명동콤비치과의원 (명동)
어금니 발치후 임플란트 이런점을 주의합시다
오늘 포스팅에서는 많은 분들이 어금니를 잃게 되는 원인에 대해 살펴보고 어금니 발치후 임플란트 치료 과정이 보통 어떻게 진행되고 있는지 알아볼 거예요 중년이후에 정말 많은 분들이 2차 충치로 인해 치아를 잃게 되는 경우가 많은데 2차 충치란 이미 보철치료를 했던 부위 내부에서 충치가 진행되는 사례로 보철...
아카이브 요약
이 페이지의 역할
명동콤비치과의원 (명동)의 네이버 블로그 원문을 보존한 아카이브 페이지입니다. 치아스토리♡ 카테고리의 어금니 발치후 임플란트 이런점을 주의합시다 글을 통해 병원의 한국어 정보 제공 방식과 진료 관련 안내 톤을 확인할 수 있습니다.
오늘 포스팅에서는 많은 분들이 어금니를 잃게 되는 원인에 대해 살펴보고 어금니 발치후 임플란트 치료 과정이 보통 어떻게 진행되고 있는지 알아볼 거예요
중년이후에 정말 많은 분들이 2차 충치로 인해 치아를 잃게 되는 경우가 많은데 2차 충치란 이미 보철치료를 했던 부위 내부에서 충치가 진행되는 사례로 보철 치료 후에 보통 치통이 잦아들고 익숙해지면 별다른 관리를 안하는 경우가 많지만 보철물은 수명이 있고 보철물의 재질에 따라서 보철물이 깨지기도 할 거예요
어금니의 경우에는 금니를 씌웠다고 가정하면 금니 자체가 깨질 우려는 없겠지만 보철물이 오래되면 특히 접착제가 녹아서 치아와 보철물 사이에 틈으로 세균이 침투하여 2차 충치가 발생되는 경우가 많고 나이가 들면서 잇몸이 조금씩 내려 앉으면서 크라운과 치아 사이에 틈이 더 드러나기도 하기 때문에 오래된 보철물은 제때 재치료를 하지 않으면 치아 뿌리쪽으로 충치가 진행되어 발치로 이어지는 경우가 많이 있어요



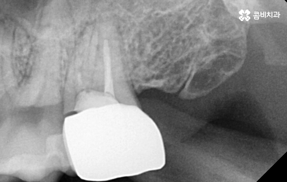
여전히 많은 분들이 치과에서 크라운 치료를 하면 치료만 잘 받으면 끝이라고 생각하고 별다른 관리를 안해도 된다고 생각하시는 분들도 많지만 크라운 치료는 보통 깊은 충치나 신경치료 후에 크라운을 씌우는 경우가 많기 때문에 신경치료를 한 경우 신경조직이 제거된 상태에서 별다른 통증이나 시림 같은 증상을 못느끼기 때문에 안아파서 별다른 문제가 없다고 착각하기 쉬울 거예요
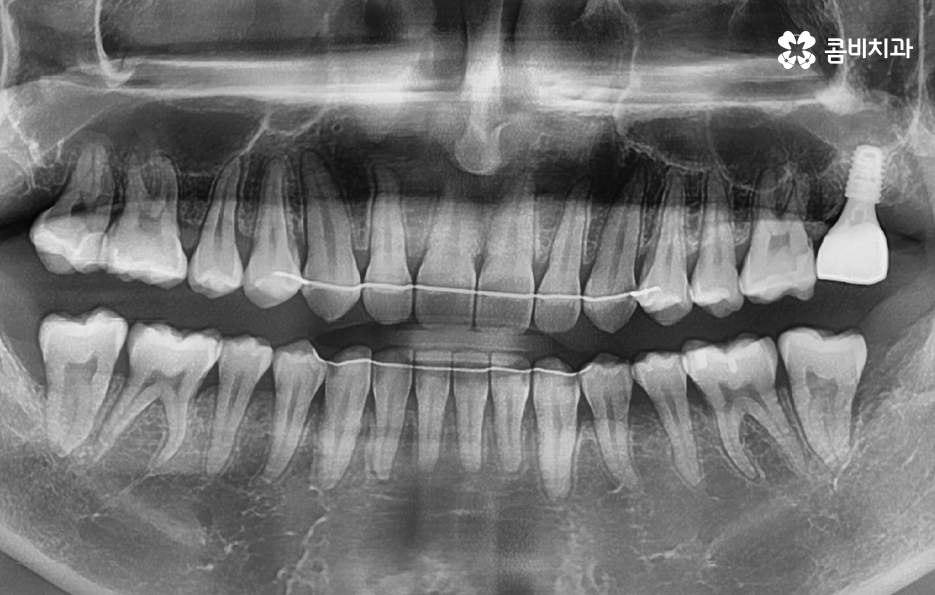
하지만 위 사진에서 보시는 것처럼 치아에서 통증은 못느끼더라도 2차 충치가 발생되어 뒤늦게 치아 내부의 충치에 대해 알게 되면 이미 치아 뿌리까지 충치가 심각하게 진행되어 크라운 재치료가 어려울 정도로 손상이 진행된 경우도 많으며 결국 어금니 발치후 임플란트 치료로 이어질 수 있어요


신경치료 후 크라운을 씌우게 되었더라도 치아의 뿌리 손상 정도와 치아의 잔존량에 따라서 크라운의 재치료, 즉 재신경치료와 같은 방법으로 자연치아를 보존하는 방법도 있지만 치료 시기를 놓치게 된다면 어금니 발치후 임플란트 시술을 받아야 하기 때문에 오래된 보철물은 주기적으로 검진을 통해 필요하다면 재치료 시기를 놓치지 마시길 바라고 있어요


어금니 발치후 임플란트 치료과정이 어떤가요
위 치료 사례의 경우 크라운 내부의 2차 충치로 인해 치아 발치를 진행한 사례이기 때문에 치아 상실의 원인이 충치인 경우에는 잇몸 뼈의 상태 자체는 양호한 경우가 많이 있는데요
치아 상실 원인이 발생되고 발치 후 임플란트 치료 계획만 제때 잘 세우신다면 크게 무리 없이 임플란트 치료가 가능한 경우가 많은데 그 이유는 임플란트의 치료 과정에서 중요한 과정이 바로 잇몸 뼈에 임플란트의 인공치근을 식립하는 과정이기 때문이며 임플란트를 식립할 충분한 잇몸 뼈의 두께와 깊이, 골질이 확보되고 전신건강이 양호하다고 가정한다면 대부분의 임플란트 시술은 원활하게 진행될 수 있어요
치아 발치 후에는 보통 약 2,3개월 정도 잇몸과 뼈가 차오르길 기다리며 그 이후에 잇몸 상태가 임플란트를 식립하기에 충분한 상태라면 임플란트를 잇몸 뼈에 식립하고 골유착과정을 약 3개월 정도 거친 후에 지대주를 세우고 보철물을 연결하여 치료를 마무리하고 있어요. 하지만 잇몸뼈 상태가 좋거나, 뼈이식과 동시에 진행하는 경우 발치 후 바로 식립을 진행하는 경우도 있어, 정확한 치료 계획은 의사와 상의를 해보시는 게 좋아요.


임플란트 치료가 끝나면 겉으로 보기에는 자연치아와 거의 유사한 심미성과 적응기간을 거치고 나면 저작력에 있어서 자연치아와 거의 유사한 정도의 저작기능을 수행하고 있는데요
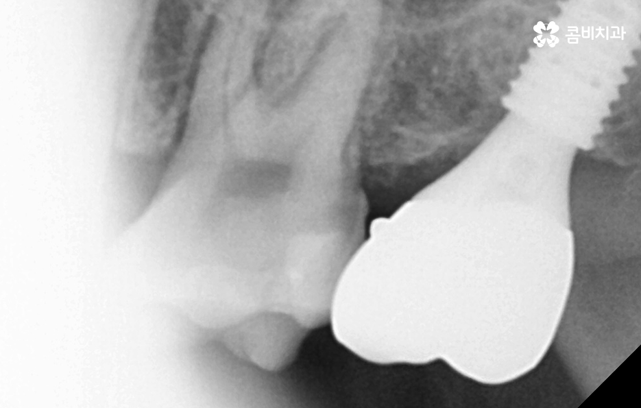
어금니 발치후 임플란트 치료과정은 단계적으로 진행되고 일반적으로 임플란트 구조는 분리형이기 때문에 시술 후 관리 방법에 따라서 보철물의 이상 발생 시에는 사후관리를 통해 해결할 수 있지만 잇몸 뼈에 식립된 인공치근이 염증 등으로 인해 문제가 생기면 심각한 수명 문제로 이어질 수 있기 때문에 사후관리의 중요성이 무척이나 크며 치료만 잘 받는 것이 아니라 오랫동안 꾸준히 사후관리를 믿고 찾을 수 있는 치과를 잘 선택하실 필요가 있어요

더 보기
이 병원의 공개 콘텐츠를 계속 살펴보세요
출처 아카이브로 돌아가 더 많은 글을 보거나, 병원 프로필로 이동해 다른 공개 채널도 함께 비교해보세요.