아카이브 요약
이 페이지의 역할
명동콤비치과의원의 네이버 블로그 원문을 보존한 아카이브 페이지입니다. 치아스토리♡ 카테고리의 덧니 발치 교정 현명하게 선택하려면 글을 통해 병원의 한국어 정보 제공 방식과 진료 관련 안내 톤을 확인할 수 있습니다.
원문 검증
필요하면 원문 블로그와 병원 프로필로 바로 이동해 문맥을 다시 확인할 수 있습니다.
출처 아카이브 열기아카이브된 블로그 글
명동콤비치과의원 · Naver Blog
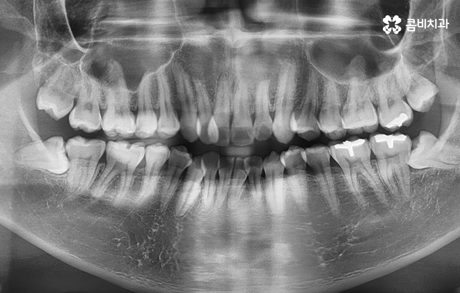
치아교정을 결심하게 되는 계기 중에 덧니교정은 특히 많은 비중을 차지할 정도인데 덧니의 정도는 환자분들에 따라 다르지만 심한 덧니의 경우에는 발치교정을 하는 사례가 많다고 볼 수 있어요. 덧니 교정을 고민하시는 분들이라면 여러 경험담이나 비슷한 고민을 가진 분들의 후기를 살펴보면 유독 발치교정 사례가 많다는 것...
게시일
2024년 9월 25일
원문 기준으로 확인된 발행일입니다.
카테고리
치아스토리♡
원문 블로그 카테고리를 정리해 함께 표시합니다.
이미지 수
12
현재 아카이브에 연결된 이미지 수입니다.
아카이브 요약
명동콤비치과의원의 네이버 블로그 원문을 보존한 아카이브 페이지입니다. 치아스토리♡ 카테고리의 덧니 발치 교정 현명하게 선택하려면 글을 통해 병원의 한국어 정보 제공 방식과 진료 관련 안내 톤을 확인할 수 있습니다.
원문 검증
필요하면 원문 블로그와 병원 프로필로 바로 이동해 문맥을 다시 확인할 수 있습니다.
출처 아카이브 열기치아교정을 결심하게 되는 계기 중에 덧니교정은 특히 많은 비중을 차지할 정도인데 덧니의 정도는 환자분들에 따라 다르지만 심한 덧니의 경우에는 발치교정을 하는 사례가 많다고 볼 수 있어요. 덧니 교정을 고민하시는 분들이라면 여러 경험담이나 비슷한 고민을 가진 분들의 후기를 살펴보면 유독 발치교정 사례가 많다는 것을 알 수 있는데요
그에 따라 나도 발치를 해야하는 것인지 궁금해 하시는 분들도 많고 아무래도 발치교정에 대해 두려워 하시는 분들도 많기 때문에 오늘은 덧니 발치 교정을 주제로 발치는 왜 해야하는지 치아교정 원리를 통해 알아보겠고 주의사항까지 함께 알아볼 거예요


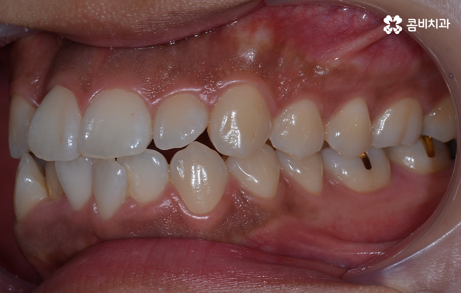
심한 덧니라도 비발치 교정은 어려운 건가요
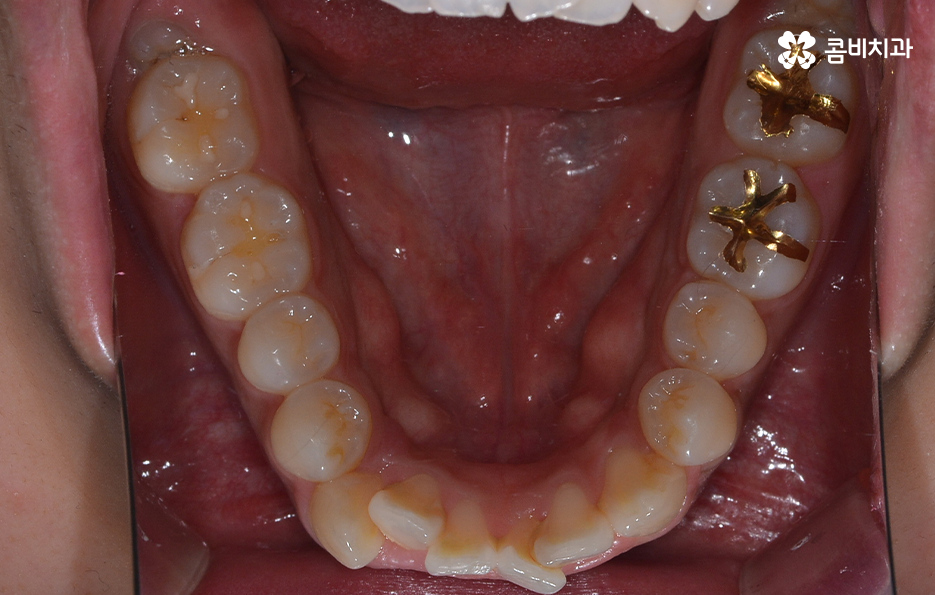
덧니의 주된 원인이 턱뼈가 좁아서 치아가 자랄 공간이 부족하다 보니 덧니의 형태로 영구치가 자라는 경우가 많다 보니 전체 치열을 가지런하게 재배열 하기 위해서는 충분한 치아의 이동 공간이 필요하고 치아의 이동 공간을 확보하는 방법으로 주로 소구치 즉 작은 어금니를 발치하는 발치교정 방식이 보편적으로 많이 활용되고 있는데요
치아를 이동시키기 위한 공간 확보 방법은 악궁확장이나 어금니를 후방으로 이동시키는 방법, 치간 삭제와 같이 비발치적인 치료 방법도 있으나 비발치적인 교정 방법으로는 한계가 있고 오히려 비발치 뻗침과 같은 부작용이 예상되는 경우에는 소구치 발치를 통한 발치 교정 방법이 적합한 경우 많기 때문에 결론부터 말씀드리자면 1:1 맞춤형 치료를 하는 것이 맞으나 덧니가 심할수록 발치교정이 적합한 경우가 좀더 많다고 볼 수 있어요


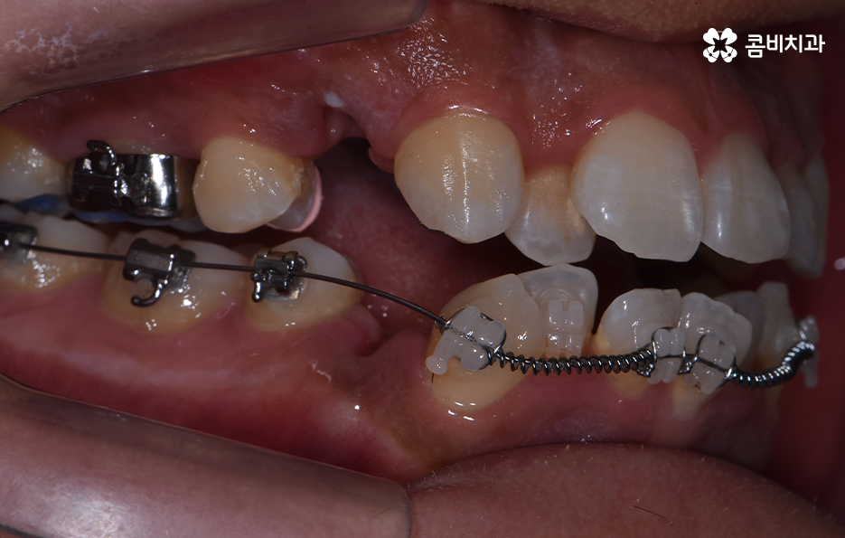
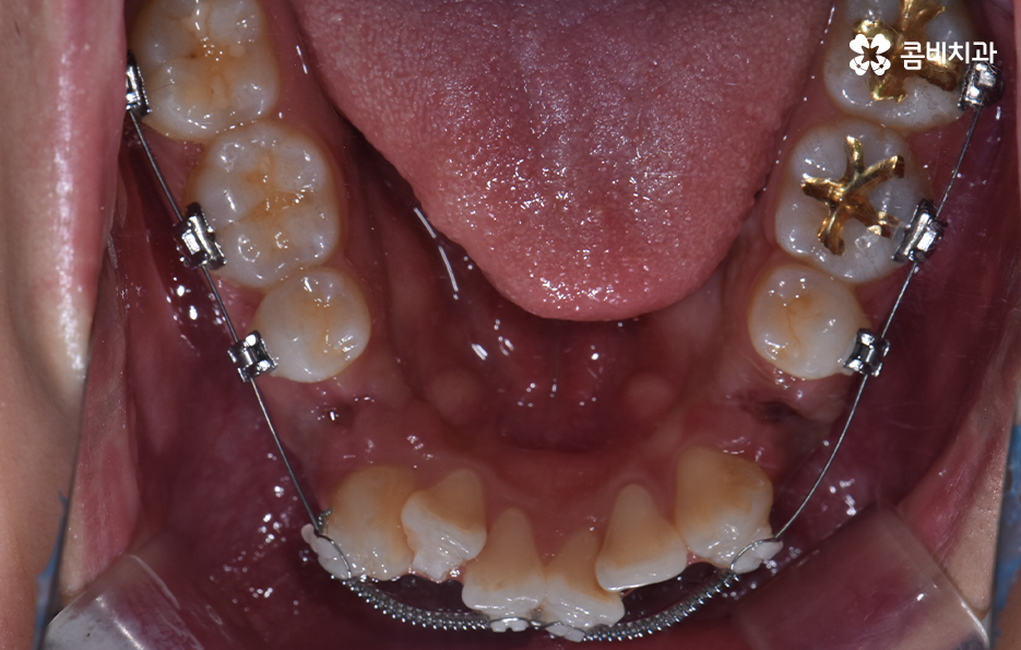
덧니 발치 교정 치료 과정이 궁금해요
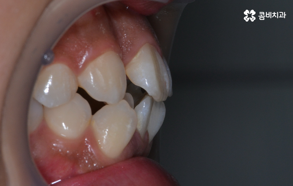
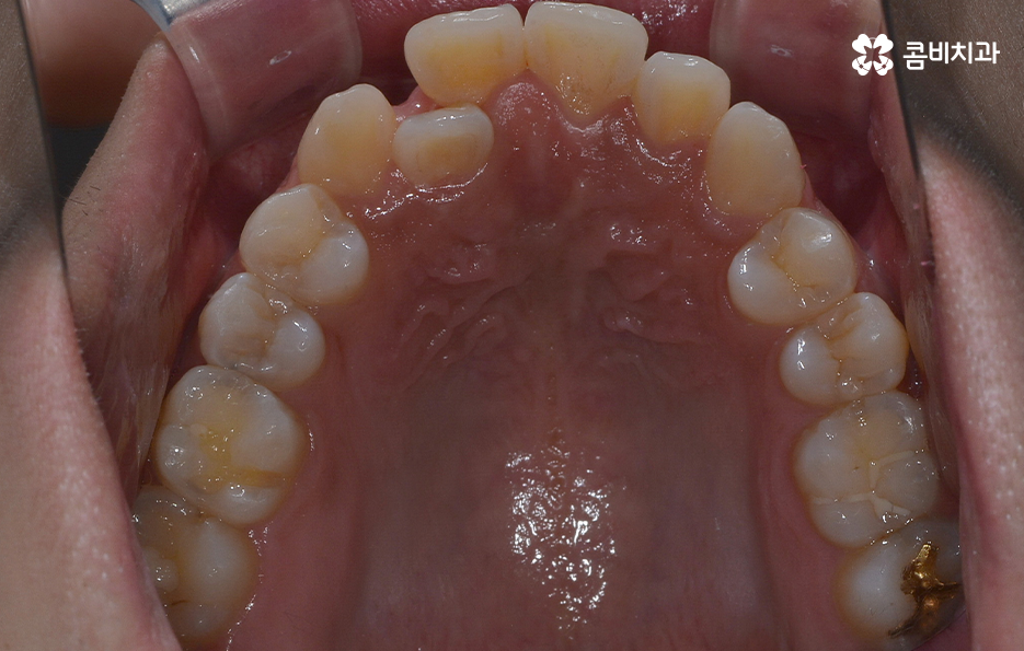
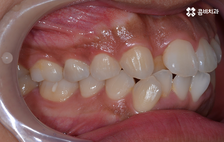
치아교정을 위한 발치교정 과정은 대부분 소구치 라고 불리는 첫번째 작은 어금니를 발치하게 되며 좌우, 위 아래 총 4개의 소구치를 발치한 후에 덧니가 재배열 될 수 있는 공간을 만들기 위하여 우선 송곳니를 후방으로 이동시키고 있어요
그 다음으로는 송곳니가 후방으로 이동하면서 확보된 공간으로 앞니의 배열을 가지런하게 맞추고 있는데요. 앞니의 재배열과 함께 발치 교정으로 인해 빈 공간이 발생한 부분을 없애고 전체적인 치열을 미세하게 조절하게 되는데 발치교정은 치아의 움직임이 많은 편이기 때문에 교합이 잘 맞도록 마무리 배열을 잘해야 하며 그와 함께 치아가 많이 움직이는 만큼 얼굴형의 변화와 입술라인 등의 변화가 클 수 있다는 점에서 치료 후 결과를 잘 예측하여 처음 치료 계획부터 마무리까지 섬세하게 진행하실 필요가 있어요




덧니 발치 교정 어떤 점이 도움 되나요
앞니의 덧니가 심하고 겹쳐 있는 경우에는 교합이 제대로 맞물리지 않거나 이물질이 치아 사이에 끼기 쉽고 그로 인해 치석이 쌓이기 때문에 나이가 들수록 덧니를 방치할 경우 충치 뿐 아니라 치주질환의 가능성이 높아지고 있는데요
덧니 교정을 통해서 치아 교합의 기능적 개선과 치아 관리의 용이성 높일 수 있고 치아 건강에도 도움이 되며 심미적인 개선도 도움이 될 수 있어요
심한 덧니로 고민하시는 분들은 환하게 웃고 싶지만 입을 가리고 웃는다거나 돌출입으로 인해 가만히 있어도 입이 벌어지는 등의 불편함을 느끼시는 분들이 많기 때문에 치아교정을 통한 치열의 개선 뿐 아니라 자신감의 향상, 얼굴 외형적인 변화까지 얻을 수 있기 때문에 그만큼 정확한 검진과 치료 예측을 통해 치아교정 계획을 잘 세우는 것이 그만큼 중요할 거예요




덧니 발치 교정 꼭 하는게 좋을까요
치아교정 사례 중에서도 발치를 꼭 해야만 치열도 더 가지런하게 배열할 수 있고 교합도 정상교합으로 만들 수 있는 사례가 있기 때문에 꼭 발치를 해야 하는 케이스가 있고 그렇지 않은 케이스도 있는데요
비발치 교정이 더 적합한 환자분들의 경우에는 당연히 발치 없이 교정을 하는 것이 맞고 덧니 교정이라고 해서 불필요한 발치를 권하는 의사는 없을 거예요
덧니 발치 교정에 대한 판단은 심미성을 제외하고도 치아의 건강과 기능적인 부분만 따져봤을 때 부정교합이 장기적으로 지속될 경우 발생될 수 있는 손해를 고려하면 치아의 저작 기능에서도 그렇고 치아의 건강 그리고 중년이후 많은 분들이 고생하시는 잇몸 문제와 심하면 턱관절에도 영향을 줄 수 있다는 점에서 발치를 하더라도 가지런한 치열을 갖는 것이 많은 이점이 있어요
치아교정에서 최종적으로 중요한 것은 결과이기 때문에 정확한 치료의 예측이 중요하며 덧니 발치에 대한 판단만 하더라도 한번 결정을 내리면 되돌릴 수 없기 때문에 치료에 대한 정확한 판단은 1:1 맞춤형 진료를 통해 정밀검진과 교정 전문의와의 충분한 상의 후 결정하시길 바라며 오랫동안 신뢰하고 찾을 수 있는 치과를 잘 판단하시길 바라고 있어요
본 글은 콤비치과의 의료광고 포스팅입니다.
개인에 따라 출혈 및 부작용이 발생할 수 있고,
환자마다 치료 결과 및 기간이 상이할 수 있으므로,
정확한 치료 기간 및 치료 계획은
치과에서 상담을 받아보시길 권장 드립니다.