아카이브 요약
이 페이지의 역할
명동콤비치과의원의 네이버 블로그 원문을 보존한 아카이브 페이지입니다. 치아스토리♡ 카테고리의 30대 치아교정 빨리 끝내고 싶어요 글을 통해 병원의 한국어 정보 제공 방식과 진료 관련 안내 톤을 확인할 수 있습니다.
원문 검증
필요하면 원문 블로그와 병원 프로필로 바로 이동해 문맥을 다시 확인할 수 있습니다.
출처 아카이브 열기아카이브된 블로그 글
명동콤비치과의원 · Naver Blog
100세 시대라는 말이 흔하게 통용되고 있는 현 시대에서 과거의 30대와 현재의 30대는 수많은 부분에서 인식적인 차이가 있지만 그중에서도 치아교정에 대한 인식 변화도 크게 나타나고 있습니다. 물론 여전히 교정하면 어릴 때 하는 것이 좋고 성장기에 교정을 하는 것이 적기라는 말도 많다 보니 성인 이후에 교정을...
게시일
2024년 10월 31일
원문 기준으로 확인된 발행일입니다.
카테고리
치아스토리♡
원문 블로그 카테고리를 정리해 함께 표시합니다.
이미지 수
13
현재 아카이브에 연결된 이미지 수입니다.
아카이브 요약
명동콤비치과의원의 네이버 블로그 원문을 보존한 아카이브 페이지입니다. 치아스토리♡ 카테고리의 30대 치아교정 빨리 끝내고 싶어요 글을 통해 병원의 한국어 정보 제공 방식과 진료 관련 안내 톤을 확인할 수 있습니다.
원문 검증
필요하면 원문 블로그와 병원 프로필로 바로 이동해 문맥을 다시 확인할 수 있습니다.
출처 아카이브 열기100세 시대라는 말이 흔하게 통용되고 있는 현 시대에서 과거의 30대와 현재의 30대는 수많은 부분에서 인식적인 차이가 있지만 그중에서도 치아교정에 대한 인식 변화도 크게 나타나고 있습니다. 물론 여전히 교정하면 어릴 때 하는 것이 좋고 성장기에 교정을 하는 것이 적기라는 말도 많다 보니 성인 이후에 교정을 하는 것이 나이에 대한 우려를 하는 분들도 많지만 요즘은 중장년층의 치아교정 사례가 크게 늘고 있고 실제 치료로 이어지는 경우도 많을 정도로 교정 치료에 대한 달라진 인식 변화는 실제 치료 사례에서도 나타나고 있어요
30대 치아교정을 고민하시는 분 중에서는 그동안 미뤄왔던 치아교정을 이제라도 시작해야겠다고 생각해서 치과를 찾는 분들도 많고 나이가 들면서 예전에는 괜찮았던 앞니가 벌어지거나 틀어져서 치과를 찾는 분들도 많이 있는데요



30대 치아교정 발치 없이도 교정이 가능한가요
부정교합, 덧니 교정을 미뤄오다가 30대치아교정을 결심하신 분들이라면 발치교정을 해야하는지 여부에 대해서도 많은 분들이 고민하고 있는데요
일반적으로 발치교정을 진행하면 교정 기간도 늘어나기 때문에 조금이라도 더 빨리 교정을 마치고 싶어 하는 분들에게는 교정 기간이 늘어나는 것과 생니를 뽑아야 할 수 있다는 거부감을 느끼시는 분들도 많을 거예요
치아교정 기간을 예측할 때 발치교정의 여부 만으로도 기간이 줄어들고 늘어날 수 있기 때문에 나에게 필요한 치료 방법인지 알아보려면 기본적으로 정밀검진을 통해 교정 계획을 교정 전문의와 충분히 상의하실 필요가 있는데요
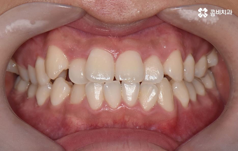
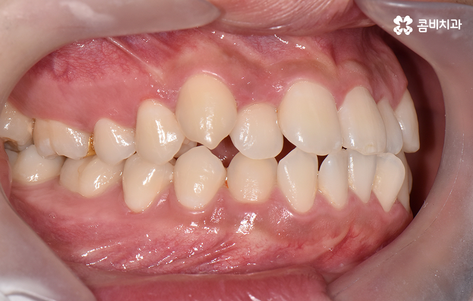
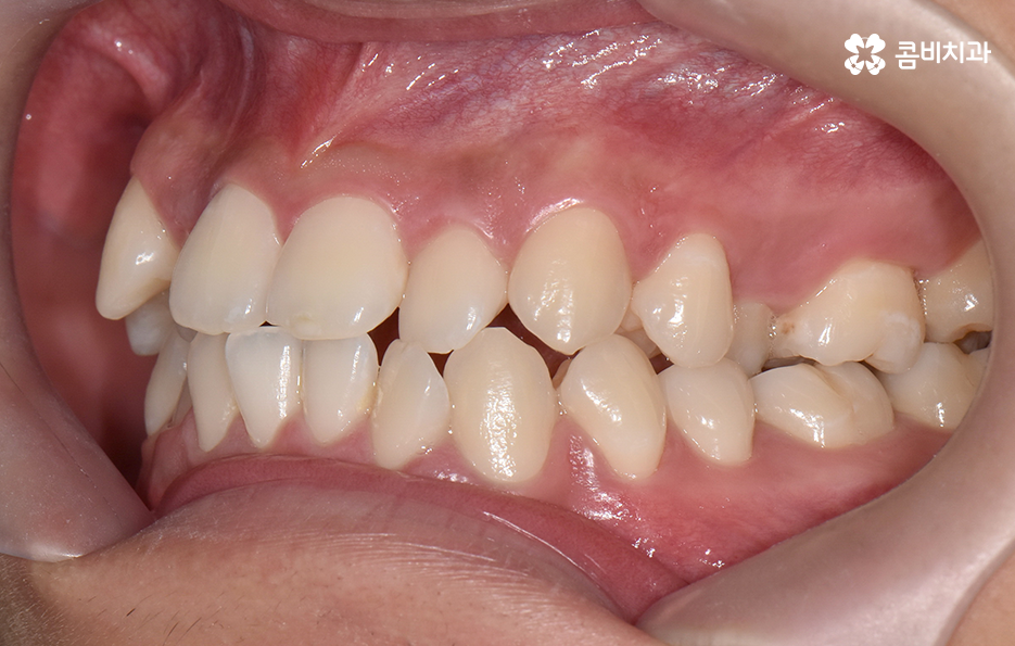
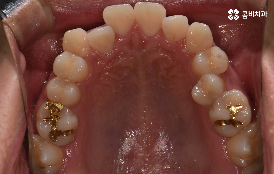
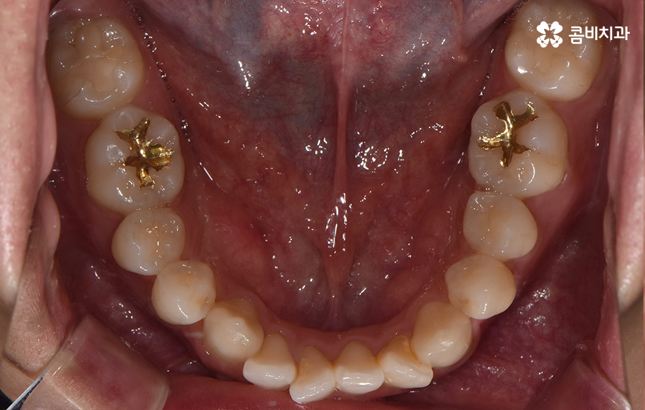
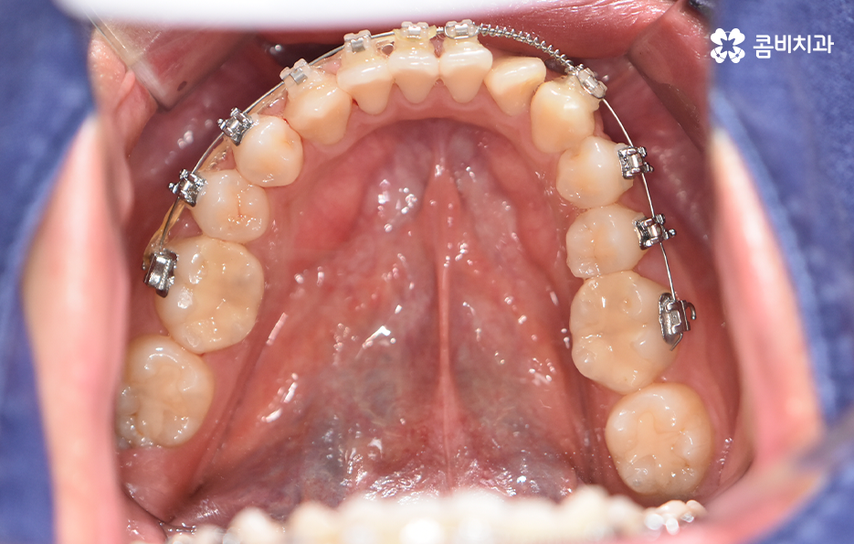
오늘 포스팅에서 보여지는 사진에서는 비발치 교정으로 덧니 교정이 가능했던 사례입니다. 덧니 교정 사례에서 발치교정 케이스는 흔한 치료 방법이긴 하지만 발치에 대한 판단은 치열만이 아니라 골격과 얼굴형을 종합적으로 고려하여 판단하고 치아를 얼마나 이동시켜야 할지 예측하여 판단하기 때문에 3D CT 등의 첨단 장비를 통한 검진과 경험 많은 교정 전문의와 충분히 상의하고 결정해야 합니다


치아교정은 치열을 가지런하게 재배열하는 치료이면서 각 개인의 얼굴형과 골격, 입술라인 등을 종합적으로 고려해야 하기 때문에 발치교정의 필요 여부를 판단하는 것에도 신중한 판단이 필요한데요
30대 치아교정 되도록 빨리 치료가 끝나길 원하시는 분들이 많겠지만 교정 치료는 결과가 중요한 치료이기 때문에 자신에게 적합한 치료 계획을 정교하게 세우는 것이 중요하며 발치는 한번 하면 되돌릴 수 없고 반대로 비발치 교정을 한다고 해도 치료상의 편의성만을 따지는 것이 아니라 결과가 중요하기 때문에 각 환자분들의 얼굴에 잘 어울리는 결과를 얻기 위해서는 비발치 교정이 얼마나 적합한지를 잘 따져봐야 하겠습니다
종합하면 발치교정의 필요성은 얼굴과의 조화, 골격 그리고 교합 등을 전체적으로 고려하여 판단하기 때문에 각 환자분들이 필요한 치아의 이동 정도를 정확히 예측하고 필요한 치아 이동 공간을 확보함에 있어서 발치교정이 적합할지 아니면 비발치적인 방법으로도 치아 이동 공간이 확보 가능한지 따져보고 있으며 발치교정이 아니더라도 치간삭제, 악궁확장, 어금니 후방이동과 같은 방법으로 공간 확보가 가능하기 때문에 각 환자분들에게 적합한 1:1 맞춤형 치료가 진행되고 있어요




회사 생활이 바쁜데 30대 치아교정 직장에 무리는 없을까요
30대에는 사회생활을 활발하게 하는 시기이기 때문에 교정 치료를 진행하면서 일상에 지장은 되도록 안가길 원하시는 분들이 많을 거예요. 또한 직업적인 이유나 성향적인 부분에서도 외부에 교정 사실을 알리고 싶지 않아 하시는 분들도 심미적인 교정 방법에 대해 관심이 많이 있는데요
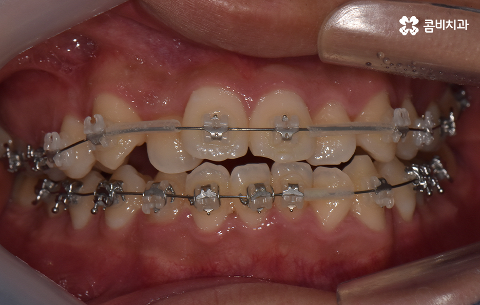
이처럼 치아교정 과정에서 느낄 수 있는 교정 장치의 심미적인 부분이나 치과 내원에 대한 부담감, 교정기로 인한 통증 등은 교정 장치의 선택을 보다 심미적인 교정 장치를 고르거나 클리피씨교정과 같이 치과 내원 횟수를 줄일 수 있는 방법 등을 선택하여 조율할 수 있어요
교정 과정 중에 유독 고민되거나 우려되는 부분이 있다면 교정 전문의와 상의하여 치료 과정상의 편의성 등을 환자에게 적합한 치료 계획으로 조율할 수 있다는 점을 고려하여 교정 계획을 세우실 때 의사에게 자신이 원하는 치료 방법이나 걱정되는 점들을 충분히 논의하여 치료 계획을 세우면 많은 도움이 되실 거예요



치아교정은 장기적인 치료를 계획해야 하고 치료 결과가 가장 중요하면서도 일상 생활도 잘 영위해야 하므로 막상 시작하려고 하면 어렵게 느껴지실 점들이 많을 거예요
그렇기 때문에 초기에 치료 목표를 정확히 세우는 것이 중요하며 치료의 시작부터 마무리까지 함께할 교정 전문의를 잘 선택해야 하겠고 마지막으로 중간에 의사가 바뀔 우려는 없는지도 잘 체크하여 오래 믿고 찾을 치과를 잘 판단하시길 바라고 있어요
