명동콤비치과의원 (명동)
덧니 비발치 교정 자연스럽게 가능한 경우도 있어요
만약 치아교정을 알아보신다고 가정할 때 덧니로 인해 교정을 원한다는 큰 공통점이 있다면 아무래도 덧니 교정의 사례들에서는 대체적으로 발치 교정 사례가 많다는 것을 알 수 있는데요. 아무래도 덧니의 원인이 턱뼈가 좁아서 치아가 나올 공간이 부족하다보니 덧니가 발생한 사례가 많다보니 치아의 이동 공간 확보를 위한...
아카이브 요약
이 페이지의 역할
명동콤비치과의원 (명동)의 네이버 블로그 원문을 보존한 아카이브 페이지입니다. 치아스토리♡ 카테고리의 덧니 비발치 교정 자연스럽게 가능한 경우도 있어요 글을 통해 병원의 한국어 정보 제공 방식과 진료 관련 안내 톤을 확인할 수 있습니다.
만약 치아교정을 알아보신다고 가정할 때 덧니로 인해 교정을 원한다는 큰 공통점이 있다면 아무래도 덧니 교정의 사례들에서는 대체적으로 발치 교정 사례가 많다는 것을 알 수 있는데요. 아무래도 덧니의 원인이 턱뼈가 좁아서 치아가 나올 공간이 부족하다보니 덧니가 발생한 사례가 많다보니 치아의 이동 공간 확보를 위한 발치 교정 사례가 많은 것은 사실이지만 오늘은 덧니 비발치 교정으로도 충분히 좋은 결과를 얻었던 사례를 공유해볼 거예요




덧니 교정은 발치를 해야할 거 같아서 걱정하고 있었어요
물론 과거에는 대체적으로 덧니 교정에 대한 니즈가 덧니가 심하거나 덧니와 함께 돌출입도 심한 케이스, 부정교합으로 인한 치아의 기능적 문제로 불편해 하는 분들이 주로 교정 치료를 받았지만 요즘은 비교적 덧니가 심하지 않은 분들도 교정 치료를 받고 있고 교정 기술의 발달로 인해 덧니 비발치 교정으로도 충분히 좋은 결과를 얻고 있는 환자분들도 많기 때문에 덧니 교정이라고 해서 누구나 발치를 해야하는 것은 아니며 한편으로는 발치 교정이 무조건 안좋다거나 피해야 하는 것은 아니기 때문에 각 개인의 치아 및 골격, 얼굴형 등을 고려하여 1:1 맞춤형 치료 계획이 세워지고 있다는 점을 잘 알아두시길 바라고 있어요


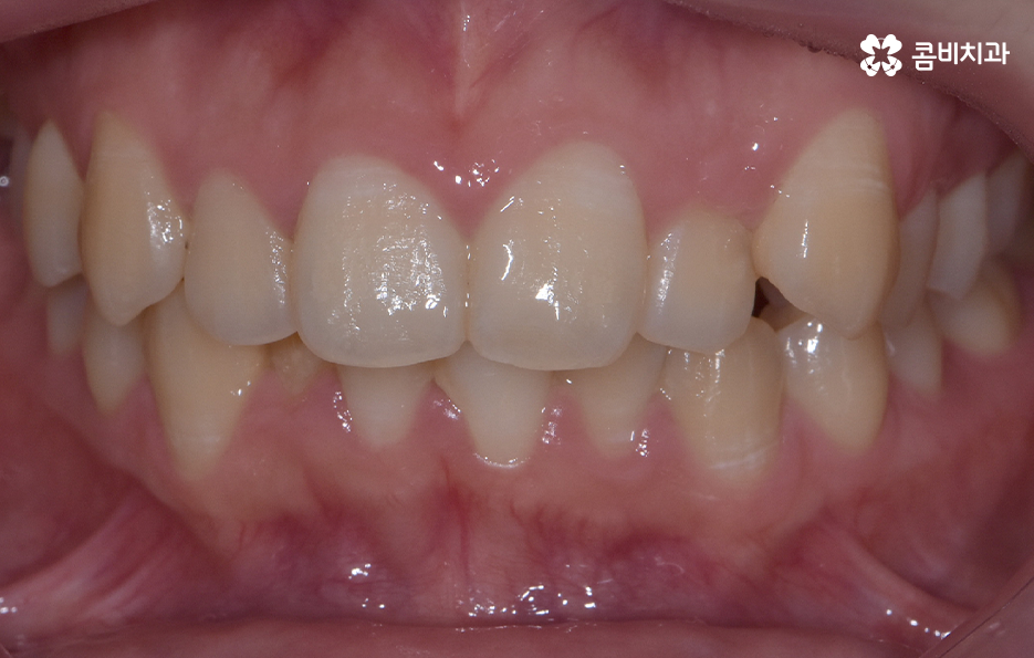
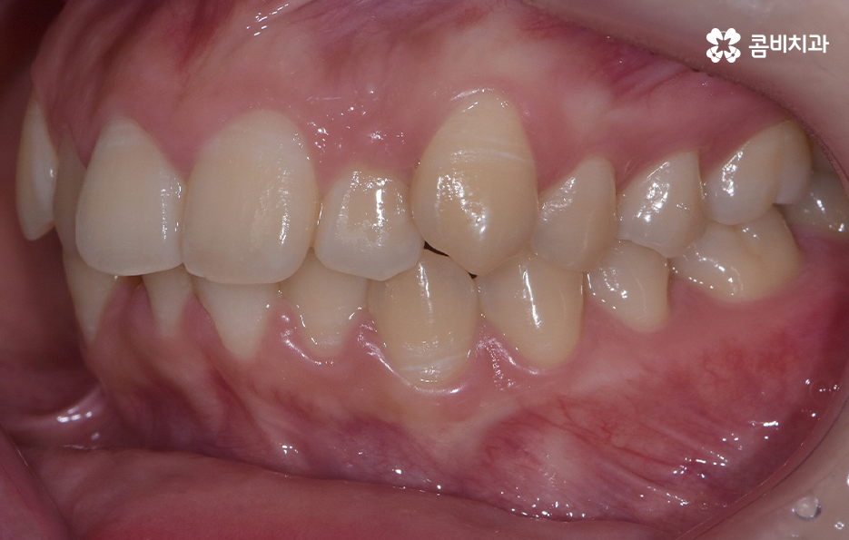
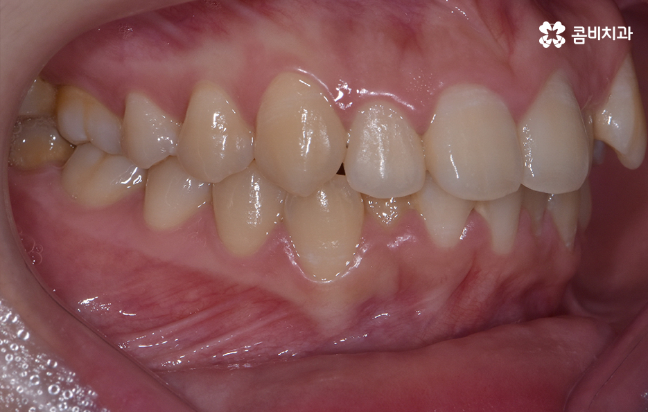
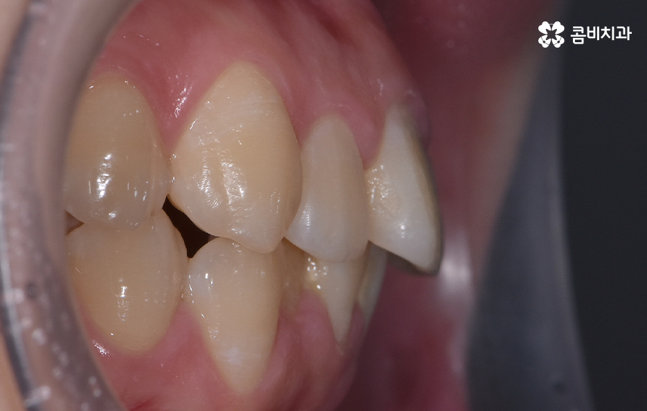
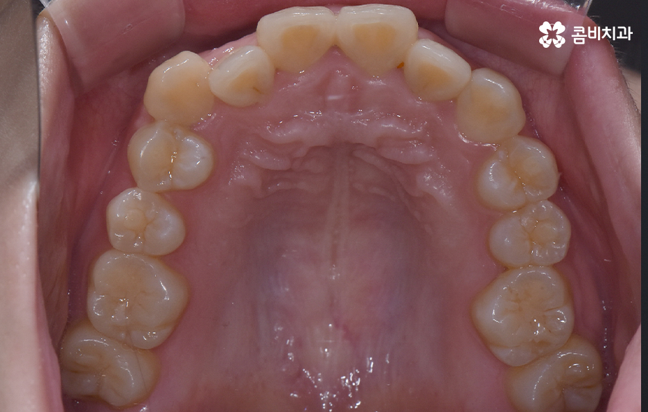
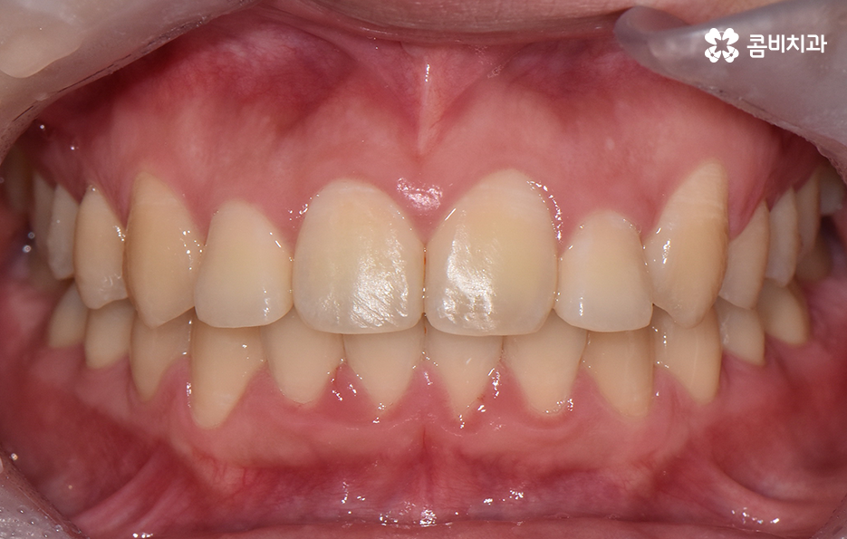
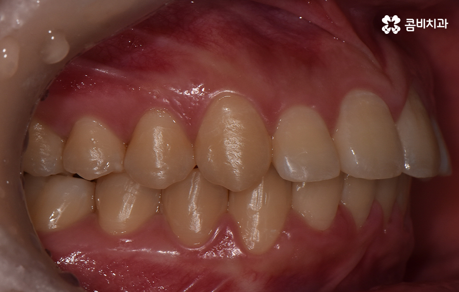
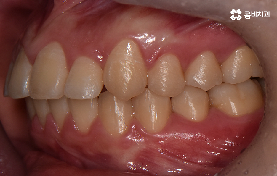
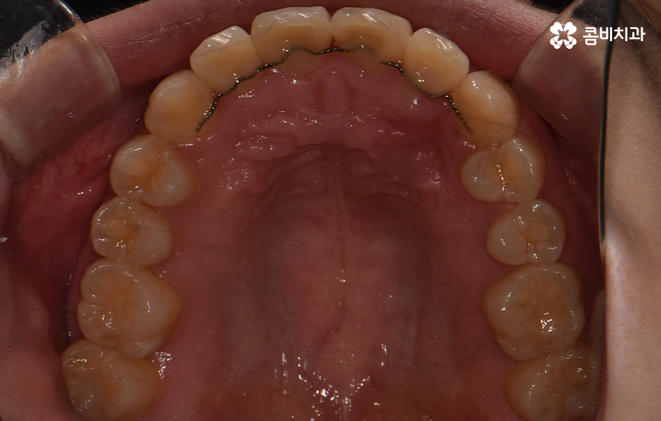
오늘 덧니 비발치 교정 사례로 보시는 환자분의 경우에는 윗니와 아랫니 앞니 부분에 조금씩 덧니가 있는 상태로 덧니를 제외하면 대체적으로 치열 상태는 고른 편이며 덧니 교정 사례 중에서는 돌출입도 함께 개선해야 하는 경우가 많지만 위 환자분의 경우에는 돌출입의 정도가 양호했고 입술라인 역시도 정상 범위에 가까웠기 때문에 발치를 필요로 하지 않았지만 치아의 이동 공간과 보다 자연스러운 입술라인 그리고 얼굴형과의 조화를 고려하여 악궁 확장과 어금니 후방 이동을 적절히 활용하여 교정 치료가 진행되었다고 볼 수 있어요
대부분의 발치 교정의 경우 작은 어금니를 발치하여 치아의 이동 공간을 확보하는 경우가 많다면 덧니 비발치 교정의 경우 발치교정 만큼은 아니더라도 치아를 이동 시킬 공간을 약간이라도 확보해야 하기 때문에 악궁 확장이나 치간삭제를 하는 경우가 있으며 어금니 후방 이동이 필요할 경우에는 사랑니 발치를 해야할 수 있어요



듣기로는 덧니 교정은 오래 걸린다고 했어요
치아교정 기간은 개인차가 워낙 크기 때문에 교정에 대한 예상 기간을 치과 방문 없이 예측하기란 어렵기 때문에 정확하게 예상하려면 치과에 방문하는 것이 좋겠지만 보편적으로 말씀드리자면 치아가 이동해야 하는 이동량과 정도에 따라서 차이가 커진다고 볼 수 있어요. 예를 들어 발치교정에 비해 오늘 소개드린 덧니 비발치 교정이 치아의 이동이 필요한 정도가 적기 때문에 치료 기간 역시도 비교적 짧은 편이라고 할 수 있으며 오늘 소개 드린 케이스의 경우 약 1년 3개월 정도만에 치료가 마무리될 수 있었어요
교정 기간은 치열만 보는 것이 아니라 환자분들의 잇몸 상태나 교합, 얼굴형, 입술라인 등을 종합적으로 파악한 뒤에 판단할 수 있기 때문에 아주 간단하게는 치아를 이동시켜야 하는 정도가 적을수록 교정 기간은 짧아질 수 있기 때문에 덧니 교정이라도 덧니의 정도 등에 따라 각 개인마다 차이가 크다고 볼 수 있어요


정리하면 오늘 소개드린 덧니 비발치 교정 사례의 경우 기본적으로 덧니의 정도나 전체 치열의 상태가 대체적으로 양호한 편이기도 했지만 얼굴형이나 골격적인 부분, 입술라인으로 볼 때도 덧니 교정 사례에서 자주 보이는 돌출입의 개선에 대한 니즈가 큰 편은 아니었기 때문에 비발치 교정으로 충분히 치료가 가능했고 발치를 해서도 안되는 케이스에 속했어요. 아무래도 덧니 교정하면 발치 교정 케이스가 많다보니 겁부터 내시는 분들도 많긴 하지만 덧니 교정 사례도 워낙 다양한 사례가 많기 때문에 자신에게 적합한 치료 계획을 치과 검진을 통해 교정 전문의와 충분히 상의하신 다음에 좋은 판단 내리시길 바라고 있어요
본 글은 콤비치과의 의료광고 포스팅입니다.
개인에 따라 출혈 및 부작용이 발생할 수 있고,
환자마다 치료 결과 및 기간이 상이할 수 있으므로,
정확한 치료 기간 및 치료 계획은
치과에서 상담을 받아보시길 권장 드립니다.
더 보기
이 병원의 공개 콘텐츠를 계속 살펴보세요
출처 아카이브로 돌아가 더 많은 글을 보거나, 병원 프로필로 이동해 다른 공개 채널도 함께 비교해보세요.