명동콤비치과의원 (명동)
아래앞니 벌어짐 교정으로 해결했어요
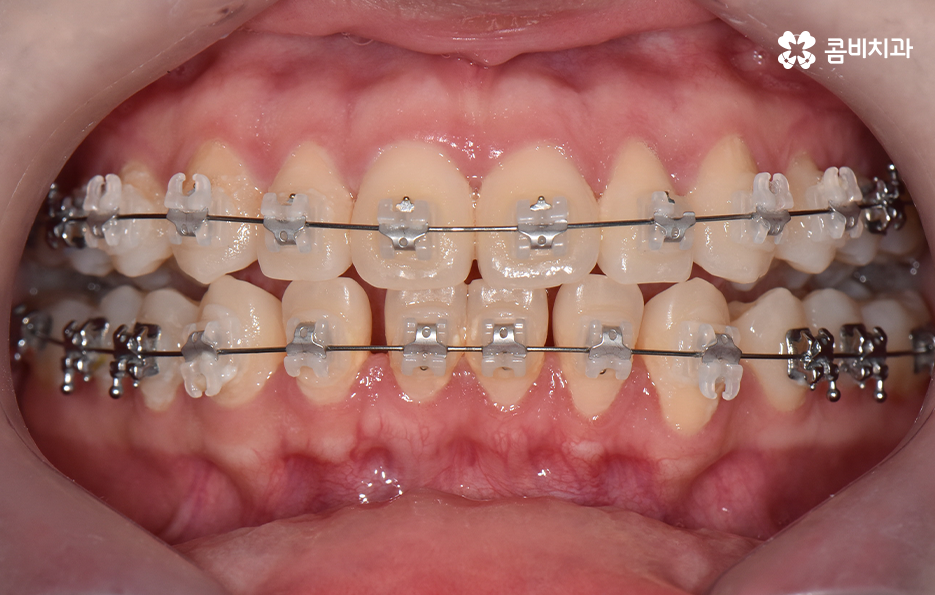
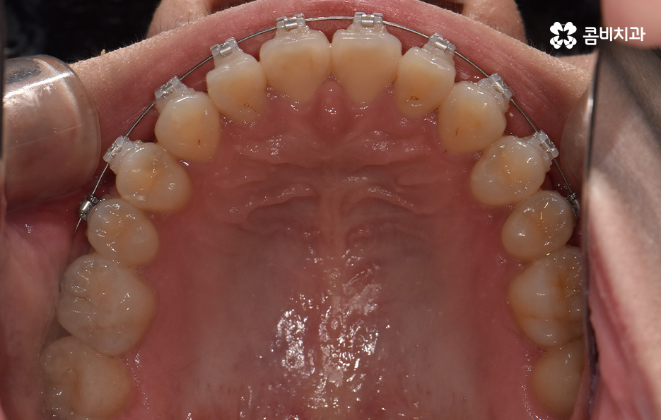
치아가 벌어지면 치아 사이로 음식물이 껴서 불편하고 이물질과 치석으로 인해 나이가 들수록 각종 구강질환이 발생할 확률도 높아진다는 점에서 심미적인 이유 뿐 아니라 치아 건강을 위해서도 치아 벌어짐은 개선하는 것이 좋을 거예요. 앞니가 벌어진 경우에는 당장의 기능적인 불편함을 떠나서도 심미적으로 좋지 않다는 점에...
아카이브 요약
이 페이지의 역할
명동콤비치과의원 (명동)의 네이버 블로그 원문을 보존한 아카이브 페이지입니다. 치아스토리♡ 카테고리의 아래앞니 벌어짐 교정으로 해결했어요 글을 통해 병원의 한국어 정보 제공 방식과 진료 관련 안내 톤을 확인할 수 있습니다.
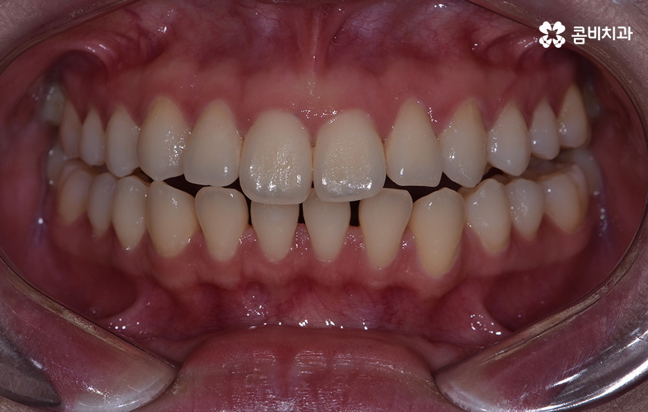
치아가 벌어지면 치아 사이로 음식물이 껴서 불편하고 이물질과 치석으로 인해 나이가 들수록 각종 구강질환이 발생할 확률도 높아진다는 점에서 심미적인 이유 뿐 아니라 치아 건강을 위해서도 치아 벌어짐은 개선하는 것이 좋을 거예요. 앞니가 벌어진 경우에는 당장의 기능적인 불편함을 떠나서도 심미적으로 좋지 않다는 점에서 치료를 원하시는 분들이 상당히 많은데 오늘은 그 중에서도 아래앞니 벌어짐에 대해 치아교정으로 치료한 사례를 가져왔어요




웃을 때마다 신경쓰이는 앞니 때문에 불편했어요
보통 웃을 때 앞니에서도 윗니 위주로 보이긴 하지만 나이가 들수록 점점 아랫니도 함께 보이고 크게 웃을 때는 아래 어금니까지 보이기 때문에 앞니의 치아 벌어짐은 보기에 좋지 않다고 느끼고 특히 한국인들의 입장에서는 복이 나간다거나 재물복에 좋지 않다는 인식도 높다보니 당장 먹고 사는데 지장은 없어도 교정 치료를 원하시는 분들이 생각보다 많다고 할 수 있어요.
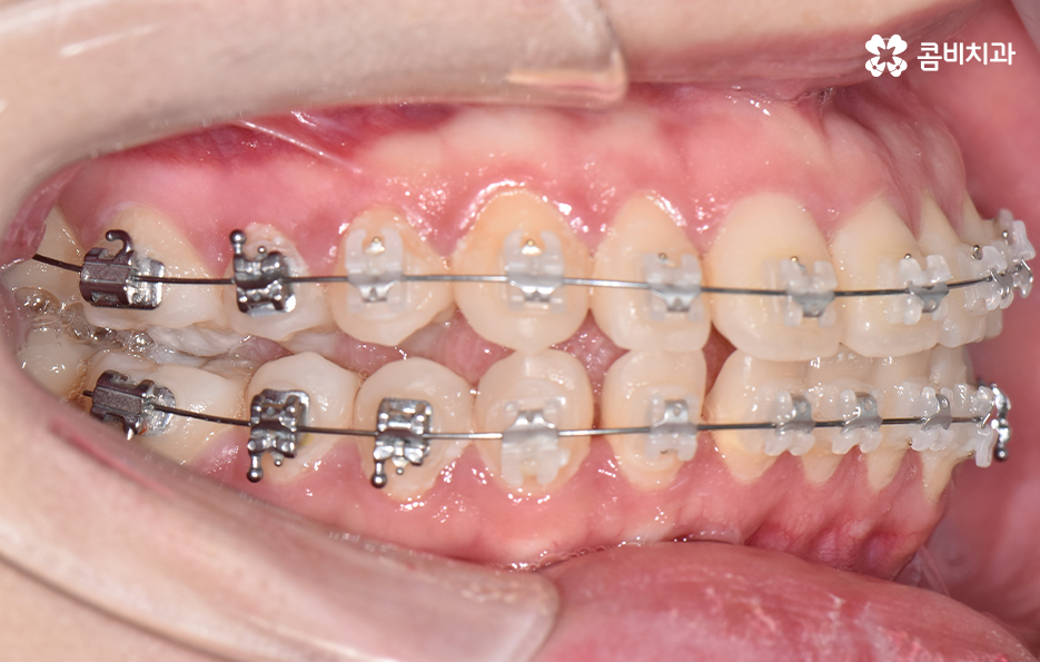
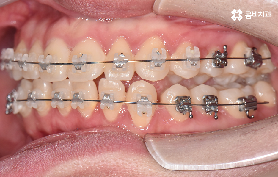
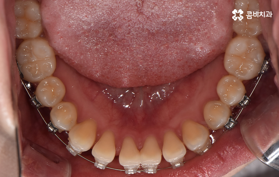
오늘 포스팅에서 교정 치료를 한 사례의 경우에는 하악이 골격적으로 발달되어 있다보니 아래앞니가 벌어져 있는 케이스이며 대체적으로 현대인들의 경우 턱뼈가 좁아지는 추세인데 비해 오늘 포스팅 사례의 환자분의 경우 하악이 발달된 경우이기 때문에 하악의 치열을 가지런하게 재배열하면서 교합적인 부분에서도 아래앞니 벌어짐 개선으로 인해 식사 시 마다 치아에 음식물이 끼는 문제를 개선할 수 있었어요


아래앞니 벌어짐 교정은 꼭 전체교정으로 해야 하나요?
오늘 포스팅에서의 아래앞니 벌어짐은 하악의 턱뼈가 비교적 넓은 사례에 해당되고 전체적인 치열 뿐 아니라 교합도 함께 개선해야 한다는 점에서 전체교정이 필요했던 사례라면 앞니 위주로 교정 치료를 해도 충분한 경우에는 부분교정이 가능한 케이스도 있어요. 다만 치열만 보는 것은 아니며 얼굴형과 골격, 교합 등을 전체적으로 파악한 후에 판단하고 있어요
또한 아래앞니 벌어짐이 오늘 사례처럼 턱뼈의 골격 자체가 넓은 편이 아니라 치아 자체가 작아서 치아 사이가 벌어진 경우에는 교정 만으로는 한계가 있는 경우도 있기 때문에 치아 자체가 작은 왜소치의 경우에는 교정이 아닌 라미네이트와 같은 보철치료가 필요한 사례도 있다는 점을 잘 참고하셔서 자신에게 적합한 치료 계획을 잘 세우셔야 할 거예요



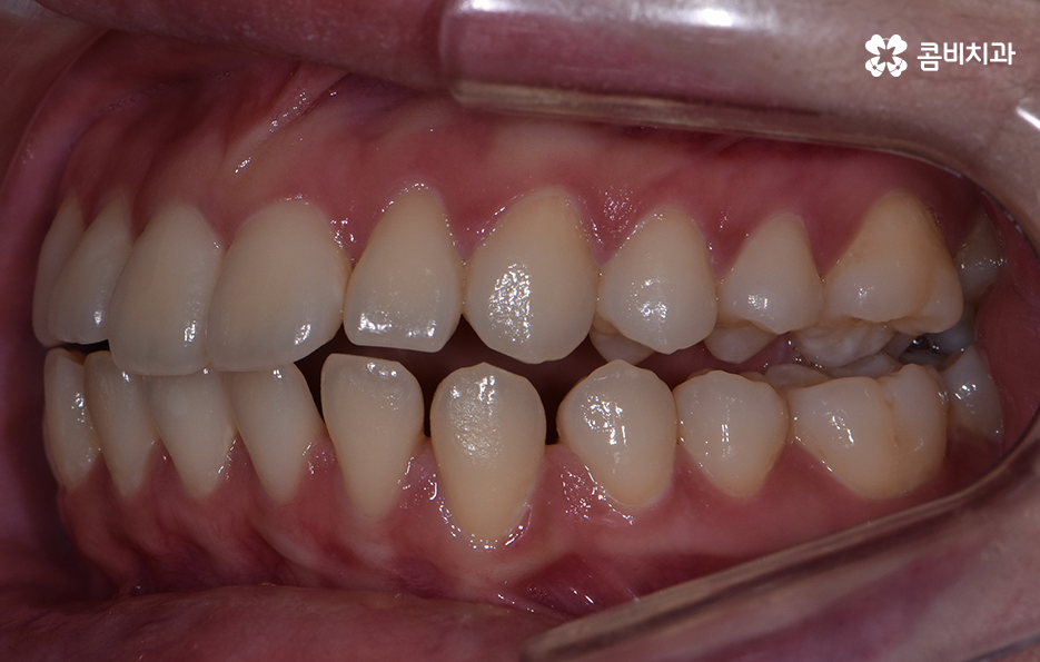
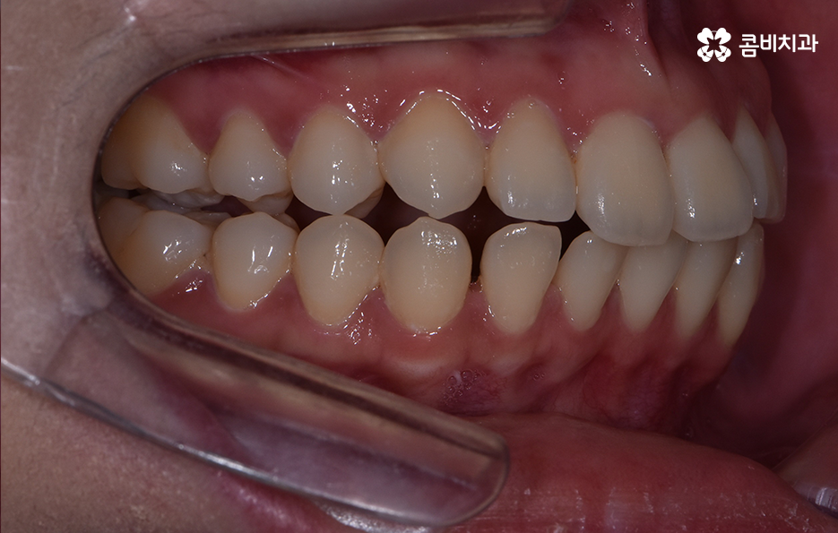
오늘 사례에서 보시는 환자분의 경우 대체적으로 치열 자체는 가지런한 편이며 악궁 자체도 넓은 편이기 때문에 전체교정 만으로도 치료가 원활하게 이뤄졌는데요. 비교적 치아의 이동량이나 교합 조정 등에서 수월하게 치료가 진행될 수 있었기 때문에 치료기간도 전체교정 대비 짧은 편이었고 치열 개선으로 인한 심미적인 개선 뿐 아니라 치아의 기능과 건강 개선도 함께 종합적으로 증진된 케이스라 할 수 있어요
벌어진 치아는 심미적으로 내가 괜찮다면 그냥 둬도 되지 않나요?
치아의 벌어짐은 선천적인 이유나 습관적인 원인에 의해 발생되기도 하지만 중년이후에 잇몸이 약해지면서 치아가 벌어지거나 틀어져서 치과를 찾는 분들도 많은데 현재 벌어진 치아를 방치할 경우에 아무리 꼼꼼하게 칫솔질을 해도 이물질이 치아 뿌리 부분에 남아 있거나 치석으로 인한 치주질환이 심해질 가능성이 높으며 그에 따라 잇몸이 내려앉는 문제나 치아의 뿌리가 더 드러나는 문제로 인해 치아 수명 저하와 치열 문제가 더 커질 수 있다는 점에서 심미적인 문제가 아니더라도 개선하는 것이 권장되고 있어요


과거에 비해 교정에 대한 니즈는 더욱 다양해지고 있고 중년이후에도 교정 치료에 대한 관심과 실제 교정을 시작하는 분들도 크게 늘고 있는데요. 가지런한 치열은 단지 외모적인 개선을 목적으로 하는 것만이 아니라 치아의 건강과 기능적인 측면에도 많은 영향을 준다는 점을 참고하셔서 앞니 벌어짐으로 고민하신다면 원인 파악과 개선, 적절한 치료 계획을 잘 세워보시길 바라고 있어요
본 글은 콤비치과의 의료광고 포스팅입니다.
개인에 따라 출혈 및 부작용이 발생할 수 있고,
환자마다 치료 결과 및 기간이 상이할 수 있으므로,
정확한 치료 기간 및 치료 계획은
치과에서 상담을 받아보시길 권장 드립니다.
더 보기
이 병원의 공개 콘텐츠를 계속 살펴보세요
출처 아카이브로 돌아가 더 많은 글을 보거나, 병원 프로필로 이동해 다른 공개 채널도 함께 비교해보세요.