아카이브 요약
이 페이지의 역할
명동콤비치과의원의 네이버 블로그 원문을 보존한 아카이브 페이지입니다. 치아스토리♡ 카테고리의 임플란트 치조골 상태에 따라 치료 계획도 달라지나요 글을 통해 병원의 한국어 정보 제공 방식과 진료 관련 안내 톤을 확인할 수 있습니다.
원문 검증
필요하면 원문 블로그와 병원 프로필로 바로 이동해 문맥을 다시 확인할 수 있습니다.
출처 아카이브 열기아카이브된 블로그 글
명동콤비치과의원 · 콤비덴탈 치과의사 황용인
임플란트 치료 방법에 대해 좀더 자세히 알아보시면 어떤 분들은 뼈이식을 진행해야 하는 경우도 있고 그렇지 않은 케이스도 있는데 만약 자신에 뼈이식을 해야 한다는 이야기를 듣게 되었다면 왜 해야 하는 것인지 궁금하실 거예요 뼈이식은 어떤 경우에 해야 하는 것이고 해야 한다면 어떻게 하는 것이 좋을지 알아두신다면...
게시일
2024년 7월 25일
원문 기준으로 확인된 발행일입니다.
카테고리
치아스토리♡
원문 블로그 카테고리를 정리해 함께 표시합니다.
이미지 수
11
현재 아카이브에 연결된 이미지 수입니다.
아카이브 요약
명동콤비치과의원의 네이버 블로그 원문을 보존한 아카이브 페이지입니다. 치아스토리♡ 카테고리의 임플란트 치조골 상태에 따라 치료 계획도 달라지나요 글을 통해 병원의 한국어 정보 제공 방식과 진료 관련 안내 톤을 확인할 수 있습니다.
원문 검증
필요하면 원문 블로그와 병원 프로필로 바로 이동해 문맥을 다시 확인할 수 있습니다.
출처 아카이브 열기임플란트 치료 방법에 대해 좀더 자세히 알아보시면 어떤 분들은 뼈이식을 진행해야 하는 경우도 있고 그렇지 않은 케이스도 있는데 만약 자신에 뼈이식을 해야 한다는 이야기를 듣게 되었다면 왜 해야 하는 것인지 궁금하실 거예요
뼈이식은 어떤 경우에 해야 하는 것이고 해야 한다면 어떻게 하는 것이 좋을지 알아두신다면 임플란트 치료에 많은 도움이 될 수 있어요

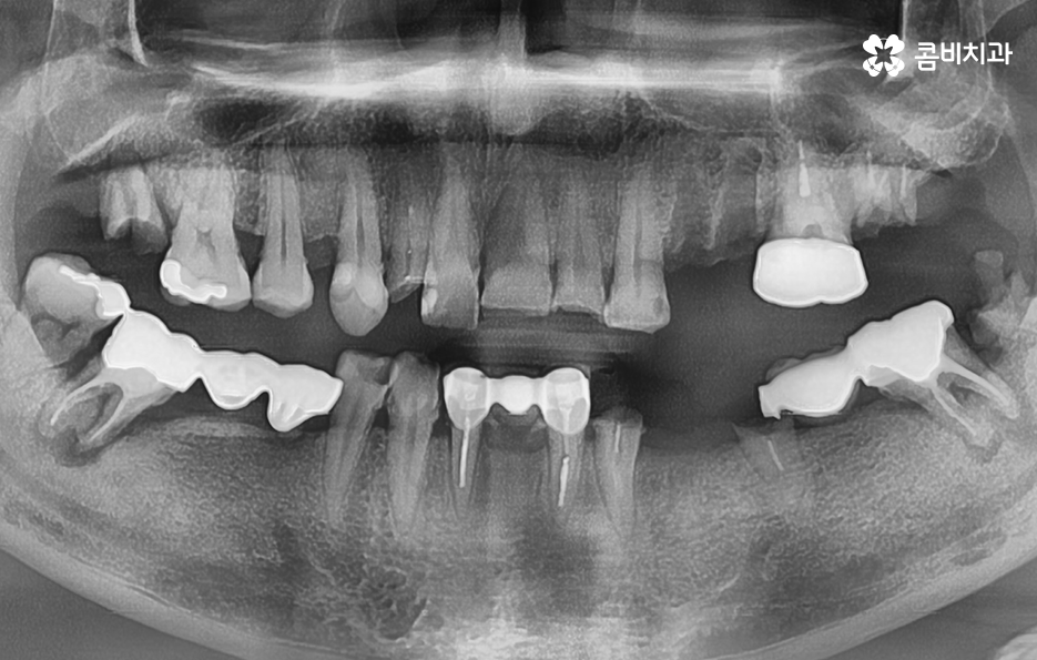
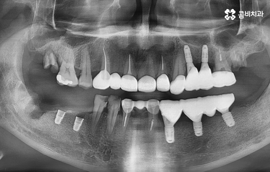
위 사진을 보시면 치아를 이미 잃은지 시간이 지난 상태의 치조골 즉 잇몸 뼈의 상태인 부위도 있고 어떤 치아는 거의 뿌리 부분만 남아 있으며 어떤 치아는 여러개의 보철물이 이어져 있는 상태인 경우도 있는데요
엑스레이 상태만 봐도 치아 저작 기능이 상당히 저하되어 있고 치아 상태가 매우 좋지 않음을 느낄 수 있을 정도인데 사실 임플란트를 필요로 하는 환자분들의 상당 수는 50대 이후부터 노년기에 치아 상실로 인한 임플란트의 필요성을 절실하게 느끼시는 분들이 많고 이미 여러 이유들로 인해 치아도 많이 발치된 경우도 있고 발치를 해야할 상황에서 임플란트를 알아보시는 분들이 많이 있어요
물론 30대 이전에도 치아를 잃게 되시는 분들도 많지만 일반적으로 40,50대 이전에는 충치나 사고로 인해 치아 하나 정도를 잃고 임플란트를 알아보시는 분들이 많고 잇몸이나 전신건강의 상태가 양호하신 분들이 많지만 50대 이후 특히 60대 이후에는 이미 치아를 잃고 시간이 지난 후에 임플란트를 하시는 분들과 치주염으로 인해 여러 치아를 잃게 되는 경우가 많기 때문에 위 엑스레이의 상태처럼 치아 뿐 아니라 잇몸 상태가 이미 안좋은 분들은 흔한 사례라고 할 수 있어요



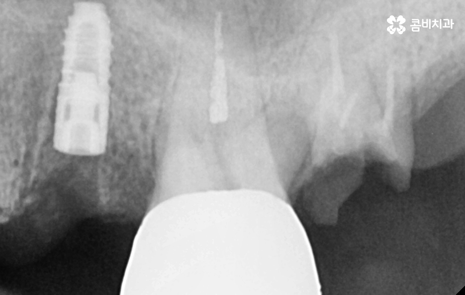
임플란트 시술 시에 치조골이 중요하다던데 이유가 뭔가요
우리가 흔히 치아의 수명이 다했다고 판단하는 기준에서 치아의 뿌리 쪽 상태를 매우 중요하게 보고 있는데 치아의 구조에서 신경조직의 손상은 신경치료 후 크라운을 씌워서 보존 치료가 가능하지만 충치가 심하거나 충치가 뿌리까지 진행되어 심하게 손상된 경우에는 결국 발치하게 되는 것처럼 임플란트의 치료 원리는 잇몸 뼈에 임플란트의 인공치근을 식립하여 잇몸 뼈와의 골유착 과정을 통해 이름 그대로 인공치아의 역할을 수행하게 되기 때문에 임플란트의 인공치근이 잇몸 뼈가 안정적으로 골유착이 되는 것이 임플란트 치료의 관건이 될 수 있어요
따라서 자연치아로 따지면 치아 뿌리의 역할을 하는 것이 잇몸 뼈에 식립된 임플란트의 인공치근이 그 역할을 하고 있기 때문에 특히 어금니 처럼 저작력에 있어서 중요한 치아 부위에 임플란트를 식립할 경우에는 저작력을 감당하기 위해 그만큼 잇몸 뼈의 상태가 충분해야 하는데 잇몸 뼈의 두께와 깊이, 골질이 충분히 확보된 상태에서 임플란트를 식립해야 하므로 잇몸 뼈가 부족한 경우에 뼈이식을 추가적으로 진행하고 있어요



임플란트 치조골이 중요한건 알겠는데 어떤 경우에 잇몸 뼈가 부족해지나요
치아는 발치 후에 서서히 잇몸이 흡수되고 내려 앉게 되는데 이미 치아를 잃고 오랜 시간이 지난 분들의 경우에는 잇몸 뼈가 흡수되어 치조골 상태가 갈수록 얇아지고 내려앉은 상태일 수 있어요
또한 노년기에는 치주염으로 인해 치아를 잃게 되는 경우가 상당히 많은데 치주염으로 인해 잇몸 뼈가 녹은 경우에는 임플란트를 하기에는 잇몸 뼈가 부족하고 골질의 상태가 좋지 않은 경우도 많기 때문에 임플란트 치조골 상태를 건강하게 확보하기 위해 뼈이식을 진행할 수 있어요


임플란트 치조골 어떻게 뼈이식을 하면 될까요
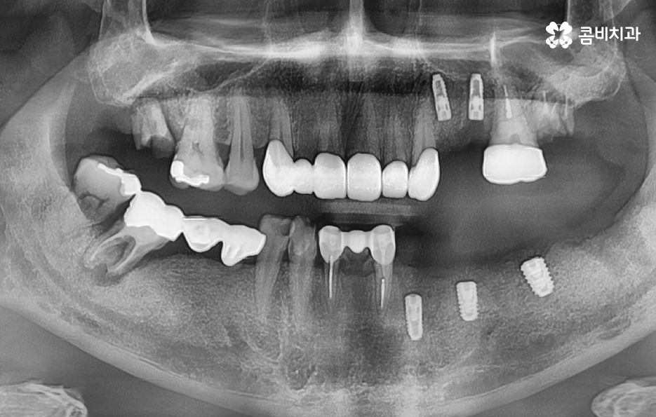
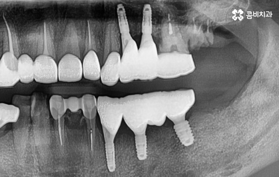
앞서 설명드린 이유로 잇몸 뼈의 상태가 부족하신 분들의 경우에는 뼈이식을 추가적으로 진행하여 자신의 뼈처럼 단단하게 굳게 되면 일반적으로 건강한 잇몸 뼈를 가진 분들과 거의 동일하게 임플란트 수명이 유지된다고 보면 될 거예요
뼈이식이라고 하면 아무래도 어떤 뼈를 이식한다는 것인지 어렵게 느껴지기 쉬운데 일반적으로 치과 임플란트 뼈이식에 사용되는 뼈의 형태는 가루 상태의 뼈를 반죽 처럼 만들어서 잇몸 뼈에 이식한다고 이해하시면 되는데 뼈이식이라고 해서 통증이나 출혈이 더 심해지거나 그런 것은 아니기 때문에 너무 우려하실 필요는 없다고 볼 수 있어요


임플란트 시술 전과 후에는 모두 임플란트 치조골 상태의 중요성이 무척이나 크며 시술의 성공률에도 크게 중요하며 시술 후 수명 유지를 좌우할 정도 임플란트 치료에 있어서 치조골의 상태는 무척이나 중요하다고 이해하시면 좋을 거예요
치주염으로 치아를 잃게 되신 분들의 경우 아무래도 시술 후 잇몸이 다시 나빠지면 어떨까 걱정하시는 분들도 많겠지만 임플란트 시술 이전에 치주염이 있었던 것은 임플란트 치료를 잘 받고 나면 그대로 치주염이 이어지는 것이 아니라 새롭게 잘 관리하면 되기 때문에 시술 전에 잇몸 문제가 있었다고 해서 너무 걱정하실 필요는 없지만 자연치아 이상으로 임플란트는 청결관리를 꼼꼼하게 해야 하고 주기적으로 검진과 사후관리도 잘해야 한다는 점을 명심하시고 치과 치료를 잘 받으시길 바라고 있어요
본 글은 콤비치과의 의료광고 포스팅입니다.
개인에 따라 출혈 및 부작용이 발생할 수 있고,
환자마다 치료 결과 및 기간이 상이할 수 있으므로,
정확한 치료 기간 및 치료 계획은
치과에서 상담을 받아보시길 권장 드립니다.