명동콤비치과의원 (명동)
사랑니발치통증 이렇게 해야 쉬워져요
사랑니는 사람마다 다르게 생겼다고 알고는 계시겠지만 실질적으로 어떻게 생겼고 구분되는지 잘 모르시는 분들도 많을 거예요. 사랑니의 모양을 기준으로 형태를 나눠보면 똑바로 정상 맹출된 사랑니와 부분적으로 매복되어 있는 사랑니, 완전 매복되어 있는 모양으로 구분할 수 있는데요. 완전 매복되어 있는 사랑니 중에서...
아카이브 요약
이 페이지의 역할
명동콤비치과의원 (명동)의 네이버 블로그 원문을 보존한 아카이브 페이지입니다. 치아스토리♡ 카테고리의 사랑니발치통증 이렇게 해야 쉬워져요 글을 통해 병원의 한국어 정보 제공 방식과 진료 관련 안내 톤을 확인할 수 있습니다.
사랑니는 사람마다 다르게 생겼다고 알고는 계시겠지만 실질적으로 어떻게 생겼고 구분되는지 잘 모르시는 분들도 많을 거예요. 사랑니의 모양을 기준으로 형태를 나눠보면 똑바로 정상 맹출된 사랑니와 부분적으로 매복되어 있는 사랑니, 완전 매복되어 있는 모양으로 구분할 수 있는데요.
완전 매복되어 있는 사랑니 중에서는 어금니 쪽 방향으로 누워서 자라는 경우도 있고 어금니의 반대방향으로 누워 자라기도 하며 완전히 수평으로 매복되어 있기도 하고 수직으로 매복되어 있는 경우로도 또 다시 분류할 수 있어요.
동일한 조건이라고 가정할 때 사랑니의 모양에 따라 발치 난이도가 달라져요
사랑니 발치에 있어서 사랑니가 충치로 인해 썩었거나 현재 잇몸이 붓고 염증이 발생한 상황과 같이 특정 상황적 조건을 무시하고 사랑니의 모양만을 두고 발치 난이도를 구분해보자면 당연하게도 정상적으로 맹출된 사랑니가 보다 뽑기 쉽다고 할 수 있겠고 반면에 완전 매복되어 있는 사랑니의 경우 보다 발치의 어려움을 느낄 수 있는데요

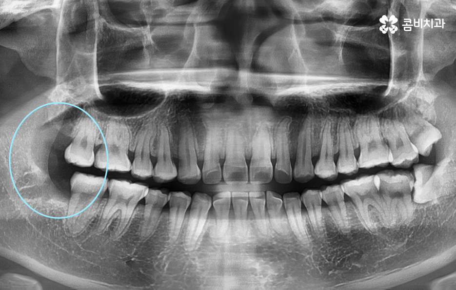
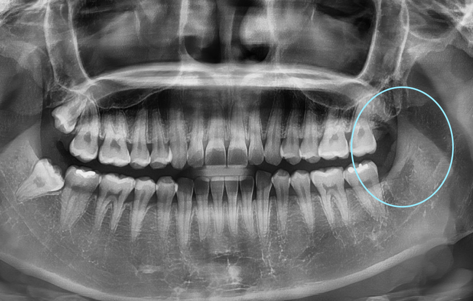
위 환자분의 사랑니 케이스를 살펴보면 윗니의 경우 정상 맹출된 사랑니의 형태를 보이지만 아랫니의 경우에는 부분 매복되어 있고 누워서 자라고 있는 사랑니의 형태를 볼 수 있어요. 다 그런 것은 아니지만 윗니의 경우 중력에 의해 정상 맹출된 사랑니의 형태가 좀더 많다면 아랫니의 경우 매복사랑니의 형태가 많은 편이기 때문에 하악 사랑니의 발치가 좀더 어려운 경우가 있어요


부분매복 사랑니는 이렇게 문제가 생겨요
부분적으로 맹출된 사랑니는 어금니와 사랑니 사이에 음식물이 끼기 쉽고 어금니 인접면에 사랑니로 인한 충치가 발생되기도 쉬우며 심한 경우에는 어금니의 뿌리 쪽 손상을 일으켜서 신경치료나 발치까지도 이르게 되는 경우가 있기 때문에 사랑니 발치 시점을 놓치게 되면 어금니 손상까지 커질 우려가 있어요
사랑니발치통증 줄이기 위해서는 기본적으로 사랑니 혹은 사랑니 주변의 청결관리가 잘 안되는 것을 느끼는 초기에 발치를 하는 것이 수월하며 사랑니의 문제가 어금니나 주변 잇몸으로 영향을 주기 전에 발치를 계획하는 것도 더 큰 고생을 하지 않을 수 있는 방법이 될 거예요


사랑니발치통증 걱정되는데 안뽑으면 안되나요
사랑니 발치를 당장 서두르지 않아도 되는 경우는 보편적으로 사랑니가 똑바로 맹출이 된 경우와 특히 저작 기능을 수행하고 있는 경우에는 제 3대구치로서의 역할을 할 수 있으며 관리가 잘 되어 통증 등의 불편함이 없어야 하며 주변 치아와 잇몸에 악영향을 주지 않는 경우에는 당장 꼭 발치를 하진 않아도 될 수 있어요
사랑니 발치 하면 다 아픈거 아닌가요 덜아픈 방법도 있나요
사랑니발치통증을 줄이기 위해서는 담당 의사의 경력과 실력이 무척이나 중요할 수 있는데 특히 매복사랑니 발치의 경우 과거에는 꼭 대학병원을 갔어야 했던 경우도 많았지만 현재는 대학병원 출신의 의사분들이 많이 개원을 한 상태에고 사랑니 발치 경험은 물론이며 발치에 대한 치과 시스템도 잘 갖춰져 있는 치과를 잘 찾는다면 보다 수월하게 매복사랑니 발치도 진행할 수 있어요
완전 매복되어 있는 사랑니를 발치할 때는 사랑니를 쪼개서 발치하는 경우도 있기 때문에 발치의 정확성과 빠른 진료가 입을 오래 벌리고 있어서 입술이 찢어지거나 턱 뼈에 무리가 갈 수 있는 부분들을 줄일 수 있으며 사랑니 발치는 발치 후 회복과정에서 붓기와 통증을 호소하는 경우도 있기 때문에 잇몸의 절개를 최소화 하고 빠르고 정확한 발치를 하는 것이 시술적으로 보다 도움이 될 수 있어요


저는 매복사랑니가 아닌데 안아플까요
사랑니가 정상적으로 맹출된 경우에도 사랑니발치통증을 되도록 줄이기 위해서는 사랑니의 충치를 방치하지 않고 잇몸 역시도 염증이 심해지기 전에 치과 방문을 늦지 않게 하는 것이 사랑니발치통증을 줄이는데 도움이 되며 시술 자체도 중요한 것이 사실이지만 시술 후에 회복과정에서 주의사항을 잘 지켜서 건강하게 잇몸이 잘 아물수 있도록 컨디션 관리를 잘하는 것 까지 생각하신다면 보다 수월한 사랑니 발치에 도움이 되실 거예요.
사랑니 발치는 마취 상태에서 진행되며 빠른 경우에는 수분 이내에 발치 과정은 끝나기도 하기 때문에 생각보다 발치 당시에 느끼는 통증은 크지 않았다고 느끼시는 분들도 많지만 마취가 풀리고 회복 과정에서 흡연을 하거나 입안에 자극이 될만한 행동 등으로 인해 사랑니 발치 후 피딱지, 즉 혈병이 떨어져서 고생하는 사례도 많다는 점에서 시술 후 회복까지 잘 고려하여 시술 계획을 잘세우시길 바라며 치과에서 안내하는 주의사항을 잘 지키시길 바라고 있어요
본 글은 콤비치과의 의료광고 포스팅입니다.
개인에 따라 출혈 및 부작용이 발생할 수 있고,
환자마다 치료 결과 및 기간이 상이할 수 있으므로,
정확한 치료 기간 및 치료 계획은
치과에서 상담을 받아보시길 권장 드립니다.
더 보기
이 병원의 공개 콘텐츠를 계속 살펴보세요
출처 아카이브로 돌아가 더 많은 글을 보거나, 병원 프로필로 이동해 다른 공개 채널도 함께 비교해보세요.