명동콤비치과의원 (명동)
치아 사이 충치 까다로운 이유부터 알아보시죠
우리가 어릴 때 겪는 충치의 종류는 주로 치아의 씹는면에서 시작된 충치로 씹는면의 충치는 눈에도 잘 띄고 치료적인 접근도 비교적 쉬운 편이기 때문에 치아의 손상 정도에 따라서 적절한 보철 치료를 하면 되는 경우가 많지만 치아 사이 충치의 경우에는 충치를 제거하기 위한 접근 자체가 쉽지 않기도 하고 충치의 발생 위치...
아카이브 요약
이 페이지의 역할
명동콤비치과의원 (명동)의 네이버 블로그 원문을 보존한 아카이브 페이지입니다. 치아스토리♡ 카테고리의 치아 사이 충치 까다로운 이유부터 알아보시죠 글을 통해 병원의 한국어 정보 제공 방식과 진료 관련 안내 톤을 확인할 수 있습니다.
우리가 어릴 때 겪는 충치의 종류는 주로 치아의 씹는면에서 시작된 충치로 씹는면의 충치는 눈에도 잘 띄고 치료적인 접근도 비교적 쉬운 편이기 때문에 치아의 손상 정도에 따라서 적절한 보철 치료를 하면 되는 경우가 많지만 치아 사이 충치의 경우에는 충치를 제거하기 위한 접근 자체가 쉽지 않기도 하고 충치의 발생 위치에 따라서도 치료가 간단하지 않은 경우가 많다는 점에서 예방의 중요성이 유독 큰 충치의 종류라고 할 수 있어요


치아의 수명은 이미 보철 치료를 했던 치아에서 2차 충치가 발생되거나 보철물의 수명이 다하여 교체를 하면서 줄어들기도 하고 치아 사이 충치 처럼 한번 치료를 할 때 치아의 손상이 커질 확률이 높은 치료가 거듭되면서 점점 수명이 줄어드는 경우가 많이 있는데요
우리가 어릴 때 주로 발생되는 충치의 유형은 치아의 씹는면에서 주로 발생했다면 나이가 들수록 보철물 내부의 2차 충치나 치아 사이 충치 처럼 눈에 잘 띄지 않고 칫솔질이 잘 닿지 않는 부위에서 주로 충치가 발생되기 때문에 한번 충치가 발생되면 큰 고생을 하게 되는 경우가 많을 거예요
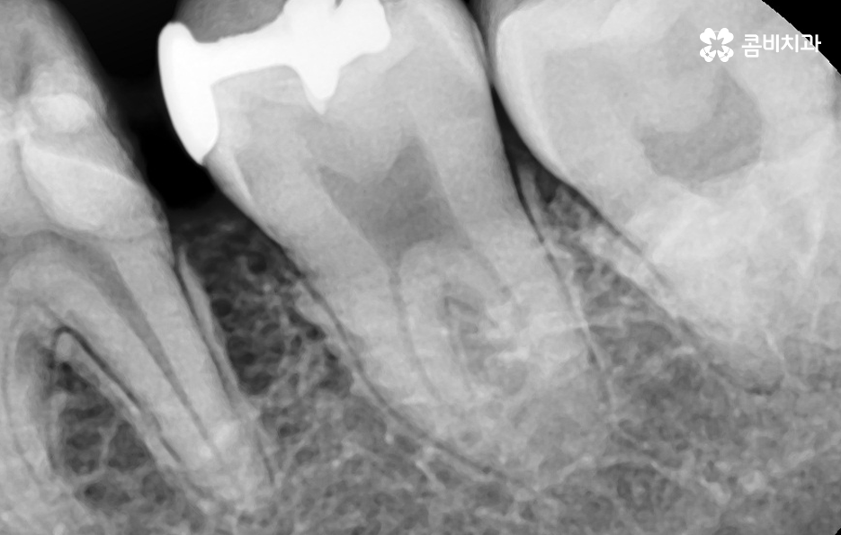
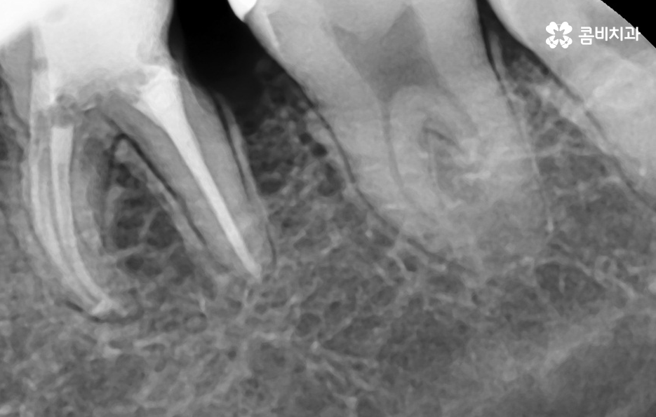
치아와 치아 사이가 맞닿는 부분은 평소 치실이나 치간칫솔을 사용하지 않는다면 칫솔질 만으로는 잘 닦이기 않기 때문에 충치가 자주 발생되는 부위는 아니지만 한번 발생되면 치아 양쪽으로 발생하기도 쉽고 치아 뿌리 쪽이나 신경 쪽에 가깝게 발생되는 경우도 많아서 간단히 레진으로 치료가 어려운 경우가 많고 보통 인레이나 크라운 치료로 이어지는 경우가 많이 있어요


치아 사이 충치 꼭 치료해야 하나요
치아의 씹는면에서 발생된 충치는 치료적인 접근이 용이한 편이지만 치아 사이에 발생된 충치는 심하지 않더라도 많은 양의 치아를 삭제하여 접근해야 하는 경우가 많고 그로 인해 결국 인레이 치료를 해야 하는 경우가 많은데 치아에 발생된 충치는 보편적으로 비슷한 구강 환경에 의해 충치로 이어진 경우가 많기 때문에 단순히 하나의 치아에만 문제가 발생되어 더 문제가 커질 때까지 지켜본다는 개념보다는 구강 전체의 영향에 대해서 고려하실 필요가 있는데요
보통 치아 사이 충치 발생된 경우에는 비슷한 식습관, 생활환경, 치주질환에 의해 발생되었기 때문에 예를 들어 어금니라고 하면 주변 어금니 혹은 교합면에 해당되는 치아에도 비슷한 문제가 발생되는 사례가 많이 있어요.


물론 환자분들에 따라 구강 상태는 다르기 때문에 1:1로 정확히 검진해야 하는 것이 원칙이지만 치아 사이 충치의 경우 단순히 좀더 지켜보자는 관점으로 별다른 대처 없이 치료만 미루기에는 리스크가 클 수 밖에 없고 정확한 원인 치료와 개선을 함께 하면서 현재 문제가 되고 있는 충치를 늦지 않게 치료하는 것이 중요할 거예요
치아 사이에 발생된 충치는 치아의 하단부에 발생되는 경우가 많기 때문에 신경이나 치아 뿌리 쪽에 가깝게 진행되는 경우가 많고 특히 어금니 처럼 저작력에 힘을 많이 받는 부위에 발생된 충치는 충치로 인해 치아가 약해지면서 치아가 깨지면서 문제가 드러나는 경우도 있기 때문에 치아의 파절로 까지 이어지는 경우도 있으므로 늦지 않게 치료하시길 권하고 있어요




치아 사이 충치 자연치아를 최대한 살리고 싶어요
치아 수명이 다하여 결국 발치로 이어지는 시점은 주로 치아의 뿌리 손상을 기준으로 판단하게 되기 때문에 치아 뿌리 손상까지 이어지지 않도록 충치를 미리 예방하고 치료하는 것이 가장 기본적으로 중요하겠고 치아의 신경조직은 치아에 영양분과 수분을 공급하기 때문에 치아 손상이 발생되었을 때 신경치료로 이어지기 전에 치료하는 것이 중요할 거예요
치아 인접면에 발생된 충치가 신경치료나 뿌리 손상으로 이어지지 않도록 미리 막는 것이 중요하며 충치 치료를 할 때 자연치아를 되도록 보존하는 치료를 하는 것도 하나의 방법이 될 수 있어요
위에 보시는 것처럼 금 인레이의 경우 치아의 삭제를 줄일 수 있는 치료 방법으로 금 인레이 자체가 내구성이 튼튼하고 생체친화적이며 얇게 제작을 해도 어금니 처럼 강한 압력을 받는 치아에도 치료가 가능하기 때문에 치아 보존에 유리한 재료라고 할 수 있는데요
치아 사이에 발생되는 충치는 평소 주기적인 검진과 스케일링을 통해 예방하는 것이 최우선이겠지만 이미 충치가 발생되었다면 자연치아의 손상을 되도록 줄이는 치료를 하고 재발 방지를 위해서도 원인 치료를 제때 하시길 권하고 있어요
본 글은 콤비치과의 의료광고 포스팅입니다.
개인에 따라 출혈 및 부작용이 발생할 수 있고,
환자마다 치료 결과 및 기간이 상이할 수 있으므로,
정확한 치료 기간 및 치료 계획은
치과에서 상담을 받아보시길 권장 드립니다.
더 보기
이 병원의 공개 콘텐츠를 계속 살펴보세요
출처 아카이브로 돌아가 더 많은 글을 보거나, 병원 프로필로 이동해 다른 공개 채널도 함께 비교해보세요.