아카이브 요약
이 페이지의 역할
명동콤비치과의원의 네이버 블로그 원문을 보존한 아카이브 페이지입니다. 치아스토리♡ 카테고리의 앞니만 교정 과잉치 뽑아서 해결했어요 글을 통해 병원의 한국어 정보 제공 방식과 진료 관련 안내 톤을 확인할 수 있습니다.
원문 검증
필요하면 원문 블로그와 병원 프로필로 바로 이동해 문맥을 다시 확인할 수 있습니다.
출처 아카이브 열기아카이브된 블로그 글
명동콤비치과의원 · Naver Blog
사람의 치아는 사랑니를 제외하면 위, 아래 모두 28개이고 사랑니는 보통 4개가 자라지만 요즘 아예 안나시는 분들도 있고 1~3개만 나시는 분들도 있어요. 과잉치는 정상적인 치아 개수 범위에서 초과하여 자라는 치아를 과잉치라고 하며 잇몸 속에 숨어 있어서 정상 치아의 맹출을 방해하는 요소가 되기도 하고 정상...
게시일
2024년 6월 20일
원문 기준으로 확인된 발행일입니다.
카테고리
치아스토리♡
원문 블로그 카테고리를 정리해 함께 표시합니다.
이미지 수
14
현재 아카이브에 연결된 이미지 수입니다.
아카이브 요약
명동콤비치과의원의 네이버 블로그 원문을 보존한 아카이브 페이지입니다. 치아스토리♡ 카테고리의 앞니만 교정 과잉치 뽑아서 해결했어요 글을 통해 병원의 한국어 정보 제공 방식과 진료 관련 안내 톤을 확인할 수 있습니다.
원문 검증
필요하면 원문 블로그와 병원 프로필로 바로 이동해 문맥을 다시 확인할 수 있습니다.
출처 아카이브 열기사람의 치아는 사랑니를 제외하면 위, 아래 모두 28개이고 사랑니는 보통 4개가 자라지만 요즘 아예 안나시는 분들도 있고 1~3개만 나시는 분들도 있어요. 과잉치는 정상적인 치아 개수 범위에서 초과하여 자라는 치아를 과잉치라고 하며 잇몸 속에 숨어 있어서 정상 치아의 맹출을 방해하는 요소가 되기도 하고 정상치아의 배열처럼 자라는 경우도 있는데 대체적으로 왜소하게 자라거나 기형적으로 자라는 형태를 보이고 있어요

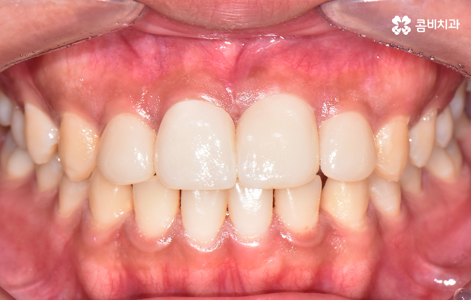
과잉치가 있다고 하여 존재만으로 무조건 발치를 해야 하는 것은 아니며 환자분들의 상황에 따라서 적절한 1:1 맞춤형 치료로서 접근해야 하지만 오늘의 사례는 앞니의 중심부에 위치한 과잉치를 발치하고 앞니만교정을 한 사례를 소개해드릴 거예요
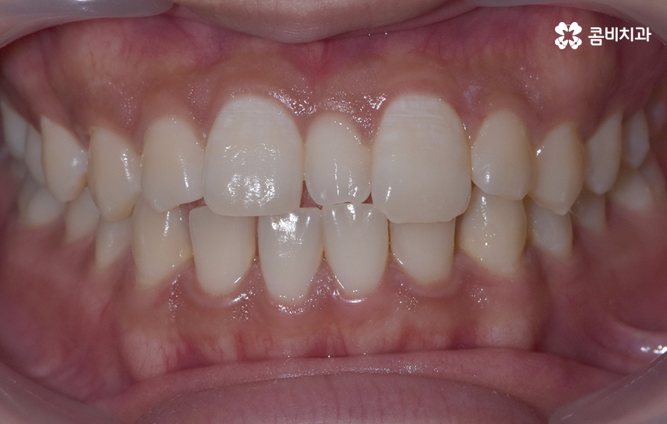
웃을 때마다 콤플렉스인데 앞니만이라도 교정하고 싶어요
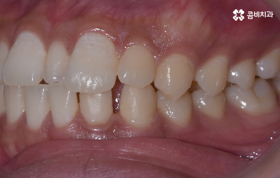
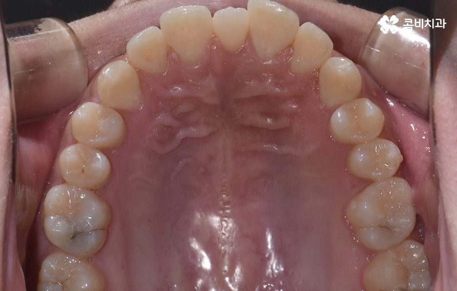
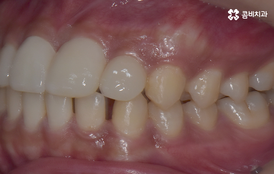
과잉치 중에서는 어떤 치아가 과잉치인지 구분이 어려울 정도로 일반적인 정상 치아의 크기와 비슷한 크기와 형태를 띄는 경우도 있는 반면에 위 사진의 케이스는 첫번째 앞니와 앞니 사이에 유독 작은 왜소치가 있는 형태이기 때문에 치아의 기능적인 문제 보다는 심미적인 개선을 필요했던 케이스로 볼 수 있어요
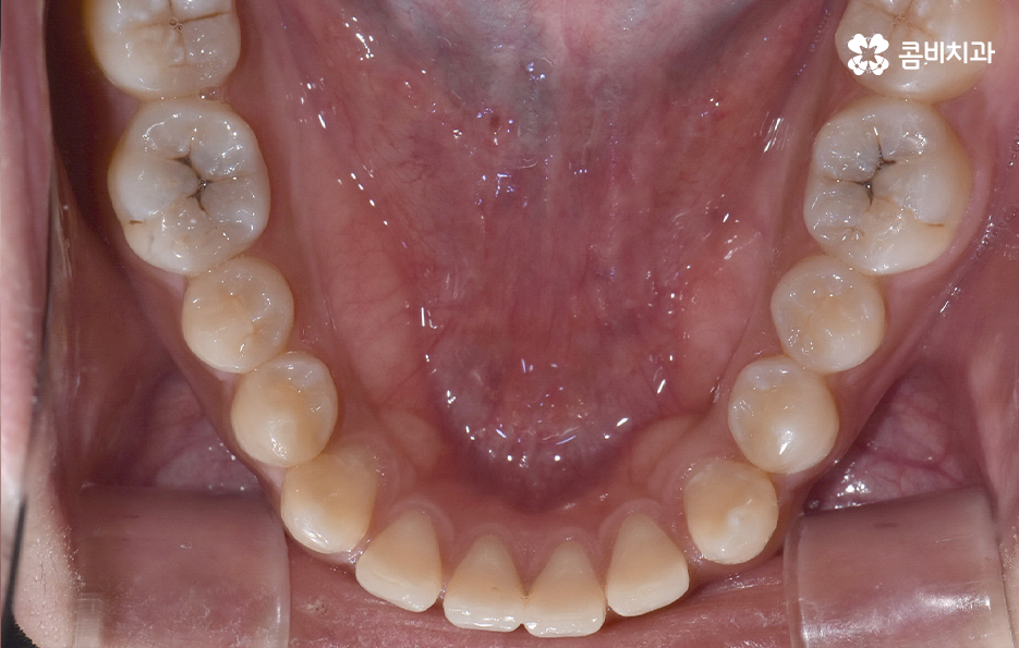
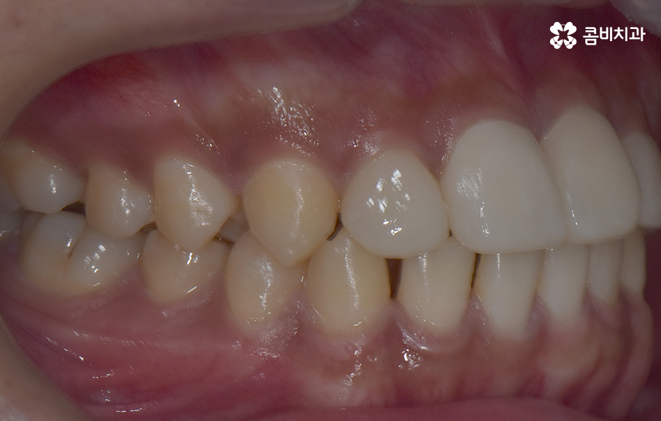
그나마 다행인 점은 앞니만교정을 하더라도 치아의 교합이나 골격적인 부분, 얼굴형 등에 있어서 큰 지장은 없던 경우였는데요. 물론 아랫니가 다소 벌어져 있기 때문에 전체교정을 하면 더 좋은 결과를 얻을 수 있었겠지만 환자분의 니즈에 있어서 앞니만교정을 빠르게 원했던 사례이기 때문에 앞니 부분의 과잉치 발치 후 앞니만교정을 부분적으로 진행했어요



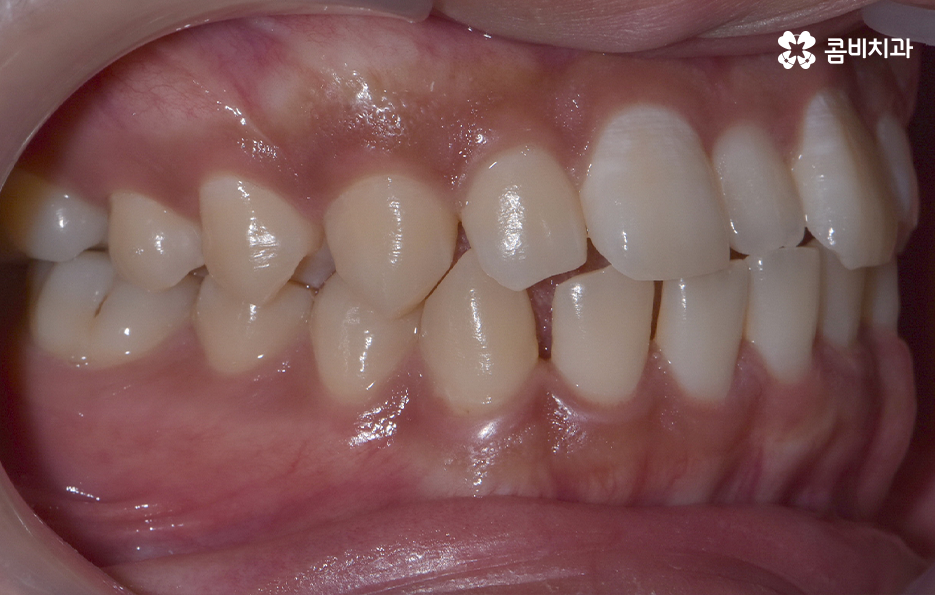
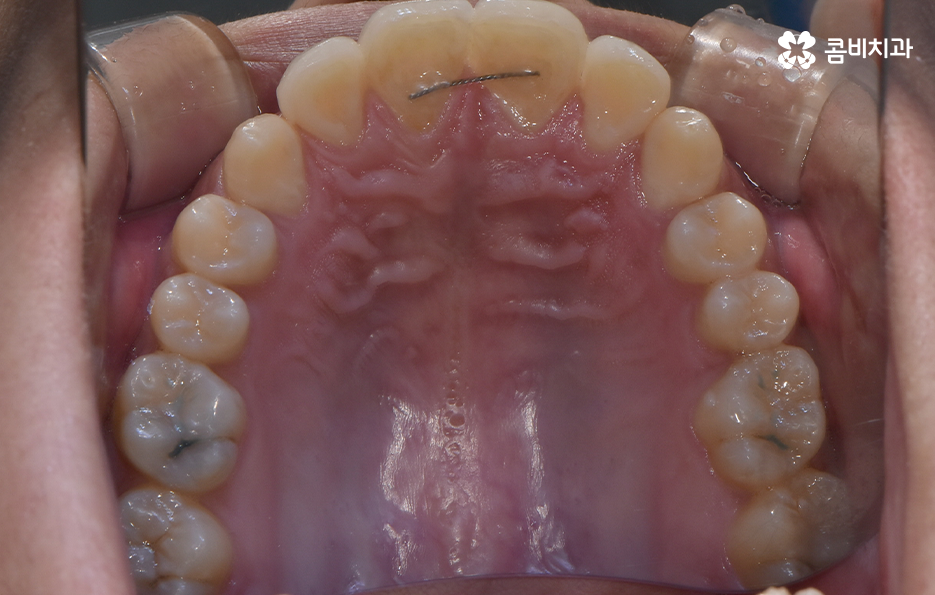
과잉치로 인해서 치아 배열이 전체적으로 불규칙해지는 경우도 있고 돌출입의 형태로 나타는 경우도 있지만 다행이도 입술라인이나 얼굴형에 있어서 돌출은 크지 않은 상태였다는 점도 앞니만교정을 해도 어느정도 좋은 결과를 낼 수 있던 케이스로 볼 수 있어요



과잉치로 인해 말그대로 치아의 정상 범위 이상으로 치아가 배열되기 때문에 다른 치아의 배열에도 악영향을 주는 경우가 많지만 위 환자분의 케이스의 경우에는 치열 자체는 전체적으로 가지런한 편이라는 점과 특히 턱뼈가 넓은 편이라는 점에서 전체교정을 하지 않았어도 환자분이 원하는 치료의 목표는 달성할 수 있었어요

앞니만 부분교정을 하면 치료 기간이 얼마나 걸리나요
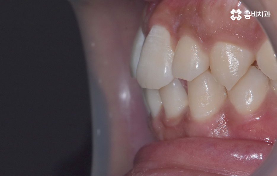
치아교정 기간은 각 환자분들에 따라 천차만별이기 때문에 정확하게는 각 환자분들의 상태를 직접 확인해봐야 하며 누구나 앞니만 부분적으로 교정이 가능한 것은 아니기 때문에 정밀검진이 우선적으로 필요하며 위 환자분의 경우에는 과잉치를 발치하고 교정기 장착 후에 약 6개월 정도가 지나서 교정기를 떼어낼 수 있었어요
앞서 말씀드린 것처럼 치열 전체로 보자면 전체교정을 통해 보다 심미적이고 치아의 건강, 기능적인 부분을 좀더 개선할수도 있었겠지만 오랫동안 앞니로 인해 콤플렉스를 갖고 지내다보면 앞니만이라도 빠르게 결과를 얻고 싶어 하는 환자분의 니즈도 있게 되고 전체교정을 하면 그에 따른 교정 기간과 비용적인 부분도 크게 증가하기 때문에 앞니 위주로 교정을 한 사례라고 보면 좋을 거예요




오늘 보여드린 케이스는 과잉치를 개선하면서 앞니의 치열도 함께 개선한 사례라면 요즘은 앞니가 약간만 벌어져도 교정을 고민하시는 분들도 많기 때문에 유독 앞니 위주로 벌어져서 고민이거나 나이가 들면서 잇몸이 약해지고 치열의 일부가 틀어진 경우에도 부분교정과 같은 치료 방법이 활용될 수 있는데요
치아 사이가 벌어지면 심미적인 부분에 있어서 불만족을 느끼거나 콤플렉스로 여길 수도 있으나 치아 기능과 건강적인 부분에 있어서도 안좋을 수 있기 때문에 치아교정을 적절히 활용하신다면 많은 도움이 되실 거예요


과잉치로 인해서 고민하시는 분들이나 치열 상태가 대체적으로 가지런한 편이지만 특정 부위 위주로 벌어지거나 틀어져서 고민하는 분들의 경우 오늘 치료 사례를 참고하시면 좋을듯 하며 타인의 치아교정 사례는 참고만 해주시고 자신의 상태에 적합한 치료 계획을 1:1 맞춤형으로 잘 세워야 한다는 점을 명심하셔서 치아교정에 대한 관심이 있다면 꼭 정밀검진 후 교정 전문의와의 충분한 상담을 바탕으로 치료 계획을 잘 세우시길 바라고 있어요
본 글은 콤비치과의 의료광고 포스팅입니다.
개인에 따라 출혈 및 부작용이 발생할 수 있고,
환자마다 치료 결과 및 기간이 상이할 수 있으므로,
정확한 치료 기간 및 치료 계획은
치과에서 상담을 받아보시길 권장 드립니다.