일반적인 치아와 치아 사이는 이물질이 쉽게 침투하지 못하게 치아 사이의 공간이 많지 않고 치아 역시도 실링이 되어 있어서 미생물이 치아를 쉽게 뚫지 못하며 면역 물질로 인한 면역 작용도 있기 때문에 평소 칫솔질과 치실 사용, 주기적인 스케일링으로 어느정도 관리가 될 수 있는 것에 반하여 사랑니의 경우 어금니의 뿌리 부분에 가깝게 충치가 발생하기 쉽기 때문에 적절한 치료 시점을 놓치면 사랑니 어금니 통증이 두 치아 모두를 발치하게 되는 상황까지 발생될 수 있어요



사랑니 주변에 통증은 주로 충치를 조심하면 되나요?
어금니는 주로 저작기능을 수행하고 있기 때문에 이물질이 사랑니와 어금니 사이에 껴서 발생되는 충치의 위험도 크지만 운이 좋게 충치가 발생하지 않았더라도 이물질이 사랑니와 어금니 사이에 치주질환을 일으켜서 조금씩 잇몸이 약하게 만들어서 잇몸 염증이 심해질 수 있으며 심한 경우 잇몸 뼈가 녹을 수가 있고 치아 뿌리 염증을 일으켜서 발치로 이어지는 사례도 있는데요
50대, 60대 이후에는 치주염으로 인해 치아를 상실하는 사례가 급증하게 되기 때문에 아무리 치아가 멀쩡해도 잇몸이 약해진다면 치아를 지탱할 수 있는 지반이 무너짐으로 인해 치아도 함께 상실할 수 있다는 점을 주의해야 하기 때문에 당장 사랑니 발치를 하진 않더라도 꼭 매년 치과 검진을 통해서 사랑니 상태도 체크하시고 필요하다면 충치 및 잇몸질환이 심해지기 전에 발치 계획을 세우시길 권하고 있어요
본 글은 콤비치과의 의료광고 포스팅입니다.
개인에 따라 출혈 및 부작용이 발생할 수 있고,
환자마다 치료 결과 및 기간이 상이할 수 있으므로,
정확한 치료 기간 및 치료 계획은
치과에서 상담을 받아보시길 권장 드립니다.
더 보기
이 병원의 공개 콘텐츠를 계속 살펴보세요
출처 아카이브로 돌아가 더 많은 글을 보거나, 병원 프로필로 이동해 다른 공개 채널도 함께 비교해보세요.