아카이브 요약
이 페이지의 역할
명동콤비치과의원의 네이버 블로그 원문을 보존한 아카이브 페이지입니다. 치아스토리♡ 카테고리의 아랫니교정 이렇게만 파악하시면 됩니다 글을 통해 병원의 한국어 정보 제공 방식과 진료 관련 안내 톤을 확인할 수 있습니다.
원문 검증
필요하면 원문 블로그와 병원 프로필로 바로 이동해 문맥을 다시 확인할 수 있습니다.
출처 아카이브 열기아카이브된 블로그 글
명동콤비치과의원 · Naver Blog
치아교정을 알아보시는 분들 중에서는 앞니만 유독 고민이 되거나 윗니 혹은 아랫니 위주로 교정을 고민하시는 분들도 있는데요. 치열 중에서도 유독 이처럼 특정 부위 위주로 치열이 불규칙 하거나 혹은 돌출되어 있고 아니면 반대로 너무 안으로 치열이 들어와 있다면 부분적인 교정이 가능한지도 궁금하실 거예요 오늘은 아랫...
게시일
2024년 7월 28일
원문 기준으로 확인된 발행일입니다.
카테고리
치아스토리♡
원문 블로그 카테고리를 정리해 함께 표시합니다.
이미지 수
15
현재 아카이브에 연결된 이미지 수입니다.
아카이브 요약
명동콤비치과의원의 네이버 블로그 원문을 보존한 아카이브 페이지입니다. 치아스토리♡ 카테고리의 아랫니교정 이렇게만 파악하시면 됩니다 글을 통해 병원의 한국어 정보 제공 방식과 진료 관련 안내 톤을 확인할 수 있습니다.
원문 검증
필요하면 원문 블로그와 병원 프로필로 바로 이동해 문맥을 다시 확인할 수 있습니다.
출처 아카이브 열기치아교정을 알아보시는 분들 중에서는 앞니만 유독 고민이 되거나 윗니 혹은 아랫니 위주로 교정을 고민하시는 분들도 있는데요. 치열 중에서도 유독 이처럼 특정 부위 위주로 치열이 불규칙 하거나 혹은 돌출되어 있고 아니면 반대로 너무 안으로 치열이 들어와 있다면 부분적인 교정이 가능한지도 궁금하실 거예요
오늘은 아랫니만 교정을 한 사례를 통해서 이와 같은 고민을 하는 분들에게 도움이 될 만한 치아교정 정보를 알아보려고 하고 있어요
흔히 치아를 상실하게 된 경우에는 그냥 방치할 경우 주변 치아가 쓰러지거나 치열이 망가질 우려가 있다는 점에서도 임플란트를 꼭 해야 할 수 있는데요. 치아는 그냥 하나씩 단독으로 존재하고 있는 것이 아니라 옆의 주변치아와의 관계성 그리고 윗니와 아랫니의 교합을 충분히 고려하고 치아교정을 계획해야 할 수 있어요
그 뿐 아니라 환자분들마다 다른 골격적인 부분과 얼굴형까지도 고려해야 하기 때문에 아랫니교정을 고민하더라도 실질적으로는 아랫니만 교정을 진행하는 것이 아닌 전체교정을 해야 하는 경우가 보편적으로 더 많을 거예요



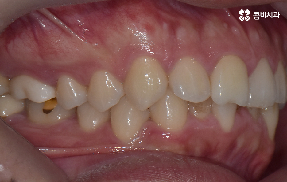
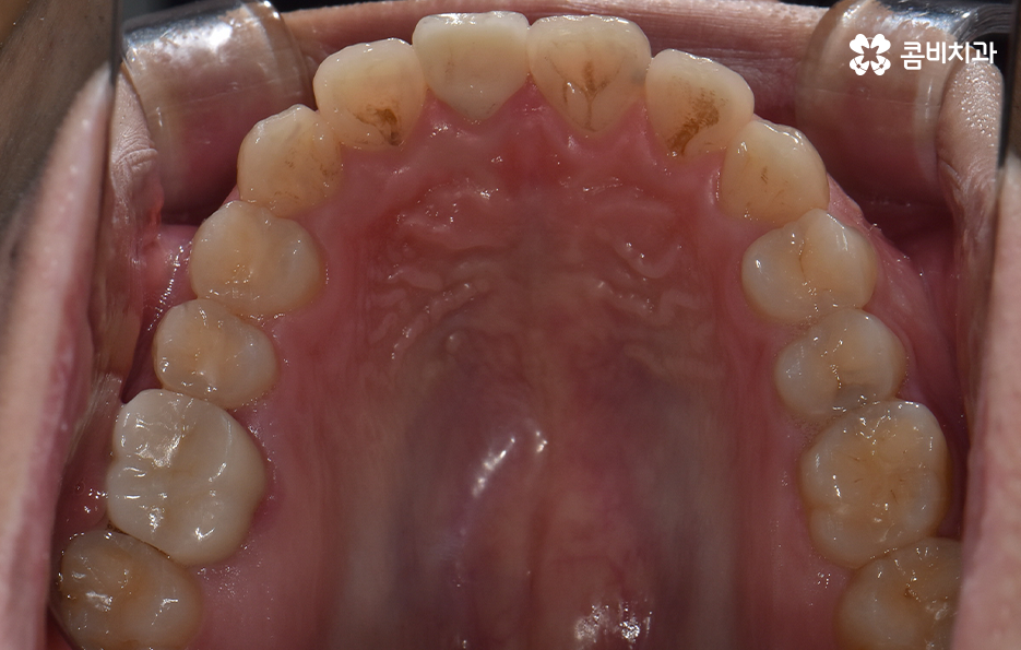
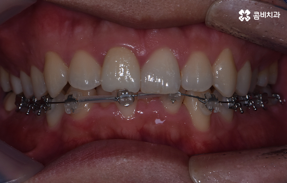
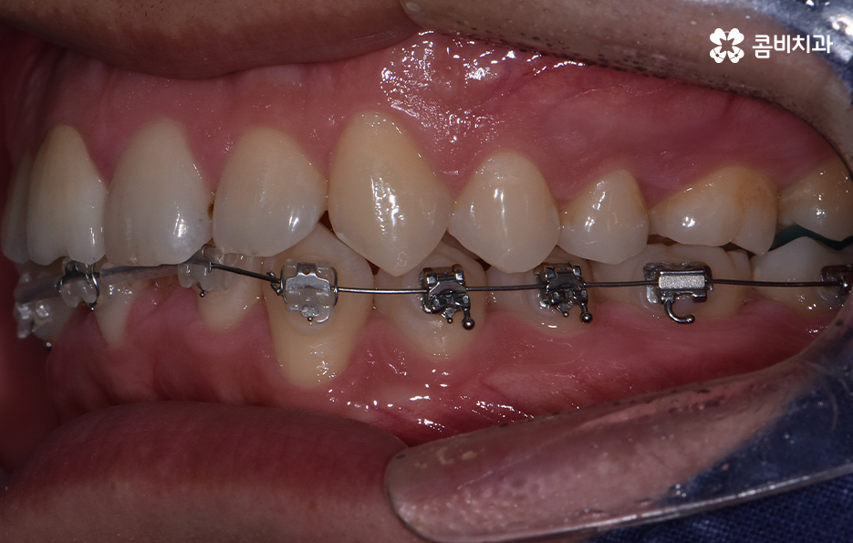
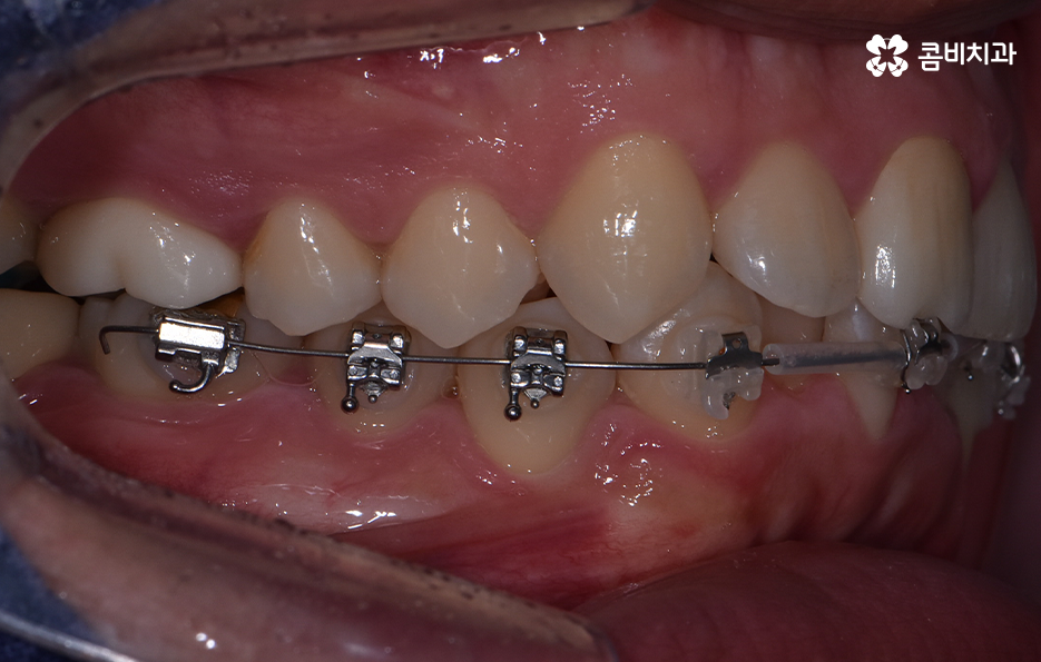
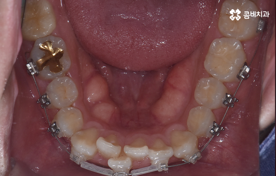
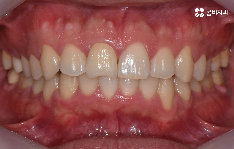
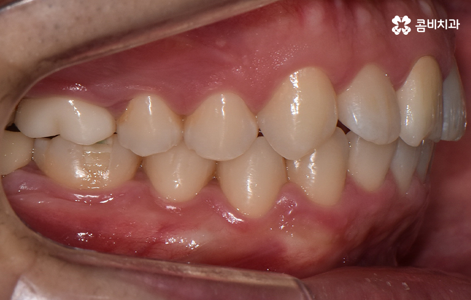
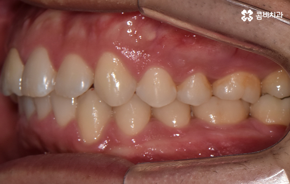
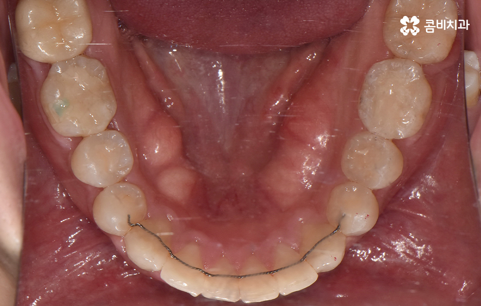
하지만 위에 보시는 환자분의 사례는 윗니와 아랫니의 교합을 고려하고 얼굴형, 골격 등을 고려했을 때도 아랫니만 교정이 가능했던 사례인데 일반적으로 윗니가 아랫니를 살짝 덮고 있어야 하는데 아랫니의 앞니 부분이 유독 안으로 들어와 있었기 때문에 아랫니교정 만으로도 치아교정이 가능했던 사례라고 보시면 좋을 거예요


전체교정을 꼭 해야 하거나 발치 교정은 어떤 경우에 해야 하나요
일반적으로 교정 치료에는 전체교정 사례가 많은 편이고 덧니 교정이나 돌출입 교정에서는 발치 교정 사례도 많이 있는데요. 꼭 전체교정을 하거나 발치교정을 하는 사례에 대해 이해하시면 반대로 부분교정이나 윗니 혹은 아랫니교정 만으로도 치료가 가능한 사례에 대해 이해할 수 있어요
치아교정 계획은 기본적으로 치열과 교합, 골격과 얼굴형을 종합적으로 따져보고 치아교정 후의 변화 결과를 미리 잘 예측하여 치료 계획이 세워지고 있는데요
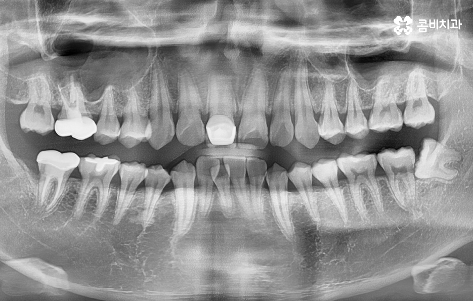
치아교정은 치열을 재배열하는 과정이라고도 볼 수 있기 때문에 치아가 이동할 수 있는 공간 확보가 필요하며, 어느정도까지 치아를 이동시킬지 예측하는 과정이 초기 치아교정을 위한 정밀검진 과정과 교정 전문의와의 상담 과정에서 알게될 수 있어요
위 환자분의 사례로 보면 아랫니 중에 하나가 유독 앞으로 튀어나와 있고 나머지 치아는 안으로 들어가 있기 때문에 교합으로 따져볼 때는 아랫니를 전체적으로 앞으로 이동시켜야 했기 때문에 비발치로도 충분히 교정이 가능했고 아랫니교정 만으로도 치료가 가능했어요




단순히 내가 아랫니교정을 원한다고 해서 누구나 가능한 것이 아니라 종합적으로 치열과 골격, 얼굴형 등을 따져봤을 때 가능하신 케이스에는 전체교정이 아닌 치아의 일부분 혹은 아랫니만 교정도 가능할 수 있는 거예요
덧니 교정 사례에서 발치교정 사례가 많은 이유도 덧니 자체의 불규칙함이 심한 이유도 있겠지만 치료 목표에 있어서 돌출입이나 측면 입술라인 등을 고려할 때 얼굴변화를 고려하여 치아를 많이 이동시켜야 하는 치료 목표를 세우는 경우가 많기 때문에 작은 어금니 4개를 발치하여 치아를 이동시키는 경우가 많이 있는데요
만약 자신이 치아교정에 대해 고민한다면 이처럼 치열만이 아니라 종합적인 관점에서 필요에 의해 교정 방법이 달라진다는 점을 참고하시고 정밀 검진부터 받아보시면 좋을 거예요




치아교정 계획을 세울 때 발치 혹은 비발치 교정의 여부는 치아를 이동시킬 공간의 확보를 어느정도 할지에 따라 달라지기 때문에 단지 돌출입 교정이라고 해서 누구나 발치를 하는 것은 아니며 위에 보신 사례처럼 치아의 이동 공간을 크게 확보하지 않아도 되는 경우에는 애초에 비발치로 교정을 하는 것이 당연한 것이고 치아를 어느정도 이동시켜야 하더라도 꼭 발치 만이 아니라 비발치로도 치간삭제, 어금니 후방이동, 악궁확장과 같은 방법으로도 치아 이동 공간을 확보하는 방법이 있기 때문에 자신에게 맞는 치료 계획을 세우는 것이 무엇보다 중요하다는 것을 알 수 있어요


이처럼 치아교정의 계획은 각 환자분들에 따라서 천차만별로 달라지고 만약 비슷한 아랫니교정에 대한 고민을 하시는 분들이더라도 디테일한 치료 계획은 치열만이 아니라 골격과 얼굴형도 고려하여 세워야 하기 때문에 환자분들에 따라 전혀 다른 치료 계획이 세워질 수 있다는 점을 알아두시길 바라고 있어요
그렇기 때문에 치아교정에 대해 고민하신다면 자신의 상태를 먼저 3D CT 등으로 정확히 확인하시고 교정 전문의와 충분히 상의하셔서 자신에게 적합한 치료 계획을 1:1로 먼저 세워보시고 치료 목표를 먼저 세운 후에 하나씩 따져보시는 것이 가장 빠르고 정확한 치아교정 계획이 접근 방법이 될 거예요
본 글은 콤비치과의 의료광고 포스팅입니다.
개인에 따라 출혈 및 부작용이 발생할 수 있고,
환자마다 치료 결과 및 기간이 상이할 수 있으므로,
정확한 치료 기간 및 치료 계획은
치과에서 상담을 받아보시길 권장 드립니다.