명동콤비치과의원 (명동)
치아 옆면 충치 이렇게 무섭습니다
치아가 나이가 들면서 결국 잃게 되는 상황이나 잇몸이 점점 약해지는 일에 대해 대체적으로 노화의 일종으로 받아 들이는 경우가 많이 있는데요. 나이가 들다보면 치아도 잃게 될 수 있고 잇몸도 약해지는 것은 어느정도 어쩔 수 없겠지만 실질적으로는 관리 미흡으로 인해 치아의 수명이 급격히 저하되는 경우를 더 자주 목격할 수...
아카이브 요약
이 페이지의 역할
명동콤비치과의원 (명동)의 네이버 블로그 원문을 보존한 아카이브 페이지입니다. 치아스토리♡ 카테고리의 치아 옆면 충치 이렇게 무섭습니다 글을 통해 병원의 한국어 정보 제공 방식과 진료 관련 안내 톤을 확인할 수 있습니다.
치아가 나이가 들면서 결국 잃게 되는 상황이나 잇몸이 점점 약해지는 일에 대해 대체적으로 노화의 일종으로 받아 들이는 경우가 많이 있는데요. 나이가 들다보면 치아도 잃게 될 수 있고 잇몸도 약해지는 것은 어느정도 어쩔 수 없겠지만 실질적으로는 관리 미흡으로 인해 치아의 수명이 급격히 저하되는 경우를 더 자주 목격할 수 있어요.
우리가 어릴 때 주로 발생되는 충치의 형태는 치아의 씹는 면에서 충치가 시작되어 점점 깊어지는 경우가 많았다면 성인 이후에는 충치의 발생률 자체는 줄어들지만 치아 옆면 충치 즉 치아와 치아가 맞닿는 부분의 인접면 충치로 인해 치아에 큰치료를 해야 하는 상황이 종종 발생되고 있는데요. 치아 옆면 충치 뿐 아니라 잇몸이 내려앉고 염증이 발생되는 치주질환은 구강 내 세균관리가 잘 안되어서 발생되는 구강내 대표적 질환이자 중년이후에 많은 분들이 놓치고 있는 문제라는 점에서 제대로 알아둘수록 자연치아 뿐 아니라 소중한 잇몸 건강에도 큰 도움이 될 거예요

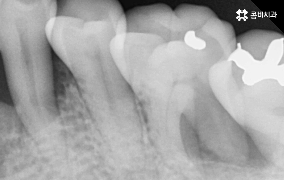
치아의 인접면, 치아 옆면 충치 더 치료가 어려운 이유가 무엇인가요
인접면 충치의 경우 치아의 씹는면에 생기는 충치보다 치료가 어려운 이유는 치아에 발생한 충치를 제거하기 위한 접근이 어렵다는 점 때문인데 치아와 치아 사이에 발생된 충치를 제거하기 위해서 다소 불필요한 치아의 삭제를 해야할 수 밖에 없고 단순히 치아의 손상 부위만을 보기 좋게 치료하는 것이 아니라 치료 후 치아의 저작력을 감안하여 치료 방법으로 고민해야 하기 때문에 지속성 측면에서 인레이 치료를 해야 하는 경우도 있어요
치아 옆면 충치의 경우 사실 더 큰 문제가 될 수 있는 점은 발견 자체가 늦어지는 경우가 많고 눈에도 잘 띄지 않기 때문에 환자분께서 검진을 미루고 다소 시리거나 아파도 참고 지내다 보면 치아의 옆부분에서 충치가 시작되었기 때문에 치아의 신경조직까지 손상되기에 쉬운 위치라는 점에서도 신경치료로 이어지는 경우도 흔하게 발생되고 있어요



칫솔질을 평소 잘하고 있는데 치아 옆면 충치 왜 생기는 건가요
30,40대 환자분들 까지는 치아를 잃게 되는 원인이 충치로 인한 경우가 좀더 많다면 60대 이후 노인 분들의 경우에는 치주염이 심해져서 치아 발치로 이어지는 경우가 많이 있는데요. 젊은 분들이나 노인 분들 모두 칫솔질 자체는 무난하게 잘 하시겠지만 놓치고 있는 부분이 바로 치실 혹은 치간 칫솔의 사용과 주기적인 검진, 스케일링의 실천이 부족하여 이러한 문제가 발생되는 경우가 많다고 볼 수 있어요
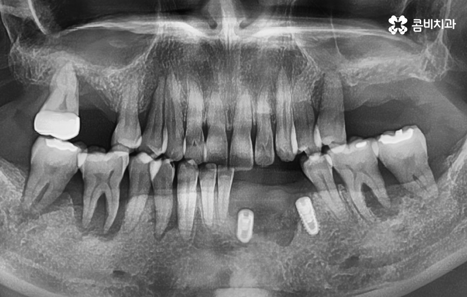
우선 치아로 따지자면 치아의 씹는 면에 발생된 충치는 치료도 비교적 쉬운 편이고 치아의 구조로 볼 때도 치아의 윗 부분은 법랑질이 신경과의 거리가 어느정도 있기 때문에 충치가 몇번 치료해도 레진이나 인레이 정도로 치료가 끝낼 수 있는 경우가 많은데 치아 옆면 충치의 경우에는 치아 사이에 하루 이틀 음식물이나 이물질이 낀 것이 아니라 오랜 시간 동안 지속적으로 치실 사용이나 스케일링을 잘 안한 경우에 주로 발생되기 때문에 단순히 어금니 혹은 사랑니 주변에만 발생되는 것이 아니라 치아의 여러 부분에서 치아 옆면 충치가 동시에 발생되는 경우가 있는데요
치아 옆면 충치는 치아와 치아 사이에 맞닿는 부분에 발생하기 때문에 최소 2개의 치아에서 발생되는 경우가 일반적이며 습관적인 부분이 원인이 되기 때문에 치과 치료가 늦어지면 여러 치아에서 동시에 발생되는 경우도 자주 볼 수 있기 때문에 치아 수명을 급격히 저하시키는 원인이 되고 있어요



치아 옆면 충치 뿐 아니라 잇몸이 내려앉는 문제 역시도 치아 사이 뿐 아니라 잇몸 속에 이물질이 쌓이고 쌓이다 보면 치석의 형태가 되고 치석 관리가 잘 안되어 입안에 세균이 증가하면 잇몸 염증 뿐 아니라 잇몸 퇴축으로 이어지기 때문에 치아의 사이 충치와 치주염은 중년 이후에 치아의 수명을 복합적으로 저하시키는 대표적 원인이 되고 있어요


종합하면 치아 사이에서 발생되는 충치와 잇몸이 내려앉는 문제는 서로 치아의 수명을 급격히 저하 시키는 시너지 효과가 있기 때문에 예방이 무척이나 중요하며 단순히 나이가 들어서 이러한 불편함이 있다고 생각하지 마시고 잇몸이 내려 앉거나 이 사이가 불편한 시림, 통증 등을 느낀다면 꼭 원인 파악을 제때 하시길 권하고 있어요
치과 치료는 증상의 치료가 아니라 원인 치료를 하는 것이라는 말이 있듯이 정확한 원인 파악과 진단이 앞으로의 치아 수명을 좌우하는 만큼 꼭 주기적인 검진과 스케일링 잊지 마시고 구강 내 불편함이 있다면 즉시 검진 받아보시길 바라고 있어요
본 글은 콤비치과의 의료광고 포스팅입니다.
개인에 따라 출혈 및 부작용이 발생할 수 있고,
환자마다 치료 결과 및 기간이 상이할 수 있으므로,
정확한 치료 기간 및 치료 계획은
치과에서 상담을 받아보시길 권장 드립니다.
더 보기
이 병원의 공개 콘텐츠를 계속 살펴보세요
출처 아카이브로 돌아가 더 많은 글을 보거나, 병원 프로필로 이동해 다른 공개 채널도 함께 비교해보세요.