명동콤비치과의원 (명동)
노인임플란트 이것만큼은 기억하세요
요즘은 치아를 잃게 되었을때 임플란트를 하는 것이 당연하게 느껴질 정도로 우리나라는 임플란트가 대중화 되었으며 국내산 임플란트는 세계적으로도 인정받을 정도로 높은 기술력을 보유하고 있는데요 하지만 60대 이후 노인임플란트에 대해 알아보시는 분들이라면 막상 임플란트 치료를 받자니 치료비 부담부터 시술 후 임플...
아카이브 요약
이 페이지의 역할
명동콤비치과의원 (명동)의 네이버 블로그 원문을 보존한 아카이브 페이지입니다. 치아스토리♡ 카테고리의 노인임플란트 이것만큼은 기억하세요 글을 통해 병원의 한국어 정보 제공 방식과 진료 관련 안내 톤을 확인할 수 있습니다.
요즘은 치아를 잃게 되었을때 임플란트를 하는 것이 당연하게 느껴질 정도로 우리나라는 임플란트가 대중화 되었으며 국내산 임플란트는 세계적으로도 인정받을 정도로 높은 기술력을 보유하고 있는데요
하지만 60대 이후 노인임플란트에 대해 알아보시는 분들이라면 막상 임플란트 치료를 받자니 치료비 부담부터 시술 후 임플란트가 건강하게 수명이 잘 유지될지 걱정하시는 분들도 많을 거예요
또한 노인분들의 경우 잇몸 상태도 좋지 않고 당뇨나 고혈압 등의 전신질환이 있는 분들도 많기 때문에 임플란트 치료를 막상 알아보자니 여러 걱정도 되고 나중에 정 안되면 틀니를 해야 하는건 아닌지 고민하시는 분들도 많기 때문에 오늘은 노인임플란트 고민하시는 분들을 위한 임플란트 알아보는 요령에 대해 알아볼 거예요


임플란트 시술 후 수명이 얼마나 갈지 걱정되네요
임플란트 수명은 관리만 잘된다면 반영구적인 수명 유지도 가능하지만 치료가 잘되었다고 해서 수명이 알아서 유지되는 것은 아니기 때문에 사후관리의 중요성이 무척이나 큰 진료분야에 속하고 있는데요
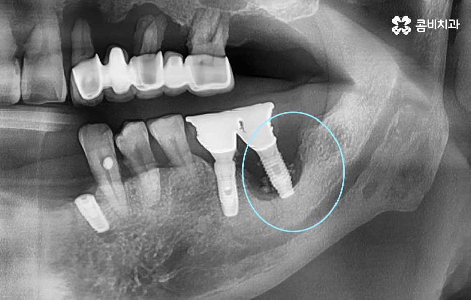
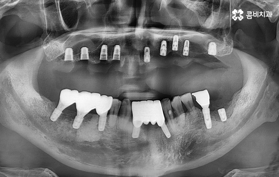
위 환자분의 케이스를 살펴보면 임플란트 시술 후 임플란트 주위염이 발생되어 이미 치조골이 상당히 녹았을 정도로 엑스레이 상에서도 관찰할 수 있어요
임플란트는 보편적으로 분리형이 주로 사용되고 있는데 임플란트의 인공치근은 잇몸 뼈와 골유착이 되어 단단하게 고정이 되어 있고 그 위에 지대주와 보철물이 연결되어 있는 형태이기 때문에 임플란투 수명에 있어서 임플란트의 인공치근 부분이 염증으로 인해 잇몸 뼈가 녹게 되면 임플란트 자체도 흔들리게 되고 결국 제거 후 재수술을 해야 될 수 있어요
흔히 임플란트 시술을 잘하면 약 10년이나 15년 이상도 사용할 수 있을거라 예상하는 분들이 많은데 실제로 15년 이상도 잘 사용하시는 분들도 많지만 사후관리가 잘 안되면 수년만에 임플란트 주위염과 같은 부작용이 발생될 수도 있다는 점에서 지속적인 사후관리가 중요한 시술이라고 생각하시면 좋을 거예요



노인임플란트 꼭 해야 할까요?
노년기의 치아건강은 삶의 질 뿐 아니라 신체 건강에도 많은 영향을 주게 되는데 치아를 상실하게 되면 당장 소화 기능에도 영향을 줄 수 있고 심한 경우에는 치매에도 영향을 줄 수 있는데요
과거에는 임플란트 기술이 없어서 어쩔 수 없이 틀니를 했던 경우가 많았다면 현재는 틀니보다 임플란트를 선호하는 경우가 대부분이며 임플란트의 경우 치아와 비슷한 심미성 뿐 아니라 저작력에 있어서도 유사한 수준이기 때문에 틀니 보다 더 선호도가 높다고 할 수 있어요
치아를 상실하고 남은 빈 공간을 방치하게 되면 시간이 지날수록 치아를 잡고 있던 잇몸 뼈가 점점 위축되고 인접 치아의 잇몸에도 염증이 발생하기 쉬운 환경이 될 수 있기 때문에 주변 잇몸에도 안좋은 영향을 주고 점점 더 많은 치아를 잃게 될 수 있는데요
이러한 연쇄적인 구강 문제를 예방하기 위해서도 치아를 잃게 되었을 때 즉시 임플란트를 하시는 것이 좋으며 참고로 노인임플란트의 경우 만 65세 이상이라면 평생 2개의 치아 까지 건강보험을 통해 본인부담률 30%에 한하여 치료비 혜택을 적용받을 수 있기 때문에 건강보험 적용도 꼭 받아보시길 바라고 있어요




요즘은 80세 이후에도 임플란트를 시술하는 환자분들이 크게 늘고 있는데 인간의 삶에서 음식을 섭취하는 것은 그 자체로도 즐거움이자 영양소의 섭취를 위해서도 무척이나 중요한 일이기 때문에 임플란트를 통해 치아 기능을 회복하는 것은 무척이나 중요한 일이 될 수 있는데요
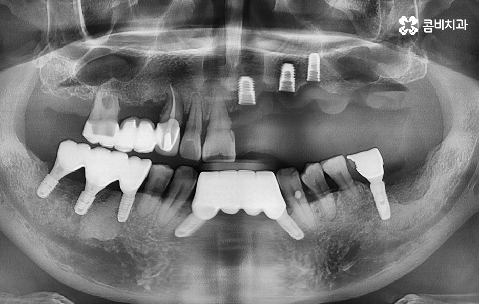
위 환자분의 케이스는 치주염이 심해져서 치아를 잃게 되기도 했지만 윗니의 경우 브릿지로 치아 기능을 유지하다가 결국 임플란트를 하게 된 사례로 볼 수 있어요
과거에는 임플란트 치료 자체가 없어서 브릿지나 틀니와 같은 치료를 할 수 밖에 없었지만 브릿지와 틀니의 한계점은 치아의 기능적인 부분에서도 한계점이 분명하지만 그에 더해 치조골이 점점 내려 앉고 흡수된다는 점에서도 임플란트의 장점이 명확하다고 할 거예요



노인임플란트 해도 될지 고민하시는 분들이라면 그냥 치아 없이 살아갈지에 대한 고민보다는 브릿지나 틀니에 대한 선택지 사이에서 고민하시는 분들이 많을 수 있는데요
비용적인 부분을 제외한다면 노인임플란트 시술을 잘 받고 사후관리를 철저히 해서 수명 유지를 하는 것이 치아의 심미성부터 기능, 관리상의 편의성 그리고 치조골을 유지하는 것까지 다방면에서 장점이 더 크다고 말씀드릴 수 있어요
치아 상실 후 잇몸을 그대로 방치하는 기간이 길어질수록 잇몸 뼈의 흡수로 인해 뼈이식의 양이 늘어나고 시술 기간이 더 길어질 수 있으니 무작정 참지 마시고 임플란트 시술은 나이가 아니라 잇몸 뼈의 상태가 더 중요하다는 점을 감안하여 꼭 늦지 않게 치과에 방문하시길 바라고 있어요
본 글은 콤비치과의 의료광고 포스팅입니다.
개인에 따라 출혈 및 부작용이 발생할 수 있고,
환자마다 치료 결과 및 기간이 상이할 수 있으므로,
정확한 치료 기간 및 치료 계획은
치과에서 상담을 받아보시길 권장 드립니다.
더 보기
이 병원의 공개 콘텐츠를 계속 살펴보세요
출처 아카이브로 돌아가 더 많은 글을 보거나, 병원 프로필로 이동해 다른 공개 채널도 함께 비교해보세요.