명동콤비치과의원 (명동)
노인임플란트 이때부터 특히 조심하세요
현재 건강보험을 통해 임플란트 치료비 혜택이 적용되는 조건은 만 65세이상으로 평생 2개의 치아에 한하여 임플란트 치료비에 대한 본인부담률 30% 적용이 되고 있는데요. 임플란트 2개로는 부족하고 4개로 확대해야 한다는 의견이 높아지고 있습니다. 그 이유는 나이가 들수록 치아의 잔존율이 점점 급감하게 되는데...
아카이브 요약
이 페이지의 역할
명동콤비치과의원 (명동)의 네이버 블로그 원문을 보존한 아카이브 페이지입니다. 치아스토리♡ 카테고리의 노인임플란트 이때부터 특히 조심하세요 글을 통해 병원의 한국어 정보 제공 방식과 진료 관련 안내 톤을 확인할 수 있습니다.
현재 건강보험을 통해 임플란트 치료비 혜택이 적용되는 조건은 만 65세이상으로 평생 2개의 치아에 한하여 임플란트 치료비에 대한 본인부담률 30% 적용이 되고 있는데요. 임플란트 2개로는 부족하고 4개로 확대해야 한다는 의견이 높아지고 있습니다.
그 이유는 나이가 들수록 치아의 잔존율이 점점 급감하게 되는데 50대에서 60대로 넘어가는 시점에서 한 번 크게 급감하고 60대에서 70대로 넘어가는 시점에 또 다시 한 번 급감하고 있어요. 치아의 잔존율은 인간의 기대수명과도 밀접한 연관이 있는데 잔존 치아 1개의 증가는 5년 생존율이 4% 증가하며 치아와 잇몸 건강은 치매발병 위험성과의 연관성도 높은 만큼 100세 시대에 건강하게 살기 위해 자연치아를 보존하는 것과 임플란트를 활용한 저작기능의 수복의 중요성을 느낄 수 있어요


이번 포스팅에서는 그렇다면 왜 50대에서 60대에 넘어가는 시점에 치아를 상실하는 분들이 크게 늘어나는지 그 이유를 알아볼 거예요. 사람의 치아는 윗니와 아랫니를 모두 합하면 28개의 치아를 갖고 있으며 질병관리청 국민건강 통계에 의하면 한국 50대 성인의 평균 잔존 치아 개수는 25.5개, 60대는 22.8개, 70대 이상은 다시 16.2개로 평균 잔존 치아 개수의 감소폭이 50대 부터 점점 크게 줄어드는 것을 확인할 수 있어요



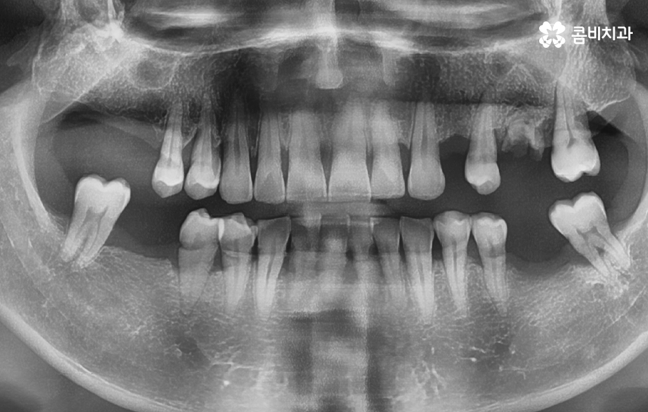
위 사진을 보시면 치아 자체의 노화나 균열도 물론 크지만 잇몸이 내려앉아서 치아의 뿌리 부분이 외부에 노출되어 있는 것을 알 수 있는데요. 노인임플란트 필요로 하는 분들의 치아 상실의 대표적 원인은 충치 부터 오래된 크라운, 치아의 손상 및 균열로 인한 문제도 크겠지만 결정적으로는 치주염으로 인해 잇몸 뼈가 녹고 잇몸 퇴축으로 인한 치아 상실이 노년기에 발생하는 치아 상실의 대표적 원인이 되고 있어요
잇몸이 약해지는 것은 나이가 들면 어쩔 수 없는 거 아닌가요?
치아나 잇몸 모두 자연스럽게 진행되는 노화를 막을 수는 없겠지만 치아 관리에 비해 잇몸 관리에 대한 부분은 놓치기 쉽기 때문에 통계적으로 보더라도 치아 잔존율이 급감하는 원인을 개선하기 위해서는 특히 잇몸 건강의 유지와 예방에 힘써야 할 거예요. 치주질환은 충치에 비해 적극적 치료를 받는 분들이 아직까지는 적은 편이고 잇몸이 심하게 불편하고 아픈 시점에는 이미 잇몸퇴축도 심하고 염증이 심해진 경우가 많기 때문에 주기적인 치과 검진과 스케일링을 통해 치아는 물론 잇몸 건강도 함께 철저히 지킬 필요가 있어요



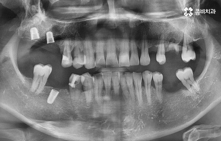
위 케이스의 노인임플란트 치료의 경우 치아의 균열부터 뿌리까지 깊어진 충치, 치주염 까지 복합적인 이유로 치아를 상실하고 여러 개의 임플란트를 식립한 사례라고 할 수 있는데요. 그래도 아직은 잔존하고 있는 치아가 많기 때문에 이미 상실한 치아에는 노인임플란트 각 위치에 맞게 적절한 치료를 받고 나머지의 자연치아에 대해서는 잘 관리하는 것이 중요한 시점이라 할 수 있어요
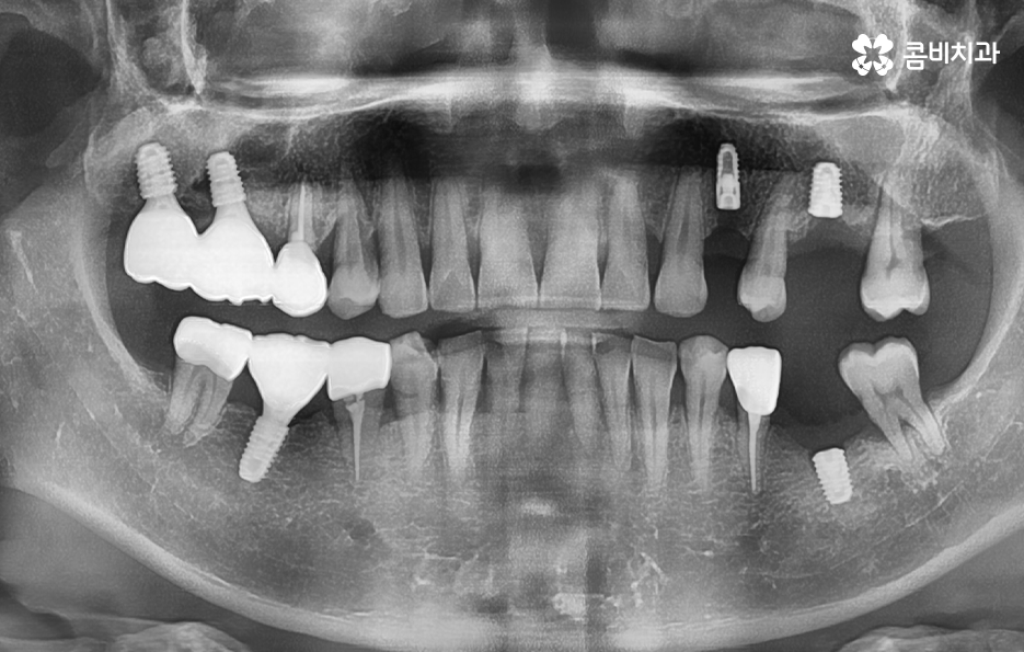
실제 노인임플란트 치료 사례를 보면 치아의 대부분을 잃고 전체 임플란트를 해야 하는 사례가 많고 치아를 하나둘씩 잃게 되는 시점에 좀더 잇몸 관리를 잘했더라면 유지가 되었을 잇몸 뼈의 건강도 치주염으로 인해 잇몸 뼈의 소실로 이어지는 사례가 많아 뼈이식이나 상악동거상술과 같은 추가적인 술식으로 이어지는 사례가 많이 있는데요





위 환자분의 케이스는 대부분 어금니 위주로 상실하여 노인임플란트 적절하게 식립하여 어금니의 저작기능을 수복했는데요. 노인임플란트 하면 건강보험에 대한 적용이나 저렴한 치료 비용에 대한 관심을 갖는 경우가 많긴 하지만 연령대에 따라 치아의 잔존율이 크게 급감하는 원인에 대해 잘 알아두시고 이제 치아를 하나 둘씩 잃기 시작했다면 이 시기부터 보다 적극적으로 자연치아를 보존하는 방법을 잘 숙지하시고 특히 주기적으로 치과 검진과 스케일링을 생활화 하는 것이 강조되고 있어요
본 글은 콤비치과의 의료광고 포스팅입니다.
개인에 따라 출혈 및 부작용이 발생할 수 있고,
환자마다 치료 결과 및 기간이 상이할 수 있으므로,
정확한 치료 기간 및 치료 계획은
치과에서 상담을 받아보시길 권장 드립니다.
더 보기
이 병원의 공개 콘텐츠를 계속 살펴보세요
출처 아카이브로 돌아가 더 많은 글을 보거나, 병원 프로필로 이동해 다른 공개 채널도 함께 비교해보세요.