명동콤비치과의원 (명동)
임플란트 치료기간 어느정도 걸리고 치과에는 몇번 가나요
치아를 잃게 된 원인이 치아 자체의 충치나 손상 등으로 발생된 경우에는 되도록 자연치아를 보존하는 쪽으로 치료 계획이 세워지다가 한계가 있을 때 결국 발치로 이어지기 때문에 많은 환자분들께서 치과에 방문하실 때 대체적으로 치아를 살릴 생각으로 방문하지 발치 후 임플란트 생각을 미리하고 찾는 것은 아니기 때문...
아카이브 요약
이 페이지의 역할
명동콤비치과의원 (명동)의 네이버 블로그 원문을 보존한 아카이브 페이지입니다. 치아스토리♡ 카테고리의 임플란트 치료기간 어느정도 걸리고 치과에는 몇번 가나요 글을 통해 병원의 한국어 정보 제공 방식과 진료 관련 안내 톤을 확인할 수 있습니다.
치아를 잃게 된 원인이 치아 자체의 충치나 손상 등으로 발생된 경우에는 되도록 자연치아를 보존하는 쪽으로 치료 계획이 세워지다가 한계가 있을 때 결국 발치로 이어지기 때문에 많은 환자분들께서 치과에 방문하실 때 대체적으로 치아를 살릴 생각으로 방문하지 발치 후 임플란트 생각을 미리하고 찾는 것은 아니기 때문에 임플란트 치료를 하게 될 때 갑작스럽게 느껴지는 분들이 많을 거예요
그렇기 때문에 갑자기 임플란트를 치료하게 될 경우에는 아무래도 임플란트 치료기간 부터 궁금하고 치료가 끝나기 까지 어느정도의 비용과 기간, 치과 방문 횟수는 어떠한지 예상이 되어야만 일상생활도 해야한다는 점에서 큰 궁금증이 될 수 있는데요

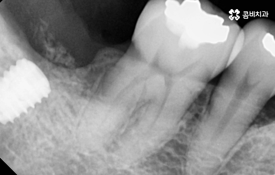
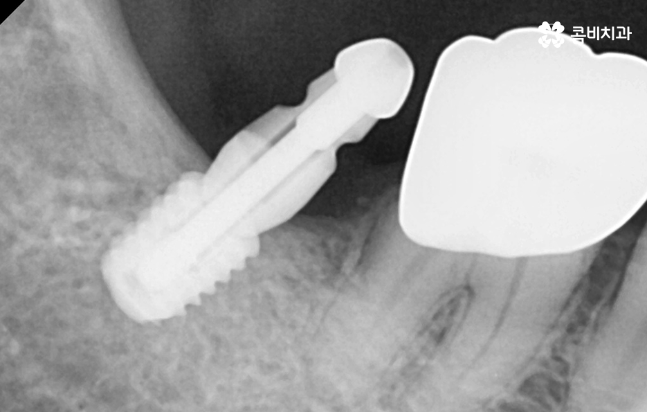
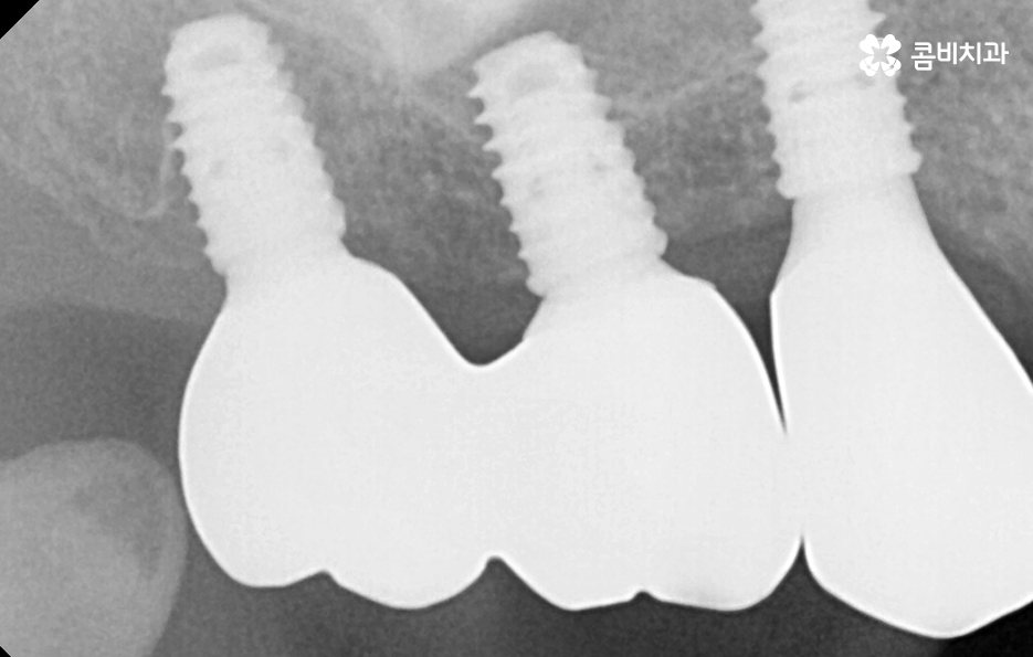
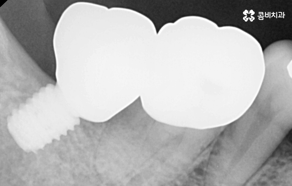
우리가 보편적으로 생각하게 되는 임플란트 치료기간의 경우 치아 하나를 상실하고 임플란트를 1:1로 치료할 때 예상 기간에 대해서 고려하게 되는 경우가 기본적인 접근 방법이라면 실질적으로 치과에서 임플란트를 하게 되는 연령대를 보더라도 보통 50대에서 60대 이후에 치아를 상실하게 되는 환자분들이 급증하기 때문에 위 사진의 사례처럼 여러 치아를 상실하고 임플란트를 식립하게 되는 경우도 많을 거예요


일반적인 임플란트 치료 기간은 얼마나 걸리나요?
임플란트의 치료기간은 환자분들의 건강 상태나 임플란트를 식립할 치조골의 상태에 따라서 개인차가 있는데 잇몸 상태가 건강하다고 가정하고 설명드리면 임플란트 치료를 위한 치과 방문 횟수는 45회 정도로 예상하면 되시고 임플란트의 치료 기간은 약 34개월 정도 소요되고 있는데요
치아 발치를 시작점으로 임플란트 치료 기간을 계산한다면 보통 치아 발치 후에 잇몸이 회복되는 기간을 약 2~3개월정도 예상하기 때문에 임플란트의 총 기간은 치아 발치 시작점부터 임플란트의 완성까지 대략적으로 약 6개월 정도 예상하시면 될 거예요.
또는 발치 후 즉시 뼈이식을 하고 임플란트를 식립하는 경우도 있는데요. 이 경우에도 총 치료 기간은 잇몸뼈의 상태에 따라 5~6개월 정도 시간이 소요될 수 있어요.

임플란트를 여러개 식립하면 더 오래 걸리나요?
물론 임플란트의 치료 계획에 따라 환자분들의 치료기간도 차이가 있겠지만 보편적으로는 임플란트를 여러개 식립한다고 해서 단순히 더 임플란트의 치료기간이 오래 걸리기 보다는 동시에 임플란트를 식립해도 임플란트 치료기간에서 중요한 골유착 기간은 비슷하기 때문에 식립 개수만큼 치료기간이 비례해서 늘어난다고는 볼 수는 없을 거예요
다만 잇몸을 절개하는 정도에 따른 차이와 현재 환자분의 건강 상태도 고려해야 하며 뼈이식이나 잇몸 이식술 같은 치료가 추가적으로 필요한 경우에 좀더 치료 기간이 늘어날 수 있는데요
기본적으로 뼈이식이 필요한 경우에는 치료기간이 짧게는 2개월에서 6개월까지도 늘어날 수 있고 그에 따라 치과의 내원 횟수도 2~3회 정도 더 늘어날 수 있어요.
또는 식립 위치에 따라서 좌, 우 부분적으로 임플란트가 모두 필요한 경우 한 번에 모두 식립을 할 경우 식사가 제한이 되기 때문에 한 쪽 먼저 치료하고 반대쪽을 치료하는 경우가 많아 총 기간은 치료 계획에 따라 차이가 있을 수 있어요.



원데이임플란트로 치료하면 치료를 하루만에 끝낼 수 있나요
원데이임플란트는 이름 때문에 하루만에 끝나는 것인지 오해하시는 분들도 많고 되도록 빠른 치료를 위해 원데이 임플란트를 우선적으로 알아보시는 분들도 많이 있는데요
원데이임플란트는 치아 발치 후에 즉시 임플란트의 매식체 즉 인공치근으로 불리는 임플란트의 뿌리 역할을 하는 부분을 잇몸 뼈에 식립하는 치료 방법인데 사실상 임플란트의 가장 중요한 치료 단계는 단순히 임플란트를 잇몸 뼈에 식립하는 것이 아니라 잇몸 뼈에 식립된 임플란트의 인공치근이 잇몸 뼈와 골유착이 안정적으로 진행되는 과정을 거치는 것이기 때문에 골유착 과정이 약 2~3개월 정도는 보통 걸리기 때문에 하루만에 끝나는 임플란트 치료 방법은 없다고 이해하시면 좋을 거예요




뼈이식을 하면 치료기간이 더 길어지는 건가요
우선 임플란트 치료에 있어서 뼈이식이 필요한 이유에 대해 이해하시면 좋은데 임플란트의 치료 과정에서 뼈이식을 추가적으로 진행하는 이유에는 임플란트를 식립할 잇몸 뼈의 충분한 두께와 깊이가 확보되지 않을 때 임플란트를 안정적으로 식립하기 위해 뼈이식이 진행되고 있는데요
뼈이식은 뼈가루를 말랑하게 점토처럼 반죽하여 잇몸 안에 이식을 하고 단단하게 기존의 뼈처럼 굳기 까지 평균적으로 약 2~4개월 정도가 걸리는데 환자분의 건강 상태에 따라서는 6개월 이상도 걸릴 수 있어요
뼈이식의 양은 환자분들에 따라서 차이가 있기 때문에 뼈이식을 하는 정도 차이와 현재 환자분의 전신건강, 잇몸 상태 등에 따라서 보통 차이가 난다고 보시면 좋을 거예요



종합해서 정리하면 임플란트 치료에서 가장 중요한 단계가 바로 잇몸 뼈에 임플란트 인공치근을 식립하여 안정적이고 건강하게 골유착이 진행되어야 한다는 점인데 환자분들에 따라서 치아의 상실 원인도 다르고 현재 잇몸 뼈의 상태와 전신질환의 유무 등이 다르기 때문에 정확한 치료 계획은 치과에서 정확하게 검진을 받고 판단하시길 바라고 있어요
임플란트 치료 단계에서 잇몸 뼈의 중요성이 큰 만큼 치료 후 유지관리에 있어서도 잇몸 상태가 임플란트의 수명을 좌우하게 된다고 볼 정도로 임플란트 치료에는 그만큼 잇몸 상태가 중요하다는 점을 꼭 이해하시길 바라며 장기적인 수명 유지를 고려하여 치료 계획을 세워야 하기 때문에 시술 후 오랫동안 믿고 찾을 치과도 잘 따져보셔야 할 거예요
본 글은 콤비치과의 의료광고 포스팅입니다.
개인에 따라 출혈 및 부작용이 발생할 수 있고,
환자마다 치료 결과 및 기간이 상이할 수 있으므로,
정확한 치료 기간 및 치료 계획은
치과에서 상담을 받아보시길 권장 드립니다.
더 보기
이 병원의 공개 콘텐츠를 계속 살펴보세요
출처 아카이브로 돌아가 더 많은 글을 보거나, 병원 프로필로 이동해 다른 공개 채널도 함께 비교해보세요.