명동콤비치과의원 (명동)
앞니 틀어짐 교정으로 해결하면 될까요
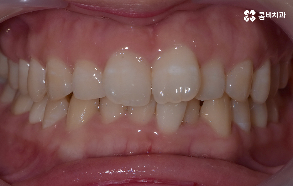
어릴 때부터 앞니가 유독 틀어져서 콤플렉스를 느끼다가 교정을 고민하시는 분들도 많지만 30대 이후에 나이가 들면서 잇몸도 조금씩 약해지고 예전에는 괜찮았는데 앞니가 벌어지기도 하고 틀어져서 고민하시는 분들도 많이 있는데요 웃을 때 유독 앞니 위주로 보이기 때문에 앞니만이라도 개선되길 원하시는 분들이 많기 때...
아카이브 요약
이 페이지의 역할
명동콤비치과의원 (명동)의 네이버 블로그 원문을 보존한 아카이브 페이지입니다. 치아스토리♡ 카테고리의 앞니 틀어짐 교정으로 해결하면 될까요 글을 통해 병원의 한국어 정보 제공 방식과 진료 관련 안내 톤을 확인할 수 있습니다.
어릴 때부터 앞니가 유독 틀어져서 콤플렉스를 느끼다가 교정을 고민하시는 분들도 많지만 30대 이후에 나이가 들면서 잇몸도 조금씩 약해지고 예전에는 괜찮았는데 앞니가 벌어지기도 하고 틀어져서 고민하시는 분들도 많이 있는데요
웃을 때 유독 앞니 위주로 보이기 때문에 앞니만이라도 개선되길 원하시는 분들이 많기 때문에 오늘은 앞니 틀어짐 교정에 대해 고민하시는 분들을 위해 치료 사례와 더불어 어떻게 치료 계획을 세우는 것이 좋을지 알아볼 거예요


앞니 틀어짐 앞니만 교정이 가능할까요?
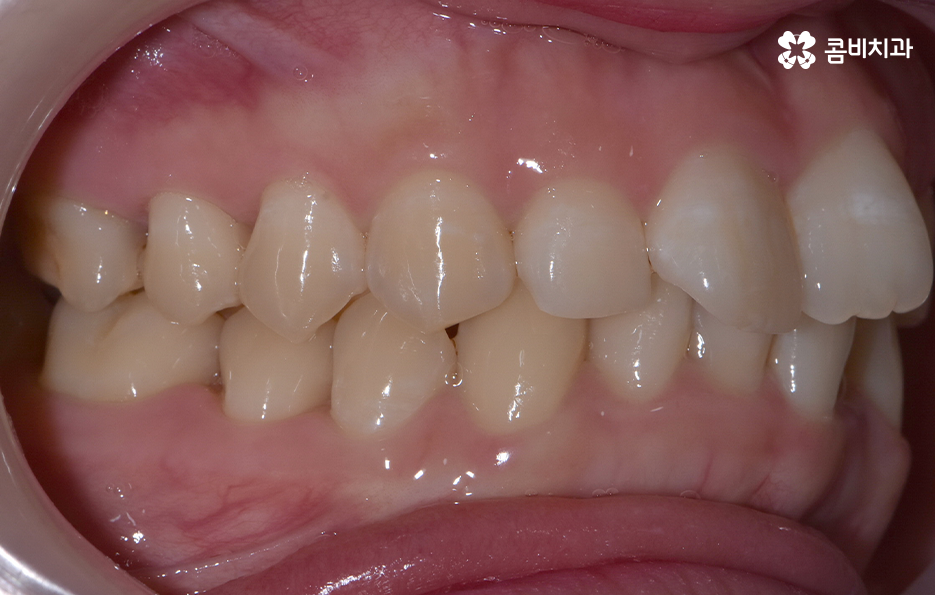
치아교정을 고민하는 초기에는 유독 눈에 띄는 앞니만이라도 교정을 했으면 하는 마음에 교정을 결심하게 되기도 하고 당장 앞니 만이라도 가지런해지길 바라는 마음에 라미네이트와 같이 빠른 결과를 얻을 수 있는 시술에 더 관심이 가는 분들도 많을 거예요
하지만 치아는 평생 건강하게 보존해야 하는 영구치이고 심미성 뿐 아니라 치아의 저작기능 등을 함께 고려해야 하기 때문에 치료 계획을 세우기 이전에 치열과 골격, 얼굴형 등을 종합적으로 정밀검진하고 그 결과를 토대로 치료 계획을 세우기 때문에 앞니 틀어짐 때문에 교정을 고민하더라도 전체 치열과 얼굴형, 교합 등을 고려할 때 꼭 전체교정을 해야 하는 경우가 있고 교합이나 전체적인 치열이 양호한 경우에는 앞니만 교정이 가능한 경우도 있어요
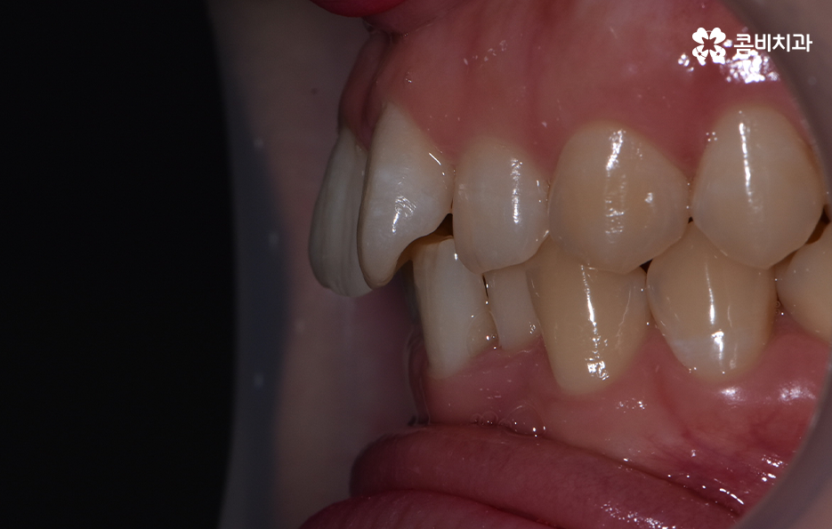
오늘 앞니 틀어짐 교정의 사례에는 전체교정을 통해 치료가 진행되었는데 윗니의 앞니 뿐 아니라 아래쪽 앞니의 덧니도 함께 교정을 해야 하고 치아를 가지런하게 재배열 하기 위해서는 전체 치열의 악궁 확장도 필요했기 때문에 전체 교정이 적합했던 사례였다고 이해하시면 좋을 거예요




나이가 들수록 앞니 틀어짐이 심해지는데 교정해야 하나요?
나이가 들면서 점점 치열이 틀어지거나 앞니 벌어짐 등이 발생되는 경우에는 보편적으로는 치주질환이 주된 원인이 되고 있으며 치아를 지탱해주는 잇몸의 힘이 점점 약해지면서 치아가 틀어지거나 벌어지기도 하며 이러한 증상이 발생되기 시작할 때 적절한 치료를 받지 않는다면 치열의 변화가 더 빠르게 가속화될 수 있기 때문에 원인치료가 중요하다고 볼 수 있어요
과거에는 나이가 들면서 조금씩 치아가 틀어지거나 벌어져도 노화의 일종으로 생각하고 그러려니 하고 넘어 갓던 경우가 더 많았다면 현대에는 중장년 이후에도 외모 관리의 중요성에 대해 크게 생각하기 때문에 적극적인 치료를 받고자 하는 분들이 늘고 있어요
치열이 틀어지면 심미적으로도 좋지 않지만 칫솔질이 잘 닿지 않아 발생되는 치석으로 인해 구강질환의 위험도 더 커질 수 있고 그로 인해 잇몸이 더 약해지는 악순환이 발생되기도 하기 때문에 치열의 변화를 느끼는 초기에 교정 치료와 원인 치료를 함께 병행하는 것을 권하고 있는데요
치열이 한번 틀어지면 문제의 원인을 개선해도 알아서 다시 되돌아가지 않기 때문에 교정 치료가 꼭 필요할 수 있겠고 치아가 틀어진 원인에 대해서도 식습관이나 생활습관적인 부분에서 꼭 제때 개선을 해줘야만 문제가 더 심해지지 않고 초기에 개선할 수 있다는 점에서도 습관 개선이 함께 필요할 수 있어요





저는 부분교정을 하고 싶은데 꼭 전체교정으로 해야 하나요
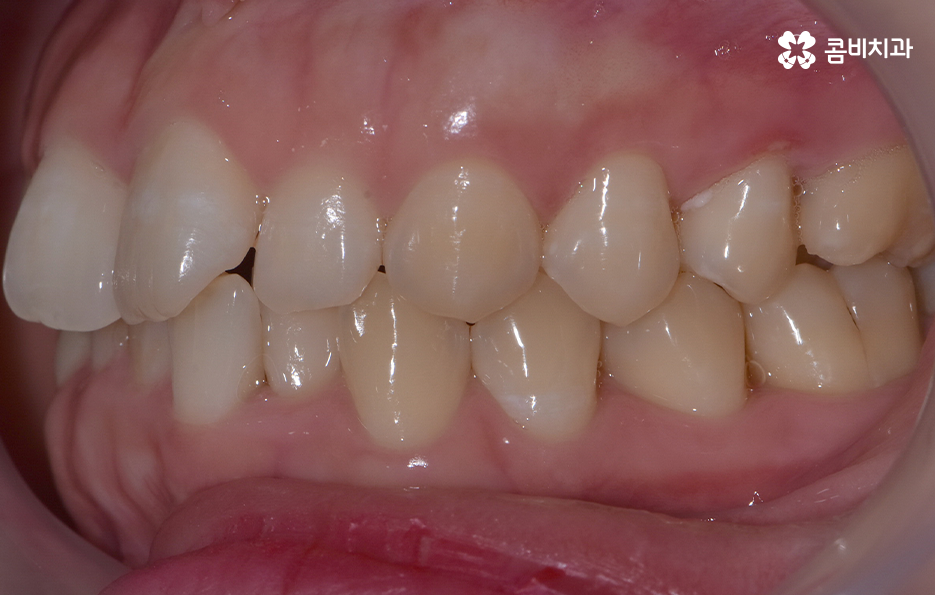
앞니 틀어짐 교정에 있어서 전체 치열이 양호한 편이었으나 나이가 들면서 앞니가 살짝 벌어지거나 틀어지기 시작했다면 기본적으로 어금니의 교합 상태를 먼저 체크하게 되는데 어금니 교합이 정상적이고 앞니만 교정해도 괜찮은 상황이라면 부분교정으로도 충분히 교정이 가능할 수 있어요
하지만 어금니 교합이 틀어졌거나 교합과 골격적인 부분 등을 고려할 때 꼭 전체교정을 해야만 하는 사례라면 부분교정을 원하신다고 하더라도 꼭 전체교정을 해야할 수 있는데요
치아교정은 치료 후 평생 그 결과를 유지해야 한다는 관점으로 치료 계획을 세우는 것이기 때문에 치료 후 결과에 있어서 자신의 얼굴과도 잘 어울리고 치아의 건강과 치아의 저작 기능 등을 종합적으로 고려해야 한다는 점만 잘 이해하시고 교정 진단을 먼저 받아보시길 권하고 있어요
교정 치료는 결과가 중요한 만큼 초기 치료 계획을 잘 세워야 하며 치료가 마무리된 이후에도 유지관리까지 고려하여 오래 믿고 찾을 치과 선택도 꼼꼼하게 잘 따져보시길 바라고 있어요
본 글은 콤비치과의 의료광고 포스팅입니다.
개인에 따라 출혈 및 부작용이 발생할 수 있고,
환자마다 치료 결과 및 기간이 상이할 수 있으므로,
정확한 치료 기간 및 치료 계획은
치과에서 상담을 받아보시길 권장 드립니다.
더 보기
이 병원의 공개 콘텐츠를 계속 살펴보세요
출처 아카이브로 돌아가 더 많은 글을 보거나, 병원 프로필로 이동해 다른 공개 채널도 함께 비교해보세요.