명동콤비치과의원 (명동)
치주염 발치 이렇게나 심각하네요
흔히 치아의 청결 관리가 잘 안되면 충치로 인해 고생을 하게 되고 치아를 잃게 될 수 있다고 알려져 있지만 중년이후에 노년기에 이르기 까지 점점 치주염으로 인해 고생하는 분들이 급증하고 있는데요. 잇몸 병은 30대 이후에 급격히 증가하지만 초기에는 치은염으로 잇몸의 겉부분이 붓는 정도로 출혈이나 붓기가 다소 불편한...
아카이브 요약
이 페이지의 역할
명동콤비치과의원 (명동)의 네이버 블로그 원문을 보존한 아카이브 페이지입니다. 치아스토리♡ 카테고리의 치주염 발치 이렇게나 심각하네요 글을 통해 병원의 한국어 정보 제공 방식과 진료 관련 안내 톤을 확인할 수 있습니다.
흔히 치아의 청결 관리가 잘 안되면 충치로 인해 고생을 하게 되고 치아를 잃게 될 수 있다고 알려져 있지만 중년이후에 노년기에 이르기 까지 점점 치주염으로 인해 고생하는 분들이 급증하고 있는데요. 잇몸 병은 30대 이후에 급격히 증가하지만 초기에는 치은염으로 잇몸의 겉부분이 붓는 정도로 출혈이나 붓기가 다소 불편한 느낌이 들다가 호전되었다가 반복되기도 한다면 치주염으로 심해지면 잇몸 뼈에 문제가 생기기 때문에 식사를 하는 것도 어려울 정도로 일상에 지장을 느끼고 극심한 통증을 느낄 수도 있어요


치주염으로 발치 하게 되었어요. 임플란트를 하면 되는거 아닌가요?
요즘은 치아를 잃게 되면 임플란트를 떠올리시는 분들이 대부분인데 임플란트는 이제 대중적으로 자리 잡은 치료이고 초기에 비해 비용도 저렴해졌으며 한국의 임플란트 기술력은 상당히 높은 수준으로 상향평준화 되었다고 볼 수 있어요. 하지만 치아를 잃게 되면 임플란트 하면 된다는 생각으로 가볍게 생각하기에는 임플란트 치료가 간단하지 않을 수 있는데 특히 치주염으로 인해 잇몸 뼈가 녹게 되고 치아가 흔들려서 발치하게 된 경우에는 이미 잇몸도 얇아지고 내려앉은 경우가 대부분이고 부족한 잇몸 뼈의 두께와 깊이를 확보하기 위해 뼈이식을 해야 하는 경우가 상당하다고 볼 수 있어요
임플란트는 티타늄 재질의 인공치근을 잇몸 뼈에 식립하는데 티타늄은 잇몸 뼈와 골유착이 되기 때문에 임플란트를 통해 자연치아에 버금가는 저작기능을 수복할 수 있는데요. 임플란트의 중요한 치료 단계는 잇몸 뼈에 골유착이 되는 과정이고 임플란트가 충분한 저작력을 얻기 위해서는 잇몸 뼈의 두께나 깊이, 골질이 어느정도 단단하게 확보되어야 하기 때문에 임플란트 시술 전 잇몸 상태를 회복하는 과정이 필요하며 잇몸이 약한 분들의 경우에는 뼈이식이 꼭 필요할 수 있어요

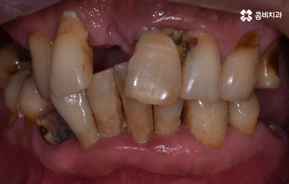
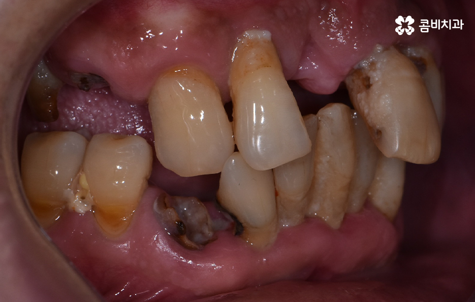
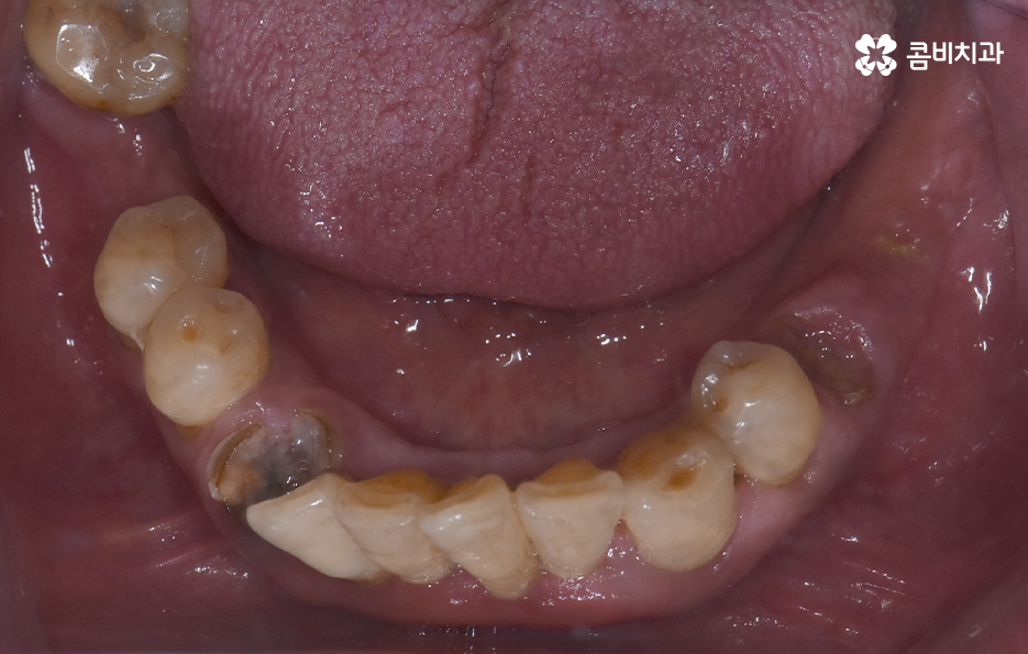
치주염으로 인해 잇몸이 내려앉고 치아의 뿌리가 흔들려서 발치했어요
위 환자분의 엑스레이 사진을 보면 치아의 뿌리 부분에 가깝게 잇몸이 내려앉은 것을 볼 수 있는데 치아의 구조에서 뿌리쪽은 법랑질이 없기 때문에 잇몸이 내려앉고 잇몸 뼈가 치주염으로 녹게 되면 치아가 너무 아파서 식사를 하기에도 어렵고 물 한잔만 마셔도 이가 시릴 정도로 일상에 지장을 느끼실 수 있어요
결국 치아가 흔들릴 정도까지 잇몸 뼈가 녹고 치아의 뿌리도 함께 손상된다면 발치로 이어지겠지만 임플란트의 과정은 잇몸이 건강하신 환자분들과 잇몸이 약해지고 얇아지신 분들의 경우에는 치료적인 접근이 달라지기 마련인데 일반적인 임플란트의 경우 치아를 발치하고 임플란트를 올리기 까지 약 5~6개월 정도가 소요된다면 잇몸 뼈가 녹을 정도로 잇몸이 약해진 분들의 경우에는 뼈이식을 포함하여 경우에 따라서는 1년까지도 치료 기간이 걸릴 수 있기 때문에 임플란트 치료 역시도 어려운 과정을 겪게 될 수 있다는 점에서 치주염 발치의 경우 결코 가볍지 않은 시술 과정이 동반될 수 있어요



치아는 나이 들면 어쩔 수 없이 빠지는거 아닌가요
과거에는 60대 이후에 치아를 상당 수 잃게 되면 큰 치료 방법이 없어서 결국 틀니를 했던 경우도 많았다면 요즘은 임플란트 기술이 대중화 되었기 때문에 치아를 잃기 시작한 초반에 임플란트 시술도 잘 받아주시고 잇몸 뼈가 약해지는 것을 미연에 잘 방지하는 방법을 권하고 있어요
치아가 조금이라도 덜 결손되었을 때 임플란트를 통해 치아의 기능을 수복해주면 잇몸 뼈가 흡수되는 것을 방지할 수 있으며 치아의 심미성과 기능적인 부분을 회복할 수 있기 때문에 틀니를 하지 않아도 임플란트를 통해 치아 기능을 유지할 수 있는데요
치주염 발치 하게 되는 상황이 악화되고 있음에도 그대로 방치하게 되는 경우에는 치주염이 주변 잇몸에도 악영향을 주기 때문에 치아의 수명이 급격히 저하되는 경우가 많으며 치아와 잇몸 건강의 악화는 치매 뿐 아니라 전신건강에도 악영향을 줄 수 있다는 점에서 노년기에도 적극적인 치과 치료를 권장하고 있어요



대부분의 치아를 잃게 된 경우에는 어떻게 하나요
고령의 환자분들의 경우에는 잇몸 뼈의 상태 뿐 아니라 전신질환, 회복력을 함께 고려해야 하기 때문에 치료 계획에 있어서 보다 섬세하게 체크해야 하며 환자분의 잇몸 뼈 상태와 전신건강 그리고 경제적인 상황 등을 고려할 때 전체임플란트를 하게 되는 경우도 있지만 위 환자분의 사례처럼 임플란트를 최소한으로 식립하여 임플란트의 보철물을 연결하여 치아의 기능을 회복하는 경우도 있는데요


치주염 발치 해야 하는 상황으로 대부분의 치아를 잃게 된 경우이거나 임플란트를 여러개 식립하기에는 경제적 부담이 크다면 임플란트의 식립 개수는 최소화하고 보철물을 틀니처럼 사용하시는 경우도 있는데요. 앞니의 경우 식사 시에 치아에 받는 압력이 어금니에 비해 적은 편이지만 어금니의 경우 충분한 저작력을 유지하기 위해서는 충분한 두께의 잇몸 뼈에 임플란트를 식립해야 하기 때문에 잇몸 건강의 중요성에 대해 꼭 늦지 않게 신경써주시길 바라고 있어요
치주염 발치의 경우 대처가 늦어지면 늦어질수록 전체 잇몸 뼈 뿐 아니라 자연치아의 수명 저하가 급격히 안좋아질 수 있으며 임플란트 시술을 할 때도 큰 부담이 될 수 있는 만큼 한시라도 빠르게 치과에 방문하셔서 적절한 치료를 받아주시길 권하고 있어요
본 글은 콤비치과의 의료광고 포스팅입니다.
개인에 따라 출혈 및 부작용이 발생할 수 있고,
환자마다 치료 결과 및 기간이 상이할 수 있으므로,
정확한 치료 기간 및 치료 계획은
치과에서 상담을 받아보시길 권장 드립니다.
더 보기
이 병원의 공개 콘텐츠를 계속 살펴보세요
출처 아카이브로 돌아가 더 많은 글을 보거나, 병원 프로필로 이동해 다른 공개 채널도 함께 비교해보세요.