아카이브 요약
이 페이지의 역할
명동콤비치과의원의 네이버 블로그 원문을 보존한 아카이브 페이지입니다. 치아스토리♡ 카테고리의 아래 앞니깨짐 치료 감쪽같이 해결하려면 글을 통해 병원의 한국어 정보 제공 방식과 진료 관련 안내 톤을 확인할 수 있습니다.
원문 검증
필요하면 원문 블로그와 병원 프로필로 바로 이동해 문맥을 다시 확인할 수 있습니다.
출처 아카이브 열기아카이브된 블로그 글
명동콤비치과의원 · Naver Blog
요즘은 어금니 치료에 있어서도 치아 색과 비슷한 하이브리드 세라믹, 지르코니아와 같은 재료를 원하시는 분들이 많은 만큼 치과 보철 치료에 있어서 심미적인 치료를 중시하는 분들이 늘고 있는데요 앞니의 경우에는 더욱 심미성이 우수한 치료 방법이 주로 활용되고 있고 특히 아래 앞니의 경우에는 치아 자체가 작은 편...
게시일
2024년 9월 30일
원문 기준으로 확인된 발행일입니다.
카테고리
치아스토리♡
원문 블로그 카테고리를 정리해 함께 표시합니다.
이미지 수
11
현재 아카이브에 연결된 이미지 수입니다.
아카이브 요약
명동콤비치과의원의 네이버 블로그 원문을 보존한 아카이브 페이지입니다. 치아스토리♡ 카테고리의 아래 앞니깨짐 치료 감쪽같이 해결하려면 글을 통해 병원의 한국어 정보 제공 방식과 진료 관련 안내 톤을 확인할 수 있습니다.
원문 검증
필요하면 원문 블로그와 병원 프로필로 바로 이동해 문맥을 다시 확인할 수 있습니다.
출처 아카이브 열기요즘은 어금니 치료에 있어서도 치아 색과 비슷한 하이브리드 세라믹, 지르코니아와 같은 재료를 원하시는 분들이 많은 만큼 치과 보철 치료에 있어서 심미적인 치료를 중시하는 분들이 늘고 있는데요
앞니의 경우에는 더욱 심미성이 우수한 치료 방법이 주로 활용되고 있고 특히 아래 앞니의 경우에는 치아 자체가 작은 편이기 때문에 치아 손상이 발생되었을 때 치아 신경과 금방 가까워질 수 있다는 점에서도 한시 빨리 치료를 하여 치아 손상을 줄이는 것이 자연치아의 수명 보존에 있어서도 중요할 거예요


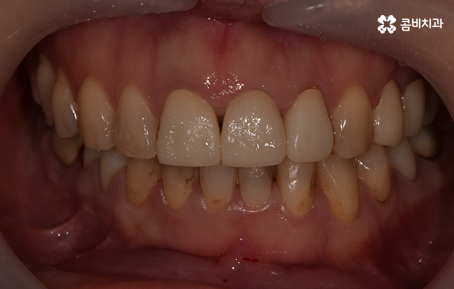
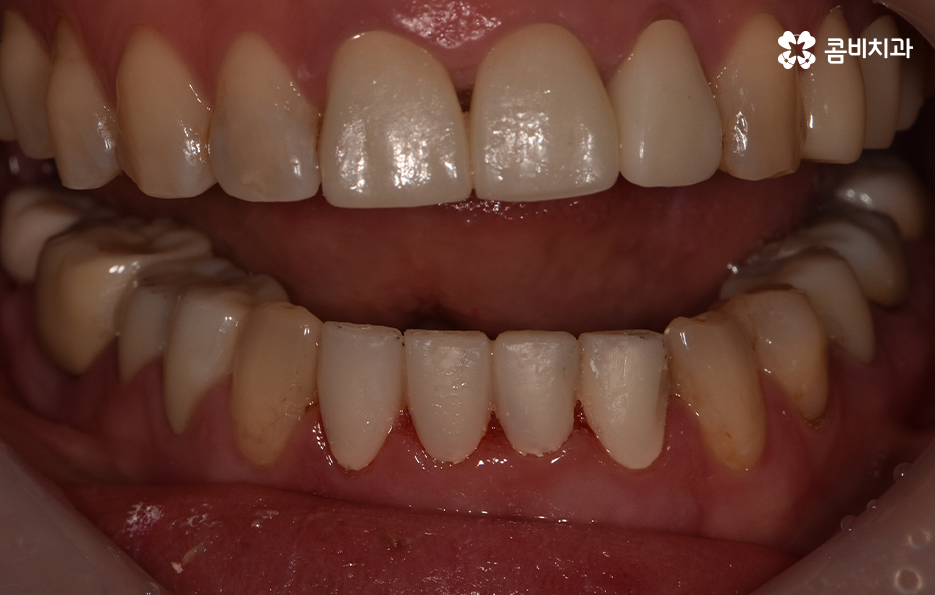
위 환자분의 치료 케이스를 살펴보면 많은 분들이 나이가 들면서 치아 끝이 살짝 깨지는 경우가 많고 특히 앞니의 경우 치아 사이에 회색 빛이 돌거나 검게 변하면서 치아 사이 충치가 발생되는 경우도 많이 있는데요
치아 사이에 충치가 발생되면 특히 앞니의 경우 치아가 회색이나 검게 비치는 경우가 많고 충치로 인해 치아가 약해지면서 치아의 파절로 이어지는 경우도 많기 때문에 초기 치료 뿐 아니라 원인 치료를 꼭 제때 해야만 비슷한 문제가 재발하는 것과 치아 손상이 심해지는 것을 막을 수 있어요

아래 앞니깨짐 치료 깔끔하게 하고 싶어요
평소 웃을 때 윗니 위주로 보이는 경우가 많지만 크게 웃거나 나이가 들수록 아래 앞니의 심미성도 무척이나 중요하기 때문에 아래 앞니의 치아 사이가 벌어져 있거나 변색, 충치 등이 발생된 경우에 치아 기능과 건강적인 부분도 중요하겠지만 심미적인 치료를 원하시는 분들이 많을 거예요
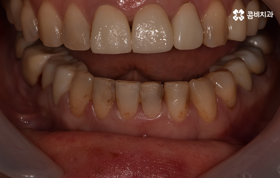
우선 아래 앞니깨짐의 경우에는 평소 지속적으로 앞니에 무리를 줄 수 있는 습관에 의해 치아가 깨지는 경우가 많은데 보통 초기에 치아가 살짝 깨지는 경험을 할 때는 운이 안좋거나 나이가 들다보니 치아가 약해졌다고 느끼기 쉽지만 실질적으로는 치아를 악물거나 앞니로 과자 봉지를 뜯는 등의 지속적으로 앞니에 무리를 주는 습관이 원인이 되는 경우가 많기 때문에 증상의 치료 뿐 아니라 원인 치료, 개선이 중요하다고 강조드리고 있어요



아래 앞니의 경우에는 아무래도 치아가 약간만 깨지더라도 해당 치아가 약해져서 추가적인 깨짐이 발생하기 쉬울 뿐 아니라 초기에는 아래 앞니깨짐 치료 방법으로 레진이 활용될 수 있지만 레진이 오래되면서 변색이 되기도 하고 레진의 깨짐, 탈락 등으로 인해 재치료가 반복될수록 결국 올세라믹 크라운 치료에 이르게 될 수 있어요
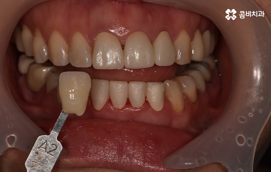
앞니 치료의 경우 치아 겉면이 손상된 경우에는 레진이나 라미네이트와 같은 치료가 가능하지만 치아의 안쪽 면까지 깨지거나 충치 등이 발생된다면 치아를 보호해야 하기 때문에 크라운을 씌우게 되는 경우가 많으며 올세라믹 크라운의 경우 치아의 색과 투명성까지도 거의 유사하기 때문에 치료를 제때 잘하고 디자인, 비율 등을 잘 신경쓴다면 자연치아와 유사한 심미적인 치료가 가능할 거예요





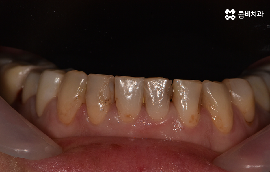
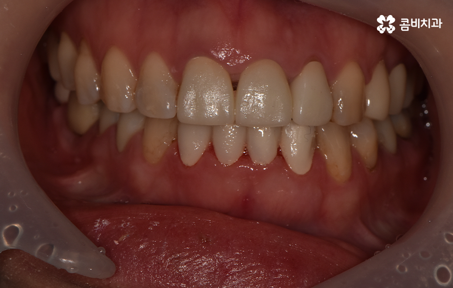
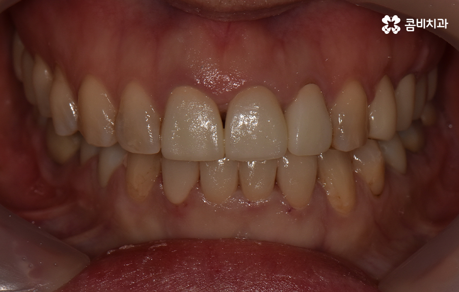
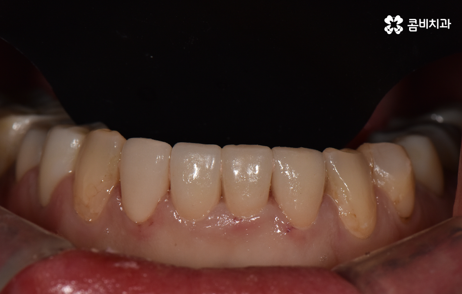
위 사진에서 보시는 것처럼 아래 앞니깨짐 치료와 함께 충치 치료를 올세라믹 크라운으로 치료한 사례를 확인할 수 있는데요. 올세라막 크라운은 주변의 자연치아의 색과 투명성에 맞게 보철물을 제작하기 때문에 치료 후 심미적으로는 자연치아와 비교해도 거의 티가 안나는 수준으로 심미적 치료가 가능하다는 것을 알 수 있어요
나이가 들수록 앞니 인접면에 충치가 발생되고 앞니 깨짐 치료를 하게 되는 경우가 많은데 앞니에 발생되는 충치나 치아 깨짐 문제는 단순히 노화라고만 생각하기 보다는 평소 칫솔질 뿐 아니라 치실 사용 그리고 스케일링의 실천으로 충분히 예방할 수 있는 문제이며 나이가 들수록 딱딱하거나 질긴 음식 등은 피하고 이를 악무는 등의 습관을 개선하신다면 치아의 노화 속도를 늦츨 수 있다는 점을 참고하셔서 아래 앞니깨짐 치료의 경우 제때 증상 치료를 하시고 원인 개선을 통해 재발 방지에도 힘쓰시길 바라고 잇어요
본 글은 콤비치과의 의료광고 포스팅입니다.
개인에 따라 출혈 및 부작용이 발생할 수 있고,
환자마다 치료 결과 및 기간이 상이할 수 있으므로,
정확한 치료 기간 및 치료 계획은
치과에서 상담을 받아보시길 권장 드립니다.