명동콤비치과의원 (명동)
치과미백치료 누런 이가 고민되신다면
현대인들에게는 하루에 커피 한잔이 빠질 수 없는 기호식품이기도 하고 커피 외에도 초콜릿이나 홍차, 카레, 와인과 같은 음식은 색소가 강한 음식으로 치아의 변색을 유발할 수 있는데요. 특히 평소 흡연을 하시는 분들의 경우에는 니코틴으로 인한 치아의 착색이 나이가 들수록 심해질 수 있어요 치아 변색의 원인은 개...
아카이브 요약
이 페이지의 역할
명동콤비치과의원 (명동)의 네이버 블로그 원문을 보존한 아카이브 페이지입니다. 치아스토리♡ 카테고리의 치과미백치료 누런 이가 고민되신다면 글을 통해 병원의 한국어 정보 제공 방식과 진료 관련 안내 톤을 확인할 수 있습니다.
현대인들에게는 하루에 커피 한잔이 빠질 수 없는 기호식품이기도 하고 커피 외에도 초콜릿이나 홍차, 카레, 와인과 같은 음식은 색소가 강한 음식으로 치아의 변색을 유발할 수 있는데요. 특히 평소 흡연을 하시는 분들의 경우에는 니코틴으로 인한 치아의 착색이 나이가 들수록 심해질 수 있어요
치아 변색의 원인은 개인에 따라 다양한 요인이 있겠으나 보통 30대 이후에는 누구나 예전 같이 않게 치아가 다소 누렇게 변했다고 느끼시는 분들이 많고 요즘은 외모 관리에 있어서 앞니의 심미성이 중시되는 만큼 30대 이후에 한 번쯤은 치아 미백에 대한 관심을 가진 분들이 많을 거예요
치아 미백은 요즘은 집에서 할 수 있는 홈케어 제품도 시중에 많이 나왔기 때문에 시중에서 판매하는 홈 케어 제품을 이용하는 것과 치과미백치료에 있어서 어떤 차이가 있는지 궁금해 하시는 분들도 많이 있는데요


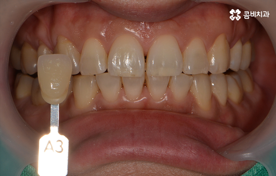
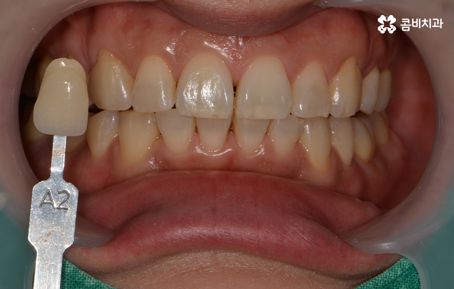
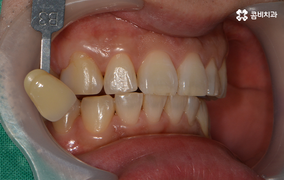
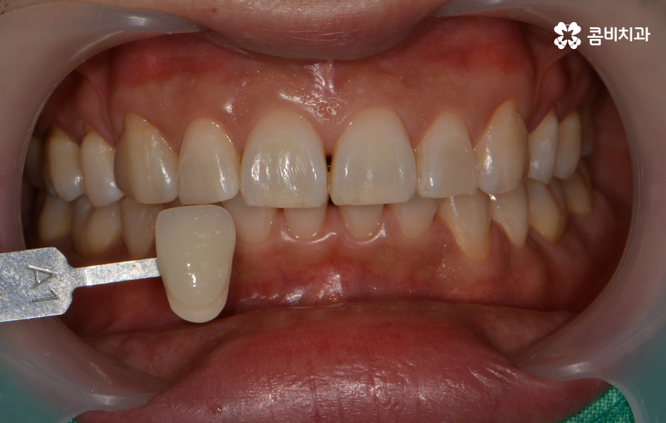
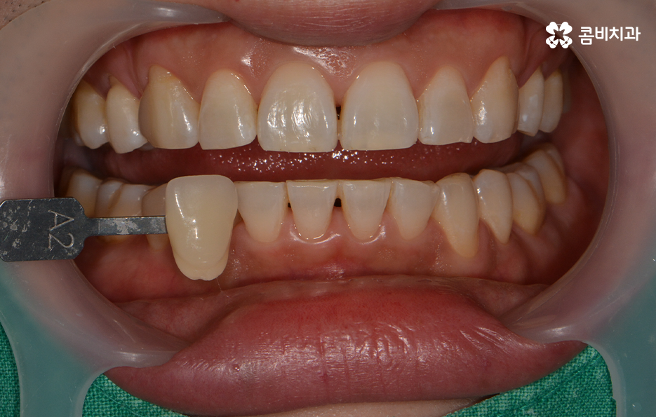
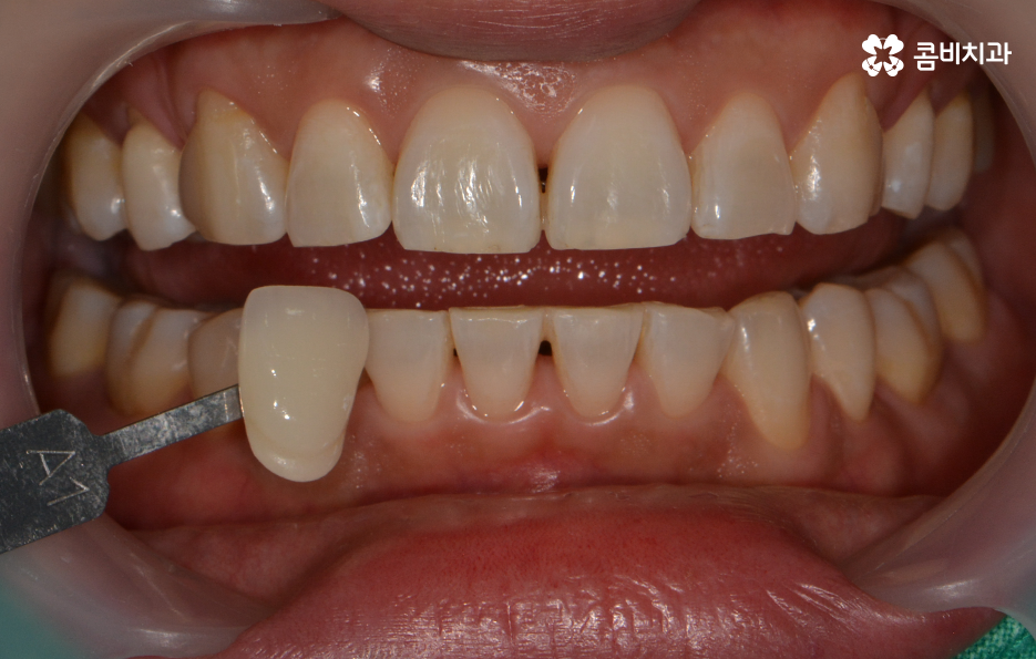
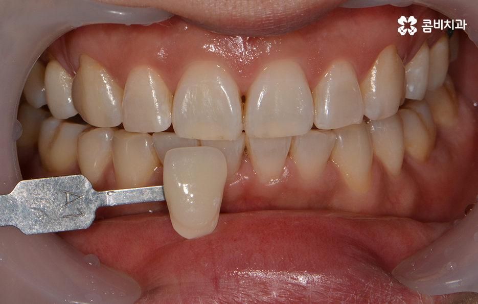
치과미백치료를 하면 어느정도나 치아가 하얗게 변할 수 있나요
치아는 다양한 원인으로 나이가 들수록 치아 변색이 진행되기도 하지만 선천적인 치아의 색이 개인차가 있기 때문에 치아미백을 받고자 할 때 현재 치아 상태를 정확히 체크하고 정확한 치료 목표를 세우는 것이 중요할 수 있는데요
셀프 치아미백을 하다가 치아나 잇몸에 손상이 발생된 사례를 보면 무리한 치아 미백 시술로 인하여 치아 손상이 심해져서 치아가 시릴 정도로 잘못된 시술 방법으로 진행하거나 잇몸이 상하는 경우도 있고 제대로 된 효과를 얻지 못하고 치아가 얼룩덜룩해져서 후회하시는 분들도 있어요
또한 치아가 검게 변하거나 치아 사이가 회색으로 변하여 치아 미백을 고민하시는 분들의 경우에는 치아 속 충치가 회색 혹은 검게 비치는 경우가 많기 때문에 치아 미백으로 해결이 가능한 문제인지 아니면 충치 치료 후에 실활치 미백이 필요한 상태인지 정확한 진단이 중요하다고 할 수 있어요
따라서 환자분들에 따라서 현재 치아 색을 치과에서 자주 활용하는 쉐이드와 같은 장비를 활용하여 현재 상태를 정확히 진단하는 것이 중요하며 자신에게 적합한 치료에 대한 진단을 정확히 한 후에 치아미백을 통해 어느정도의 목표까지 치아를 밝아지게 할 지 판단하는 것이 좋으며 보통 치과치아미백의 경우 단기간에 고농도의 미백제를 활용해서 빠른 결과를 얻는다면 셀프 치아미백의 경우 보통 2주에서 3주 정도 이내로 기간을 정해놓고 치아에 무리가 가지 않도록 목표를 정확히 설정하는 것이 중요할 거예요



치아미백은 처음인데 치과에서 받는게 좋을까요
평소 치아 관리가 잘 되고 있는 분들의 경우에는 셀프 홈 케어를 하셔도 충분히 관리가 잘되는 분들도 있지만 30대 이후에 이제 치아미백에 대한 관심을 갖게 되신 분들이라면 꼭 치과치아미백을 받지 않더라도 치아에 발생한 파절은 없는지 앞서 언급한 것처럼 치아가 검게 변한 문제처럼 충치는 없는지 치과에서 먼저 치아 검진을 잘 받는 것을 권장하고 있어요
예를 들어 앞니가 살짝 깨져서 레진 치료를 받았다거나 치석이 많이 쌓인 경우에도 치아미백이 치아 전체에 골고루 되지 않아서 치아에 경계선이 나타나거나 치아 색이 얼룩덜룩하게 나타날 수 있기 때문에 최소한 치과에서 스케일링을 먼저 받고난 뒤에 셀프 홈 케어를 하는 것이 보다 좋은 결과를 얻을 수 있을 거예요


30대 이후는 물론이고 요즘은 중장년층 이후에도 치아의 심미성에 대한 관심이 무척이나 높으며 가지런하고 하얀 치열은 밝은 인상을 떠올릴 때 대표적으로 떠오르는 이미지인 만큼 보다 하얀 치아를 위한 치과치아미백에 대한 관심은 꾸준히 늘어나고 있는데요
확실한 치아 색의 변화를 원하시고 잇몸 건강과 치아 손상에 대한 우려를 줄이기 위해서는 치과에서 체계적인 관리를 받고 치과미백치료를 받는 것이 합리적이라 할 수 있어요
치과에서는 치아미백을 하기 전에 치아 표면도 잘 정돈하고 스케일링과 잇몸의 보호 뿐 아니라 고농도의 치아 미백제를 사용하고 있기 때문에 치아 색을 확실히 밝게 개선하기 위해서는 치과의 도움을 안전하게 받는 것이 좋으며 보통 미백 시술을 받고나면 관리 하기 나름이긴 하지만 그 효과가 오랫동안 유지될 수 있기 때문에 치과 치료 후에 셀프 홈케어를 적절히 활용한다면 보다 오래 좋은 효과를 유지할 수 있을 거예요
본 글은 콤비치과의 의료광고 포스팅입니다.
개인에 따라 출혈 및 부작용이 발생할 수 있고,
환자마다 치료 결과 및 기간이 상이할 수 있으므로,
정확한 치료 기간 및 치료 계획은
치과에서 상담을 받아보시길 권장 드립니다.
더 보기
이 병원의 공개 콘텐츠를 계속 살펴보세요
출처 아카이브로 돌아가 더 많은 글을 보거나, 병원 프로필로 이동해 다른 공개 채널도 함께 비교해보세요.