아카이브 요약
이 페이지의 역할
명동콤비치과의원의 네이버 블로그 원문을 보존한 아카이브 페이지입니다. 치아스토리♡ 카테고리의 치과 치아미백 이렇게 시작해보세요 글을 통해 병원의 한국어 정보 제공 방식과 진료 관련 안내 톤을 확인할 수 있습니다.
원문 검증
필요하면 원문 블로그와 병원 프로필로 바로 이동해 문맥을 다시 확인할 수 있습니다.
출처 아카이브 열기아카이브된 블로그 글
명동콤비치과의원 · Naver Blog
요즘은 얼죽아, 1일 1커피는 현대인들에게 너무나도 일상적인 단어이자 사실 하루에 커피 2,3잔씩 이상 드시는 분들도 많을 거예요. 보통 30대 정도가 되면 치아 색도 많이 누렇게 변한 거 같고 치아 변색 뿐 아니라 치아 끝이 조금씩 깨진다거나 작은 충치 등으로 인해 앞니 치료에 대해 고민하는 분들이 많이 있는...
게시일
2024년 5월 17일
원문 기준으로 확인된 발행일입니다.
카테고리
치아스토리♡
원문 블로그 카테고리를 정리해 함께 표시합니다.
이미지 수
7
현재 아카이브에 연결된 이미지 수입니다.
아카이브 요약
명동콤비치과의원의 네이버 블로그 원문을 보존한 아카이브 페이지입니다. 치아스토리♡ 카테고리의 치과 치아미백 이렇게 시작해보세요 글을 통해 병원의 한국어 정보 제공 방식과 진료 관련 안내 톤을 확인할 수 있습니다.
원문 검증
필요하면 원문 블로그와 병원 프로필로 바로 이동해 문맥을 다시 확인할 수 있습니다.
출처 아카이브 열기요즘은 얼죽아, 1일 1커피는 현대인들에게 너무나도 일상적인 단어이자 사실 하루에 커피 2,3잔씩 이상 드시는 분들도 많을 거예요. 보통 30대 정도가 되면 치아 색도 많이 누렇게 변한 거 같고 치아 변색 뿐 아니라 치아 끝이 조금씩 깨진다거나 작은 충치 등으로 인해 앞니 치료에 대해 고민하는 분들이 많이 있는데요
예전 같지 않은 치아 색으로 고민하거나 보다 환하게 밝은 치아를 갖고 싶다면 치과 치아미백을 통해 충분히 가능할 수 있어요. 하지만 아직은 많은 분들이 치과치아미백에 대한 이해도가 부족한 분들이 많고 어떻게 시작해야 할지 잘 모르는 분들이 많기 때문에 오늘은 치과에서 미백 치료는 어떤 식으로 받으면 좋을지 알아볼 거예요.


연예인들처럼 하얀 치아가 갖고 싶어요
많은 분들이 치아미백에 대한 관심을 갖게 되는 계기가 연예인들처럼 하얗고 가지런한 치열이 건강하고 미적인 치아라는 기준으로 생각하다 보니 방송 매체에서 노출되는 새하얀 치아까지 목표로 치아미백을 해야 하는지 고민하는 분들이 많을 거예요.
치과치아미백에 대한 기준은 무척이나 중요한데 아주 새하얀 치아를 기준으로 목표를 삼는다면 예를 들어 셀프 치아미백제를 구입하여 셀프로 시술한다고 가정한다면 무한정 치아미백을 할 수도 있고 큰 기준이 없다보니 치아 손상이 발생된다거나 시중에 유통되는 미백제의 농도가 낮은 편이다보니 효과가 미비하여 불만족스러운 결과를 얻는 경우도 있어요.
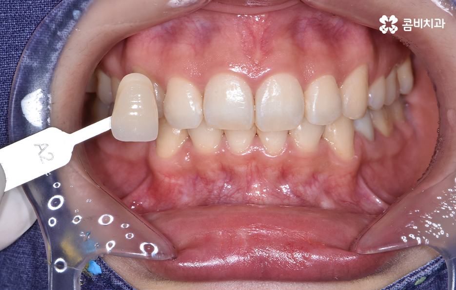
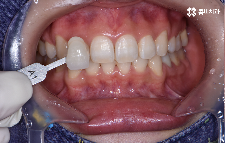
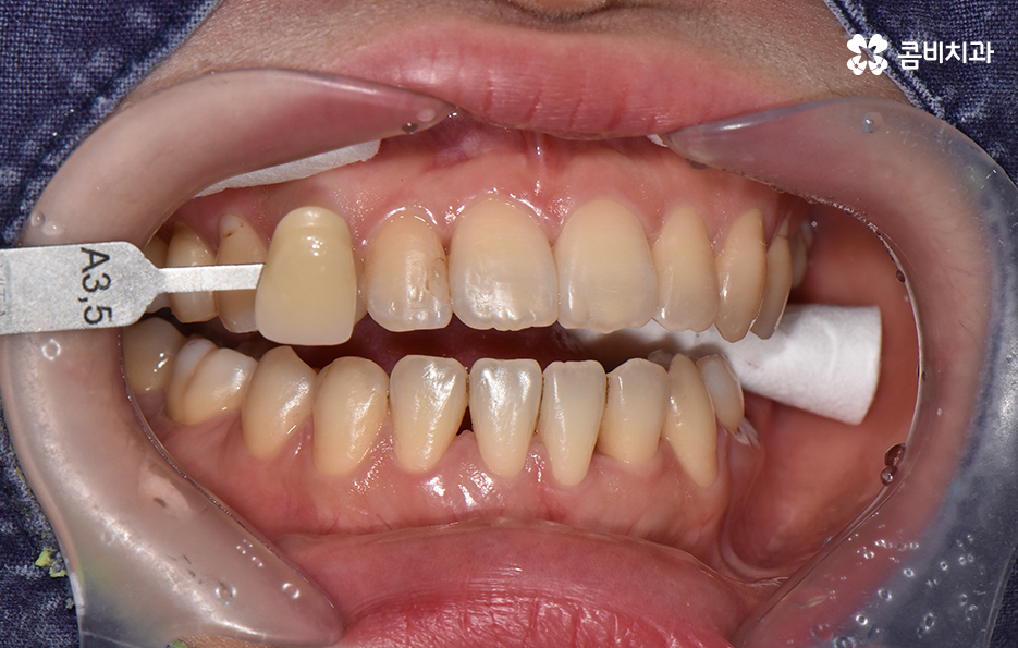
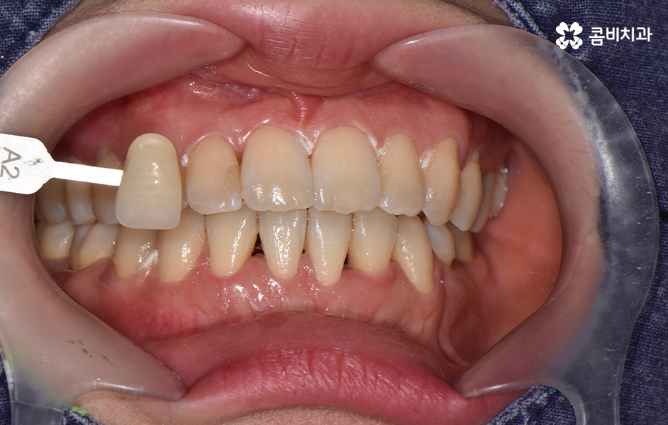
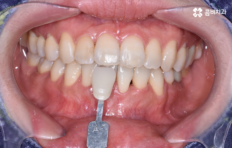
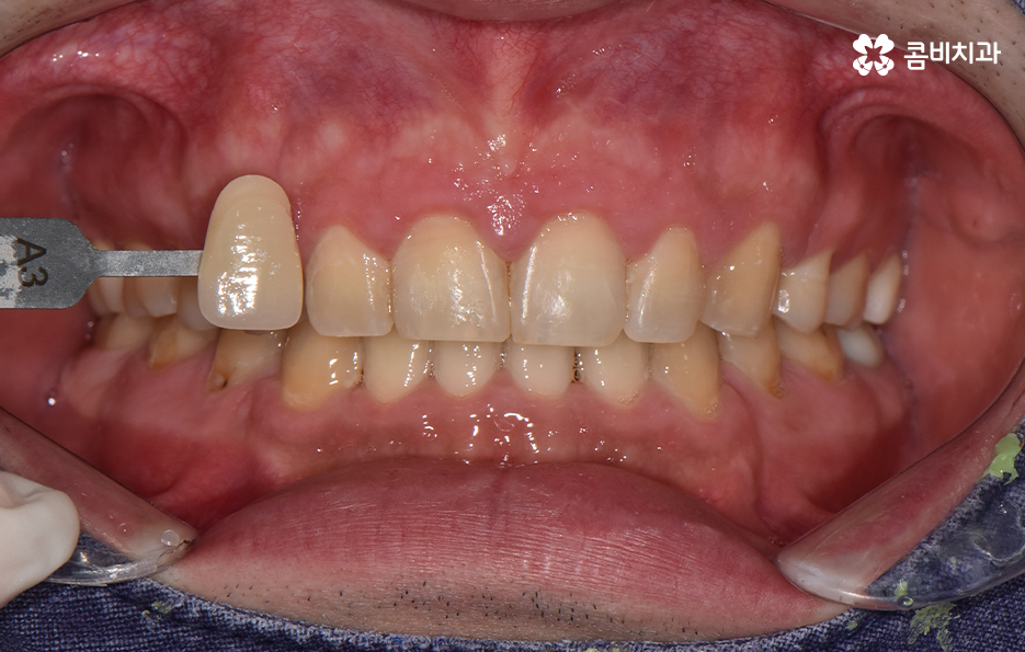
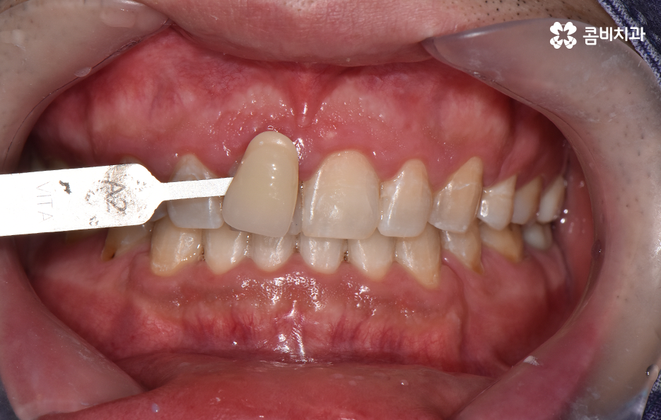
치과치아미백은 위 사진에서 보시는 것처럼 A2의 밝기가 A1으로 변화하는 치아 색의 대조를 통해서 치아미백의 기준과 목표를 세우며 아래 사진처럼 A 3,5에서 A2, A1 까지 순차적으로 단계를 정해놓고 집중하여 치아미백 목표를 세운다는 장점이 있는데요.



이러한 치아미백의 기준과 목표를 설정하는 것은 중요한데 일반인들의 경우 치아 색이 한톤 정도만 밝아져도 만족감을 느끼시는 분들이 많기 때문에 치과치아미백을 적게는 2회에서 많아도 4회 정도면 대부분 만족할 수 있는 결과를 얻는 경우가 많다는 점에서도 무리하게 치아 색을 변화시키기 보다는 명확한 목표로 기간을 두고 집중해서 미백 치료를 하는 것이 권장되고 있어요
집에서 셀프 미백을 하는 것과 큰 차이가 있나요?
일반적으로 30대 이후에 치아미백을 고민하고 있고 치아미백을 처음하는 것이라면 되도록 치과에서 전문가 미백을 권하고 있는데요.
치과에서 의사에게 미백 치료에 대한 조언을 받는 것이 좋은 이유
스케일링과 치아 표면 정리를 통해 미백 치료 후 치아가 얼룩덜룩 해지는 것을 예방할 수 있다.
고농도의 미백제를 활용하여 확실한 미백 효과가 있다.
치아의 손상, 마모, 균열 등에 대한 치아의 외적 손상에 주의하여 시술할 수 있다.
고농도의 미백제를 사용하더라도 잇몸 손상을 예방할 수 있다
치아 변색 원인에 대해 명확하게 구분할 수 있다
대표적인 장점만 두고 보더라도 치과 치아미백이 집에서 셀프로 하는 것과는 크게 다르다는 것을 알 수 있어요


치과에서 진행되는 치아미백은 모든 과정이 철저하게 치아 뿐 아니라 잇몸 보호가 안전하게 이뤄지고 있고 치아의 표면 관리 후에 미백제를 도포하는 것이 플라그에 의해 치아가 얼룩덜룩해지는 것을 막을 수 있는데요. 치과 치아미백을 전문적으로 받은 후에는 평소 관리를 잘해주고 그 이후에 셀프 미백 관리를 보조적으로 하는 것이 미백에 대한 결과 뿐 아니라 치아 건강을 위해서도 장점이 많다고 할 수 있어요
본 글은 콤비치과의 의료광고 포스팅입니다.
개인에 따라 출혈 및 부작용이 발생할 수 있고,
환자마다 치료 결과 및 기간이 상이할 수 있으므로,
정확한 치료 기간 및 치료 계획은
치과에서 상담을 받아보시길 권장 드립니다.