명동콤비치과의원 (명동)
어금니 레진 깨짐 변색 안아파도 이렇게 대처하세요
나이가 들수록 충치 외에도 치아 수명이 저하될 수 있는 문제는 다양하게 나타나고 있는데요. 치아 끝이 살짝 깨지기도 하고 과거에 치료 했던 보철물의 손상으로 인해 재치료를 거듭하다보면 치아의 수명은 조금씩 줄어들 수 있어요 그렇기 때문에 치과 보철 치료는 제때 잘 받는 것도 중요하지만 오래되고 손상된 보철물...
아카이브 요약
이 페이지의 역할
명동콤비치과의원 (명동)의 네이버 블로그 원문을 보존한 아카이브 페이지입니다. 치아스토리♡ 카테고리의 어금니 레진 깨짐 변색 안아파도 이렇게 대처하세요 글을 통해 병원의 한국어 정보 제공 방식과 진료 관련 안내 톤을 확인할 수 있습니다.
나이가 들수록 충치 외에도 치아 수명이 저하될 수 있는 문제는 다양하게 나타나고 있는데요. 치아 끝이 살짝 깨지기도 하고 과거에 치료 했던 보철물의 손상으로 인해 재치료를 거듭하다보면 치아의 수명은 조금씩 줄어들 수 있어요
그렇기 때문에 치과 보철 치료는 제때 잘 받는 것도 중요하지만 오래되고 손상된 보철물을 제때 잘 교체하고 재치료를 잘 받는 것도 자연치아의 수명 보존에 중요할 수 있는데요
오늘은 어금니 치료에 많이 쓰이고 있는 어금니 레진 치료 후 관리에 대해 치료 케이스를 살펴보면서 자세히 알아볼 거예요




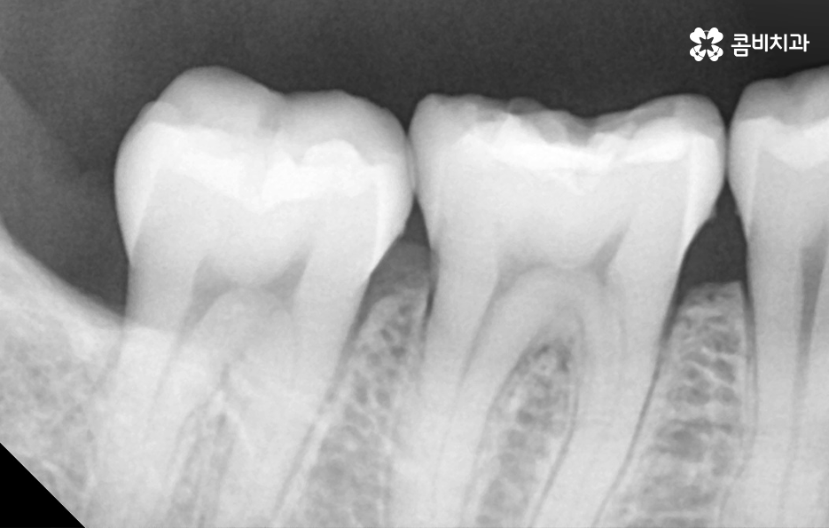
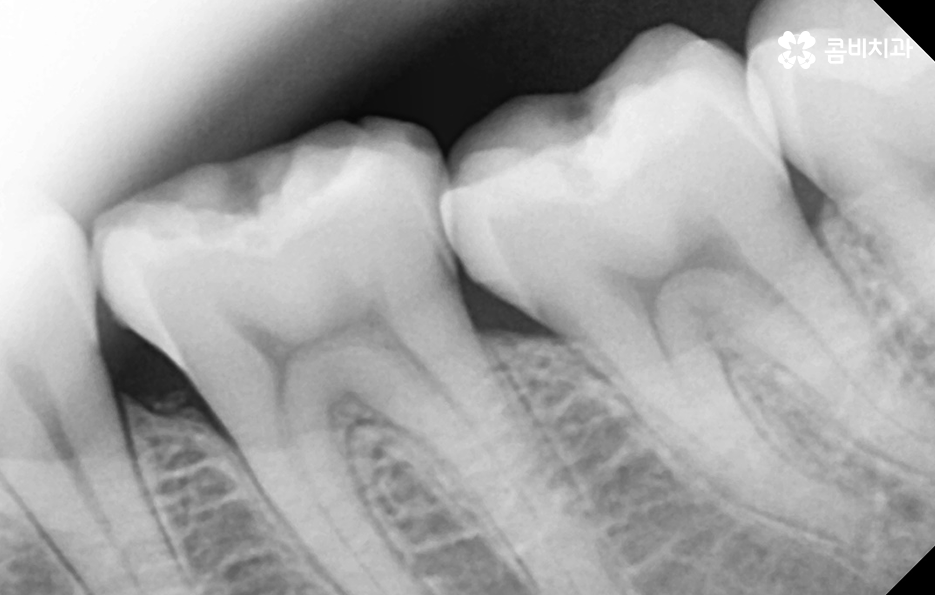
어금니 레진으로 치료 했던 부위의 주변에 검게 변색되었어요. 그리고 주변이 깨졌어요
치과 보철 치료에서 중요한 사항 중에 하나는 보철물이 자연치아와 빈틈없이 잘 붙어 있어야 한다는 점인데요. 예를 들어 라미네이트 시술을 할 때도 치아 겉면을 약간이라도 삭제하는 이유 중에 하나는 자연스러운 결과 뿐 아니라 자연치아와 보철물이 단단하게 접착이 되어야 한다는 이유도 있어요
과거에 치과 보철 치료에서 자주 쓰이던 아말감은 심미성이 좋지 않다는 이유에서도 요즘은 잘 안쓰이고 있지만 아말감의 경우 치료 후 자연치아와의 접착력이 떨어져서 2차 충치가 다소 발생되기 쉽다는 단점에서도 요즘은 레진이 주로 쓰이고 있는데요
보철 치료 후의 2차 충치 문제는 사실 아말감 뿐 아니라 어떤 보철물이든지 주의해야 할 점이며 보철물 자체나 주변 치아가 깨지거나 마모되어 2차 충치가 진행되기도 하지만 오래된 보철물의 접착제가 녹아서 2차 충치로 이어지는 경우도 있기 때문에 보철물의 수명과 교체 주기에 따라서 주기적으로 재치료를 하는 것이 2차 충치에 대한 우려를 예방하는데도 중요할 수 있어요
어금니 초기 손상에 주로 활용되고 있는 어금니 레진 역시도 레진의 재료적 특성을 이해하고 적절한 재치료 시기가 되면 제때 교체를 하는 것이 치아 내부로 손상이 이어지는 것을 조금이라도 줄일 수 있는데요
레진은 주로 치아의 초기 손상에 활용되는 치료라는 점에서 레진 자체가 깨지거나 주변 치아가 깨지고 변색이 되더라도 당장 큰 통증을 못느끼는 경우도 많이 있어요
하지만 통증만으로 현재 치아 문제를 판단하기도 어렵고 제때 적절한 치료를 하지 않아도 더 큰 치료로 이어지고 자연치아의 손상을 키울 수 있다는 점에서 어금니 레진이 손상되었거나 변색 등이 발생되었을 때 대처방법에 대해 자세히 알아볼 거예요




어금니 레진 교체는 언제 어떻게 해야 하나요
보철물의 수명의 경우 정해져 있는 수명은 크게 없고 각 개인의 치아 관리, 평소 습관 등에 따라서 차이가 있는데요. 하지만 보편적으로 보철물의 수명은 약 10년 정도가 되면 접착제가 녹고 그 틈 사이로 2차 충치의 우려가 있기 때문에 10년 정도 사용했다고 가정할 때 교체를 하거나 주기적으로 검진하여 치과의사의 소견에 따라서 재치료를 받는 것을 권하고 있어요
레진은 앞니 부터 어금니까지 치아 손상의 초기에 광범위하게 활용되고 있지만 특히 어금니 레진의 경우에는 교합면이나 특히 강하게 저작기능에서 압력을 받는 경우에 자주 깨지고 탈락 될 경우에는 인레이 치료를 하는 것이 적합할 수 있습니다
어금니 레진 치료 후에 레진 자체가 깨지거나 주변 치아가 깨진 경우에는 당장 안아파도 치과에서 재치료를 받는 것이 추가적인 파절을 예방하고 치아 내부로 충치가 발생되는 것을 예방할 수 있으며 특히 주변이 검게 변색되는 경우에는 착색인 경우도 있지만, 2차 충치가 이미 진행된 경우가 많기 때문에 통증과는 무관하게 치과 방문을 권하고 있어요





자연치아의 수명을 보존하는데 있어서 치과 보철 치료에 대해 잘 이해하는 것은 무척이나 중요할 수 있는데요. 많은 분들이 초기에는 간단하게 레진 치료를 할 수 있겠지만 보철물의 관리가 잘 안되어 재치료를 거듭할수록 자연치아의 손상이 크고 작게 발생할 수 밖에 없고 점점 더 큰 치료로 이어지면서 자연치아의 수명도 저하되는 경우가 많이 있어요
특히 치아 신경치료로 이어지거나 치아 뿌리 쪽에 충치가 깊어지면 치아 수명이 급격히 저하되고 발치로도 이어질 수 있다는 점에서 현재 어금니 레진 교체에 대한 고민을 한다면 현재 치아 상태에 적합한 치료도 제때 잘 받아주시길 바라며 무엇보다 보철물 관리에도 힘써서 비슷한 문제가 재발하지 않도록 주의하시길 바라고 있어요

더 보기
이 병원의 공개 콘텐츠를 계속 살펴보세요
출처 아카이브로 돌아가 더 많은 글을 보거나, 병원 프로필로 이동해 다른 공개 채널도 함께 비교해보세요.